JavaScript is disabled in your browser. Please enable JavaScript to view this website.
AB218427

Anti-IgG antibody [IG507R]

Be the first to review this product! Submit a review

|

(9 Publications)

Rabbit Recombinant Monoclonal IGHG1 antibody. Suitable for Protein Array, IHC-P and reacts with Recombinant full length protein - Human, Human samples. Cited in 9 publications. Immunogen corresponding to Native Full Length Protein corresponding to Human IGHG1.

View Alternative Names

Immunoglobulin heavy constant gamma 1, Ig gamma-1 chain C region, Ig gamma-1 chain C region EU, Ig gamma-1 chain C region KOL, Ig gamma-1 chain C region NIE, IGHG1

2 Images
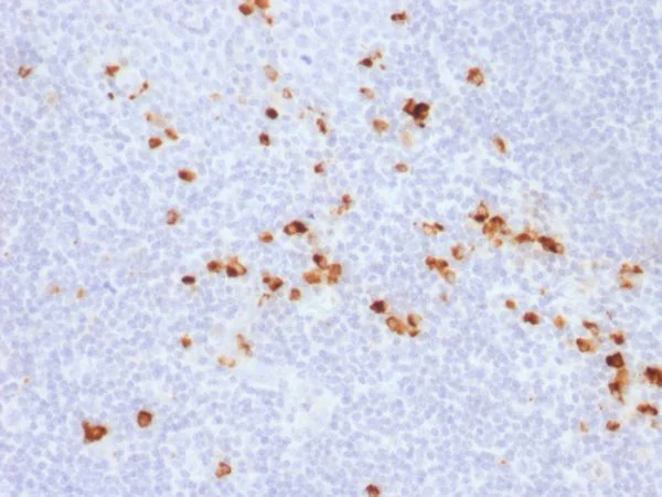
Immunohistochemistry (Formalin/PFA-fixed paraffin-embedded sections) - Anti-IgG antibody [IG507R] (AB218427)
  • IHC-P

Supplier Data

Immunohistochemistry (Formalin/PFA-fixed paraffin-embedded sections) - Anti-IgG antibody [IG507R] (AB218427)

Immunohistochemical analysis of formalin-fixed, paraffin-embedded human tonsil tissue, labeling IgG with ab218427 at 1 ug/mL.

Protein Array - Anti-IgG antibody [IG507R] (AB218427)
  • Protein Array

Unknown

Protein Array - Anti-IgG antibody [IG507R] (AB218427)

ab218427 was tested in protein array against over 19000 different full-length human proteins.
Z- and S- Score : The Z-score represents the strength of a signal that a monoclonal antibody (MAb) (in combination with a fluorescently-tagged anti-IgG secondary antibody) produces when binding to a particular protein on the HuProtTM array. Z-scores are described in units of standard deviations (SD's) above the mean value of all signals generated on that array. If targets on HuProtTM are arranged in descending order of the Z-score, the S-score is the difference (also in units of SD's) between the Z-score. S-score therefore represents the relative target specificity of a MAb to its intended target.
A MAb is specific to its intended target if the MAb has an S-score of at least 2.5. For example, if a MAb binds to protein X with a Z-score of 43 and to protein Y with a Z-score of 14, then the S-score for the binding of that MAb to protein X is equal to 29.

  • Carrier free

    Anti-IgG antibody [IG507R] - BSA and Azide free

Key facts

Host species

Rabbit

Clonality

Monoclonal

Clone number

IG507R

Isotype

IgG

Light chain type

kappa

Carrier free

No

Reacts with

Human

Applications

Protein Array, IHC-P

applications

Immunogen

Native Full Length Protein corresponding to Human IGHG1.

P01857

Specificity

Recognizes a protein of 75 kDa, identified as gamma heavy chain of human immunoglobulins. It does not cross-react with alpha (IgA), mu (IgM), epsilon (IgE), or delta (IgD), heavy chains, T-cells, monocytes, granulocytes, or erythrocytes.

Reactivity data

{ "title": "Reactivity Data", "filters": { "stats": ["", "Species", "Dilution Info", "Notes"], "tabs": { "all-applications": {"fullname" : "All Applications", "shortname": "All Applications"}, "ProteinArray" : {"fullname" : "Protein Array", "shortname":"Protein Array"}, "IHCP" : {"fullname" : "Immunohistochemistry (Formalin/PFA-fixed paraffin-embedded sections)", "shortname":"IHC-P"} }, "product-promise": { "all": "all", "testedAndGuaranteed": "tested", "guaranteed": "expected", "predicted": "predicted", "notRecommended": "not-recommended" } }, "values": { "Human": { "ProteinArray-species-checked": "guaranteed", "ProteinArray-species-dilution-info": "", "ProteinArray-species-notes": "", "IHCP-species-checked": "testedAndGuaranteed", "IHCP-species-dilution-info": "1-2 µg/mL", "IHCP-species-notes": "<p></p>" }, "Recombinant full length protein - Human": { "ProteinArray-species-checked": "testedAndGuaranteed", "ProteinArray-species-dilution-info": "", "ProteinArray-species-notes": "<p></p>", "IHCP-species-checked": "notRecommended", "IHCP-species-dilution-info": "", "IHCP-species-notes": "" } } }

Properties and storage information

Form
Liquid
Purification technique
Affinity purification Protein A
Storage buffer
pH: 7.2 - 7.4 Preservative: 0.05% Sodium azide Constituents: PBS, 0.05% BSA
Shipped at conditions
Blue Ice
Appropriate short-term storage duration
1-2 weeks
Appropriate short-term storage conditions
+4°C
Appropriate long-term storage conditions
-20°C
Aliquoting information
Upon delivery aliquot
Storage information
Avoid freeze / thaw cycle

Product protocols

For this product, it's our understanding that no specific protocols are required. You can visit:

Target data

Constant region of immunoglobulin heavy chains. Immunoglobulins, also known as antibodies, are membrane-bound or secreted glycoproteins produced by B lymphocytes. In the recognition phase of humoral immunity, the membrane-bound immunoglobulins serve as receptors which, upon binding of a specific antigen, trigger the clonal expansion and differentiation of B lymphocytes into immunoglobulins-secreting plasma cells. Secreted immunoglobulins mediate the effector phase of humoral immunity, which results in the elimination of bound antigens (PubMed : 20176268, PubMed : 22158414). The antigen binding site is formed by the variable domain of one heavy chain, together with that of its associated light chain. Thus, each immunoglobulin has two antigen binding sites with remarkable affinity for a particular antigen. The variable domains are assembled by a process called V-(D)-J rearrangement and can then be subjected to somatic hypermutations which, after exposure to antigen and selection, allow affinity maturation for a particular antigen (PubMed : 17576170, PubMed : 20176268). Mediates IgG effector functions on monocytes triggering ADCC of virus-infected cells.
See full target information IGHG1

Publications (9)

Recent publications for all applications. Explore the full list and refine your search

NPJ precision oncology 9:305 PubMed40877429

2025

Restoration of Osimertinib sensitivity in lung cancer through BRD4 inhibitor-mediated depalmitoylation of mutant EGFR via APT1.

Applications

Unspecified application

Species

Unspecified reactive species

Wolong Zhou,Shaoqiang Wang,Zhenyu Zhang,Linfeng Li,Jiebo Zhu,Hang Lin,Heng Zhang

Nature communications 16:2863 PubMed40128181

2025

Microbiota-reprogrammed phosphatidylcholine inactivates cytotoxic CD8 T cells through UFMylation via exosomal SerpinB9 in multiple myeloma.

Applications

Unspecified application

Species

Unspecified reactive species

Wei Yan,Xue Shi,Yun Zhao,Xiaoyu Liu,Xueming Jia,Le Gao,Jiahe Yuan,Aijun Liao,Hiroshi Yasui,Xiaobin Wang,Xiaotian Wang,Rui Zhang,Huihan Wang

Theranostics 14:5778-5792 PubMed39346536

2024

Hypoxia-induced TGFBI maintains glioma stem cells by stabilizing EphA2.

Applications

Unspecified application

Species

Unspecified reactive species

Zirong Chen,Junhong Wang,Peng Peng,Guohao Liu,Minhai Dong,Xiaolin Zhang,Yang Zhang,Xue Yang,Lijun Wan,Wang Xiang,Suojun Zhang,Bin Zhang,Qiuxia Wu,Xingjiang Yu,Feng Wan

Nature communications 15:1667 PubMed38396116

2024

Profiling of microglia nodules in multiple sclerosis reveals propensity for lesion formation.

Applications

Unspecified application

Species

Unspecified reactive species

Aletta M R van den Bosch,Marlijn van der Poel,Nina L Fransen,Maria C J Vincenten,Anneleen M Bobeldijk,Aldo Jongejan,Hendrik J Engelenburg,Perry D Moerland,Joost Smolders,Inge Huitinga,Jörg Hamann

Advanced science (Weinheim, Baden-Wurttemberg, Germany) 11:e2305620 PubMed38087889

2023

Transgelin Promotes Glioblastoma Stem Cell Hypoxic Responses and Maintenance Through p53 Acetylation.

Applications

Unspecified application

Species

Unspecified reactive species

Huan Li,Chao Song,Yang Zhang,Guohao Liu,Hailong Mi,Yachao Li,Zhiye Chen,Xiaoyu Ma,Po Zhang,Lidong Cheng,Peng Peng,Hongtao Zhu,Zirong Chen,Minhai Dong,Sui Chen,Hao Meng,QunGen Xiao,Honglian Li,Qiulian Wu,Baofeng Wang,Suojun Zhang,Kai Shu,Feng Wan,Dongsheng Guo,Wenchao Zhou,Lin Zhou,Feng Mao,Jeremy N Rich,Xingjiang Yu

Current issues in molecular biology 45:2013-2020 PubMed36975499

2023

Evaluation of the Efficacy of Immune and Inflammatory Markers in the Diagnosis of Lacrimal-Gland Benign Lymphoepithelial Lesion.

Applications

Unspecified application

Species

Unspecified reactive species

Fuxiao Luan,Rui Liu,Jing Li,Xin Ge,Nan Wang,Qihan Guo,Yong Tao,Jianmin Ma

The journal of gene medicine 23:e3382 PubMed34350661

2021

Inhibition of the long non-coding RNA UNC5B-AS1/miR-4455/RSPO4 axis reduces cervical cancer growth in vitro and in vivo.

Applications

Unspecified application

Species

Unspecified reactive species

Jian Fu,Yuanyuan Zhang,Min Wang,Junwu Hu,Yuelan Fang

Cancer cell international 20:244 PubMed32549791

2020

Knockdown of LINC00662 represses AK4 and attenuates radioresistance of oral squamous cell carcinoma.

Applications

Unspecified application

Species

Unspecified reactive species

Yangzong Chen,Chunchun Bao,Xiuxing Zhang,Xinshi Lin,Yimou Fu

Experimental and therapeutic medicine 16:1963-1967 PubMed30186425

2018

Reduced hepcidin level features osteoporosis.

Applications

Unspecified application

Species

Unspecified reactive species

Bin Liu,Caihua Liu,Weifeng Zhong,Min Song,Shouqin Du,Jianli Su
View all publications

Product promise

We are committed to supporting your work with high-quality reagents, and we're here for you every step of the way. In the unlikely event that one of our products does not perform as expected, you're protected by our Product Promise.
For full details, please see our Terms & Conditions

Please note: All products are 'FOR RESEARCH USE ONLY. NOT FOR USE IN DIAGNOSTIC OR THERAPEUTIC PROCEDURES'.

For licensing inquiries, please contact partnerships@abcam.com