JavaScript is disabled in your browser. Please enable JavaScript to view this website.
AB239789

Anti-IGFBP3 antibody [EPR22152-22] - BSA and Azide free

Be the first to review this product! Submit a review

|

(1 Publication)

Rabbit Recombinant Monoclonal IGFBP3 antibody. Carrier free. Suitable for WB, IP and reacts with Mouse, Rat samples. Cited in 1 publication.

View Alternative Names

Igfbp-3, Igfbp3, Insulin-like growth factor-binding protein 3, IBP-3, IGF-binding protein 3, IGFBP-3

3 Images
Western blot - Anti-IGFBP3 antibody [EPR22152-22] - BSA and Azide free (AB239789)
  • WB

Supplier Data

Western blot - Anti-IGFBP3 antibody [EPR22152-22] - BSA and Azide free (AB239789)

Blocking and dilution buffer : 5% NFDM/TBST.

Exposure times.

Lane 1 : 8 seconds, Lane 2 : 81 seconds, Lane 3 : 3 minutes

IGFBP3 exists as both glycosylated (46 kDa) and non-glycosylated (29 kDa) form. The molecular weight observed is consistent with what has been described in the literature (PMID 10352394; PMID : 9698597; PMID 22910030).

This data was developed using the same antibody clone in a different buffer formulation containing PBS, BSA, glycerol, and sodium azide (ab220429).

All lanes:

Western blot - Anti-IGFBP3 antibody [EPR22152-22] (<a href='/en-us/products/primary-antibodies/igfbp3-antibody-epr22152-22-ab220429'>ab220429</a>) at 1/1000 dilution

Lane 1:

Mouse lung primary cell culture supernatant at 20 µL

Lane 2:

Mouse serum at 20 µg

Lane 3:

Rat serum at 20 µg

Secondary

All lanes:

Western blot - Goat Anti-Rabbit IgG H&L (HRP) (<a href='/en-us/products/secondary-antibodies/goat-rabbit-igg-h-l-hrp-ab97051'>ab97051</a>) at 1/50000 dilution

Predicted band size: 32 kDa

Observed band size: 29 kDa,46 kDa

false

Immunoprecipitation - Anti-IGFBP3 antibody [EPR22152-22] - BSA and Azide free (AB239789)
  • IP

Unknown

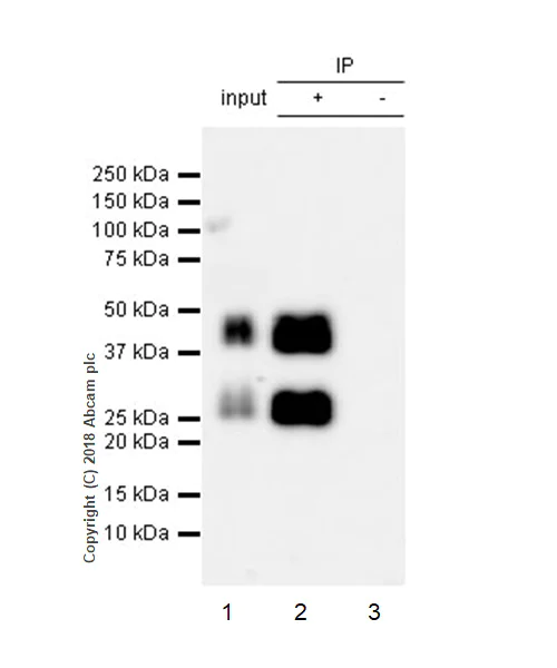
Immunoprecipitation - Anti-IGFBP3 antibody [EPR22152-22] - BSA and Azide free (AB239789)

IGFBP3 was immunoprecipitated from 0.35 mg of rat serum with ab220429 at 1/30 dilution. Western blot was performed from the immunoprecipitate using ab220429 at 1/1000 dilution. VeriBlot for IP Detection Reagent (HRP) (ab131366), was used for detection at 1/10,000 dilution.

Lane 1 : Rat serum 10 μg (Input).
Lane 2 : ab220429 IP in rat serum (+).
Lane 3 : Rabbit monoclonal IgG (ab172730) instead of ab20429 in rat serum.

Blocking and dilution buffer and concentration : 5% NFDM/TBST.
Exposure time : 30 seconds.

Both glycosylated (46 kDa) and non-glycosylated (29 kDa) IGFBP-3 are detected in rat serum. The molecular weight observed is consistent with what has been described in the literature (PMID 10352394; PMID : 9698597).

This data was developed using the same antibody clone in a different buffer formulation containing PBS, BSA, glycerol, and sodium azide (ab220429).

All lanes:

Immunoprecipitation - Anti-IGFBP3 antibody [EPR22152-22] (<a href='/en-us/products/primary-antibodies/igfbp3-antibody-epr22152-22-ab220429'>ab220429</a>)

Predicted band size: 32 kDa

Observed band size: 29 kDa,46 kDa

false

Immunoprecipitation - Anti-IGFBP3 antibody [EPR22152-22] - BSA and Azide free (AB239789)
  • IP

Unknown

Immunoprecipitation - Anti-IGFBP3 antibody [EPR22152-22] - BSA and Azide free (AB239789)

IGFBP3 was immunoprecipitated from 0.35 mg of mouse serum with ab220429 at 1/30 dilution. Western blot was performed from the immunoprecipitate using ab220429 at 1/1000 dilution. VeriBlot for IP Detection Reagent (HRP) (ab131366), was used for detection at 1/5000 dilution.

Lane 1 : Mouse serum 10 μg (Input).
Lane 2 : ab220429 IP in mouse serum (+).
Lane 3 : Rabbit monoclonal IgG (ab172730) instead of ab20429 in mouse serum.

Blocking and dilution buffer and concentration : 5% NFDM/TBST.
Exposure time : 30 seconds.

Non-glycosylated IGFBP-3 (29 kDa) is detected in mouse serum. The molecular weight observed is consistent with what has been described in the literature (PMID 10352394).

This data was developed using the same antibody clone in a different buffer formulation containing PBS, BSA, glycerol, and sodium azide (ab220429).

All lanes:

Immunoprecipitation - Anti-IGFBP3 antibody [EPR22152-22] (<a href='/en-us/products/primary-antibodies/igfbp3-antibody-epr22152-22-ab220429'>ab220429</a>)

Predicted band size: 32 kDa

Observed band size: 29 kDa

false

Key facts

Host species

Rabbit

Clonality

Monoclonal

Clone number

EPR22152-22

Isotype

IgG

Carrier free

Yes

Reacts with

Mouse, Rat

Applications

WB, IP

applications

Immunogen

The exact immunogen used to generate this antibody is proprietary information.

Reactivity data

{ "title": "Reactivity Data", "filters": { "stats": ["", "Species", "Dilution Info", "Notes"], "tabs": { "all-applications": {"fullname" : "All Applications", "shortname": "All Applications"}, "WB" : {"fullname" : "Western blot", "shortname":"WB"}, "IP" : {"fullname" : "Immunoprecipitation", "shortname":"IP"} }, "product-promise": { "all": "all", "testedAndGuaranteed": "tested", "guaranteed": "expected", "predicted": "predicted", "notRecommended": "not-recommended" } }, "values": { "Mouse": { "WB-species-checked": "testedAndGuaranteed", "WB-species-dilution-info": "", "WB-species-notes": "<p></p>", "IP-species-checked": "testedAndGuaranteed", "IP-species-dilution-info": "", "IP-species-notes": "<p></p>" }, "Rat": { "WB-species-checked": "testedAndGuaranteed", "WB-species-dilution-info": "", "WB-species-notes": "<p></p>", "IP-species-checked": "testedAndGuaranteed", "IP-species-dilution-info": "", "IP-species-notes": "<p></p>" } } }

Product details

ab239789 is the carrier-free version of ab220429.

Patented technology
Our RabMAb® technology is a patented hybridoma-based technology for making rabbit monoclonal antibodies. For details on our patents, please refer to RabMAb® patents.

What are the advantages of a recombinant monoclonal antibody?
This product is a recombinant monoclonal antibody, which offers several advantages including:

  • - High batch-to-batch consistency and reproducibility
  • - Improved sensitivity and specificity
  • - Long-term security of supply
  • - Animal-free batch production

For more information, read more on recombinant antibodies.

Conjugation ready
Our carrier-free antibodies are typically supplied in a PBS-only formulation, purified and free of BSA, sodium azide and glycerol. This conjugation-ready format is designed for use with fluorochromes, metal isotopes, oligonucleotides, and enzymes, which makes them ideal for antibody labelling, functional and cell-based assays, flow-based assays (e.g. mass cytometry) and Multiplex Imaging applications.

Use our conjugation kits for antibody conjugates that are ready-to-use in as little as 20 minutes with 1 minute hands-on-time and 100% antibody recovery: available for fluorescent dyes, HRP, biotin and gold.

Compatibility
This product is compatible with the Maxpar® Antibody Labeling Kit from Fluidigm, without the need for antibody preparation. Maxpar® is a trademark of Fluidigm Canada Inc.

Properties and storage information

Form
Liquid
Purification technique
Affinity purification Protein A
Storage buffer
pH: 7.2 - 7.4 Constituents: PBS
Shipped at conditions
Blue Ice
Appropriate short-term storage conditions
+4°C
Appropriate long-term storage conditions
+4°C
Storage information
Do Not Freeze

Product protocols

For this product, it's our understanding that no specific protocols are required. You can visit:

Target data

IGF-binding proteins prolong the half-life of the IGFs and have been shown to either inhibit or stimulate the growth promoting effects of the IGFs on cell culture. They alter the interaction of IGFs with their cell surface receptors. Also exhibits IGF-independent antiproliferative and apoptotic effects mediated by its receptor TMEM219/IGFBP-3R. Promotes testicular germ cell apoptosis.
See full target information Igfbp3

Publications (1)

Recent publications for all applications. Explore the full list and refine your search

Frontiers in medicine 12:1614012 PubMed40959429

2025

A mitochondrial ferroptosis-related gene signature predicts prognosis and immune landscape in colon cancer.

Applications

Unspecified application

Species

Unspecified reactive species

Hou Wang
View all publications

Product promise

We are committed to supporting your work with high-quality reagents, and we're here for you every step of the way. In the unlikely event that one of our products does not perform as expected, you're protected by our Product Promise.
For full details, please see our Terms & Conditions

Please note: All products are 'FOR RESEARCH USE ONLY. NOT FOR USE IN DIAGNOSTIC OR THERAPEUTIC PROCEDURES'.

For licensing inquiries, please contact partnerships@abcam.com