JavaScript is disabled in your browser. Please enable JavaScript to view this website.
AB238320

Anti-IgG4 antibody [RM120]

Be the first to review this product! Submit a review

|

(1 Publication)

Rabbit Recombinant Monoclonal IGHG4 antibody. Suitable for ELISA, WB, IHC-P and reacts with Synthetic peptide - Human, Human samples. Cited in 1 publication. Immunogen corresponding to Synthetic Peptide within Human IGHG4.

View Alternative Names

Immunoglobulin heavy constant gamma 4, Ig gamma-4 chain C region, IGHG4

6 Images
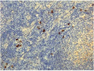
Immunohistochemistry (Formalin/PFA-fixed paraffin-embedded sections) - Anti-IgG4 antibody [RM120] (AB238320)
  • IHC-P

Supplier Data

Immunohistochemistry (Formalin/PFA-fixed paraffin-embedded sections) - Anti-IgG4 antibody [RM120] (AB238320)

Formalin-fixed, Paraffin-embedded human lymphoid tissue stained for Human IgG4 using ab238320 at 2 μg/mL in immunohistochemical analysis.

ELISA - Anti-IgG4 antibody [RM120] (AB238320)
  • ELISA

Supplier Data

ELISA - Anti-IgG4 antibody [RM120] (AB238320)

A titer ELISA using ab238320. The plate was coated with different amounts of human IgG4. A serial dilution of ab238320 was used as the primary antibody. An alkaline phosphatase conjugated anti-rabbit IgG as the secondary antibody.``

ELISA - Anti-IgG4 antibody [RM120] (AB238320)
  • ELISA

Supplier Data

ELISA - Anti-IgG4 antibody [RM120] (AB238320)

Sandwich ELISA using ab238320 as the capture antibody at 200ng/well, and a Biotinylated anti-human light chains (κ+ λ) antibody as the detection antibody, followed by an AP conjugated streptavidin.``

Western blot - Anti-IgG4 antibody [RM120] (AB238320)
  • WB

Supplier Data

Western blot - Anti-IgG4 antibody [RM120] (AB238320)

The Western blot shows ab238320 reacts to human IgG4, in both whole molecule (~150kDa, non-reduced) and heavy chain (~50kDa, reduced) forms. No cross reactivity with other isotypes of human IgG, or mouse, rat, or goat IgG is shown.

All lanes:

Western blot - Anti-IgG4 antibody [RM120] (ab238320) at 2 µg/mL

Lane 1:

non-reduced (-) and reduced (+) forms of Human IgG1

Lane 2:

non-reduced (-) and reduced (+) forms of Human IgG2

Lane 3:

non-reduced (-) and reduced (+) forms of Human IgG3

Lane 4:

non-reduced (-) and reduced (+) forms of Human IgG4

Lane 5:

non-reduced (-) and reduced (+) forms of Mouse IgG

Lane 6:

non-reduced (-) and reduced (+) forms of rat IgG

Lane 7:

non-reduced (-) and reduced (+) forms of goat IgG

Predicted band size: 36 kDa

false

ELISA - Anti-IgG4 antibody [RM120] (AB238320)
  • ELISA

Supplier Data

ELISA - Anti-IgG4 antibody [RM120] (AB238320)

ELISA showing ab238320 does not react to monkey IgG. The plate was coated with Rhesus monkey IgG. A serial dilution of ab238320 and a monkey IgG binding antibody (positive control) was used as the detection antibody.

ELISA - Anti-IgG4 antibody [RM120] (AB238320)
  • ELISA

Supplier Data

ELISA - Anti-IgG4 antibody [RM120] (AB238320)

Detection of human IgG4 in monkey serum. Sandwich ELISA using ab238320 as the capture antibody, and a biotinylated anti-human light chains (κ+ λ) antibody as the detection antibody, followed by a HRP conjugated streptavidin.``

Key facts

Host species

Rabbit

Clonality

Monoclonal

Clone number

RM120

Isotype

IgG

Carrier free

No

Reacts with

Human

Applications

WB, ELISA, IHC-P

applications

Immunogen

Synthetic Peptide within Human IGHG4. The exact immunogen used to generate this antibody is proprietary information.

P01861

Specificity

ab238320 reacts to the heavy chain of human IgG4. No cross reactivity with human IgG1, IgG2, IgG3, IgM, IgA, IgD, IgE, monkey (Cyno or Rhesus) IgG, mouse IgG, rat IgG, or goat IgG.

Reactivity data

{ "title": "Reactivity Data", "filters": { "stats": ["", "Species", "Dilution Info", "Notes"], "tabs": { "all-applications": {"fullname" : "All Applications", "shortname": "All Applications"}, "ELISA" : {"fullname" : "ELISA", "shortname":"ELISA"}, "WB" : {"fullname" : "Western blot", "shortname":"WB"}, "IHCP" : {"fullname" : "Immunohistochemistry (Formalin/PFA-fixed paraffin-embedded sections)", "shortname":"IHC-P"} }, "product-promise": { "all": "all", "testedAndGuaranteed": "tested", "guaranteed": "expected", "predicted": "predicted", "notRecommended": "not-recommended" } }, "values": { "Human": { "ELISA-species-checked": "guaranteed", "ELISA-species-dilution-info": "", "ELISA-species-notes": "", "WB-species-checked": "guaranteed", "WB-species-dilution-info": "", "WB-species-notes": "", "IHCP-species-checked": "testedAndGuaranteed", "IHCP-species-dilution-info": "1-10 µg/mL", "IHCP-species-notes": "<p></p>" }, "Synthetic peptide - Human": { "ELISA-species-checked": "testedAndGuaranteed", "ELISA-species-dilution-info": "0.05-0.2 µg/mL", "ELISA-species-notes": "<p></p>", "WB-species-checked": "testedAndGuaranteed", "WB-species-dilution-info": "0.5-2 µg/mL", "WB-species-notes": "<p></p>", "IHCP-species-checked": "notRecommended", "IHCP-species-dilution-info": "", "IHCP-species-notes": "" } } }

Properties and storage information

Form
Liquid
Purification technique
Affinity purification Protein A
Purification notes
Protein A affinity purified from an animal origin–free culture supernatant.
Storage buffer
Preservative: 0.09% Sodium azide Constituents: PBS, 50% Glycerol (glycerin, glycerine), 1% BSA
Shipped at conditions
Blue Ice
Appropriate short-term storage duration
1-2 weeks
Appropriate short-term storage conditions
+4°C
Appropriate long-term storage conditions
-20°C
Aliquoting information
Upon delivery aliquot
Storage information
Avoid freeze / thaw cycle

Product protocols

For this product, it's our understanding that no specific protocols are required. You can visit:

Target data

The protein expressed by the IGHG4 gene is part of the constant region of immunoglobulin heavy chains. Immunoglobulins, or antibodies, are glycoproteins produced by B lymphocytes that can be membrane-bound or secreted. During humoral immunity's recognition phase, membrane-bound immunoglobulins act as receptors. When they bind a specific antigen, they trigger B lymphocytes to undergo clonal expansion and differentiate into plasma cells that secrete immunoglobulins. These secreted immunoglobulins then mediate the effector phase of humoral immunity to eliminate the bound antigens. Each immunoglobulin possesses two antigen binding sites, formed by the variable domains of a heavy chain and an associated light chain, allowing for high affinity binding to specific antigens. These variable domains undergo V-(D)-J rearrangement and may experience somatic hypermutations, facilitating affinity maturation after antigen exposure and selection. This supplementary information is collated from multiple sources and compiled automatically.
See full target information IGHG4

Publications (1)

Recent publications for all applications. Explore the full list and refine your search

Molecular medicine reports 22:371-379 PubMed32319635

2020

IgE and IgG4 responses to shrimp allergen tropomyosin and its epitopes in patients from coastal areas of northern China.

Applications

Unspecified application

Species

Unspecified reactive species

Junpu Li,Zhiwei Li,Deyu Kong,Shaoshen Li,Yang Yu,Huiqiang Li
View all publications

Product promise

We are committed to supporting your work with high-quality reagents, and we're here for you every step of the way. In the unlikely event that one of our products does not perform as expected, you're protected by our Product Promise.
For full details, please see our Terms & Conditions

Please note: All products are 'FOR RESEARCH USE ONLY. NOT FOR USE IN DIAGNOSTIC OR THERAPEUTIC PROCEDURES'.

For licensing inquiries, please contact partnerships@abcam.com