JavaScript is disabled in your browser. Please enable JavaScript to view this website.
AB191394

Anti-Ikaros antibody [EPR13790]

Be the first to review this product! Submit a review

|

(4 Publications)

Anti-Ikaros antibody [EPR13790] (ab191394) is a rabbit monoclonal antibody detecting Ikaros in Western Blot, Flow Cytometry (Intra), Flow Cytometry, IHC-P. Suitable for Human, Mouse.

- KO validated for confirmed specificity
- Biophysical QC for unrivalled batch-batch consistency

View Alternative Names

IK1, IKAROS, LYF1, ZNFN1A1, IKZF1, DNA-binding protein Ikaros, Ikaros family zinc finger protein 1, Lymphoid transcription factor LyF-1

5 Images
Flow Cytometry (Intracellular) - Anti-Ikaros antibody [EPR13790] (AB191394)
  • Flow Cyt (Intra)

Supplier Data

Flow Cytometry (Intracellular) - Anti-Ikaros antibody [EPR13790] (AB191394)

Intracellular flow cytometric analysis of MOLT4 cells (paraformaldehyde-fixed, 2%)labeling Ikaros with ab191394 at 1/130 dilution (red) or a rabbit IgG (negative) (green), followed by Goat anti rabbit IgG (FITC) secondary at 1/150 dilution.

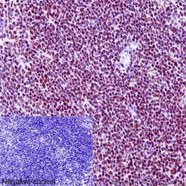
Immunohistochemistry (Formalin/PFA-fixed paraffin-embedded sections) - Anti-Ikaros antibody [EPR13790] (AB191394)
  • IHC-P

Supplier Data

Immunohistochemistry (Formalin/PFA-fixed paraffin-embedded sections) - Anti-Ikaros antibody [EPR13790] (AB191394)

Immunohistochemical analysis of paraffin-embedded Mouse spleen tissue labeling Ikaros with ab191394 at 1/1400 dilution followed by pre-diluted HRP Polymer for Rabbit IgG secondary antibody and counter-stained with Hematoxylin.
Inset : Negative control : using PBS instead of primary antibody.

Perform heat mediated antigen retrieval with Tris/EDTA buffer pH 9.0 before commencing with IHC staining protocol.

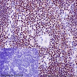
Immunohistochemistry (Formalin/PFA-fixed paraffin-embedded sections) - Anti-Ikaros antibody [EPR13790] (AB191394)
  • IHC-P

Supplier Data

Immunohistochemistry (Formalin/PFA-fixed paraffin-embedded sections) - Anti-Ikaros antibody [EPR13790] (AB191394)

Immunohistochemical analysis of paraffin-embedded Human thymus tissue labeling Ikaros with ab191394 at 1/1400 dilution followed by pre-diluted HRP Polymer for Rabbit IgG secondary antibody and counter-stained with Hematoxylin.
Inset : Negative control : using PBS instead of primary antibody.

Perform heat mediated antigen retrieval with Tris/EDTA buffer pH 9.0 before commencing with IHC staining protocol.

Western blot - Anti-Ikaros antibody [EPR13790] (AB191394)
  • WB

Supplier Data

Western blot - Anti-Ikaros antibody [EPR13790] (AB191394)

Based on the sequence analysis, ab191394 recognizes seven isoforms with the predicted MWs of 58KDa, 48KDa, 48KDa, 43KDa, 41KDa, 32KDa and 53KDa, respectively.

All lanes:

Western blot - Anti-Ikaros antibody [EPR13790] (ab191394) at 1/10000 dilution

Lane 1:

Raji cell lysate at 20 µg

Lane 2:

Ramos cell lysate at 20 µg

Lane 3:

MOLT4 cell lysate at 20 µg

Secondary

All lanes:

Goat Anti-Rabbit IgG, (H+L), Peroxidase conjugated at 1/1000 dilution

Predicted band size: 57 kDa

false

Western blot - Anti-Ikaros antibody [EPR13790] (AB191394)
  • WB

Lab

Western blot - Anti-Ikaros antibody [EPR13790] (AB191394)

Lanes 1 - 4 : Merged signal (red and green). Green - ab191394 observed at 50-70 kDa. Red - loading control ab8245 (Mouse anti-GAPDH antibody [6C5]) observed at 37kDa.

ab191394 was shown to react with Ikaros in wild-type Jurkat cells in western blot with loss of signal observed in IKZF1 knockout sample. Wild-type and IKZF1 knockout Jurkat cell lysates were subjected to SDS-PAGE. Membranes were blocked in 3% milk in TBS-T (0.1% Tween®) before incubation with ab191394 and ab8245 (Mouse anti-GAPDH antibody [6C5]) overnight at 4°C at a 1 in 10000 dilution and a 1 in 20000 dilution respectively. Blots were incubated with Goat anti-Rabbit IgG H&L (IRDye® 800CW) preabsorbed (ab216773) and Goat anti-Mouse IgG H&L (IRDye® 680RD) preabsorbed (ab216776) secondary antibodies at 1 in 20000 dilution for 1 hour at room temperature before imaging.

All lanes:

Western blot - Anti-Ikaros antibody [EPR13790] (ab191394) at 1/10000 dilution

Lane 1:

Wild-type Jurkat (Human T cell leukemia cell line from peripheral blood) whole cell lysate at 20 µg

Lane 2:

IKZF1 knockout Jurkat (Human T cell leukemia cell line from peripheral blood) whole cell lysate at 20 µg

Lane 2:

Western blot - Human IKZF1 knockout Jurkat cell line (<a href='/en-us/products/cell-lines/human-ikzf1-knockout-jurkat-cell-line-ab274920'>ab274920</a>)

Lane 3:

Daudi (Human Burkitt's lymphoma cell line) whole cell lysate at 20 µg

Lane 4:

HeLa (Human epithelial cell line from cervix adenocarcinoma) whole cell lysate at 20 µg

Predicted band size: 57 kDa

Observed band size: 50-70 kDa

false

  • Carrier free

    Anti-Ikaros antibody [EPR13790] - BSA and Azide free

  • 578 PE

    PE Anti-Ikaros antibody [EPR13790]

  • 660 APC

    APC Anti-Ikaros antibody [EPR13790]

  • HRP

    HRP Anti-Ikaros antibody [EPR13790]

  • 519 Alexa Fluor® 488

    Alexa Fluor® 488 Anti-Ikaros antibody [EPR13790]

  • 665 Alexa Fluor® 647

    Alexa Fluor® 647 Anti-Ikaros antibody [EPR13790]

  • 617 Alexa Fluor® 594

    Alexa Fluor® 594 Anti-Ikaros antibody [EPR13790]

  • 603 Alexa Fluor® 568

    Alexa Fluor® 568 Anti-Ikaros antibody [EPR13790]

  • 565 Alexa Fluor® 555

    Alexa Fluor® 555 Anti-Ikaros antibody [EPR13790]

  • 775 Alexa Fluor® 750

    Alexa Fluor® 750 Anti-Ikaros antibody [EPR13790]

Key facts

Host species

Rabbit

Clonality

Monoclonal

Clone number

EPR13790

Isotype

IgG

Carrier free

No

Reacts with

Mouse, Human

Applications

Flow Cyt (Intra), IHC-P, WB

applications

Immunogen

The exact immunogen used to generate this antibody is proprietary information.

Reactivity data

{ "title": "Reactivity Data", "filters": { "stats": ["", "Species", "Dilution Info", "Notes"], "tabs": { "all-applications": {"fullname" : "All Applications", "shortname": "All Applications"}, "WB" : {"fullname" : "Western blot", "shortname":"WB"}, "FlowCytIntra" : {"fullname" : "Flow Cytometry (Intracellular)", "shortname":"Flow Cyt (Intra)"}, "IHCP" : {"fullname" : "Immunohistochemistry (Formalin/PFA-fixed paraffin-embedded sections)", "shortname":"IHC-P"} }, "product-promise": { "all": "all", "testedAndGuaranteed": "tested", "guaranteed": "expected", "predicted": "predicted", "notRecommended": "not-recommended" } }, "values": { "Human": { "WB-species-checked": "testedAndGuaranteed", "WB-species-dilution-info": "1/10000 - 1/50000", "WB-species-notes": "<p></p>", "FlowCytIntra-species-checked": "testedAndGuaranteed", "FlowCytIntra-species-dilution-info": "1/130", "FlowCytIntra-species-notes": "<p><a href='/en-us/products/primary-antibodies/rabbit-igg-monoclonal-epr25a-isotype-control-ab172730'>ab172730</a> - Rabbit monoclonal IgG, is suitable for use as an isotype control with this antibody.</p>", "IHCP-species-checked": "testedAndGuaranteed", "IHCP-species-dilution-info": "1/1400", "IHCP-species-notes": "<p></p>" }, "Mouse": { "WB-species-checked": "guaranteed", "WB-species-dilution-info": "", "WB-species-notes": "", "FlowCytIntra-species-checked": "guaranteed", "FlowCytIntra-species-dilution-info": "", "FlowCytIntra-species-notes": "", "IHCP-species-checked": "testedAndGuaranteed", "IHCP-species-dilution-info": "1/1400", "IHCP-species-notes": "<p></p>" }, "Rat": { "WB-species-checked": "predicted", "WB-species-dilution-info": "", "WB-species-notes": "", "FlowCytIntra-species-checked": "predicted", "FlowCytIntra-species-dilution-info": "", "FlowCytIntra-species-notes": "", "IHCP-species-checked": "predicted", "IHCP-species-dilution-info": "", "IHCP-species-notes": "" } } }

Product details

What is this antibody validated in?
Anti-Ikaros antibody [EPR13790] (ab191394) is a rabbit recombinant monoclonal antibody and is validated for use in Western Blot (WB), Flow Cytometry (Intra), Flow Cytometry (Flow Cyt), Immunohistochemistry (IHC-P) in Human, Mouse samples.

What is the molecular weight of Ikaros?
Anti-Ikaros [EPR13790] (ab191394) specifically detects a band for Ikaros (UniProt: Q13422) at a molecular weight of 58kDa.

Trial sizes available!
Test your antibody or perform pre-screening before committing to a larger quantity. Sold in 10µl. Discover our selection of trial-size antibodies.

Specificity confirmed
The specificity of Anti-Ikaros antibody [EPR13790] (ab191394) has been confirmed by Western blot testing in IKZF1 Knockout Jurkat cells.

Other related products
We have a range of other formats of antibody clone [EPR13790] also available for your convenience: ab191394, Carrier free - ab206645, PE - ab306120, APC - ab306121, HRP - ab306122, Alkaline Phosphatase - ab308943, Alexa Fluor® 488 - ab309879, Alexa Fluor® 647 - ab310246, Alexa Fluor® 594 - ab310699, Alexa Fluor® 555 - ab312229, Alexa Fluor® 568 - ab312718, Alexa Fluor® 750 - ab321321

Patented technology
Our RabMAb® technology is a patented hybridoma-based technology for making rabbit monoclonal antibodies. For details on our patents, please refer to RabMAb® patents.

What are the advantages of a recombinant monoclonal antibody?
This product is a recombinant monoclonal antibody, which offers several advantages including:

  • - High batch-to-batch consistency and reproducibility
  • - Improved sensitivity and specificity
  • - Long-term security of supply
  • - Animal-free batch production

For more information, read more on recombinant antibodies.

Properties and storage information

Form
Liquid
Purification technique
Affinity purification Protein A
Storage buffer
pH: 7.2 - 7.4 Preservative: 0.01% Sodium azide Constituents: 59% PBS, 40% Glycerol (glycerin, glycerine), 0.05% BSA
Shipped at conditions
Blue Ice
Appropriate short-term storage duration
1-2 weeks
Appropriate short-term storage conditions
+4°C
Appropriate long-term storage conditions
-20°C
Aliquoting information
Upon delivery aliquot
Storage information
Avoid freeze / thaw cycle

Supplementary information

This supplementary information is collated from multiple sources and compiled automatically.

Ikaros also known as IKZF1 is a transcription factor. You also find it being referred to as the Ikaros protein or Ikaros code. It has a molecular mass of about 58-60 kDa. Ikaros expresses mostly in hematopoietic cells including precursors from which various blood cell types derive. It plays a significant role in regulating gene expression and cellular differentiation modulating the chromatin structure to control access to DNA.
Biological function summary

Ikaros protein functions in the regulation of lymphoid cell development. It is a part of a chromatin-remodeling complex influencing chromatin accessibility. Through its zinc finger domains it binds to specific DNA sequences controlling genes necessary for lymphocyte differentiation and proliferation. Ikaros influences various cell types within the immune system especially affecting T and B cell development and also regulates cytokine receptor genes necessary for proper immune function.

Pathways

The Ikaros protein is critical to lymphocyte signaling pathways particularly the JAK/STAT and NF-κB pathways. In these pathways Ikaros interacts with other transcription factors like GATA3 and STAT5 integrating signals that are important for immune cell function and development. This integration allows a coordinated response to extracellular signals ensuring effective immune responses or tolerance.

Ikaros is associated with leukemia and lymphomas. Alterations or mutations in ikaros gene can lead to misregulation of its target genes contributing to the development of these diseases by disturbing normal hematopoietic processes. Moreover its interaction with TAL1 protein is significant in certain leukemias where disturbances in the balance of their activities can lead to malignancies. Understanding Ikaros's role provides insights for therapeutic approaches in these blood disorders.

Product protocols

For this product, it's our understanding that no specific protocols are required. You can visit:

Target data

Transcription regulator of hematopoietic cell differentiation (PubMed : 17934067). Binds gamma-satellite DNA (PubMed : 17135265, PubMed : 19141594). Plays a role in the development of lymphocytes, B- and T-cells. Binds and activates the enhancer (delta-A element) of the CD3-delta gene. Repressor of the TDT (fikzfterminal deoxynucleotidyltransferase) gene during thymocyte differentiation. Regulates transcription through association with both HDAC-dependent and HDAC-independent complexes. Targets the 2 chromatin-remodeling complexes, NuRD and BAF (SWI/SNF), in a single complex (PYR complex), to the beta-globin locus in adult erythrocytes. Increases normal apoptosis in adult erythroid cells. Confers early temporal competence to retinal progenitor cells (RPCs) (By similarity). Function is isoform-specific and is modulated by dominant-negative inactive isoforms (PubMed : 17135265, PubMed : 17934067).
See full target information IKZF1

Publications (4)

Recent publications for all applications. Explore the full list and refine your search

Cancer science 114:1958-1971 PubMed36692137

2023

Crizotinib-based proteolysis targeting chimera suppresses gastric cancer by promoting MET degradation.

Applications

Unspecified application

Species

Unspecified reactive species

Jin-Jiao Chen,Jin-Mei Jin,Wen-Jie Gu,Zeng Zhao,Hu Yuan,Yu-Dong Zhou,Dale G Nagle,Qiu-Lei Xi,Xue-Mei Zhang,Qing-Yan Sun,Ye Wu,Wei-Dong Zhang,Xin Luan

Journal of medicinal chemistry 64:12273-12285 PubMed34378936

2021

Folate-Guided Protein Degradation by Immunomodulatory Imide Drug-Based Molecular Glues and Proteolysis Targeting Chimeras.

Applications

Unspecified application

Species

Unspecified reactive species

He Chen,Jing Liu,H Ümit Kaniskan,Wenyi Wei,Jian Jin

Science advances 6:eaay5154 PubMed32128407

2020

Light-induced control of protein destruction by opto-PROTAC.

Applications

Unspecified application

Species

Unspecified reactive species

Jing Liu,He Chen,Leina Ma,Zhixiang He,Dong Wang,Yi Liu,Qian Lin,Tinghu Zhang,Nathanael Gray,H Ümit Kaniskan,Jian Jin,Wenyi Wei

The Journal of clinical investigation 128:3071-3087 PubMed29889099

2018

Dominant-negative IKZF1 mutations cause a T, B, and myeloid cell combined immunodeficiency.

Applications

Unspecified application

Species

Unspecified reactive species

David Boutboul,Hye Sun Kuehn,Zoé Van de Wyngaert,Julie E Niemela,Isabelle Callebaut,Jennifer Stoddard,Christelle Lenoir,Vincent Barlogis,Catherine Farnarier,Frédéric Vely,Nao Yoshida,Seiji Kojima,Hirokazu Kanegane,Akihiro Hoshino,Fabian Hauck,Ludovic Lhermitte,Vahid Asnafi,Philip Roehrs,Shaoying Chen,James W Verbsky,Katherine R Calvo,Ammar Husami,Kejian Zhang,Joseph Roberts,David Amrol,John Sleaseman,Amy P Hsu,Steven M Holland,Rebecca Marsh,Alain Fischer,Thomas A Fleisher,Capucine Picard,Sylvain Latour,Sergio D Rosenzweig
View all publications

Product promise

We are committed to supporting your work with high-quality reagents, and we're here for you every step of the way. In the unlikely event that one of our products does not perform as expected, you're protected by our Product Promise.
For full details, please see our Terms & Conditions

Associated Products

Select an associated product type
Alternative Product
Primary Antibodies

AB229275

Anti-Ikaros antibody - N-terminal

primary-antibodies

ikaros-antibody-n-terminal-ab229275

0

(0 reviews)

Alternative Product
Primary Antibodies

AB232924

PE Anti-Ikaros antibody [4E9]

primary-antibodies

pe-ikaros-antibody-4e9-ab232924

0

(0 reviews)

Alternative Product
Primary Antibodies

AB180713

Anti-Ikaros antibody - N-terminal

primary-antibodies

ikaros-antibody-n-terminal-ab180713

4

(1 reviews)

Alternative Product
Primary Antibodies

AB168757

Anti-Ikaros antibody

primary-antibodies

ikaros-antibody-ab168757

0

(0 reviews)

Alternative Product
Primary Antibodies

AB105228

Anti-Ikaros antibody [SP108]

primary-antibodies

ikaros-antibody-sp108-ab105228

0

(0 reviews)

Alternative Product
Primary Antibodies

AB236227

Anti-Ikaros antibody [SP108] - BSA and Azide free

primary-antibodies

ikaros-antibody-sp108-bsa-and-azide-free-ab236227

0

(0 reviews)

Alternative Product
Primary Antibodies

AB190691

Anti-Ikaros antibody [EPR13791] - C-terminal

primary-antibodies

ikaros-antibody-epr13791-c-terminal-ab190691

0

(0 reviews)

Please note: All products are 'FOR RESEARCH USE ONLY. NOT FOR USE IN DIAGNOSTIC OR THERAPEUTIC PROCEDURES'.

For licensing inquiries, please contact partnerships@abcam.com