JavaScript is disabled in your browser. Please enable JavaScript to view this website.
AB206645

Anti-Ikaros antibody [EPR13790] - BSA and Azide free

Be the first to review this product! Submit a review

|

(0 Publication)

Anti-Ikaros antibody [EPR13790] - BSA and Azide free (ab206645) is a rabbit recombinant monoclonal antibody provided in a PBS only buffer for easy conjugation detecting Ikaros in Western Blot, Flow Cytometry, IHC-P. Suitable for Human, Mouse.

- KO validated for confirmed specificity
- BSA, sodium azide, and glycerol-free for easy conjugation
- Biophysical QC for unrivalled batch-batch consistency

View Alternative Names

IK1, IKAROS, LYF1, ZNFN1A1, IKZF1, DNA-binding protein Ikaros, Ikaros family zinc finger protein 1, Lymphoid transcription factor LyF-1

4 Images
Flow Cytometry (Intracellular) - Anti-Ikaros antibody [EPR13790] - BSA and Azide free (AB206645)
  • Flow Cyt (Intra)

Supplier Data

Flow Cytometry (Intracellular) - Anti-Ikaros antibody [EPR13790] - BSA and Azide free (AB206645)

Intracellular flow cytometric analysis of MOLT4 cells (paraformaldehyde-fixed, 2%) labeling Ikaros with ab191394 at 1/130 dilution (red) or a rabbit IgG (negative) (green), followed by Goat anti rabbit IgG (FITC) secondary at 1/150 dilution.

This data was developed using the same antibody clone in a different buffer formulation containing PBS, BSA, glycerol, and sodium azide (ab191394).

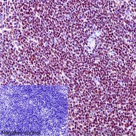
Immunohistochemistry (Formalin/PFA-fixed paraffin-embedded sections) - Anti-Ikaros antibody [EPR13790] - BSA and Azide free (AB206645)
  • IHC-P

Supplier Data

Immunohistochemistry (Formalin/PFA-fixed paraffin-embedded sections) - Anti-Ikaros antibody [EPR13790] - BSA and Azide free (AB206645)

This IHC data was generated using the same anti-Ikaros antibody clone, EPR13790, in a different buffer formulation (cat# ab191394).

Immunohistochemical analysis of paraffin-embedded Mouse spleen tissue labeling Ikaros with ab191394 at 1/1400 dilution followed by pre-diluted HRP Polymer for Rabbit IgG secondary antibody and counter-stained with Hematoxylin.
Inset : Negative control : using PBS instead of primary antibody.

Perform heat mediated antigen retrieval with Tris/EDTA buffer pH 9.0 before commencing with IHC staining protocol.

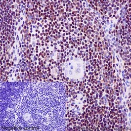
Immunohistochemistry (Formalin/PFA-fixed paraffin-embedded sections) - Anti-Ikaros antibody [EPR13790] - BSA and Azide free (AB206645)
  • IHC-P

Supplier Data

Immunohistochemistry (Formalin/PFA-fixed paraffin-embedded sections) - Anti-Ikaros antibody [EPR13790] - BSA and Azide free (AB206645)

This IHC data was generated using the same anti-Ikaros antibody clone, EPR13790, in a different buffer formulation (cat# ab191394).

Immunohistochemical analysis of paraffin-embedded Human thymus tissue labeling Ikaros with ab191394 at 1/1400 dilution followed by pre-diluted HRP Polymer for Rabbit IgG secondary antibody and counter-stained with Hematoxylin.
Inset : Negative control : using PBS instead of primary antibody.

Perform heat mediated antigen retrieval with Tris/EDTA buffer pH 9.0 before commencing with IHC staining protocol.

Western blot - Anti-Ikaros antibody [EPR13790] - BSA and Azide free (AB206645)
  • WB

Lab

Western blot - Anti-Ikaros antibody [EPR13790] - BSA and Azide free (AB206645)

This data was developed using the same antibody clone in a different buffer formulation (ab191394).

Lanes 1 - 4 : Merged signal (red and green). Green - ab191394 observed at 50-70 kDa. Red - loading control ab8245 (Mouse anti-GAPDH antibody [6C5]) observed at 37kDa.

ab191394 was shown to react with Ikaros in wild-type Jurkat cells in western blot with loss of signal observed in IKZF1 knockout sample. Wild-type and IKZF1 knockout Jurkat cell lysates were subjected to SDS-PAGE. Membranes were blocked in 3% milk in TBS-T (0.1% Tween®) before incubation with ab191394 and ab8245 (Mouse anti-GAPDH antibody [6C5]) overnight at 4°C at a 1 in 10000 dilution and a 1 in 20000 dilution respectively. Blots were incubated with Goat anti-Rabbit IgG H&L (IRDye® 800CW) preabsorbed (ab216773) and Goat anti-Mouse IgG H&L (IRDye® 680RD) preabsorbed (ab216776) secondary antibodies at 1 in 20000 dilution for 1 hour at room temperature before imaging.

All lanes:

Western blot - Anti-Ikaros antibody [EPR13790] (<a href='/en-us/products/primary-antibodies/ikaros-antibody-epr13790-ab191394'>ab191394</a>) at 1/10000 dilution

Lane 1:

Wild-type Jurkat (Human T cell leukemia cell line from peripheral blood) whole cell lysate at 20 µg

Lane 2:

IKZF1 knockout Jurkat (Human T cell leukemia cell line from peripheral blood) whole cell lysate at 20 µg

Lane 2:

Western blot - Human IKZF1 knockout Jurkat cell line (<a href='/en-us/products/cell-lines/human-ikzf1-knockout-jurkat-cell-line-ab274920'>ab274920</a>)

Lane 3:

Daudi (Human Burkitt's lymphoma cell line) whole cell lysate at 20 µg

Lane 4:

HeLa (Human epithelial cell line from cervix adenocarcinoma) whole cell lysate at 20 µg

Predicted band size: 57 kDa

Observed band size: 50-70 kDa

false

Key facts

Host species

Rabbit

Clonality

Monoclonal

Clone number

EPR13790

Isotype

IgG

Carrier free

Yes

Reacts with

Mouse, Human

Applications

Flow Cyt (Intra), IHC-P, WB

applications

Immunogen

The exact immunogen used to generate this antibody is proprietary information.

Reactivity data

{ "title": "Reactivity Data", "filters": { "stats": ["", "Species", "Dilution Info", "Notes"], "tabs": { "all-applications": {"fullname" : "All Applications", "shortname": "All Applications"}, "WB" : {"fullname" : "Western blot", "shortname":"WB"}, "FlowCytIntra" : {"fullname" : "Flow Cytometry (Intracellular)", "shortname":"Flow Cyt (Intra)"}, "IHCP" : {"fullname" : "Immunohistochemistry (Formalin/PFA-fixed paraffin-embedded sections)", "shortname":"IHC-P"} }, "product-promise": { "all": "all", "testedAndGuaranteed": "tested", "guaranteed": "expected", "predicted": "predicted", "notRecommended": "not-recommended" } }, "values": { "Human": { "WB-species-checked": "testedAndGuaranteed", "WB-species-dilution-info": "", "WB-species-notes": "<p></p> Perform heat-mediated antigen retrieval with Tris/EDTA buffer pH 9.0 before commencing with IHC staining protocol.", "FlowCytIntra-species-checked": "testedAndGuaranteed", "FlowCytIntra-species-dilution-info": "", "FlowCytIntra-species-notes": "<p><a href='/en-us/products/primary-antibodies/rabbit-igg-monoclonal-epr25a-isotype-control-low-endotoxin-azide-free-ab199376'>ab199376</a> - Rabbit monoclonal IgG, is suitable for use as an isotype control with this antibody.</p>", "IHCP-species-checked": "testedAndGuaranteed", "IHCP-species-dilution-info": "", "IHCP-species-notes": "<p></p> Perform heat-mediated antigen retrieval with Tris/EDTA buffer pH 9.0 before commencing with IHC staining protocol." }, "Mouse": { "WB-species-checked": "guaranteed", "WB-species-dilution-info": "", "WB-species-notes": "", "FlowCytIntra-species-checked": "guaranteed", "FlowCytIntra-species-dilution-info": "", "FlowCytIntra-species-notes": "", "IHCP-species-checked": "testedAndGuaranteed", "IHCP-species-dilution-info": "", "IHCP-species-notes": "<p></p> Perform heat-mediated antigen retrieval with Tris/EDTA buffer pH 9.0 before commencing with IHC staining protocol." }, "Rat": { "WB-species-checked": "predicted", "WB-species-dilution-info": "", "WB-species-notes": "", "FlowCytIntra-species-checked": "predicted", "FlowCytIntra-species-dilution-info": "", "FlowCytIntra-species-notes": "", "IHCP-species-checked": "predicted", "IHCP-species-dilution-info": "", "IHCP-species-notes": "" } } }

Product details

What is this antibody validated in?
Anti-Ikaros antibody [EPR13790] - BSA and Azide free (ab206645) is a rabbit recombinant monoclonal antibody and is validated for use in Western Blot (WB), Flow Cytometry (Intra), Flow Cytometry (Flow Cyt), Immunohistochemistry (IHC-P) in Human, Mouse samples.

What is the molecular weight of Ikaros?
Anti-Ikaros [EPR13790] - BSA and Azide free (ab206645) specifically detects a band for Ikaros (UniProt: Q13422) at a molecular weight of 58kDa.

Specificity confirmed
The specificity of Anti-Ikaros antibody [EPR13790] - BSA and Azide free (ab206645) has been confirmed by Western blot testing in IKZF1 Knockout Jurkat cell line, ab274920.

Other related products
We have a range of other formats of antibody clone [EPR13790] also available for your convenience: ab191394, Carrier free - ab206645, PE - ab306120, APC - ab306121, HRP - ab306122, Alkaline Phosphatase - ab308943, Alexa Fluor® 488 - ab309879, Alexa Fluor® 647 - ab310246, Alexa Fluor® 594 - ab310699, Alexa Fluor® 555 - ab312229, Alexa Fluor® 568 - ab312718, Alexa Fluor® 750 - ab321321

Patented technology
Our RabMAb® technology is a patented hybridoma-based technology for making rabbit monoclonal antibodies. For details on our patents, please refer to RabMAb® patents.

What are the advantages of a recombinant monoclonal antibody?
This product is a recombinant monoclonal antibody, which offers several advantages including:

  • - High batch-to-batch consistency and reproducibility
  • - Improved sensitivity and specificity
  • - Long-term security of supply
  • - Animal-free batch production

For more information, read more on recombinant antibodies.

Conjugation ready
Our carrier-free antibodies are typically supplied in a PBS-only formulation, purified and free of BSA, sodium azide and glycerol. This conjugation-ready format is designed for use with fluorochromes, metal isotopes, oligonucleotides, and enzymes, which makes them ideal for antibody labelling, functional and cell-based assays, flow-based assays (e.g. mass cytometry) and Multiplex Imaging applications.

Use our conjugation kits for antibody conjugates that are ready-to-use in as little as 20 minutes with 1 minute hands-on-time and 100% antibody recovery: available for fluorescent dyes, HRP, biotin and gold.

Compatibility
This product is compatible with the Maxpar® Antibody Labeling Kit from Fluidigm, without the need for antibody preparation. Maxpar® is a trademark of Fluidigm Canada Inc.

Properties and storage information

Form
Liquid
Purification technique
Affinity purification Protein A
Storage buffer
pH: 7.2 - 7.4 Constituents: PBS
Shipped at conditions
Blue Ice
Appropriate short-term storage conditions
+4°C
Appropriate long-term storage conditions
+4°C
Storage information
Do Not Freeze

Supplementary information

This supplementary information is collated from multiple sources and compiled automatically.

Ikaros also known as IKZF1 is a transcription factor. You also find it being referred to as the Ikaros protein or Ikaros code. It has a molecular mass of about 58-60 kDa. Ikaros expresses mostly in hematopoietic cells including precursors from which various blood cell types derive. It plays a significant role in regulating gene expression and cellular differentiation modulating the chromatin structure to control access to DNA.
Biological function summary

Ikaros protein functions in the regulation of lymphoid cell development. It is a part of a chromatin-remodeling complex influencing chromatin accessibility. Through its zinc finger domains it binds to specific DNA sequences controlling genes necessary for lymphocyte differentiation and proliferation. Ikaros influences various cell types within the immune system especially affecting T and B cell development and also regulates cytokine receptor genes necessary for proper immune function.

Pathways

The Ikaros protein is critical to lymphocyte signaling pathways particularly the JAK/STAT and NF-κB pathways. In these pathways Ikaros interacts with other transcription factors like GATA3 and STAT5 integrating signals that are important for immune cell function and development. This integration allows a coordinated response to extracellular signals ensuring effective immune responses or tolerance.

Ikaros is associated with leukemia and lymphomas. Alterations or mutations in ikaros gene can lead to misregulation of its target genes contributing to the development of these diseases by disturbing normal hematopoietic processes. Moreover its interaction with TAL1 protein is significant in certain leukemias where disturbances in the balance of their activities can lead to malignancies. Understanding Ikaros’s role provides insights for therapeutic approaches in these blood disorders.

Product protocols

For this product, it's our understanding that no specific protocols are required. You can visit:

Target data

Transcription regulator of hematopoietic cell differentiation (PubMed : 17934067). Binds gamma-satellite DNA (PubMed : 17135265, PubMed : 19141594). Plays a role in the development of lymphocytes, B- and T-cells. Binds and activates the enhancer (delta-A element) of the CD3-delta gene. Repressor of the TDT (fikzfterminal deoxynucleotidyltransferase) gene during thymocyte differentiation. Regulates transcription through association with both HDAC-dependent and HDAC-independent complexes. Targets the 2 chromatin-remodeling complexes, NuRD and BAF (SWI/SNF), in a single complex (PYR complex), to the beta-globin locus in adult erythrocytes. Increases normal apoptosis in adult erythroid cells. Confers early temporal competence to retinal progenitor cells (RPCs) (By similarity). Function is isoform-specific and is modulated by dominant-negative inactive isoforms (PubMed : 17135265, PubMed : 17934067).
See full target information IKZF1

Product promise

We are committed to supporting your work with high-quality reagents, and we're here for you every step of the way. In the unlikely event that one of our products does not perform as expected, you're protected by our Product Promise.
For full details, please see our Terms & Conditions

Associated Products

Select an associated product type
Alternative Product
Primary Antibodies

AB229275

Anti-Ikaros antibody - N-terminal

primary-antibodies

ikaros-antibody-n-terminal-ab229275

0

(0 reviews)

Alternative Product
Primary Antibodies

AB232924

PE Anti-Ikaros antibody [4E9]

primary-antibodies

pe-ikaros-antibody-4e9-ab232924

0

(0 reviews)

Alternative Product
Primary Antibodies

AB180713

Anti-Ikaros antibody - N-terminal

primary-antibodies

ikaros-antibody-n-terminal-ab180713

4

(1 reviews)

Alternative Product
Primary Antibodies

AB168757

Anti-Ikaros antibody

primary-antibodies

ikaros-antibody-ab168757

0

(0 reviews)

Alternative Product
Primary Antibodies

AB105228

Anti-Ikaros antibody [SP108]

primary-antibodies

ikaros-antibody-sp108-ab105228

0

(0 reviews)

Alternative Product
Primary Antibodies

AB236227

Anti-Ikaros antibody [SP108] - BSA and Azide free

primary-antibodies

ikaros-antibody-sp108-bsa-and-azide-free-ab236227

0

(0 reviews)

Alternative Product
Primary Antibodies

AB190691

Anti-Ikaros antibody [EPR13791] - C-terminal

primary-antibodies

ikaros-antibody-epr13791-c-terminal-ab190691

0

(0 reviews)

Alternative Version
Primary Antibodies

AB306120

PE Anti-Ikaros antibody [EPR13790]

primary-antibodies

pe-ikaros-antibody-epr13790-ab306120

0

(0 reviews)

Alternative Version
Primary Antibodies

AB306121

APC Anti-Ikaros antibody [EPR13790]

primary-antibodies

apc-ikaros-antibody-epr13790-ab306121

0

(0 reviews)

Alternative Version
Primary Antibodies

AB306122

HRP Anti-Ikaros antibody [EPR13790]

primary-antibodies

hrp-ikaros-antibody-epr13790-ab306122

0

(0 reviews)

Alternative Version
Primary Antibodies

AB309879

Alexa Fluor® 488 Anti-Ikaros antibody [EPR13790]

primary-antibodies

alexa-fluor-488-ikaros-antibody-epr13790-ab309879

0

(0 reviews)

Alternative Version
Primary Antibodies

AB310246

Alexa Fluor® 647 Anti-Ikaros antibody [EPR13790]

primary-antibodies

alexa-fluor-647-ikaros-antibody-epr13790-ab310246

0

(0 reviews)

Alternative Version
Primary Antibodies

AB310699

Alexa Fluor® 594 Anti-Ikaros antibody [EPR13790]

primary-antibodies

alexa-fluor-594-ikaros-antibody-epr13790-ab310699

0

(0 reviews)

Alternative Version
Primary Antibodies

AB312718

Alexa Fluor® 568 Anti-Ikaros antibody [EPR13790]

primary-antibodies

alexa-fluor-568-ikaros-antibody-epr13790-ab312718

0

(0 reviews)

Alternative Version
Primary Antibodies

AB312229

Alexa Fluor® 555 Anti-Ikaros antibody [EPR13790]

primary-antibodies

alexa-fluor-555-ikaros-antibody-epr13790-ab312229

0

(0 reviews)

Please note: All products are 'FOR RESEARCH USE ONLY. NOT FOR USE IN DIAGNOSTIC OR THERAPEUTIC PROCEDURES'.

For licensing inquiries, please contact partnerships@abcam.com