JavaScript is disabled in your browser. Please enable JavaScript to view this website.
AB239853

Anti-Ihh antibody [EP1192Y] - BSA and Azide free

Be the first to review this product! Submit a review

|

(1 Publication)

Rabbit Recombinant Monoclonal IHH antibody. Carrier free. Suitable for IHC-P, WB and reacts with Mouse, Rat, Human, Recombinant fragment samples. Cited in 1 publication.

View Alternative Names

Indian hedgehog protein, IHH, HHG-2

6 Images
Immunohistochemistry (Formalin/PFA-fixed paraffin-embedded sections) - Anti-Ihh antibody [EP1192Y] - BSA and Azide free (AB239853)
  • IHC-P

Supplier Data

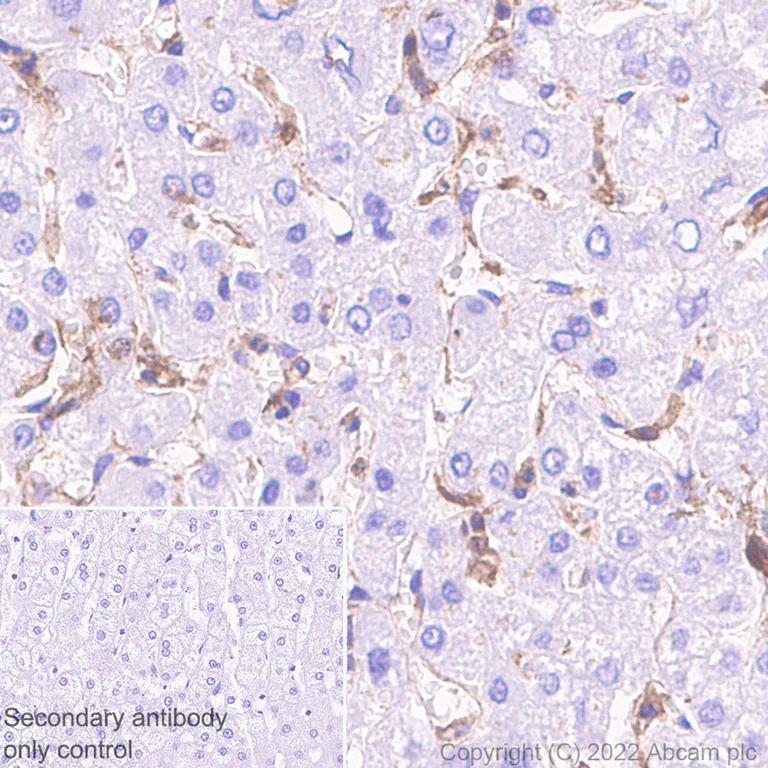
Immunohistochemistry (Formalin/PFA-fixed paraffin-embedded sections) - Anti-Ihh antibody [EP1192Y] - BSA and Azide free (AB239853)

The paraffin-embedded sections were Heat mediated antigen retrieval with Tris-EDTA buffer (pH 9.0, epitope retrieval solution 2) for 20 mins and labeling ab52919 at 1/200 dilutions for 30 mins at room temperature and followed Rabbit specific IHC polymer detection kit HRP/DAB (ab209101). The immunostaining was performed on a Leica Biosystems BOND© RX instrument. Counterstained with hematoxylin. Positive staining on the Human liver. This data was developed using the same antibody clone in a different buffer formulation containing PBS, BSA, glycerol, and sodium azide (ab52919).

Immunohistochemistry (Formalin/PFA-fixed paraffin-embedded sections) - Anti-Ihh antibody [EP1192Y] - BSA and Azide free (AB239853)
  • IHC-P

Supplier Data

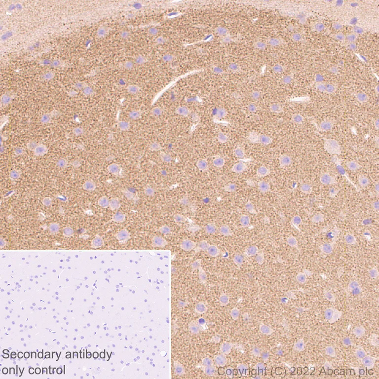
Immunohistochemistry (Formalin/PFA-fixed paraffin-embedded sections) - Anti-Ihh antibody [EP1192Y] - BSA and Azide free (AB239853)

The paraffin-embedded sections were Heat mediated antigen retrieval with Tris-EDTA buffer (pH 9.0, epitope retrieval solution 2) for 20 mins and labeling ab52919 at 1/1000 dilutions for 30 mins at room temperature and followed Rabbit specific IHC polymer detection kit HRP/DAB (ab209101). The immunostaining was performed on a Leica Biosystems BOND© RX instrument. Counterstained with hematoxylin. Positive staining on the Rat cerebrum. This data was developed using the same antibody clone in a different buffer formulation containing PBS, BSA, glycerol, and sodium azide (ab52919).

Immunohistochemistry (Formalin/PFA-fixed paraffin-embedded sections) - Anti-Ihh antibody [EP1192Y] - BSA and Azide free (AB239853)
  • IHC-P

Supplier Data

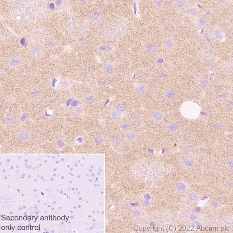
Immunohistochemistry (Formalin/PFA-fixed paraffin-embedded sections) - Anti-Ihh antibody [EP1192Y] - BSA and Azide free (AB239853)

The paraffin-embedded sections were Heat mediated antigen retrieval with Tris-EDTA buffer (pH 9.0, epitope retrieval solution 2) for 20 mins and labeling ab52919 at 1/1000 dilutions for 30 mins at room temperature and followed Rabbit specific IHC polymer detection kit HRP/DAB (ab209101). The immunostaining was performed on a Leica Biosystems BOND© RX instrument. Counterstained with hematoxylin. Positive staining on the Mouse cerebrum. This data was developed using the same antibody clone in a different buffer formulation containing PBS, BSA, glycerol, and sodium azide (ab52919).

Western blot - Anti-Ihh antibody [EP1192Y] - BSA and Azide free (AB239853)
  • WB

Supplier Data

Western blot - Anti-Ihh antibody [EP1192Y] - BSA and Azide free (AB239853)

Blocking and diluting buffer and concentration : 5% NFDM/TBST. Primary and secondary antibody : incubated for 1h at room temperature. This data was developed using the same antibody clone in a different buffer formulation containing PBS, BSA, glycerol, and sodium azide (ab52919).

All lanes:

Western blot - Anti-Ihh antibody [EP1192Y] (<a href='/en-us/products/primary-antibodies/ihh-antibody-ep1192y-ab52919'>ab52919</a>) at 1/10000 dilution

All lanes:

Human cerebellum lysate at 15 µg

Secondary

All lanes:

Goat Anti-Rabbit IgG (HRP) with minimal cross-reactivity with human IgG at 1/2000 dilution

Predicted band size: 45 kDa

false

Exposure time: 10s

Western blot - Anti-Ihh antibody [EP1192Y] - BSA and Azide free (AB239853)
  • WB

Supplier Data

Western blot - Anti-Ihh antibody [EP1192Y] - BSA and Azide free (AB239853)

Blocking and diluting buffer and concentration : 5% NFDM/TBST. Exposure time : Lane 1, Lane 3 : 10 seconds, Lane 2 : 80 seconds. Primary and secondary antibody : incubated for 1h at room temperature. This data was developed using the same antibody clone in a different buffer formulation containing PBS, BSA, glycerol, and sodium azide (ab52919).

All lanes:

Western blot - Anti-Ihh antibody [EP1192Y] (<a href='/en-us/products/primary-antibodies/ihh-antibody-ep1192y-ab52919'>ab52919</a>) at 1/5000 dilution

Lane 1:

Jurkat (Human T cell leukemia T lymphocyte) whole cell lysate at 15 µg

Lane 2:

NIH/3T3 (Mouse embryonic fibroblast) whole cell lysate at 15 µg

Lane 3:

C6 (Rat glial tumor glial cell) whole cell lysate at 15 µg

Secondary

All lanes:

Western blot - Goat Anti-Rabbit IgG H&L (HRP) (<a href='/en-us/products/secondary-antibodies/goat-rabbit-igg-h-l-hrp-ab97051'>ab97051</a>) at 1/20000 dilution

Predicted band size: 45 kDa

false

Western blot - Anti-Ihh antibody [EP1192Y] - BSA and Azide free (AB239853)
  • WB

Supplier Data

Western blot - Anti-Ihh antibody [EP1192Y] - BSA and Azide free (AB239853)

Blocking and diluting buffer and concentration : 5% NFDM/TBST. Primary and secondary antibody : incubated for 1h at room temperature. This data was developed using the same antibody clone in a different buffer formulation containing PBS, BSA, glycerol, and sodium azide (ab52919).

All lanes:

Western blot - Anti-Ihh antibody [EP1192Y] (<a href='/en-us/products/primary-antibodies/ihh-antibody-ep1192y-ab52919'>ab52919</a>) at 1/10000 dilution

All lanes:

His-tagged human Indian Hedgehog (IHH) recombinant protein (aa1-411) at 10 ng

Secondary

All lanes:

Western blot - Goat Anti-Rabbit IgG H&L (HRP) (<a href='/en-us/products/secondary-antibodies/goat-rabbit-igg-h-l-hrp-ab97051'>ab97051</a>) at 1/20000 dilution

Predicted band size: 45 kDa

false

Exposure time: 180s

Key facts

Host species

Rabbit

Clonality

Monoclonal

Clone number

EP1192Y

Isotype

IgG

Carrier free

Yes

Reacts with

Mouse, Rat, Human

Applications

IHC-P, WB

applications

Immunogen

The exact immunogen used to generate this antibody is proprietary information.

Reactivity data

{ "title": "Reactivity Data", "filters": { "stats": ["", "Species", "Dilution Info", "Notes"], "tabs": { "all-applications": {"fullname" : "All Applications", "shortname": "All Applications"}, "IHCP" : {"fullname" : "Immunohistochemistry (Formalin/PFA-fixed paraffin-embedded sections)", "shortname":"IHC-P"}, "WB" : {"fullname" : "Western blot", "shortname":"WB"} }, "product-promise": { "all": "all", "testedAndGuaranteed": "tested", "guaranteed": "expected", "predicted": "predicted", "notRecommended": "not-recommended" } }, "values": { "Human": { "IHCP-species-checked": "testedAndGuaranteed", "IHCP-species-dilution-info": "", "IHCP-species-notes": "<p></p>", "WB-species-checked": "testedAndGuaranteed", "WB-species-dilution-info": "", "WB-species-notes": "<p></p>" }, "Mouse": { "IHCP-species-checked": "testedAndGuaranteed", "IHCP-species-dilution-info": "", "IHCP-species-notes": "<p></p>", "WB-species-checked": "testedAndGuaranteed", "WB-species-dilution-info": "", "WB-species-notes": "<p></p>" }, "Rat": { "IHCP-species-checked": "testedAndGuaranteed", "IHCP-species-dilution-info": "", "IHCP-species-notes": "<p></p>", "WB-species-checked": "testedAndGuaranteed", "WB-species-dilution-info": "", "WB-species-notes": "<p></p>" }, "Recombinant fragment": { "IHCP-species-checked": "notRecommended", "IHCP-species-dilution-info": "", "IHCP-species-notes": "", "WB-species-checked": "testedAndGuaranteed", "WB-species-dilution-info": "", "WB-species-notes": "<p></p>" } } }

Product details

ab239853 is the carrier-free version of ab52919.

Patented technology
Our RabMAb® technology is a patented hybridoma-based technology for making rabbit monoclonal antibodies. For details on our patents, please refer to RabMAb® patents.

What are the advantages of a recombinant monoclonal antibody?
This product is a recombinant monoclonal antibody, which offers several advantages including:

  • - High batch-to-batch consistency and reproducibility
  • - Improved sensitivity and specificity
  • - Long-term security of supply
  • - Animal-free batch production

For more information, read more on recombinant antibodies.

Conjugation ready
Our carrier-free antibodies are typically supplied in a PBS-only formulation, purified and free of BSA, sodium azide and glycerol. This conjugation-ready format is designed for use with fluorochromes, metal isotopes, oligonucleotides, and enzymes, which makes them ideal for antibody labelling, functional and cell-based assays, flow-based assays (e.g. mass cytometry) and Multiplex Imaging applications.

Use our conjugation kits for antibody conjugates that are ready-to-use in as little as 20 minutes with 1 minute hands-on-time and 100% antibody recovery: available for fluorescent dyes, HRP, biotin and gold.

Compatibility
This product is compatible with the Maxpar® Antibody Labeling Kit from Fluidigm, without the need for antibody preparation. Maxpar® is a trademark of Fluidigm Canada Inc.

Properties and storage information

Form
Liquid
Purification technique
Affinity purification Protein A
Storage buffer
pH: 7.2 - 7.4 Constituents: PBS
Shipped at conditions
Blue Ice
Appropriate short-term storage conditions
+4°C
Appropriate long-term storage conditions
+4°C
Storage information
Do Not Freeze

Supplementary information

This supplementary information is collated from multiple sources and compiled automatically.

The Indian hedgehog (Ihh) protein known by its gene symbol IHH plays key roles in cell signaling. Ihh with an approximate mass of 45 kDa belongs to the Hedgehog family of signaling molecules. It is expressed in various tissues including cartilage bone and parts of the gastrointestinal tract where it regulates growth and patterning. Ihh acts by binding to its receptor Patched triggering downstream signaling that influences cell fate decisions.
Biological function summary

Ihh is significant in regulating the differentiation and proliferation of chondrocytes in the growth plate of long bones. It acts as part of a complex regulatory network coordinating with Parathyroid hormone-related protein (PTHrP) to maintain proper development of endochondral bones. Ihh also influences epithelial and mesenchymal interactions during embryo development evidencing its important role in developmental biology.

Pathways

Ihh is a critical component of the Hedgehog signaling pathway a conserved pathway involved in embryonic development and adult tissue homeostasis. This pathway also includes proteins like Sonic hedgehog (Shh) and Desert hedgehog (Dhh) as well as the receptor Smoothened which mediates the signaling cascade. Ihh signaling impacts pathways such as the Wnt pathway influencing the proliferation and differentiation of cells thereby highlighting its integration into broader cellular signaling networks.

Ihh misregulation can lead to skeletal disorders like brachydactyly type A1 characterized by shortened fingers and toes. Furthermore abnormal Ihh signaling can contribute to certain cancers such as chondrosarcoma where overactive Hedgehog signaling promotes tumorigenesis. The relationship between Ihh and other Hedgehog proteins including Shh is key in understanding these pathologies as they share pathways that are often disrupted in disease scenarios.

Product protocols

For this product, it's our understanding that no specific protocols are required. You can visit:

Target data

Indian hedgehog protein. The C-terminal part of the indian hedgehog protein precursor displays an autoproteolysis and a cholesterol transferase activity (By similarity). Both activities result in the cleavage of the full-length protein into two parts followed by the covalent attachment of a cholesterol moiety to the C-terminal of the newly generated N-product (By similarity). Both activities occur in the reticulum endoplasmic (By similarity). Plays a role in hedgehog paracrine signaling (PubMed : 24342078). Associated with the very-low-density lipoprotein (VLDL) particles to function as a circulating morphogen for endothelial cell integrity maintenance (PubMed : 20839884).. Indian hedgehog protein N-product. The dually lipidated indian hedgehog protein N-product is a morphogen which is essential for a variety of patterning events during development. Binds to the patched (PTCH1) receptor, which functions in association with smoothened (SMO), to activate the transcription of target genes (By similarity). Plays a role in morphogenesis of the skeleton by coordinating growth and differentiation of the endochondral skeleton (By similarity). Positively regulates PTHLH expression during endochondral bone formation preventing chondrocyte hypertrophy. In contrast, participates in normal chondrocyte proliferation in a PTHLH-independent pathway (By similarity).
See full target information IHH

Publications (1)

Recent publications for all applications. Explore the full list and refine your search

International archives of allergy and immunology 182:1245-1254 PubMed34428765

2021

Celastrol Exerts Cardioprotective Effect in Rheumatoid Arthritis by Inhibiting TLR2/HMGB1 Signaling Pathway-Mediated Autophagy.

Applications

Unspecified application

Species

Unspecified reactive species

Xiaohong Lu,Sha Gong,Xiaojun Wang,Nan Hu,Dan Pu,Jing Zhang,Yanhua Wang,Jing Luo,Qi An,Bomiao Ju,Lan He
View all publications

Product promise

We are committed to supporting your work with high-quality reagents, and we're here for you every step of the way. In the unlikely event that one of our products does not perform as expected, you're protected by our Product Promise.
For full details, please see our Terms & Conditions

Please note: All products are 'FOR RESEARCH USE ONLY. NOT FOR USE IN DIAGNOSTIC OR THERAPEUTIC PROCEDURES'.

For licensing inquiries, please contact partnerships@abcam.com