JavaScript is disabled in your browser. Please enable JavaScript to view this website.
AB134050

Anti-IgG2 antibody [EPR4418]

Be the first to review this product! Submit a review

|

(7 Publications)

Rabbit Recombinant Monoclonal IGHG2 antibody. Suitable for IHC-P, ELISA, WB, ICC/IF, Flow Cyt (Intra) and reacts with Human samples. Cited in 7 publications.

View Alternative Names

Immunoglobulin heavy constant gamma 2, Ig gamma-2 chain C region, Ig gamma-2 chain C region DOT, Ig gamma-2 chain C region TIL, Ig gamma-2 chain C region ZIE, IGHG2

7 Images
Immunocytochemistry/ Immunofluorescence - Anti-IgG2 antibody [EPR4418] (AB134050)
  • ICC/IF

Unknown

Immunocytochemistry/ Immunofluorescence - Anti-IgG2 antibody [EPR4418] (AB134050)

Immunocytochemistry/ Immunofluorescence analysis of Raji (human Burkitt's lymphoma cell line) cells labeling IgG2 with purified ab134050 at 1 : 100 dilution (10 μg/ml). Cells were fixed in 4% Paraformaldehyde and permeabilized with 0.1% tritonX-100. Cells were counterstained with ab195889 Anti-alpha Tubulin antibody [DM1A] - Microtubule Marker (Alexa Fluor® 594) 1 : 200 (2.5 μg/ml). Goat anti rabbit IgG (Alexa Fluor® 488, ab150077) was used as the secondary antibody at 1 : 1000 (2 μg/ml) dilution. DAPI (blue) was used as nuclear counterstain. PBS instead of the primary antibody was used as the secondary antibody only control.

Flow Cytometry (Intracellular) - Anti-IgG2 antibody [EPR4418] (AB134050)
  • Flow Cyt (Intra)

Unknown

Flow Cytometry (Intracellular) - Anti-IgG2 antibody [EPR4418] (AB134050)

Intracellular Flow Cytometry analysis of Raji (human Burkitt's lymphoma cell line) cells labeling IgG2 with purified ab134050 at 1/100 dilution (10μg/ml) (Red). Cells were fixed with 4% Paraformaldehyde and permeabilised with 90% Methanol. A Goat anti rabbit IgG (Alexa Fluor® 488, ab150077) secondary antibody was used at 1/2000. Isotype control - Rabbit monoclonal IgG (Black). Unlabeled control - Cell without incubation with primary antibody and secondary antibody (Blue).

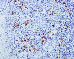
Immunohistochemistry (Formalin/PFA-fixed paraffin-embedded sections) - Anti-IgG2 antibody [EPR4418] (AB134050)
  • IHC-P

Unknown

Immunohistochemistry (Formalin/PFA-fixed paraffin-embedded sections) - Anti-IgG2 antibody [EPR4418] (AB134050)

Immunohistochemical analysis of paraffin-embedded human thyroid gland tissue labeling IgG2 with unpurified ab134050 at 1/500 dilution.

Perform heat mediated antigen retrieval before commencing with IHC staining protocol.

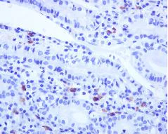
Immunohistochemistry (Formalin/PFA-fixed paraffin-embedded sections) - Anti-IgG2 antibody [EPR4418] (AB134050)
  • IHC-P

Unknown

Immunohistochemistry (Formalin/PFA-fixed paraffin-embedded sections) - Anti-IgG2 antibody [EPR4418] (AB134050)

Immunohistochemical analysis of paraffin-embedded human tonsil tissue labeling IgG2 with unpurified ab134050 at 1/500 dilution.

Perform heat mediated antigen retrieval before commencing with IHC staining protocol.

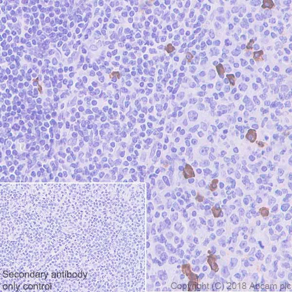
Immunohistochemistry (Formalin/PFA-fixed paraffin-embedded sections) - Anti-IgG2 antibody [EPR4418] (AB134050)
  • IHC-P

Unknown

Immunohistochemistry (Formalin/PFA-fixed paraffin-embedded sections) - Anti-IgG2 antibody [EPR4418] (AB134050)

Immunohistochemistry (Formalin/PFA-fixed paraffin-embedded sections) analysis of human tonsil tissue sections labeling IgG2 with purified ab134050 at 1 : 40000 dilution (0.025 µg/ml). Heat mediated antigen retrieval was performed using ab93684 (Tris/EDTA buffer, pH 9.0). ImmunoHistoProbe one step HRP Polymer (ready to use) was used as the secondary antibody. Negative control : PBS instead of the primary antibody. Hematoxylin was used as a counterstain.

Western blot - Anti-IgG2 antibody [EPR4418] (AB134050)
  • WB

Lab

Western blot - Anti-IgG2 antibody [EPR4418] (AB134050)

All lanes:

Western blot - Anti-IgG2 antibody [EPR4418] (ab134050) at 1/5000 dilution

Lane 1:

Human spleen lysates at 15 µg

Lane 2:

Human tonsil lysates at 15 µg

Secondary

All lanes:

Goat Anti-Rabbit IgG (HRP) with minimal cross-reactivity with human IgG at 1/2000 dilution

Predicted band size: 36 kDa

Observed band size: 52 kDa

false

Western blot - Anti-IgG2 antibody [EPR4418] (AB134050)
  • WB

Unknown

Western blot - Anti-IgG2 antibody [EPR4418] (AB134050)

All lanes:

Western blot - Anti-IgG2 antibody [EPR4418] (ab134050) at 1/10000 dilution

Lane 1:

Human Recombinant IgG2 at 0.01 µg

Lane 2:

Human Recombinant IgG1 at 0.01 µg

Lane 3:

Human Recombinant IgG3 at 0.01 µg

Lane 4:

Human Recombinant IgG4 at 0.01 µg

Lane 5:

Human spleen lysate at 10 µg

Lane 6:

Human tonsil lysate at 10 µg

Secondary

All lanes:

HRP labelled goat anti-rabbit at 1/2000 dilution

Predicted band size: 36 kDa

false

  • HRP

    HRP Anti-IgG2 antibody [EPR4418]

  • Carrier free

    Anti-IgG2 antibody [EPR4418] - BSA and Azide free

  • 519 Alexa Fluor® 488

    Alexa Fluor® 488 Anti-IgG2 antibody [EPR4418]

  • 665 Alexa Fluor® 647

    Alexa Fluor® 647 Anti-IgG2 antibody [EPR4418]

  • Biotin

    Biotin Anti-IgG2 antibody [EPR4418]

Key facts

Host species

Rabbit

Clonality

Monoclonal

Clone number

EPR4418

Isotype

IgG

Carrier free

No

Reacts with

Human

Applications

IHC-P, ELISA, ICC/IF, WB, Flow Cyt (Intra)

applications

Immunogen

The exact immunogen used to generate this antibody is proprietary information.

Specificity

ab134050 does not cross-react with human IgG1, IgG3 or IgG4.

Reactivity data

{ "title": "Reactivity Data", "filters": { "stats": ["", "Species", "Dilution Info", "Notes"], "tabs": { "all-applications": {"fullname" : "All Applications", "shortname": "All Applications"}, "IHCP" : {"fullname" : "Immunohistochemistry (Formalin/PFA-fixed paraffin-embedded sections)", "shortname":"IHC-P"}, "IP" : {"fullname" : "Immunoprecipitation", "shortname":"IP"}, "ELISA" : {"fullname" : "ELISA", "shortname":"ELISA"}, "WB" : {"fullname" : "Western blot", "shortname":"WB"}, "ICCIF" : {"fullname" : "Immunocytochemistry/ Immunofluorescence", "shortname":"ICC/IF"}, "FlowCytIntra" : {"fullname" : "Flow Cytometry (Intracellular)", "shortname":"Flow Cyt (Intra)"} }, "product-promise": { "all": "all", "testedAndGuaranteed": "tested", "guaranteed": "expected", "predicted": "predicted", "notRecommended": "not-recommended" } }, "values": { "Human": { "IHCP-species-checked": "testedAndGuaranteed", "IHCP-species-dilution-info": "1/40000", "IHCP-species-notes": "<p>For unpurified use at 1/500-1/1000</p> Perform heat-mediated antigen retrieval before commencing with IHC staining protocol.", "IP-species-checked": "notRecommended", "IP-species-dilution-info": "", "IP-species-notes": "<p></p>", "ELISA-species-checked": "guaranteed", "ELISA-species-dilution-info": "", "ELISA-species-notes": "<p></p>", "WB-species-checked": "testedAndGuaranteed", "WB-species-dilution-info": "1/5000", "WB-species-notes": "<p><strong>For unpurified use at 1/10000-1/20000</strong></p>", "ICCIF-species-checked": "testedAndGuaranteed", "ICCIF-species-dilution-info": "1/50 - 1/100", "ICCIF-species-notes": "<p></p>", "FlowCytIntra-species-checked": "testedAndGuaranteed", "FlowCytIntra-species-dilution-info": "1/70", "FlowCytIntra-species-notes": "<p></p>" } } }

Product details

Species reactivity
Mouse, Rat: We have preliminary internal testing data to indicate this antibody may not react with these species.
Please contact us for more information.

Patented technology
Our RabMAb® technology is a patented hybridoma-based technology for making rabbit monoclonal antibodies. For details on our patents, please refer to RabMAb® patents.

What are the advantages of a recombinant monoclonal antibody?
This product is a recombinant monoclonal antibody, which offers several advantages including:

  • - High batch-to-batch consistency and reproducibility
  • - Improved sensitivity and specificity
  • - Long-term security of supply
  • - Animal-free batch production

For more information, read more on recombinant antibodies.

Properties and storage information

Form
Liquid
Purification technique
Affinity purification Protein A
Storage buffer
pH: 7.2 - 7.4 Preservative: 0.01% Sodium azide Constituents: PBS, 40% Glycerol (glycerin, glycerine), 0.05% BSA
Shipped at conditions
Blue Ice
Appropriate short-term storage conditions
+4°C
Appropriate long-term storage conditions
-20°C
Storage information
Stable for 12 months at -20°C

Product protocols

For this product, it's our understanding that no specific protocols are required. You can visit:

Target data

Constant region of immunoglobulin heavy chains. Immunoglobulins, also known as antibodies, are membrane-bound or secreted glycoproteins produced by B lymphocytes. In the recognition phase of humoral immunity, the membrane-bound immunoglobulins serve as receptors which, upon binding of a specific antigen, trigger the clonal expansion and differentiation of B lymphocytes into immunoglobulins-secreting plasma cells. Secreted immunoglobulins mediate the effector phase of humoral immunity, which results in the elimination of bound antigens (PubMed : 20176268, PubMed : 22158414). The antigen binding site is formed by the variable domain of one heavy chain, together with that of its associated light chain. Thus, each immunoglobulin has two antigen binding sites with remarkable affinity for a particular antigen. The variable domains are assembled by a process called V-(D)-J rearrangement and can then be subjected to somatic hypermutations which, after exposure to antigen and selection, allow affinity maturation for a particular antigen (PubMed : 17576170, PubMed : 20176268).
See full target information IGHG2

Publications (7)

Recent publications for all applications. Explore the full list and refine your search

Journal of microbiology and biotechnology 35:e2501010 PubMed40537911

2025

EIF4A3-Induced Circ_0092278 Enhances Papillary Thyroid Cancer Cell Malignancy by the PI3K/Akt/mTOR Signaling Pathway.

Applications

Unspecified application

Species

Unspecified reactive species

Mengjiang Liu,Linghui Zhang,Zhaodan Yan

International urology and nephrology : PubMed38381285

2024

Immunohistological analysis reveals IgG1-dominant immunophenotype of tubulointerstitial nephritis unassociated with IgG4-related diseases.

Applications

Unspecified application

Species

Unspecified reactive species

Toshiki Hyodo,Shigeo Hara,Shunsuke Goto,Hideki Fujii,Shinichi Nishi,Tomoko Horinouchi,Kandai Nozu,Norishige Yoshikawa,Akihiro Yoshimoto,Tomoo Itoh

Cell reports. Medicine 4:101223 PubMed37794584

2023

End binding-3 inhibitor activates regenerative program in age-related macular degeneration.

Applications

Unspecified application

Species

Unspecified reactive species

Quinn Lee,Wan Ching Chan,Xinyan Qu,Ying Sun,Hazem Abdelkarim,Jonathan Le,Uzma Saqib,Mitchell Y Sun,Kevin Kruse,Avik Banerjee,Ben Hitchinson,Melissa Geyer,Fei Huang,Victor Guaiquil,Amelia A Mutso,Martin Sanders,Mark I Rosenblatt,Mark Maienschein-Cline,Matthew S Lawrence,Vadim Gaponenko,Asrar B Malik,Yulia A Komarova

Frontiers in cell and developmental biology 9:801715 PubMed35237609

2022

Investigation of an FGFR-Signaling-Related Prognostic Model and Immune Landscape in Head and Neck Squamous Cell Carcinoma.

Applications

Unspecified application

Species

Unspecified reactive species

Qi Chen,Ling Chu,Xinyu Li,Hao Li,Ying Zhang,Qingtai Cao,Quan Zhuang

Journal of proteome research 21:274-288 PubMed34878788

2021

Next-Generation Serology by Mass Spectrometry: Readout of the SARS-CoV-2 Antibody Repertoire.

Applications

Unspecified application

Species

Unspecified reactive species

Rafael D Melani,Benjamin J Des Soye,Jared O Kafader,Eleonora Forte,Michael Hollas,Voislav Blagojevic,Fernanda Negrão,John P McGee,Bryon Drown,Cameron Lloyd-Jones,Henrique S Seckler,Jeannie M Camarillo,Philip D Compton,Richard D LeDuc,Bryan Early,Ryan T Fellers,Byoung-Kyu Cho,Basil Baby Mattamana,Young Ah Goo,Paul M Thomas,Michelle K Ash,Pavan P Bhimalli,Lena Al-Harthi,Beverly E Sha,Jeffrey R Schneider,Neil L Kelleher

medRxiv : the preprint server for health sciences : PubMed34268518

2021

Next-generation Serology by Mass Spectrometry: Readout of the SARS-CoV-2 Antibody Repertoire.

Applications

Unspecified application

Species

Unspecified reactive species

Rafael D Melani,Benjamin J Des Soye,Jared O Kafader,Eleonora Forte,Michael Hollas,Voislav Blagojevic,Fernanda Negrão,John P McGee,Bryon Drown,Cameron Lloyd-Jones,Henrique S Seckler,Jeannie M Camarillo,Philip D Compton,Richard D LeDuc,Bryan Early,Ryan T Fellers,Byoung-Kyu Cho,Basil Baby Mattamana,Young Ah Goo,Paul M Thomas,Michelle K Ash,Pavan P Bhimalli,Lena Al-Harthi,Beverly E Sha,Jeffrey R Schneider,Neil L Kelleher

International journal of molecular medicine 41:3296-3306 PubMed29512722

2018

Expression of immunoglobulin G in human podocytes, and its role in cell viability and adhesion.

Applications

Unspecified application

Species

Unspecified reactive species

Ziyang Jing,Hui Deng,Junfan Ma,Yanhong Guo,Yaoxian Liang,Rui Wu,Lata A,Zihan Geng,Xiaoyan Qiu,Yue Wang
View all publications

Product promise

We are committed to supporting your work with high-quality reagents, and we're here for you every step of the way. In the unlikely event that one of our products does not perform as expected, you're protected by our Product Promise.
For full details, please see our Terms & Conditions

Please note: All products are 'FOR RESEARCH USE ONLY. NOT FOR USE IN DIAGNOSTIC OR THERAPEUTIC PROCEDURES'.

For licensing inquiries, please contact partnerships@abcam.com