JavaScript is disabled in your browser. Please enable JavaScript to view this website.
AB105229

Anti-IGJ antibody [SP105]

5

(1 Review)

|

(3 Publications)

Rabbit Recombinant Monoclonal IGJ antibody. Suitable for Flow Cyt (Intra), IHC-P and reacts with Human samples. Cited in 3 publications.

View Alternative Names

IGCJ, IGJ, JCHAIN, Immunoglobulin J chain, Joining chain of multimeric IgA and IgM

4 Images
Flow Cytometry (Intracellular) - Anti-IGJ antibody [SP105] (AB105229)
  • Flow Cyt (Intra)

Unknown

Flow Cytometry (Intracellular) - Anti-IGJ antibody [SP105] (AB105229)

Flow cytometry analysis of Daudi (Human Burkitt's lymphoma lymphoblast) labeling IGJ with purified ab105229 at 1/20 dilution (5.3 μg/ml) (red). Cells were fixed with 4% paraformaldehyde and permeabilised with 90% methanol. Goat anti rabbit IgG (Alexa Fluor® 488, ab150081) at 1/2000 dilution was used as a secondary antibody. Isotype control -Rabbit monoclonal IgG (ab172730) / Black. Unlableled control -Unlabelled cells / blue.

Immunohistochemistry (Formalin/PFA-fixed paraffin-embedded sections) - Anti-IGJ antibody [SP105] (AB105229)
  • IHC-P

Unknown

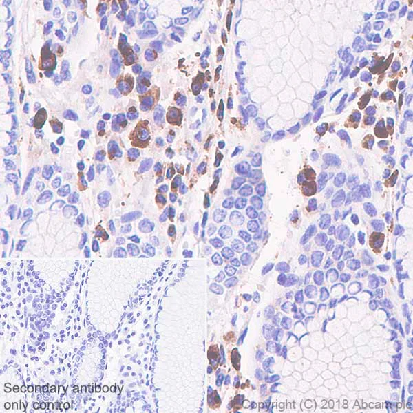
Immunohistochemistry (Formalin/PFA-fixed paraffin-embedded sections) - Anti-IGJ antibody [SP105] (AB105229)

Immunohistochemistry (Formalin/PFA-fixed paraffin-embedded sections) analysis of Human stomach tissue sections labeling IGJ with ab105229 at 1/100 dilution (1.06 μg/ml). Heat mediated antigen retrieval with sodium citrate buffer (pH 6.0, epitope retrieval solution 1) for 10mins. Goat Anti-Rabbit & Mouse IgG (HRP) was used as the secondary antibody. Hematoxylin was used as a counterstain. Positive staining on the stromal cells of human stomach, performed on a Leica Biosystems BOND™ RX instrument.
The section was incubated with ab105229 for 10 mins at room temperature.

Immunohistochemistry (Formalin/PFA-fixed paraffin-embedded sections) - Anti-IGJ antibody [SP105] (AB105229)
  • IHC-P

Unknown

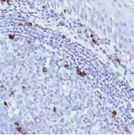
Immunohistochemistry (Formalin/PFA-fixed paraffin-embedded sections) - Anti-IGJ antibody [SP105] (AB105229)

ab105229, at 1/100 dilution, staining IGJ in formalin-fixed, paraffin-embedded Human tonsil tissue by Immunohistochemistry.

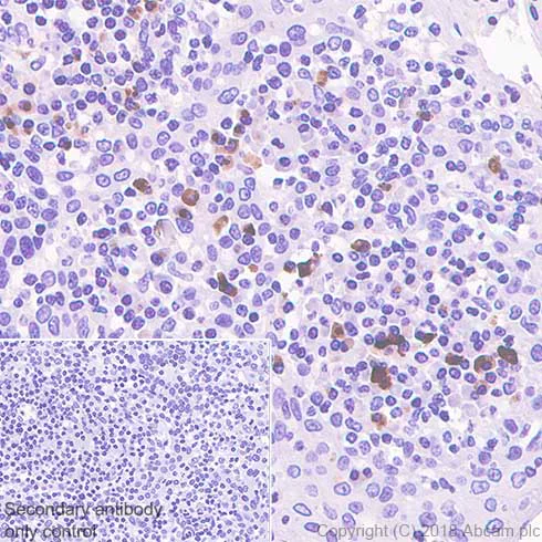
Immunohistochemistry (Formalin/PFA-fixed paraffin-embedded sections) - Anti-IGJ antibody [SP105] (AB105229)
  • IHC-P

Unknown

Immunohistochemistry (Formalin/PFA-fixed paraffin-embedded sections) - Anti-IGJ antibody [SP105] (AB105229)

Immunohistochemistry (Formalin/PFA-fixed paraffin-embedded sections) analysis of Human tonsil tissue sections labeling IGJ with ab105229 at 1/100 dilution (1.06 μg/ml). Heat mediated antigen retrieval with sodium citrate buffer (pH 6.0, epitope retrieval solution 1) for 10mins. Goat Anti-Rabbit & Mouse IgG (HRP) was used as the secondary antibody. Hematoxylin was used as a counterstain. Positive staining on the human tonsil, performed on a Leica Biosystems BOND™ RX instrument.
The section was incubated with ab105229 for 10 mins at room temperature.

  • Carrier free

    Anti-IGJ antibody [SP105] - BSA and Azide free

Key facts

Host species

Rabbit

Clonality

Monoclonal

Clone number

SP105

Isotype

IgG

Carrier free

No

Reacts with

Human

Applications

Flow Cyt (Intra), IHC-P

applications

Immunogen

The exact immunogen used to generate this antibody is proprietary information.

Reactivity data

{ "title": "Reactivity Data", "filters": { "stats": ["", "Species", "Dilution Info", "Notes"], "tabs": { "all-applications": {"fullname" : "All Applications", "shortname": "All Applications"}, "FlowCytIntra" : {"fullname" : "Flow Cytometry (Intracellular)", "shortname":"Flow Cyt (Intra)"}, "IHCP" : {"fullname" : "Immunohistochemistry (Formalin/PFA-fixed paraffin-embedded sections)", "shortname":"IHC-P"} }, "product-promise": { "all": "all", "testedAndGuaranteed": "tested", "guaranteed": "expected", "predicted": "predicted", "notRecommended": "not-recommended" } }, "values": { "Human": { "FlowCytIntra-species-checked": "testedAndGuaranteed", "FlowCytIntra-species-dilution-info": "1/20", "FlowCytIntra-species-notes": "<p></p>", "IHCP-species-checked": "testedAndGuaranteed", "IHCP-species-dilution-info": "1/100", "IHCP-species-notes": "<p>Perform antigen retrieval before commencing with IHC staining protocol by boiling tissue section in 10 mM citrate buffer, pH 6.0 for 10 min followed by cooling at RT for 20 min.</p>" }, "Mouse": { "FlowCytIntra-species-checked": "predicted", "FlowCytIntra-species-dilution-info": "", "FlowCytIntra-species-notes": "", "IHCP-species-checked": "predicted", "IHCP-species-dilution-info": "", "IHCP-species-notes": "" } } }

Product details

What are the advantages of a recombinant monoclonal antibody?
This product is a recombinant monoclonal antibody, which offers several advantages including:

  • - High batch-to-batch consistency and reproducibility
  • - Improved sensitivity and specificity
  • - Long-term security of supply
  • - Animal-free batch production

For more information, read more on recombinant antibodies.

Properties and storage information

Form
Liquid
Purification technique
Affinity purification Protein A/G
Purification notes
Purified from TCS by protein A/G.
Storage buffer
pH: 7.6 Preservative: 0.1% Sodium azide Constituents: PBS, 1% BSA
Shipped at conditions
Blue Ice
Appropriate short-term storage conditions
+4°C
Appropriate long-term storage conditions
-20°C
Aliquoting information
Upon delivery aliquot
Storage information
Avoid freeze / thaw cycle

Product protocols

For this product, it's our understanding that no specific protocols are required. You can visit:

Target data

Serves to link two monomer units of either IgM or IgA. In the case of IgM, the J chain-joined dimer is a nucleating unit for the IgM pentamer, and in the case of IgA it induces dimers and/or larger polymers. It also helps to bind these immunoglobulins to secretory component.
See full target information JCHAIN

Publications (3)

Recent publications for all applications. Explore the full list and refine your search

MedComm 6:e70350 PubMed40959459

2025

Single-Cell Transcriptomic Atlas of Peripheral Blood Reveals B-Cell-Driven Signature Predictive of Acute Pancreatitis Severity.

Applications

Unspecified application

Species

Unspecified reactive species

Rongli Xie,Guohui Xiao,Kaige Yang,Xiaofeng Wang,Cong Chen,Min Ding,Tong Zhou,Rajarshi Mukherjee,Robert Sutton,Erzhen Chen,Ying Chen,Wei Huang,Dan Xu,Jian Fei

Scientific reports 13:13816 PubMed37620431

2023

Belatacept inhibit human B cell germinal center development in immunodeficient mice.

Applications

Unspecified application

Species

Unspecified reactive species

Chloé Samson,Allan Thiolat,Anissa Moktefi,José L Cohen,Caroline Pilon,Philippe Grimbert

International journal of oncology 63: PubMed37539706

2023

IGJ suppresses breast cancer growth and metastasis by inhibiting EMT via the NF‑κB signaling pathway.

Applications

Unspecified application

Species

Unspecified reactive species

Mengxue Wang,Yushen Wu,Xunjia Li,Meng Dai,Shengwei Li
View all publications
websiteProtocolBooklet
en
websiteProtocolBooklet
en

Product promise

We are committed to supporting your work with high-quality reagents, and we're here for you every step of the way. In the unlikely event that one of our products does not perform as expected, you're protected by our Product Promise.
For full details, please see our Terms & Conditions

Please note: All products are 'FOR RESEARCH USE ONLY. NOT FOR USE IN DIAGNOSTIC OR THERAPEUTIC PROCEDURES'.

For licensing inquiries, please contact partnerships@abcam.com