JavaScript is disabled in your browser. Please enable JavaScript to view this website.
AB76429

Anti-IKB alpha antibody [EP697]

5

(2 Reviews)

|

(54 Publications)

Rabbit Recombinant Monoclonal IKB alpha antibody. Suitable for IHC-P, WB, ICC/IF and reacts with Human, Rat, Mouse samples. Cited in 54 publications.

View Alternative Names

IKBA, MAD3, NFKBI, NFKBIA, NF-kappa-B inhibitor alpha, I-kappa-B-alpha, Major histocompatibility complex enhancer-binding protein MAD3, IkB-alpha, IkappaBalpha

8 Images
Immunohistochemistry (Formalin/PFA-fixed paraffin-embedded sections) - Anti-IKB alpha antibody [EP697] (AB76429)
  • IHC-P

Unknown

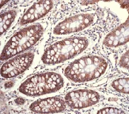
Immunohistochemistry (Formalin/PFA-fixed paraffin-embedded sections) - Anti-IKB alpha antibody [EP697] (AB76429)

Immunohistochemical analysis of Paraffin-embedded human colon tissue section labelling IKB alpha with ab76429 at 1/100 dilution.

Perform heat mediated antigen retrieval before commencing with IHC staining protocol.

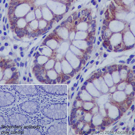
Immunohistochemistry (Formalin/PFA-fixed paraffin-embedded sections) - Anti-IKB alpha antibody [EP697] (AB76429)
  • IHC-P

Unknown

Immunohistochemistry (Formalin/PFA-fixed paraffin-embedded sections) - Anti-IKB alpha antibody [EP697] (AB76429)

Immunohistochemical analysis of paraffin-embedded human colon tissue sections labelling IKB alpha with purified ab76429 at dilution of 1/500. Goat Anti-Rabbit IgG H&L (HRP) was used as the secondary antibody. The sample was counterstained with hematoxylin. Antigen retrieval was performed using EDTA Buffer; pH 9.0. PBS was used instead of the primary antibody as the negative control and is shown in the inset.

Immunocytochemistry/ Immunofluorescence - Anti-IKB alpha antibody [EP697] (AB76429)
  • ICC/IF

Unknown

Immunocytochemistry/ Immunofluorescence - Anti-IKB alpha antibody [EP697] (AB76429)

Immunocytochemistry/Immunofluorescence staining of HeLa cells labelling IKB alpha with purified ab76429 at a working dilution of 1/250. The secondary antibody was Alexa Fluor® 488 goat anti-rabbit (ab150077), used at a dilution of 1/1000. ab7291, a mouse anti-tubulin antibody (1/1000), was used to stain tubulin along with ab150120 (Alexa Fluor® 594 goat anti-mouse, 1/1000), shown in the top right hand panel. DAPI was used as nuclear counterstain. The cells were fixed in 4% Paraformaldehyde and permeabilized using 0.1% Triton X-100. The negative controls are shown in bottom middle and right hand panels - for negative control 1, rabbit primary antibody was used followed by an Alexa Fluor® 594 goat anti-mouse antibody (ab150120). For negative control 2, ab7291 (mouse anti-tubulin) was used followed by an Alexa Fluor® 488 goat anti-rabbit antibody (ab150077).

Western blot - Anti-IKB alpha antibody [EP697] (AB76429)
  • WB

Lab

Western blot - Anti-IKB alpha antibody [EP697] (AB76429)

Lane 1 : Wild-type HAP1 whole cell lysate (20 μg)
Lane 2 : IKB alpha knockout HAP1 whole cell lysate (20 μg)
Lane 3 : HeLa whole cell lysate (20 μg)

Lanes 1 - 3 : Merged signal (red and green). Green - ab76429 observed at 39 kDa. Red - loading control, ab18058, observed at 130 kDa.

ab76429 was shown to specifically react with IKB alpha in wild-type HAP1 cells as well as additional cross-reactive bands. No bands were observed when IKB alpha knockout cells were examined. Wild-type and IKB alpha knockout samples were subjected to SDS-PAGE. ab76429 and ab18058 (Mouse anti Vinculin loading control) were incubated overnight at 4°C at 1/500 dilution and 1/10,000 dilution respectively. Blots were developed with Goat anti-Rabbit IgG H&L (IRDye® 800CW) preabsorbed (ab216773) and Goat anti-Mouse IgG H&L (IRDye® 680RD) preabsorbed (ab216776) secondary antibodies at 1/10,000 dilution for 1 hour at room temperature before imaging.

All lanes:

Western blot - Anti-IKB alpha antibody [EP697] (ab76429)

Predicted band size: 35 kDa

false

Western blot - Anti-IKB alpha antibody [EP697] (AB76429)
  • WB

Unknown

Western blot - Anti-IKB alpha antibody [EP697] (AB76429)

All lanes:

Western blot - Anti-IKB alpha antibody [EP697] (ab76429) at 1/1000 dilution

Lane 1:

HeLa cell lysates at 10 µg

Lane 2:

Jurkat cell lysates at 10 µg

Secondary

All lanes:

goat anti-rabbit HRP at 1/1000 dilution

Predicted band size: 35 kDa

Observed band size: 36 kDa

false

Western blot - Anti-IKB alpha antibody [EP697] (AB76429)
  • WB

Unknown

Western blot - Anti-IKB alpha antibody [EP697] (AB76429)

Blocking/Diluting buffer 5% NFDM /TBST

All lanes:

Western blot - Anti-IKB alpha antibody [EP697] (ab76429) at 1/1000 dilution

Lane 1:

Jurkat (human acute T cell leukemia) whole cell lysate at 15 µg

Lane 2:

HeLa (human cervix adenocarcinoma) whole cell lysate at 15 µg

Secondary

All lanes:

Western blot - Goat Anti-Rabbit IgG H&L (HRP) (<a href='/en-us/products/secondary-antibodies/goat-rabbit-igg-h-l-hrp-ab97051'>ab97051</a>) at 1/20000 dilution

Predicted band size: 35 kDa

Observed band size: 39 kDa

false

Western blot - Anti-IKB alpha antibody [EP697] (AB76429)
  • WB

Unknown

Western blot - Anti-IKB alpha antibody [EP697] (AB76429)

Blocking/Diluting buffer 5% NFDM /TBST

All lanes:

Western blot - Anti-IKB alpha antibody [EP697] (ab76429) at 1/10000 dilution

Lane 1:

RAW264.7 (mouse abelson murine leukemia virus-induced tumor) whole cell lysate at 15 µg

Lane 2:

PC-12 (rat adrenal gland pheochromocytoma) whole cell lysate at 15 µg

Secondary

All lanes:

Western blot - Goat Anti-Rabbit IgG H&L (HRP) (<a href='/en-us/products/secondary-antibodies/goat-rabbit-igg-h-l-hrp-ab97051'>ab97051</a>) at 1/100000 dilution

Predicted band size: 35 kDa

Observed band size: 39 kDa

false

Western blot - Anti-IKB alpha antibody [EP697] (AB76429)
  • WB

CiteAb

Western blot - Anti-IKB alpha antibody [EP697] (AB76429)

IKB alpha western blot using anti-IKB alpha antibody [EP697] ab76429. Publication image and figure legend from Wang, T., Hao, Z., et al., 2020, Cell Death Dis, PubMed 32732957.

ab76429 was used in this publication in western blot. This may not be the same as the application(s) guaranteed by Abcam. For a full list of applications guaranteed by Abcam for ab76429 please see the product overview.

Altered MYD88 promotes the activation of NF-κB signaling pathway.a, b The effect of MYD88 on NF-κB pathway was detected by western blot and immunofluorescence staining. c, d CircRNF121 and miR-665 impacted the IRAK-4-binding MYD88 expression. e, f The effect of circRNF121/miR-665/MYD88 axis on NF-κB signaling pathway was detected by western blot. Data were means ± SD of three independent assays (*p < 0.05).

false

Key facts

Host species

Rabbit

Clonality

Monoclonal

Clone number

EP697

Isotype

IgG

Carrier free

No

Reacts with

Mouse, Rat, Human

Applications

IHC-P, WB, ICC/IF

applications

Immunogen

The exact immunogen used to generate this antibody is proprietary information.

Reactivity data

{ "title": "Reactivity Data", "filters": { "stats": ["", "Species", "Dilution Info", "Notes"], "tabs": { "all-applications": {"fullname" : "All Applications", "shortname": "All Applications"}, "IHCP" : {"fullname" : "Immunohistochemistry (Formalin/PFA-fixed paraffin-embedded sections)", "shortname":"IHC-P"}, "FlowCyt" : {"fullname" : "Flow Cytometry", "shortname":"Flow Cyt"}, "WB" : {"fullname" : "Western blot", "shortname":"WB"}, "ICCIF" : {"fullname" : "Immunocytochemistry/ Immunofluorescence", "shortname":"ICC/IF"} }, "product-promise": { "all": "all", "testedAndGuaranteed": "tested", "guaranteed": "expected", "predicted": "predicted", "notRecommended": "not-recommended" } }, "values": { "Human": { "IHCP-species-checked": "testedAndGuaranteed", "IHCP-species-dilution-info": "1/500", "IHCP-species-notes": "<p><strong>For unpurified use at 1/100 - 1/250.</strong></p> Perform heat-mediated antigen retrieval before commencing with IHC staining protocol.", "FlowCyt-species-checked": "notRecommended", "FlowCyt-species-dilution-info": "1/250", "FlowCyt-species-notes": "<p><a href='/en-us/products/primary-antibodies/rabbit-igg-monoclonal-epr25a-isotype-control-ab172730'>ab172730</a> - Rabbit monoclonal IgG, is suitable for use as an isotype control with this antibody.</p><p><strong>For unpurified use at 1/1000.</strong></p>", "WB-species-checked": "testedAndGuaranteed", "WB-species-dilution-info": "1/500 - 1/10000", "WB-species-notes": "<p></p>", "ICCIF-species-checked": "testedAndGuaranteed", "ICCIF-species-dilution-info": "1/250", "ICCIF-species-notes": "<p><strong>For unpurified use at 1/50 - 1/100.</strong></p>" }, "Mouse": { "IHCP-species-checked": "guaranteed", "IHCP-species-dilution-info": "", "IHCP-species-notes": "", "FlowCyt-species-checked": "notRecommended", "FlowCyt-species-dilution-info": "1/250", "FlowCyt-species-notes": "<p><a href='/en-us/products/primary-antibodies/rabbit-igg-monoclonal-epr25a-isotype-control-ab172730'>ab172730</a> - Rabbit monoclonal IgG, is suitable for use as an isotype control with this antibody.</p><p><strong>For unpurified use at 1/1000.</strong></p>", "WB-species-checked": "testedAndGuaranteed", "WB-species-dilution-info": "1/500 - 1/10000", "WB-species-notes": "<p></p>", "ICCIF-species-checked": "guaranteed", "ICCIF-species-dilution-info": "", "ICCIF-species-notes": "" }, "Rat": { "IHCP-species-checked": "guaranteed", "IHCP-species-dilution-info": "", "IHCP-species-notes": "", "FlowCyt-species-checked": "notRecommended", "FlowCyt-species-dilution-info": "1/250", "FlowCyt-species-notes": "<p><a href='/en-us/products/primary-antibodies/rabbit-igg-monoclonal-epr25a-isotype-control-ab172730'>ab172730</a> - Rabbit monoclonal IgG, is suitable for use as an isotype control with this antibody.</p><p><strong>For unpurified use at 1/1000.</strong></p>", "WB-species-checked": "testedAndGuaranteed", "WB-species-dilution-info": "1/500 - 1/10000", "WB-species-notes": "<p></p>", "ICCIF-species-checked": "guaranteed", "ICCIF-species-dilution-info": "", "ICCIF-species-notes": "" } } }

Product details

Patented technology
Our RabMAb® technology is a patented hybridoma-based technology for making rabbit monoclonal antibodies. For details on our patents, please refer to RabMAb® patents.

What are the advantages of a recombinant monoclonal antibody?
This product is a recombinant monoclonal antibody, which offers several advantages including:

  • - High batch-to-batch consistency and reproducibility
  • - Improved sensitivity and specificity
  • - Long-term security of supply
  • - Animal-free batch production

For more information, read more on recombinant antibodies.

Properties and storage information

Form
Liquid
Purification technique
Affinity purification Protein A
Storage buffer
pH: 7.2 - 7.4 Preservative: 0.01% Sodium azide Constituents: PBS, 40% Glycerol (glycerin, glycerine), 0.05% BSA
Shipped at conditions
Blue Ice
Appropriate short-term storage duration
1-2 weeks
Appropriate short-term storage conditions
+4°C
Appropriate long-term storage conditions
-20°C
Aliquoting information
Upon delivery aliquot
Storage information
Avoid freeze / thaw cycle

Product protocols

For this product, it's our understanding that no specific protocols are required. You can visit:

Target data

Inhibits the activity of dimeric NF-kappa-B/REL complexes by trapping REL (RELA/p65 and NFKB1/p50) dimers in the cytoplasm by masking their nuclear localization signals (PubMed : 1493333, PubMed : 36651806, PubMed : 7479976). On cellular stimulation by immune and pro-inflammatory responses, becomes phosphorylated promoting ubiquitination and degradation, enabling the dimeric RELA to translocate to the nucleus and activate transcription (PubMed : 7479976, PubMed : 7628694, PubMed : 7796813, PubMed : 7878466).
See full target information NFKBIA

Publications (54)

Recent publications for all applications. Explore the full list and refine your search

Molecular neurobiology 62:13430-13448 PubMed40536592

2025

VISTA Alleviates Microglia-Mediated Neuroinflammation After Cerebral Ischemia-Reperfusion Injury via Regulating ACOD1/Itaconic Acid Metabolism.

Applications

Unspecified application

Species

Unspecified reactive species

Yilei Sun,Dan Liu,Yanchen Liu,Lijun Chi

Discover oncology 16:1046 PubMed40493092

2025

LncRNA ZFAS1 promotes the transformation from prostatitis to prostate cancer via myddosome assembly-mediated activation of NF-κB signaling.

Applications

Unspecified application

Species

Unspecified reactive species

Tao Feng,Hao Shen,Shenglan Ye

Folia histochemica et cytobiologica 63:79-87 PubMed40421818

2025

Nintedanib alleviates hyperoxia-induced lung injury via targeting NF-κB signalling pathway in rat model of bronchopulmonary dysplasia.

Applications

Unspecified application

Species

Unspecified reactive species

Rui Hao,Yuping Li,Junhui Li,Zirui Guo,Zhi Yang,Wei Lu

Nature communications 16:3292 PubMed40195294

2025

RNA G-quadruplexes control mitochondria-localized mRNA translation and energy metabolism.

Applications

Unspecified application

Species

Unspecified reactive species

Leïla Dumas,Sauyeun Shin,Quentin Rigaud,Marie Cargnello,Beatriz Hernández-Suárez,Pauline Herviou,Nathalie Saint-Laurent,Marjorie Leduc,Morgane Le Gall,David Monchaud,Erik Dassi,Anne Cammas,Stefania Millevoi

Cell biology and toxicology 41:23 PubMed39775116

2025

Exosomal NEDD4L derived from HG+oxLDL-induced vascular endothelial cells accelerates macrophage M1 polarization and oxLDL uptake by ubiquitinating IκBα and PPARγ.

Applications

Unspecified application

Species

Unspecified reactive species

Guozhu Chen,Yisong Pei,Peng Jiang,Qiaoling Ye,Zulong Xie,Laxman Gyawali

Scientific reports 14:23989 PubMed39402264

2024

Low to moderate ethanol exposure reduces astrocyte-induced neuroinflammatory signaling and cognitive decline in presymptomatic APP/PS1 mice.

Applications

Unspecified application

Species

Unspecified reactive species

Shinwoo Kang,Jeyeon Lee,Dina N Ali,Sun Choi,Jarred Nesbitt,Paul H Min,Eugenia Trushina,Doo-Sup Choi

Frontiers in immunology 15:1455899 PubMed39308854

2024

Suppression of overactivated immunity in the early stage is the key to improve the prognosis in severe burns.

Applications

Unspecified application

Species

Unspecified reactive species

Yang Xiang,Bo-Han Pan,Jin Zhang,Ji-Qiu Chen,He Fang,Qun Wang,Lin-Hui Li,Tian-Sheng Chen,Jia-Xin Chen,Chan Li,Xing-Feng Zheng,Shi-Hui Zhu

Phytotherapy research : PTR 38:5417-5440 PubMed39267167

2024

Ruscogenin Exerts Anxiolytic-Like Effect via Microglial NF-κB/MAPKs/NLRP3 Signaling Pathways in Mouse Model of Chronic Inflammatory Pain.

Applications

Unspecified application

Species

Unspecified reactive species

Jing-Yu Qi,Yu-Chen Jin,Xin-Shang Wang,Liu-Kun Yang,Liang Lu,Jiao Yue,Fan Yang,Yong-Sheng Liu,Yong-Li Jiang,Da-Ke Song,Tao Lv,Xu-Bo Li,Kun Zhang,Shui-Bing Liu

PloS one 19:e0308028 PubMed39226297

2024

Alpha-boswellic acid accelerates acute wound healing via NF-κB signaling pathway.

Applications

Unspecified application

Species

Unspecified reactive species

Fang Dong,Lijuan Zheng,Xuanfen Zhang

American journal of translational research 16:2840-2851 PubMed39114725

2024

PTEN-Long inhibits the biological behaviors of glioma cells.

Applications

Unspecified application

Species

Unspecified reactive species

Lianting Geng,Zetong Bai,Xichao Wen,Haipeng Liu,Haipeng Xie,Yan Wang,Wensong Wu,Zhaomu Zeng,Kebin Zheng
View all publications

Product promise

We are committed to supporting your work with high-quality reagents, and we're here for you every step of the way. In the unlikely event that one of our products does not perform as expected, you're protected by our Product Promise.
For full details, please see our Terms & Conditions

Please note: All products are 'FOR RESEARCH USE ONLY. NOT FOR USE IN DIAGNOSTIC OR THERAPEUTIC PROCEDURES'.

For licensing inquiries, please contact partnerships@abcam.com