JavaScript is disabled in your browser. Please enable JavaScript to view this website.
AB184624

Anti-Ihh antibody

5

(1 Review)

|

(0 Publication)

Rabbit Polyclonal IHH antibody. Suitable for IHC-P and reacts with Mouse samples. Immunogen corresponding to Recombinant Fragment Protein within Human IHH aa 100 to C-terminus.

View Alternative Names

Indian hedgehog protein, IHH, HHG-2

1 Images
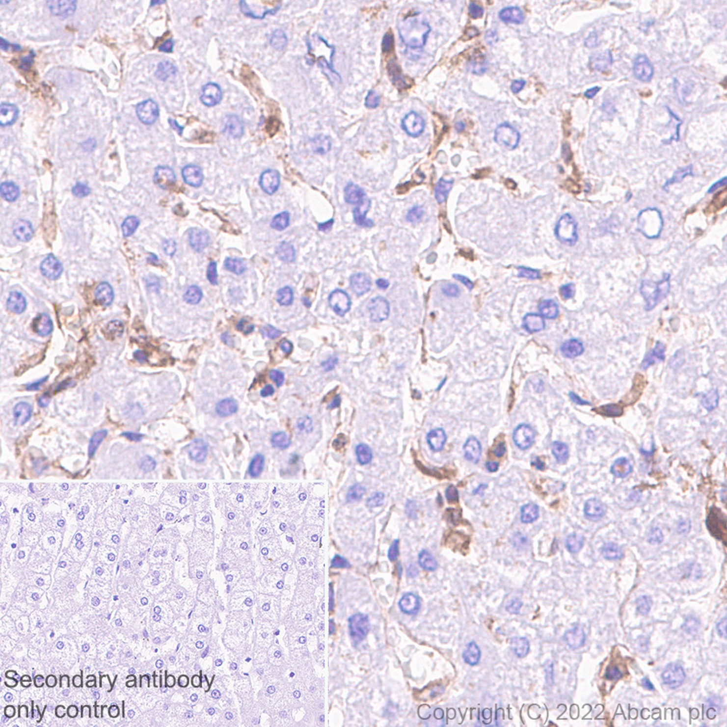
Immunohistochemistry (Formalin/PFA-fixed paraffin-embedded sections) - Anti-Ihh antibody (AB184624)
  • IHC-P

Supplier Data

Immunohistochemistry (Formalin/PFA-fixed paraffin-embedded sections) - Anti-Ihh antibody (AB184624)

Immunohistochemical analysis of paraffin-embedded Mouse prostate tissue labeling ihh with ab184624 at 1/500 dilution.

Key facts

Host species

Rabbit

Clonality

Polyclonal

Isotype

IgG

Carrier free

No

Reacts with

Mouse

Applications

IHC-P

applications

Immunogen

Recombinant Fragment Protein within Human IHH aa 100 to C-terminus. The exact immunogen used to generate this antibody is proprietary information.

Q14623

Reactivity data

{ "title": "Reactivity Data", "filters": { "stats": ["", "Species", "Dilution Info", "Notes"], "tabs": { "all-applications": {"fullname" : "All Applications", "shortname": "All Applications"}, "IHCP" : {"fullname" : "Immunohistochemistry (Formalin/PFA-fixed paraffin-embedded sections)", "shortname":"IHC-P"} }, "product-promise": { "all": "all", "testedAndGuaranteed": "tested", "guaranteed": "expected", "predicted": "predicted", "notRecommended": "not-recommended" } }, "values": { "Human": { "IHCP-species-checked": "predicted", "IHCP-species-dilution-info": "", "IHCP-species-notes": "" }, "Mouse": { "IHCP-species-checked": "testedAndGuaranteed", "IHCP-species-dilution-info": "1/100 - 1/1000", "IHCP-species-notes": "<p></p>" } } }

Properties and storage information

Form
Liquid
Purification technique
Affinity purification Immunogen
Storage buffer
pH: 7 Preservative: 0.01% Thimerosal (merthiolate) Constituents: 20% Glycerol (glycerin, glycerine), 1.21% Tris, 0.75% Glycine
Shipped at conditions
Blue Ice
Appropriate short-term storage duration
1-2 weeks
Appropriate short-term storage conditions
+4°C
Appropriate long-term storage conditions
-20°C
Aliquoting information
Upon delivery aliquot
Storage information
Avoid freeze / thaw cycle

Supplementary information

This supplementary information is collated from multiple sources and compiled automatically.

The Indian hedgehog (Ihh) protein known by its gene symbol IHH plays key roles in cell signaling. Ihh with an approximate mass of 45 kDa belongs to the Hedgehog family of signaling molecules. It is expressed in various tissues including cartilage bone and parts of the gastrointestinal tract where it regulates growth and patterning. Ihh acts by binding to its receptor Patched triggering downstream signaling that influences cell fate decisions.
Biological function summary

Ihh is significant in regulating the differentiation and proliferation of chondrocytes in the growth plate of long bones. It acts as part of a complex regulatory network coordinating with Parathyroid hormone-related protein (PTHrP) to maintain proper development of endochondral bones. Ihh also influences epithelial and mesenchymal interactions during embryo development evidencing its important role in developmental biology.

Pathways

Ihh is a critical component of the Hedgehog signaling pathway a conserved pathway involved in embryonic development and adult tissue homeostasis. This pathway also includes proteins like Sonic hedgehog (Shh) and Desert hedgehog (Dhh) as well as the receptor Smoothened which mediates the signaling cascade. Ihh signaling impacts pathways such as the Wnt pathway influencing the proliferation and differentiation of cells thereby highlighting its integration into broader cellular signaling networks.

Ihh misregulation can lead to skeletal disorders like brachydactyly type A1 characterized by shortened fingers and toes. Furthermore abnormal Ihh signaling can contribute to certain cancers such as chondrosarcoma where overactive Hedgehog signaling promotes tumorigenesis. The relationship between Ihh and other Hedgehog proteins including Shh is key in understanding these pathologies as they share pathways that are often disrupted in disease scenarios.

Product protocols

For this product, it's our understanding that no specific protocols are required. You can visit:

Target data

Indian hedgehog protein. The C-terminal part of the indian hedgehog protein precursor displays an autoproteolysis and a cholesterol transferase activity (By similarity). Both activities result in the cleavage of the full-length protein into two parts followed by the covalent attachment of a cholesterol moiety to the C-terminal of the newly generated N-product (By similarity). Both activities occur in the reticulum endoplasmic (By similarity). Plays a role in hedgehog paracrine signaling (PubMed : 24342078). Associated with the very-low-density lipoprotein (VLDL) particles to function as a circulating morphogen for endothelial cell integrity maintenance (PubMed : 20839884).. Indian hedgehog protein N-product. The dually lipidated indian hedgehog protein N-product is a morphogen which is essential for a variety of patterning events during development. Binds to the patched (PTCH1) receptor, which functions in association with smoothened (SMO), to activate the transcription of target genes (By similarity). Plays a role in morphogenesis of the skeleton by coordinating growth and differentiation of the endochondral skeleton (By similarity). Positively regulates PTHLH expression during endochondral bone formation preventing chondrocyte hypertrophy. In contrast, participates in normal chondrocyte proliferation in a PTHLH-independent pathway (By similarity).
See full target information IHH

Product promise

We are committed to supporting your work with high-quality reagents, and we're here for you every step of the way. In the unlikely event that one of our products does not perform as expected, you're protected by our Product Promise.
For full details, please see our Terms & Conditions

Please note: All products are 'FOR RESEARCH USE ONLY. NOT FOR USE IN DIAGNOSTIC OR THERAPEUTIC PROCEDURES'.

For licensing inquiries, please contact partnerships@abcam.com