JavaScript is disabled in your browser. Please enable JavaScript to view this website.
AB300417

Anti-Ikaros antibody [EPR25259-176] (BSA and Azide free)

  • BOND RX™ Validated
  • RabMAb
  • Recombinant
  • Advanced Validation
  • What is this?

Be the first to review this product! Submit a review

|

(0 Publication)

Rabbit Recombinant Monoclonal Ikaros antibody. Carrier free. Suitable for WB, IHC-P, IHC-Fr, Flow Cyt (Intra), IP, ChIP-seq and reacts with Human, Mouse, Rat samples.

View Alternative Names

IK1, IKAROS, LYF1, ZNFN1A1, IKZF1, DNA-binding protein Ikaros, Ikaros family zinc finger protein 1, Lymphoid transcription factor LyF-1

18 Images
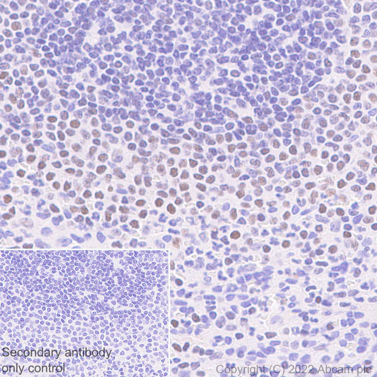
Immunohistochemistry (Formalin/PFA-fixed paraffin-embedded sections) - Anti-Ikaros antibody [EPR25259-176] (BSA and Azide free) (AB300417)
  • IHC-P

Supplier Data

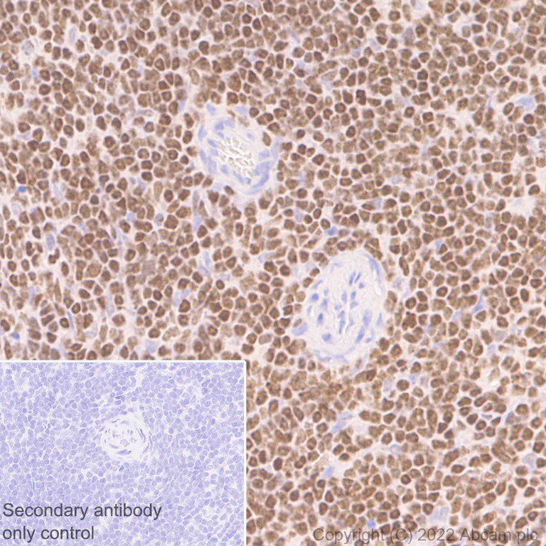
Immunohistochemistry (Formalin/PFA-fixed paraffin-embedded sections) - Anti-Ikaros antibody [EPR25259-176] (BSA and Azide free) (AB300417)

This data was developed using ab300405, the same antibody clone in a different buffer formulation.Immunohistochemical analysis of paraffin-embedded Human thymus tissue labeling Ikaros with ab300405 at 1/2000 (0.27 ug/ml) followed by a ready to use LeicaDS9800 (Bond™ Polymer Refine Detection) was used. Nuclear staining on human thymus (PMID : 8964602).The section was incubated with ab300405 for 30 mins at room temperature.The immunostaining was performed on a Leica Biosystems BOND® RX instrument Counterstained with Hematoxylin. Secondary antibody only control : Secondary antibody is a ready to use LeicaDS9800 (Bond™ Polymer Refine Detection) was used.Heat mediated antigen retrieval with Tris-EDTA buffer (pH 9.0, epitope retrieval solution2) for 20 mins

Flow Cytometry (Intracellular) - Anti-Ikaros antibody [EPR25259-176] (BSA and Azide free) (AB300417)
  • Flow Cyt (Intra)

Supplier Data

Flow Cytometry (Intracellular) - Anti-Ikaros antibody [EPR25259-176] (BSA and Azide free) (AB300417)

This data was developed using ab300405, the same antibody clone in a different buffer formulation.Flow cytometric analysis of HeLa (human cervix adenocarcinoma epithelial cell, Left) / Jurkat (human T cell leukemia T lymphocyte, Right) cells labelling Ikaros with ab300405 at 1/500 dilution (0.1ug) (Red) compared with a Rabbit monoclonal IgG (ab172730) (Black) isotype control and an unlabelled control (cells without incubation with primary antibody and secondary antibody) (Blue). Goat Anti-Rabbit IgG (Alexa Fluor® 488, ab150081) at 1/2000 dilution was used as the secondary antibody. Negative control : HeLa(HPA data)

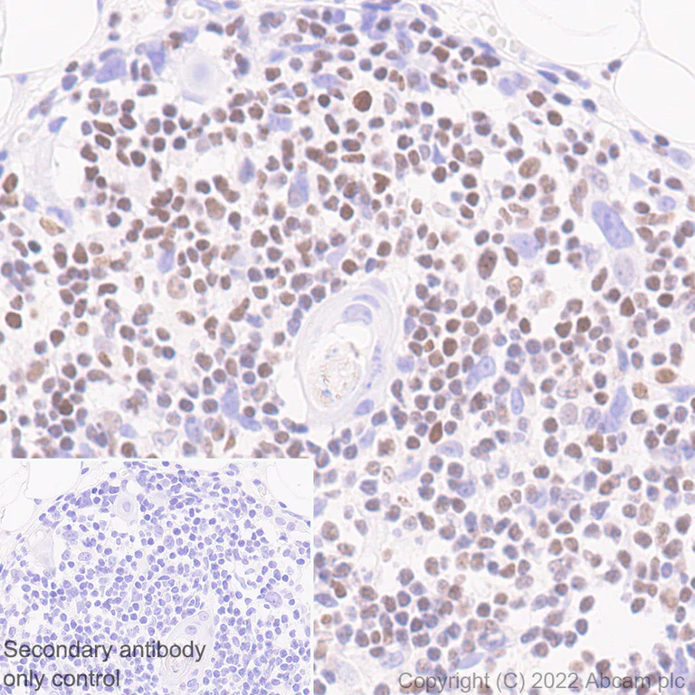
Immunohistochemistry (Formalin/PFA-fixed paraffin-embedded sections) - Anti-Ikaros antibody [EPR25259-176] (BSA and Azide free) (AB300417)
  • IHC-P

Supplier Data

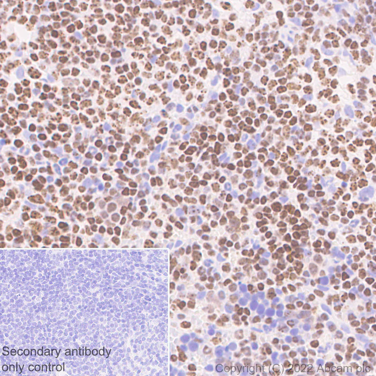
Immunohistochemistry (Formalin/PFA-fixed paraffin-embedded sections) - Anti-Ikaros antibody [EPR25259-176] (BSA and Azide free) (AB300417)

This data was developed using ab300405, the same antibody clone in a different buffer formulation.Immunohistochemical analysis of paraffin-embedded Human spleen tissue labeling Ikaros with ab300405 at 1/2000 (0.27 ug/ml) followed by a ready to use LeicaDS9800 (Bond™ Polymer Refine Detection) was used. Nuclear staining on human spleen (PMID : 8964602).The section was incubated with ab300405 for 30 mins at room temperature.The immunostaining was performed on a Leica Biosystems BOND® RX instrument Counterstained with Hematoxylin. Secondary antibody only control : Secondary antibody is a ready to use LeicaDS9800 (Bond™ Polymer Refine Detection) was used.Heat mediated antigen retrieval with Tris-EDTA buffer (pH 9.0, epitope retrieval solution2) for 20 mins

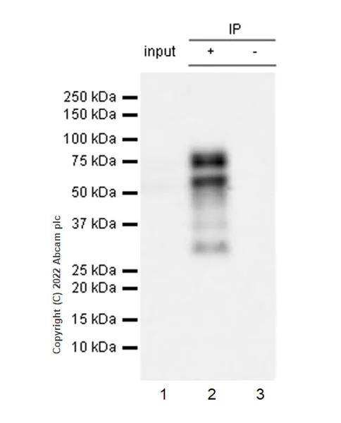
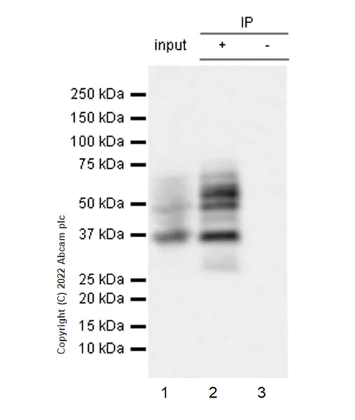
Immunoprecipitation - Anti-Ikaros antibody [EPR25259-176] (BSA and Azide free) (AB300417)
  • IP

Supplier Data

Immunoprecipitation - Anti-Ikaros antibody [EPR25259-176] (BSA and Azide free) (AB300417)

This data was developed using ab300405, the same antibody clone in a different buffer formulation.

Ikaros was immunoprecipitated from 0.35 mg Raji (human burkitt's lymphoma b lymphocyte) whole cell lysate 10 ug with ab300405 at 1/30 dilution (2ug in 0.35mg lysates). Western blot was performed on the immunoprecipitate using ab300405 at 1/1000 dilution. VeriBlot for IP secondary antibody (HRP) (ab131366) was used at 1/5000 dilution.

Lane 1 : Raji (human burkitt's lymphoma b lymphocyte) whole cell lysate 10 ug

Lane 2 : ab300405 IP in Raji whole cell lysate

Lane 3 : Rabbit monoclonal IgG (ab172730) instead of ab300405 in Raji whole cell lysate

Blocking and dilution buffer and concentration : 5% NFDM/TBST.

Exposure time : 8 seconds.

Lanes 1 - 3:

Immunoprecipitation - Anti-Ikaros antibody [EPR25259-176] (<a href='/en-us/products/primary-antibodies/ikaros-antibody-epr25259-176-ab300405'>ab300405</a>) at 1/1000 dilution

Lanes 1 - 3:

Immunoprecipitation - Anti-Ikaros antibody [EPR25259-176] (BSA and Azide free) (ab300417)

All lanes:

Raji whole cell lysate at 10 µg

Secondary

All lanes:

Immunoprecipitation - VeriBlot for IP Detection Reagent (HRP) (<a href='/en-us/products/reagents/veriblot-for-ip-detection-reagent-hrp-ab131366'>ab131366</a>) at 1/5000 dilution

false

Exposure time: 8s

ChIP-sequencing - Anti-Ikaros antibody [EPR25259-176] (BSA and Azide free) (AB300417)
  • ChIP-seq

Lab

ChIP-sequencing - Anti-Ikaros antibody [EPR25259-176] (BSA and Azide free) (AB300417)

This data was developed using the same antibody clone in a different buffer formulation (ab300405).

Chromatin was prepared from Raji cells. Cells were fixed with 1% formaldehyde for 10 minutes. ChIP was performed with 107 cells and 8 µg of ab300405 [EPR25259-176]. ChIP DNA was sequenced on the Illumina NovaSeq 6000 to a depth of 30 million reads. The input control is also shown.

ChIP-sequencing - Anti-Ikaros antibody [EPR25259-176] (BSA and Azide free) (AB300417)
  • ChIP-seq

Lab

ChIP-sequencing - Anti-Ikaros antibody [EPR25259-176] (BSA and Azide free) (AB300417)

This data was developed using the same antibody clone in a different buffer formulation (ab300405).

Chromatin was prepared from Raji cells. Cells were fixed with 1% formaldehyde for 10 minutes. ChIP was performed with 107 cells and 8 µg of ab300405 [EPR25259-176]. ChIP DNA was sequenced on the Illumina NovaSeq 6000 to a depth of 30 million reads. The input control is also shown.

ChIP-sequencing - Anti-Ikaros antibody [EPR25259-176] (BSA and Azide free) (AB300417)
  • ChIP-seq

Lab

ChIP-sequencing - Anti-Ikaros antibody [EPR25259-176] (BSA and Azide free) (AB300417)

This data was developed using the same antibody clone in a different buffer formulation (ab300405).

Chromatin was prepared from Raji cells. Cells were fixed with 1% formaldehyde for 10 minutes. ChIP was performed with 107 cells and 8 µg of ab300405 [EPR25259-176]. ChIP DNA was sequenced on the Illumina NovaSeq 6000 to a depth of 30 million reads. The input control is also shown.

Immunohistochemistry (Frozen sections) - Anti-Ikaros antibody [EPR25259-176] (BSA and Azide free) (AB300417)
  • IHC-Fr

Supplier Data

Immunohistochemistry (Frozen sections) - Anti-Ikaros antibody [EPR25259-176] (BSA and Azide free) (AB300417)

This data was developed using ab300405, the same antibody clone in a different buffer formulation. Immunohistochemical analysis of 4% PFA-fixed, 0.2% Triton X-100 permeabilized frozen Mouse thymus (fresh) tissue labeling Ikaros with ab300405 at 1/100 (5.39 ug/ml) dilution followed by ab150081 Goat Anti-Rabbit IgG H&L (Alexa Fluor® 488) preadsorbed at 1/1000 2 ug/mL dilution (Green). Positive staining on mouse thymus is observed. The nuclear counterstain was DAPI (Blue). Secondary antibody control : Secondary antibody is ab150081 Goat Anti-Rabbit IgG H&L (Alexa Fluor® 488) preadsorbed at 1/1000 2 ug/mL dilution.

Immunohistochemistry (Formalin/PFA-fixed paraffin-embedded sections) - Anti-Ikaros antibody [EPR25259-176] (BSA and Azide free) (AB300417)
  • IHC-P

Supplier Data

Immunohistochemistry (Formalin/PFA-fixed paraffin-embedded sections) - Anti-Ikaros antibody [EPR25259-176] (BSA and Azide free) (AB300417)

This data was developed using ab300405, the same antibody clone in a different buffer formulation.Immunohistochemical analysis of paraffin-embedded Mouse spleen tissue labeling Ikaros with ab300405 at 1/2000 (0.27 ug/ml) followed by a ready to use LeicaDS9800 (Bond™ Polymer Refine Detection) was used. Nuclear staining on mouse spleen.The section was incubated with ab300405 for 30 mins at room temperature.The immunostaining was performed on a Leica Biosystems BOND® RX instrument Counterstained with Hematoxylin. Secondary antibody only control : Secondary antibody is a ready to use LeicaDS9800 (Bond™ Polymer Refine Detection) was used.Heat mediated antigen retrieval with Tris-EDTA buffer (pH 9.0, epitope retrieval solution2) for 20 mins

Immunohistochemistry (Formalin/PFA-fixed paraffin-embedded sections) - Anti-Ikaros antibody [EPR25259-176] (BSA and Azide free) (AB300417)
  • IHC-P

Supplier Data

Immunohistochemistry (Formalin/PFA-fixed paraffin-embedded sections) - Anti-Ikaros antibody [EPR25259-176] (BSA and Azide free) (AB300417)

This data was developed using ab300405, the same antibody clone in a different buffer formulation.Immunohistochemical analysis of paraffin-embedded Rat spleen tissue labeling Ikaros with ab300405 at 1/2000 (0.27 ug/ml) followed by a ready to use LeicaDS9800 (Bond™ Polymer Refine Detection) was used. Nuclear staining on rat spleen.The section was incubated with ab300405 for 30 mins at room temperature.The immunostaining was performed on a Leica Biosystems BOND® RX instrument Counterstained with Hematoxylin. Secondary antibody only control : Secondary antibody is a ready to use LeicaDS9800 (Bond™ Polymer Refine Detection) was used.Heat mediated antigen retrieval with Tris-EDTA buffer (pH 9.0, epitope retrieval solution2) for 20 mins

Immunohistochemistry (Frozen sections) - Anti-Ikaros antibody [EPR25259-176] (BSA and Azide free) (AB300417)
  • IHC-Fr

Supplier Data

Immunohistochemistry (Frozen sections) - Anti-Ikaros antibody [EPR25259-176] (BSA and Azide free) (AB300417)

This data was developed using ab300405, the same antibody clone in a different buffer formulation. Immunohistochemical analysis of 4% PFA-fixed, 0.2% Triton X-100 permeabilized frozen Mouse kidney (fresh) tissue labeling Ikaros with ab300405 at 1/100 (5.39 ug/ml) dilution followed by ab150081 Goat Anti-Rabbit IgG H&L (Alexa Fluor® 488) preadsorbed at 1/1000 2 ug/mL dilution (Green). Negative control (PMID : 1439790)No staining on mouse kidney is observed. The nuclear counterstain was DAPI (Blue). Secondary antibody control : Secondary antibody is ab150081 Goat Anti-Rabbit IgG H&L (Alexa Fluor® 488) preadsorbed at 1/1000 2 ug/mL dilution.

Immunohistochemistry (Frozen sections) - Anti-Ikaros antibody [EPR25259-176] (BSA and Azide free) (AB300417)
  • IHC-Fr

Supplier Data

Immunohistochemistry (Frozen sections) - Anti-Ikaros antibody [EPR25259-176] (BSA and Azide free) (AB300417)

This data was developed using ab300405, the same antibody clone in a different buffer formulation. Immunohistochemical analysis of 4% PFA-fixed, 0.2% Triton X-100 permeabilized frozen Rat kidney (fresh) tissue labeling Ikaros with ab300405 at 1/100 (5.39 ug/ml) dilution followed by ab150081 Goat Anti-Rabbit IgG H&L (Alexa Fluor® 488) preadsorbed at 1/1000 2 ug/mL dilution (Green). Negative control (PMID : 1439790)No staining on rat kidney is observed. The nuclear counterstain was DAPI (Blue). Secondary antibody control : Secondary antibody is ab150081 Goat Anti-Rabbit IgG H&L (Alexa Fluor® 488) preadsorbed at 1/1000 2 ug/mL dilution.

Immunohistochemistry (Frozen sections) - Anti-Ikaros antibody [EPR25259-176] (BSA and Azide free) (AB300417)
  • IHC-Fr

Supplier Data

Immunohistochemistry (Frozen sections) - Anti-Ikaros antibody [EPR25259-176] (BSA and Azide free) (AB300417)

This data was developed using ab300405, the same antibody clone in a different buffer formulation. Immunohistochemical analysis of 4% PFA-fixed, 0.2% Triton X-100 permeabilized frozen Rat thymus (fresh) tissue labeling Ikaros with ab300405 at 1/100 (5.39 ug/ml) dilution followed by ab150081 Goat Anti-Rabbit IgG H&L (Alexa Fluor® 488) preadsorbed at 1/1000 2 ug/mL dilution (Green). Positive staining on rat thymus is observed. The nuclear counterstain was DAPI (Blue). Secondary antibody control : Secondary antibody is ab150081 Goat Anti-Rabbit IgG H&L (Alexa Fluor® 488) preadsorbed at 1/1000 2 ug/mL dilution.

Flow Cytometry (Intracellular) - Anti-Ikaros antibody [EPR25259-176] (BSA and Azide free) (AB300417)
  • Flow Cyt (Intra)

Supplier Data

Flow Cytometry (Intracellular) - Anti-Ikaros antibody [EPR25259-176] (BSA and Azide free) (AB300417)

This data was developed using ab300405, the same antibody clone in a different buffer formulation.Flow cytometric analysis of EL4 (mouse lymphoma T lymphocyte) cells labelling Ikaros with ab300405 at 1/500 dilution (0.1ug) (Red) compared with a Rabbit monoclonal IgG (ab172730) (Black) isotype control and an unlabelled control (cells without incubation with primary antibody and secondary antibody) (Blue). Goat Anti-Rabbit IgG (Alexa Fluor® 488, ab150081) at 1/2000 dilution was used as the secondary antibody.

Immunoprecipitation - Anti-Ikaros antibody [EPR25259-176] (BSA and Azide free) (AB300417)
  • IP

Supplier Data

Immunoprecipitation - Anti-Ikaros antibody [EPR25259-176] (BSA and Azide free) (AB300417)

This data was developed using ab300405, the same antibody clone in a different buffer formulation.

Ikaros was immunoprecipitated from 0.35 mg EL4 (mouse lymphoma t lymphocyte) whole cell lysate 10 ug with ab300405 at 1/30 dilution (2ug in 0.35mg lysates). Western blot was performed on the immunoprecipitate using ab300405 at 1/1000 dilution. VeriBlot for IP secondary antibody (HRP) (ab131366) was used at 1/5000 dilution.

Lane 1 : EL4 (mouse lymphoma t lymphocyte) whole cell lysate 10 ug

Lane 2 : ab300405 IP in EL4 whole cell lysate

Lane 3 : Rabbit monoclonal IgG (ab172730) instead of ab300405 in EL4 whole cell lysate

Blocking and dilution buffer and concentration : 5% NFDM/TBST.

Exposure time : 8 seconds.

Lanes 1 - 3:

Immunoprecipitation - Anti-Ikaros antibody [EPR25259-176] (<a href='/en-us/products/primary-antibodies/ikaros-antibody-epr25259-176-ab300405'>ab300405</a>) at 1/1000 dilution

Lanes 1 - 3:

Immunoprecipitation - Anti-Ikaros antibody [EPR25259-176] (BSA and Azide free) (ab300417)

All lanes:

EL4 whole cell lysate at 10 µg

Secondary

All lanes:

Immunoprecipitation - VeriBlot for IP Detection Reagent (HRP) (<a href='/en-us/products/reagents/veriblot-for-ip-detection-reagent-hrp-ab131366'>ab131366</a>) at 1/5000 dilution

false

Exposure time: 8s

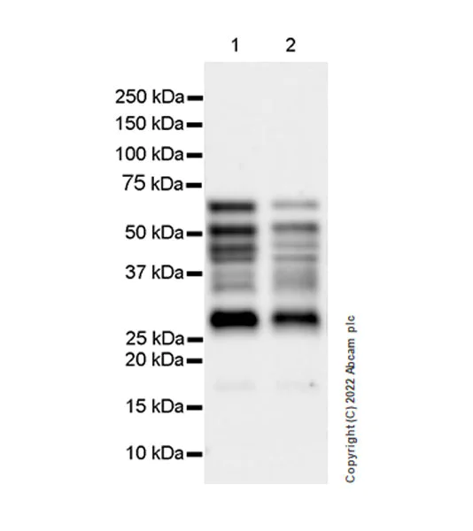
Western blot - Anti-Ikaros antibody [EPR25259-176] (BSA and Azide free) (AB300417)
  • WB

Supplier Data

Western blot - Anti-Ikaros antibody [EPR25259-176] (BSA and Azide free) (AB300417)

This data was developed using ab300405, the same antibody clone in a different buffer formulation. Blocking Buffer and concentration : 5% NFDM/TBST

All lanes:

Western blot - Anti-Ikaros antibody [EPR25259-176] (<a href='/en-us/products/primary-antibodies/ikaros-antibody-epr25259-176-ab300405'>ab300405</a>) at 1/1000 dilution

Lane 1:

Jurkat (human T cell leukemia cell line from peripheral blood) whole cell lysate

Lane 2:

Raji (human burkitts lymphoma b lymphocyte) whole cell lysate

Lane 3:

Daudi (human burkitts lymphoma lymphoblast) whole cell lysate

Lane 4:

HeLa (human cervix adenocarcinoma epithelial cell) whole cell lysate

Lane 5:

EL4 (mouse lymphoma t lymphocyte) whole cell lysate

Lane 6:

Mouse spleen tissue lysate

Lane 7:

Mouse thymus tissue lysate

Lane 8:

Mouse kidney tissue lysate

Secondary

All lanes:

Western blot - Goat Anti-Rabbit IgG H&L (HRP) (<a href='/en-us/products/secondary-antibodies/goat-rabbit-igg-h-l-hrp-ab97051'>ab97051</a>) at 1/100000 dilution

Observed band size: 30 kDa,70 kDa

false

Western blot - Anti-Ikaros antibody [EPR25259-176] (BSA and Azide free) (AB300417)
  • WB

Supplier Data

Western blot - Anti-Ikaros antibody [EPR25259-176] (BSA and Azide free) (AB300417)

This data was developed using ab300405, the same antibody clone in a different buffer formulation. Blocking Buffer and concentration : 5% NFDM/TBST

All lanes:

Western blot - Anti-Ikaros antibody [EPR25259-176] (<a href='/en-us/products/primary-antibodies/ikaros-antibody-epr25259-176-ab300405'>ab300405</a>) at 1/1000 dilution

Lane 1:

His-tagged human Ikaros/IKZF1 recombinant protein

Lane 2:

GST-tagged human Helios/IKZF2 recombinant protein

Lane 3:

GST-tagged human Aiolos/IKZF3 recombinant protein

Secondary

All lanes:

Western blot - Goat Anti-Rabbit IgG H&L (HRP) (<a href='/en-us/products/secondary-antibodies/goat-rabbit-igg-h-l-hrp-ab97051'>ab97051</a>) at 1/100000 dilution

Observed band size: 16 kDa

false

Exposure time: 3s

Western blot - Anti-Ikaros antibody [EPR25259-176] (BSA and Azide free) (AB300417)
  • WB

Supplier Data

Western blot - Anti-Ikaros antibody [EPR25259-176] (BSA and Azide free) (AB300417)

This data was developed using ab300405, the same antibody clone in a different buffer formulation. Blocking Buffer and concentration : 5% NFDM/TBST

All lanes:

Western blot - Anti-Ikaros antibody [EPR25259-176] (<a href='/en-us/products/primary-antibodies/ikaros-antibody-epr25259-176-ab300405'>ab300405</a>) at 1/1000 dilution

Lane 1:

Rat thymus tissue lysate

Lane 2:

Rat spleen tissue lysate

Secondary

All lanes:

Western blot - Goat Anti-Rabbit IgG H&L (HRP) (<a href='/en-us/products/secondary-antibodies/goat-rabbit-igg-h-l-hrp-ab97051'>ab97051</a>) at 1/100000 dilution

Observed band size: 30 kDa,70 kDa

false

Exposure time: 70s

Key facts

Host species

Rabbit

Clonality

Monoclonal

Clone number

EPR25259-176

Isotype

IgG

Carrier free

Yes

Reacts with

Human, Mouse, Rat

Applications

IP, WB, Flow Cyt (Intra), IHC-Fr, IHC-P, ChIP-seq

applications

Immunogen

The exact immunogen used to generate this antibody is proprietary information.

Reactivity data

{ "title": "Reactivity Data", "filters": { "stats": ["", "Species", "Dilution Info", "Notes"], "tabs": { "all-applications": {"fullname" : "All Applications", "shortname": "All Applications"}, "WB" : {"fullname" : "Western blot", "shortname":"WB"}, "IHCP" : {"fullname" : "Immunohistochemistry (Formalin/PFA-fixed paraffin-embedded sections)", "shortname":"IHC-P"}, "IHCFr" : {"fullname" : "Immunohistochemistry (Frozen sections)", "shortname":"IHC-Fr"}, "ICCIF" : {"fullname" : "Immunocytochemistry/ Immunofluorescence", "shortname":"ICC/IF"}, "FlowCytIntra" : {"fullname" : "Flow Cytometry (Intracellular)", "shortname":"Flow Cyt (Intra)"}, "IP" : {"fullname" : "Immunoprecipitation", "shortname":"IP"}, "ChIPseq" : {"fullname" : "ChIP-sequencing", "shortname":"ChIP-seq"} }, "product-promise": { "all": "all", "testedAndGuaranteed": "tested", "guaranteed": "expected", "predicted": "predicted", "notRecommended": "not-recommended" } }, "values": { "Human": { "WB-species-checked": "testedAndGuaranteed", "WB-species-dilution-info": "", "WB-species-notes": "<p></p>", "IHCP-species-checked": "testedAndGuaranteed", "IHCP-species-dilution-info": "", "IHCP-species-notes": "<p></p>", "IHCFr-species-checked": "guaranteed", "IHCFr-species-dilution-info": "", "IHCFr-species-notes": "", "ICCIF-species-checked": "notRecommended", "ICCIF-species-dilution-info": "", "ICCIF-species-notes": "<p></p>", "FlowCytIntra-species-checked": "testedAndGuaranteed", "FlowCytIntra-species-dilution-info": "", "FlowCytIntra-species-notes": "<p></p>", "IP-species-checked": "testedAndGuaranteed", "IP-species-dilution-info": "", "IP-species-notes": "<p></p>", "ChIPseq-species-checked": "testedAndGuaranteed", "ChIPseq-species-dilution-info": "", "ChIPseq-species-notes": "<p></p>" }, "Mouse": { "WB-species-checked": "testedAndGuaranteed", "WB-species-dilution-info": "", "WB-species-notes": "<p></p>", "IHCP-species-checked": "testedAndGuaranteed", "IHCP-species-dilution-info": "", "IHCP-species-notes": "<p></p>", "IHCFr-species-checked": "testedAndGuaranteed", "IHCFr-species-dilution-info": "", "IHCFr-species-notes": "<p></p>", "ICCIF-species-checked": "notRecommended", "ICCIF-species-dilution-info": "", "ICCIF-species-notes": "<p></p>", "FlowCytIntra-species-checked": "testedAndGuaranteed", "FlowCytIntra-species-dilution-info": "", "FlowCytIntra-species-notes": "<p></p>", "IP-species-checked": "testedAndGuaranteed", "IP-species-dilution-info": "", "IP-species-notes": "<p></p>", "ChIPseq-species-checked": "guaranteed", "ChIPseq-species-dilution-info": "", "ChIPseq-species-notes": "" }, "Rat": { "WB-species-checked": "testedAndGuaranteed", "WB-species-dilution-info": "", "WB-species-notes": "<p></p>", "IHCP-species-checked": "testedAndGuaranteed", "IHCP-species-dilution-info": "", "IHCP-species-notes": "<p></p>", "IHCFr-species-checked": "testedAndGuaranteed", "IHCFr-species-dilution-info": "", "IHCFr-species-notes": "<p></p>", "ICCIF-species-checked": "notRecommended", "ICCIF-species-dilution-info": "", "ICCIF-species-notes": "", "FlowCytIntra-species-checked": "guaranteed", "FlowCytIntra-species-dilution-info": "", "FlowCytIntra-species-notes": "", "IP-species-checked": "guaranteed", "IP-species-dilution-info": "", "IP-species-notes": "", "ChIPseq-species-checked": "guaranteed", "ChIPseq-species-dilution-info": "", "ChIPseq-species-notes": "" } } }

Product details

ab300417 is a carrier free version of ab300405.

Compatibility
This product is compatible with the Maxpar® Antibody Labeling Kit from Fluidigm, without the need for antibody preparation. Maxpar® is a trademark of Fluidigm Canada Inc.

Conjugation ready
Our carrier-free antibodies are typically supplied in a PBS-only formulation, purified and free of BSA, sodium azide and glycerol. This conjugation-ready format is designed for use with fluorochromes, metal isotopes, oligonucleotides, and enzymes, which makes them ideal for antibody labelling, functional and cell-based assays, flow-based assays (e.g. mass cytometry) and Multiplex Imaging applications.

Use our conjugation kits for antibody conjugates that are ready-to-use in as little as 20 minutes with 1 minute hands-on-time and 100% antibody recovery: available for fluorescent dyes, HRP, biotin and gold.

Patented technology
Our RabMAb® technology is a patented hybridoma-based technology for making rabbit monoclonal antibodies. For details on our patents, please refer to RabMAb® patents.

What are the advantages of a recombinant monoclonal antibody?
This product is a recombinant monoclonal antibody, which offers several advantages including:

  • - High batch-to-batch consistency and reproducibility
  • - Improved sensitivity and specificity
  • - Long-term security of supply
  • - Animal-free batch production

For more information, read more on recombinant antibodies.

Properties and storage information

Form
Liquid
Purification technique
Affinity purification Protein A
Storage buffer
pH: 7.2 - 7.4 Constituents: PBS
Shipped at conditions
Blue Ice
Appropriate short-term storage conditions
+4°C
Appropriate long-term storage conditions
+4°C

Supplementary information

This supplementary information is collated from multiple sources and compiled automatically.

Ikaros also known as IKZF1 is a transcription factor. You also find it being referred to as the Ikaros protein or Ikaros code. It has a molecular mass of about 58-60 kDa. Ikaros expresses mostly in hematopoietic cells including precursors from which various blood cell types derive. It plays a significant role in regulating gene expression and cellular differentiation modulating the chromatin structure to control access to DNA.
Biological function summary

Ikaros protein functions in the regulation of lymphoid cell development. It is a part of a chromatin-remodeling complex influencing chromatin accessibility. Through its zinc finger domains it binds to specific DNA sequences controlling genes necessary for lymphocyte differentiation and proliferation. Ikaros influences various cell types within the immune system especially affecting T and B cell development and also regulates cytokine receptor genes necessary for proper immune function.

Pathways

The Ikaros protein is critical to lymphocyte signaling pathways particularly the JAK/STAT and NF-κB pathways. In these pathways Ikaros interacts with other transcription factors like GATA3 and STAT5 integrating signals that are important for immune cell function and development. This integration allows a coordinated response to extracellular signals ensuring effective immune responses or tolerance.

Ikaros is associated with leukemia and lymphomas. Alterations or mutations in ikaros gene can lead to misregulation of its target genes contributing to the development of these diseases by disturbing normal hematopoietic processes. Moreover its interaction with TAL1 protein is significant in certain leukemias where disturbances in the balance of their activities can lead to malignancies. Understanding Ikaros’s role provides insights for therapeutic approaches in these blood disorders.

Product protocols

For this product, it's our understanding that no specific protocols are required. You can visit:

Target data

Transcription regulator of hematopoietic cell differentiation (PubMed : 17934067). Binds gamma-satellite DNA (PubMed : 17135265, PubMed : 19141594). Plays a role in the development of lymphocytes, B- and T-cells. Binds and activates the enhancer (delta-A element) of the CD3-delta gene. Repressor of the TDT (fikzfterminal deoxynucleotidyltransferase) gene during thymocyte differentiation. Regulates transcription through association with both HDAC-dependent and HDAC-independent complexes. Targets the 2 chromatin-remodeling complexes, NuRD and BAF (SWI/SNF), in a single complex (PYR complex), to the beta-globin locus in adult erythrocytes. Increases normal apoptosis in adult erythroid cells. Confers early temporal competence to retinal progenitor cells (RPCs) (By similarity). Function is isoform-specific and is modulated by dominant-negative inactive isoforms (PubMed : 17135265, PubMed : 17934067).
See full target information IKZF1

Product promise

We are committed to supporting your work with high-quality reagents, and we're here for you every step of the way. In the unlikely event that one of our products does not perform as expected, you're protected by our Product Promise.
For full details, please see our Terms & Conditions

Please note: All products are 'FOR RESEARCH USE ONLY. NOT FOR USE IN DIAGNOSTIC OR THERAPEUTIC PROCEDURES'.

For licensing inquiries, please contact partnerships@abcam.com