JavaScript is disabled in your browser. Please enable JavaScript to view this website.
AB202765

Anti-IGFBP7 antibody [EPR11912(B)] - BSA and Azide free

Be the first to review this product! Submit a review

|

(1 Publication)

Rabbit Recombinant Monoclonal IGFBP7 antibody. Carrier free. Suitable for ICC/IF, WB, IHC-P, Flow Cyt (Intra) and reacts with Human samples. Cited in 1 publication.

View Alternative Names

MAC25, PSF, IGFBP7, Insulin-like growth factor-binding protein 7, IBP-7, IGF-binding protein 7, IGFBP-7, IGFBP-rP1, MAC25 protein, PGI2-stimulating factor, Prostacyclin-stimulating factor, Tumor-derived adhesion factor, TAF

9 Images
Immunohistochemistry (Formalin/PFA-fixed paraffin-embedded sections) - Anti-IGFBP7 antibody [EPR11912(B)] - BSA and Azide free (AB202765)
  • IHC-P

Unknown

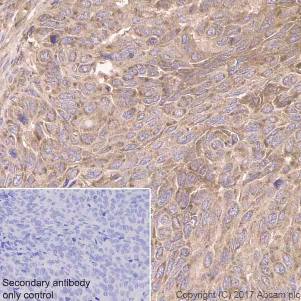
Immunohistochemistry (Formalin/PFA-fixed paraffin-embedded sections) - Anti-IGFBP7 antibody [EPR11912(B)] - BSA and Azide free (AB202765)

This data was developed using ab171085, the same antibody clone in a different buffer formulation.

Immunohistochemistry (Formalin/PFA-fixed paraffin-embedded sections) analysis of human lung cancer tissue sections labeling IGFBP7 with purified ab171085 at 1 : 250 dilution (2.4 μg/ml). Heat mediated antigen retrieval was performed using ab93684 (Tris/EDTA buffer, pH 9.0). Tissue was counterstained with Hematoxylin. ImmunoHistoProbe one step HRP Polymer (ready to use). PBS instead of the primary antibody was used as the negative control.

Immunohistochemistry (Formalin/PFA-fixed paraffin-embedded sections) - Anti-IGFBP7 antibody [EPR11912(B)] - BSA and Azide free (AB202765)
  • IHC-P

Supplier Data

Immunohistochemistry (Formalin/PFA-fixed paraffin-embedded sections) - Anti-IGFBP7 antibody [EPR11912(B)] - BSA and Azide free (AB202765)

This data was developed using ab171085, the same antibody clone in a different buffer formulation.

Immunohistochemical analysis of paraffin-embedded Human pancreas tissue labeling IGFBP7 with ab171085 at 1/50 dilution. This image was produced using unpurified antibody.

Immunocytochemistry/ Immunofluorescence - Anti-IGFBP7 antibody [EPR11912(B)] - BSA and Azide free (AB202765)
  • ICC/IF

Unknown

Immunocytochemistry/ Immunofluorescence - Anti-IGFBP7 antibody [EPR11912(B)] - BSA and Azide free (AB202765)

This data was developed using ab171085, the same antibody clone in a different buffer formulation.

Immunocytochemistry/ Immunofluorescence analysis of MCF7 (human breast adenocarcinoma epithelial cell) cells labeling IGFBP7 with Purified ab171085 at 1 : 100 (6.0 µg/ml). Cells were fixed in 4% Paraformaldehyde and permeabilized with 0.1% tritonX-100. Cells were counterstained with ab195889 Anti-alpha Tubulin antibody [DM1A] - Microtubule Marker (Alexa Fluor® 594) 1 : 200 (2.5 μg/ml). Goat anti rabbit IgG (Alexa Fluor® 488, ab150077) was used as the secondary antibody at 1 : 1000 (2 μg/ml) dilution. DAPI nuclear counterstain. PBS instead of the primary antibody was used as the secondary antibody only control.

Flow Cytometry (Intracellular) - Anti-IGFBP7 antibody [EPR11912(B)] - BSA and Azide free (AB202765)
  • Flow Cyt (Intra)

Supplier Data

Flow Cytometry (Intracellular) - Anti-IGFBP7 antibody [EPR11912(B)] - BSA and Azide free (AB202765)

This data was developed using ab171085, the same antibody clone in a different buffer formulation.

Intracellular flow cytometric analysis of permeabilized 293T cells labeling IGFBP7 with ab171085 at 1/250 dilution (red) compared to a rabbit IgG negative control (green). This image was produced using unpurified antibody.

Immunocytochemistry/ Immunofluorescence - Anti-IGFBP7 antibody [EPR11912(B)] - BSA and Azide free (AB202765)
  • ICC/IF

Supplier Data

Immunocytochemistry/ Immunofluorescence - Anti-IGFBP7 antibody [EPR11912(B)] - BSA and Azide free (AB202765)

This data was developed using ab171085, the same antibody clone in a different buffer formulation.

Immunofluorescent analysis of MCF7 cells labeling IGFBP7 with ab171085 at 1/250 dilution. This image was produced using unpurified antibody.

Flow Cytometry (Intracellular) - Anti-IGFBP7 antibody [EPR11912(B)] - BSA and Azide free (AB202765)
  • Flow Cyt (Intra)

Unknown

Flow Cytometry (Intracellular) - Anti-IGFBP7 antibody [EPR11912(B)] - BSA and Azide free (AB202765)

This data was developed using ab171085, the same antibody clone in a different buffer formulation.

Intracellular Flow Cytometry analysis of MCF7 (Human breast adenocarcinoma epithelial cell) cells labeling IGFBP7 with purified ab171085 at 1/60 dilution (10 ug/ml) (red). Cells were fixed with 4% Paraformaldehyde. A Goat anti rabbit IgG (Alexa Fluorr® 488) secondary antibody was used at 1/2000 dilution. Isotype control - Rabbit monoclonal IgG (Black). Unlabeled control - Cell without incubation with primary antibody and secondary antibody (Blue).

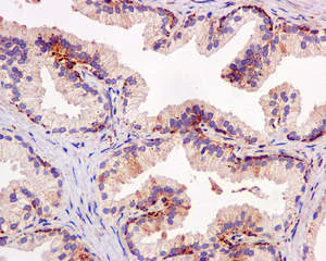
Immunohistochemistry (Formalin/PFA-fixed paraffin-embedded sections) - Anti-IGFBP7 antibody [EPR11912(B)] - BSA and Azide free (AB202765)
  • IHC-P

Supplier Data

Immunohistochemistry (Formalin/PFA-fixed paraffin-embedded sections) - Anti-IGFBP7 antibody [EPR11912(B)] - BSA and Azide free (AB202765)

This data was developed using ab171085, the same antibody clone in a different buffer formulation.

Immunohistochemical analysis of paraffin-embedded Human prostate tissue labeling IGFBP7 with ab171085 at 1/50 dilution. This image was produced using unpurified antibody.

Western blot - Anti-IGFBP7 antibody [EPR11912(B)] - BSA and Azide free (AB202765)
  • WB

Unknown

Western blot - Anti-IGFBP7 antibody [EPR11912(B)] - BSA and Azide free (AB202765)

This data was developed using ab171085, the same antibody clone in a different buffer formulation.

All lanes:

Western blot - Anti-IGFBP7 antibody [EPR11912(B)] (<a href='/en-us/products/primary-antibodies/igfbp7-antibody-epr11912b-ab171085'>ab171085</a>) at 1/10000 dilution

All lanes:

SW480 (Human colorectal adenocarcinoma epithelial cell) whole cell lysates at 15 µg

Secondary

All lanes:

Western blot - Goat Anti-Rabbit IgG H&L (HRP) (<a href='/en-us/products/secondary-antibodies/goat-rabbit-igg-h-l-hrp-ab97051'>ab97051</a>) at 1/20000 dilution

Predicted band size: 29 kDa

Observed band size: 29 kDa

false

Western blot - Anti-IGFBP7 antibody [EPR11912(B)] - BSA and Azide free (AB202765)
  • WB

Supplier Data

Western blot - Anti-IGFBP7 antibody [EPR11912(B)] - BSA and Azide free (AB202765)

This data was developed using ab171085, the same antibody clone in a different buffer formulation.

This image was produced using unpurified antibody.

All lanes:

Western blot - Anti-IGFBP7 antibody [EPR11912(B)] (<a href='/en-us/products/primary-antibodies/igfbp7-antibody-epr11912b-ab171085'>ab171085</a>) at 1/1000 dilution

Lane 1:

SW480 cell lysate at 10 µg

Lane 2:

293T cell lysate at 10 µg

Lane 3:

MCF7 cell lysate at 10 µg

Predicted band size: 29 kDa

false

Key facts

Host species

Rabbit

Clonality

Monoclonal

Clone number

EPR11912(B)

Isotype

IgG

Carrier free

Yes

Reacts with

Human

Applications

Flow Cyt (Intra), ICC/IF, WB, IHC-P

applications

Immunogen

The exact immunogen used to generate this antibody is proprietary information.

Reactivity data

{ "title": "Reactivity Data", "filters": { "stats": ["", "Species", "Dilution Info", "Notes"], "tabs": { "all-applications": {"fullname" : "All Applications", "shortname": "All Applications"}, "ICCIF" : {"fullname" : "Immunocytochemistry/ Immunofluorescence", "shortname":"ICC/IF"}, "WB" : {"fullname" : "Western blot", "shortname":"WB"}, "IHCP" : {"fullname" : "Immunohistochemistry (Formalin/PFA-fixed paraffin-embedded sections)", "shortname":"IHC-P"}, "FlowCytIntra" : {"fullname" : "Flow Cytometry (Intracellular)", "shortname":"Flow Cyt (Intra)"} }, "product-promise": { "all": "all", "testedAndGuaranteed": "tested", "guaranteed": "expected", "predicted": "predicted", "notRecommended": "not-recommended" } }, "values": { "Human": { "ICCIF-species-checked": "testedAndGuaranteed", "ICCIF-species-dilution-info": "", "ICCIF-species-notes": "<p></p>", "WB-species-checked": "testedAndGuaranteed", "WB-species-dilution-info": "", "WB-species-notes": "<p></p>", "IHCP-species-checked": "testedAndGuaranteed", "IHCP-species-dilution-info": "", "IHCP-species-notes": "<p></p>", "FlowCytIntra-species-checked": "testedAndGuaranteed", "FlowCytIntra-species-dilution-info": "", "FlowCytIntra-species-notes": "<p></p>" } } }

Product details

ab202765 is the carrier-free version of ab171085.

Patented technology
Our RabMAb® technology is a patented hybridoma-based technology for making rabbit monoclonal antibodies. For details on our patents, please refer to RabMAb® patents.

What are the advantages of a recombinant monoclonal antibody?
This product is a recombinant monoclonal antibody, which offers several advantages including:

  • - High batch-to-batch consistency and reproducibility
  • - Improved sensitivity and specificity
  • - Long-term security of supply
  • - Animal-free batch production

For more information, read more on recombinant antibodies.

Conjugation ready
Our carrier-free antibodies are typically supplied in a PBS-only formulation, purified and free of BSA, sodium azide and glycerol. This conjugation-ready format is designed for use with fluorochromes, metal isotopes, oligonucleotides, and enzymes, which makes them ideal for antibody labelling, functional and cell-based assays, flow-based assays (e.g. mass cytometry) and Multiplex Imaging applications.

Use our conjugation kits for antibody conjugates that are ready-to-use in as little as 20 minutes with 1 minute hands-on-time and 100% antibody recovery: available for fluorescent dyes, HRP, biotin and gold.

Compatibility
This product is compatible with the Maxpar® Antibody Labeling Kit from Fluidigm, without the need for antibody preparation. Maxpar® is a trademark of Fluidigm Canada Inc.

Properties and storage information

Form
Liquid
Purification technique
Affinity purification Protein A
Storage buffer
pH: 7.2 - 7.4 Constituents: PBS
Shipped at conditions
Blue Ice
Appropriate short-term storage conditions
+4°C
Appropriate long-term storage conditions
+4°C
Storage information
Do Not Freeze

Product protocols

For this product, it's our understanding that no specific protocols are required. You can visit:

Target data

Binds IGF1 and IGF2 with a relatively low affinity. Stimulates prostacyclin (PGI2) production. Stimulates cell adhesion. Acts as a ligand for CD93 to play a role in angiogenesis (PubMed : 38218180).
See full target information IGFBP7

Publications (1)

Recent publications for all applications. Explore the full list and refine your search

Physiological reports 13:e70264 PubMed40051209

2025

Acute tuft cell ablation in mice induces malabsorption and alterations in secretory and immune cell lineages in the small intestine.

Applications

Unspecified application

Species

Unspecified reactive species

Michael Momoh,Francisca Adeniran,Cynthia Ramos,Kathleen E DelGiorno,Hiroshi Seno,Joseph T Roland,Izumi Kaji
View all publications

Product promise

We are committed to supporting your work with high-quality reagents, and we're here for you every step of the way. In the unlikely event that one of our products does not perform as expected, you're protected by our Product Promise.
For full details, please see our Terms & Conditions

Please note: All products are 'FOR RESEARCH USE ONLY. NOT FOR USE IN DIAGNOSTIC OR THERAPEUTIC PROCEDURES'.

For licensing inquiries, please contact partnerships@abcam.com