JavaScript is disabled in your browser. Please enable JavaScript to view this website.
AB240939

Anti-IGJ antibody [SP105] - BSA and Azide free

Be the first to review this product! Submit a review

|

(1 Publication)

Rabbit Recombinant Monoclonal IGJ antibody. Carrier free. Suitable for IHC-P, Flow Cyt (Intra) and reacts with Human samples. Cited in 1 publication.

View Alternative Names

IGCJ, IGJ, JCHAIN, Immunoglobulin J chain, Joining chain of multimeric IgA and IgM

4 Images
Immunohistochemistry (Formalin/PFA-fixed paraffin-embedded sections) - Anti-IGJ antibody [SP105] - BSA and Azide free (AB240939)
  • IHC-P

Unknown

Immunohistochemistry (Formalin/PFA-fixed paraffin-embedded sections) - Anti-IGJ antibody [SP105] - BSA and Azide free (AB240939)

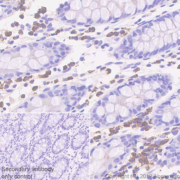
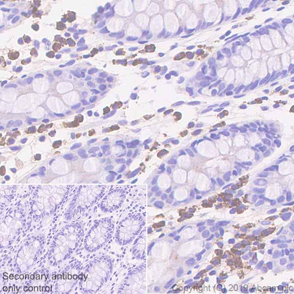
Immunohistochemistry (Formalin/PFA-fixed paraffin-embedded sections) analysis of Human stomach tissue sections labeling IGJ with ab105229 at 1/100 dilution (1.06 μg/ml). Heat mediated antigen retrieval with sodium citrate buffer (pH 6.0, epitope retrieval solution 1) for 10 mins. Goat Anti-Rabbit & Mouse IgG (HRP) was used as the secondary antibody. Hematoxylin was used as a counterstain. Positive staining on the stromal cells of human stomach, performed on a Leica Biosystems BOND™ RX instrument.
The section was incubated with ab105229 for 10 mins at room temperature.

This image was generated using ab105229, the same clone, but with a different buffer formulation.

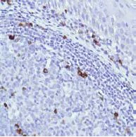
Immunohistochemistry (Formalin/PFA-fixed paraffin-embedded sections) - Anti-IGJ antibody [SP105] - BSA and Azide free (AB240939)
  • IHC-P

Unknown

Immunohistochemistry (Formalin/PFA-fixed paraffin-embedded sections) - Anti-IGJ antibody [SP105] - BSA and Azide free (AB240939)

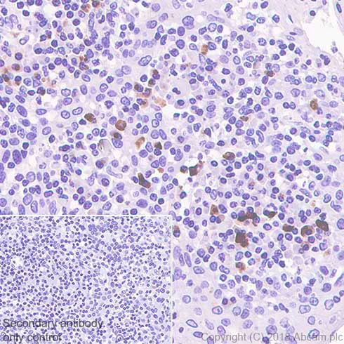
ab105229, at 1/100 dilution, staining IGJ in formalin-fixed, paraffin-embedded Human tonsil tissue by Immunohistochemistry.

This data was developed using the same antibody clone in a different buffer formulation containing PBS, BSA and sodium azide (ab105229)

Immunohistochemistry (Formalin/PFA-fixed paraffin-embedded sections) - Anti-IGJ antibody [SP105] - BSA and Azide free (AB240939)
  • IHC-P

Unknown

Immunohistochemistry (Formalin/PFA-fixed paraffin-embedded sections) - Anti-IGJ antibody [SP105] - BSA and Azide free (AB240939)

Immunohistochemistry (Formalin/PFA-fixed paraffin-embedded sections) analysis of Human tonsil tissue sections labeling IGJ with ab105229 at 1/100 dilution (1.06 μg/ml). Heat mediated antigen retrieval with sodium citrate buffer (pH 6.0, epitope retrieval solution 1) for 10mins. Goat Anti-Rabbit & Mouse IgG (HRP) was used as the secondary antibody. Hematoxylin was used as a counterstain. Positive staining on the human tonsil, performed on a Leica Biosystems BOND™ RX instrument.
The section was incubated with ab105229 for 10 mins at room temperature.

This image was generated using ab105229, the same clone, but with a different buffer formulation.

Flow Cytometry (Intracellular) - Anti-IGJ antibody [SP105] - BSA and Azide free (AB240939)
  • Flow Cyt (Intra)

Unknown

Flow Cytometry (Intracellular) - Anti-IGJ antibody [SP105] - BSA and Azide free (AB240939)

Intracellular Flow Cytometry analysis of Daudi (Human Burkitt's lymphoma lymphoblast) labeling IGJ with purified ab105229 at 1/20 dilution (5.3μg/ml) (red). Cells were fixed with 4% paraformaldehyde and permeabilised with 90% methanol. Goat anti rabbit IgG (Alexa Fluor® 488, ab150081) at 1/2000 dilution was used as a secondary antibody. Isotype control -Rabbit monoclonal IgG (ab172730) / Black. Unlableled control -Unlabelled cells / blue. This data was developed using the same antibody clone in a different buffer formulation containing PBS, BSA, glycerol, and sodium azide (ab105229).

Key facts

Host species

Rabbit

Clonality

Monoclonal

Clone number

SP105

Isotype

IgG

Carrier free

Yes

Reacts with

Human

Applications

Flow Cyt (Intra), IHC-P

applications

Immunogen

The exact immunogen used to generate this antibody is proprietary information.

Reactivity data

{ "title": "Reactivity Data", "filters": { "stats": ["", "Species", "Dilution Info", "Notes"], "tabs": { "all-applications": {"fullname" : "All Applications", "shortname": "All Applications"}, "IHCP" : {"fullname" : "Immunohistochemistry (Formalin/PFA-fixed paraffin-embedded sections)", "shortname":"IHC-P"}, "FlowCytIntra" : {"fullname" : "Flow Cytometry (Intracellular)", "shortname":"Flow Cyt (Intra)"} }, "product-promise": { "all": "all", "testedAndGuaranteed": "tested", "guaranteed": "expected", "predicted": "predicted", "notRecommended": "not-recommended" } }, "values": { "Human": { "IHCP-species-checked": "testedAndGuaranteed", "IHCP-species-dilution-info": "", "IHCP-species-notes": "<p>Perform antigen retrieval before commencing with IHC staining protocol by boiling tissue section in 10 mM citrate buffer, pH 6.0 for 10 min followed by cooling at RT for 20 min.</p>", "FlowCytIntra-species-checked": "testedAndGuaranteed", "FlowCytIntra-species-dilution-info": "", "FlowCytIntra-species-notes": "<p></p>" }, "Mouse": { "IHCP-species-checked": "predicted", "IHCP-species-dilution-info": "", "IHCP-species-notes": "", "FlowCytIntra-species-checked": "predicted", "FlowCytIntra-species-dilution-info": "", "FlowCytIntra-species-notes": "" } } }

Product details

ab240939 is the carrier-free version of ab105229.

What are the advantages of a recombinant monoclonal antibody?
This product is a recombinant monoclonal antibody, which offers several advantages including:

  • - High batch-to-batch consistency and reproducibility
  • - Improved sensitivity and specificity
  • - Long-term security of supply
  • - Animal-free batch production

For more information, read more on recombinant antibodies.

Conjugation ready
Our carrier-free antibodies are typically supplied in a PBS-only formulation, purified and free of BSA, sodium azide and glycerol. This conjugation-ready format is designed for use with fluorochromes, metal isotopes, oligonucleotides, and enzymes, which makes them ideal for antibody labelling, functional and cell-based assays, flow-based assays (e.g. mass cytometry) and Multiplex Imaging applications.

Use our conjugation kits for antibody conjugates that are ready-to-use in as little as 20 minutes with 1 minute hands-on-time and 100% antibody recovery: available for fluorescent dyes, HRP, biotin and gold.

Compatibility
This product is compatible with the Maxpar® Antibody Labeling Kit from Fluidigm, without the need for antibody preparation. Maxpar® is a trademark of Fluidigm Canada Inc.

Properties and storage information

Form
Liquid
Purification technique
Affinity purification Protein A/G
Purification notes
Purified from TCS by protein A/G.
Storage buffer
pH: 7.2 - 7.4 Constituents: PBS
Shipped at conditions
Blue Ice
Appropriate short-term storage conditions
+4°C
Appropriate long-term storage conditions
+4°C
Storage information
Do Not Freeze

Product protocols

For this product, it's our understanding that no specific protocols are required. You can visit:

Target data

Serves to link two monomer units of either IgM or IgA. In the case of IgM, the J chain-joined dimer is a nucleating unit for the IgM pentamer, and in the case of IgA it induces dimers and/or larger polymers. It also helps to bind these immunoglobulins to secretory component.
See full target information JCHAIN

Publications (1)

Recent publications for all applications. Explore the full list and refine your search

Oncology letters 21:486 PubMed33968202

2021

Circular RNA UBAP2 promotes the proliferation of prostate cancer cells via the miR-1244/MAP3K2 axis.

Applications

Unspecified application

Species

Unspecified reactive species

Xiaodong Li,Baihetiya Azhati,Wenguang Wang,Mulati Rexiati,Chen Xing,Yujie Wang
View all publications

Product promise

We are committed to supporting your work with high-quality reagents, and we're here for you every step of the way. In the unlikely event that one of our products does not perform as expected, you're protected by our Product Promise.
For full details, please see our Terms & Conditions

Please note: All products are 'FOR RESEARCH USE ONLY. NOT FOR USE IN DIAGNOSTIC OR THERAPEUTIC PROCEDURES'.

For licensing inquiries, please contact partnerships@abcam.com