JavaScript is disabled in your browser. Please enable JavaScript to view this website.
AB239920

Anti-IKB alpha (phospho S32) antibody [EPR3148] - BSA and Azide free

Be the first to review this product! Submit a review

|

(1 Publication)

Rabbit Recombinant Monoclonal IKB alpha phospho S32 antibody. Carrier free. Suitable for IP, Dot, WB and reacts with Human, Mouse, Rat, Synthetic peptide samples. Cited in 1 publication.

View Alternative Names

IKBA, MAD3, NFKBI, NFKBIA, NF-kappa-B inhibitor alpha, I-kappa-B-alpha, Major histocompatibility complex enhancer-binding protein MAD3, IkB-alpha, IkappaBalpha

6 Images
Immunoprecipitation - Anti-IKB alpha (phospho S32) antibody [EPR3148] - BSA and Azide free (AB239920)
  • IP

Unknown

Immunoprecipitation - Anti-IKB alpha (phospho S32) antibody [EPR3148] - BSA and Azide free (AB239920)

Purified ab92700 at 1 : 20 dilution (1μg) immunoprecipitating IKB alpha in HeLa treated with 20ng/mL TNF-alpha for 60 minutes whole cell lysate.
Lane 1 (input) : HeLa (Human cervix adenocarcinoma epithelial cell) treated with 20ng/mL TNF-alpha for 60 minutes whole cell lysate 10μg
Lane 2 (+) : ab92700 + HeLa treated with 20ng/mL TNF-alpha for 60 minutes whole cell lysate.
Lane 3 (-) : Rabbit monoclonal IgG (ab172730) instead of ab92700 in HeLa treated with 20ng/mL TNF-alpha for 60 minutes whole cell lysate.
Blocking Buffer and concentration : 5% NFDM/TBST.
Diluting buffer and concentration : 5% NFDM/TBST.
Observed band size : 36 kDa

This data was developed using the same antibody clone in a different buffer formulation containing PBS, BSA, glycerol, and sodium azide (ab92700).

All lanes:

Immunoprecipitation - Anti-IKB alpha (phospho S32) antibody [EPR3148] (<a href='/en-us/products/primary-antibodies/ikb-alpha-phospho-s32-antibody-epr3148-ab92700'>ab92700</a>)

Predicted band size: 35 kDa

false

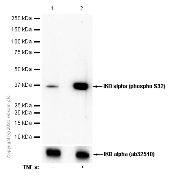
Western blot - Anti-IKB alpha (phospho S32) antibody [EPR3148] - BSA and Azide free (AB239920)
  • WB

Unknown

Western blot - Anti-IKB alpha (phospho S32) antibody [EPR3148] - BSA and Azide free (AB239920)

Blocking/Diluting buffer : 5% NFDM/TBST

This data was developed using the same antibody clone in a different buffer formulation containing PBS, BSA, glycerol, and sodium azide (ab92700).

All lanes:

Western blot - Anti-IKB alpha (phospho S32) antibody [EPR3148] (<a href='/en-us/products/primary-antibodies/ikb-alpha-phospho-s32-antibody-epr3148-ab92700'>ab92700</a>) at 1/1000 dilution

Lane 1:

HeLa (Human cervix adenocarcinoma epithelial cell) whole cell lysate at 15 µg

Lane 2:

HeLa (Human cervix adenocarcinoma epithelial cell) treated with 20 ng/mL TNF-alpha for 5 minutes whole cell lysate at 15 µg

Secondary

All lanes:

Western blot - Goat Anti-Rabbit IgG H&L (HRP) (<a href='/en-us/products/secondary-antibodies/goat-rabbit-igg-h-l-hrp-ab97051'>ab97051</a>) at 1/20000 dilution

Predicted band size: 35 kDa

Observed band size: 36 kDa

false

Western blot - Anti-IKB alpha (phospho S32) antibody [EPR3148] - BSA and Azide free (AB239920)
  • WB

Unknown

Western blot - Anti-IKB alpha (phospho S32) antibody [EPR3148] - BSA and Azide free (AB239920)

Blocking/Diluting buffer : 5% NFDM/TBST

This data was developed using the same antibody clone in a different buffer formulation containing PBS, BSA, glycerol, and sodium azide (ab92700).

All lanes:

Western blot - Anti-IKB alpha (phospho S32) antibody [EPR3148] (<a href='/en-us/products/primary-antibodies/ikb-alpha-phospho-s32-antibody-epr3148-ab92700'>ab92700</a>) at 1/1000 dilution

Lane 1:

MCF7 (Human breast adenocarcinoma epithelial cell) whole cell lysate at 20 µg

Lane 2:

MCF7 (Human breast adenocarcinoma epithelial cell) treated with 20 ng/mL TNF-alpha for 8 hours whole cell lysate at 20 µg

Secondary

All lanes:

Western blot - Goat Anti-Rabbit IgG H&L (HRP) (<a href='/en-us/products/secondary-antibodies/goat-rabbit-igg-h-l-hrp-ab97051'>ab97051</a>) at 1/20000 dilution

Predicted band size: 35 kDa

Observed band size: 36 kDa

false

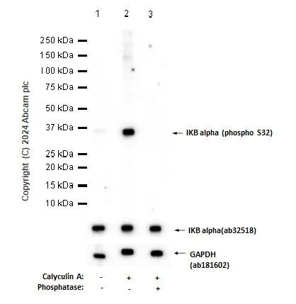
Western blot - Anti-IKB alpha (phospho S32) antibody [EPR3148] - BSA and Azide free (AB239920)
  • WB

Supplier Data

Western blot - Anti-IKB alpha (phospho S32) antibody [EPR3148] - BSA and Azide free (AB239920)

Blocking/Diluting buffer and concentration : 5% NFDM/TBST.

This data was developed using the same antibody clone in a different buffer formulation containing PBS, BSA, glycerol, and sodium azide (ab92700).

All lanes:

Western blot - Anti-IKB alpha (phospho S32) antibody [EPR3148] (<a href='/en-us/products/primary-antibodies/ikb-alpha-phospho-s32-antibody-epr3148-ab92700'>ab92700</a>) at 1/1000 dilution

Lane 1:

Untreated C6 (Rat glial tumor glial cell) whole cell lysate at 20 µg

Lane 2:

C6 (Rat glial tumor glial cell) treated with 100 ng/mL Calyculin A for 30 minutes whole cell lysate at 20 µg

Lane 3:

C6 (Rat glial tumor glial cell) treated with 100 ng/mL Calyculin A for 30 minutes whole cell lysate. Then the membrane was incubated with alkaline phosphatase at 20 µg

Secondary

All lanes:

Western blot - Goat Anti-Rabbit IgG H&L (HRP) (<a href='/en-us/products/secondary-antibodies/goat-rabbit-igg-h-l-hrp-ab97051'>ab97051</a>) at 1/20000 dilution

Predicted band size: 35 kDa

Observed band size: 36 kDa

false

Exposure time: 20s

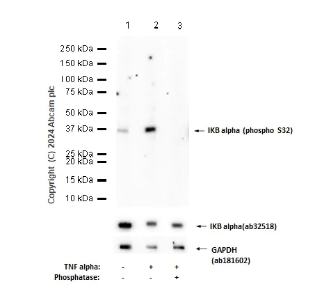
Western blot - Anti-IKB alpha (phospho S32) antibody [EPR3148] - BSA and Azide free (AB239920)
  • WB

Supplier Data

Western blot - Anti-IKB alpha (phospho S32) antibody [EPR3148] - BSA and Azide free (AB239920)

Blocking/Diluting buffer and concentration : 5% NFDM/TBST.

This data was developed using the same antibody clone in a different buffer formulation containing PBS, BSA, glycerol, and sodium azide (ab92700).

All lanes:

Western blot - Anti-IKB alpha (phospho S32) antibody [EPR3148] (<a href='/en-us/products/primary-antibodies/ikb-alpha-phospho-s32-antibody-epr3148-ab92700'>ab92700</a>) at 1/1000 dilution

Lane 1:

Untreated Raw264.7 (Mouse Abelson murine leukemia virus-induced tumor macrophage) whole cell lysate at 20 µg

Lane 2:

Raw264.7 (Mouse Abelson murine leukemia virus-induced tumor macrophage) treated with 50 ng/mL TNF-a and 300 ng/ml BFA for 24 hours whole cell lysate at 20 µg

Lane 3:

Raw264.7 (Mouse Abelson murine leukemia virus-induced tumor macrophage) treated with 50 ng/mL TNF-a and 300 ng/ml BFA for 24 hours whole cell lysate.Then the membrane was incubated with alkaline phosphatase at 20 µg

Secondary

All lanes:

Western blot - Goat Anti-Rabbit IgG H&L (HRP) (<a href='/en-us/products/secondary-antibodies/goat-rabbit-igg-h-l-hrp-ab97051'>ab97051</a>) at 1/20000 dilution

Predicted band size: 35 kDa

Observed band size: 36 kDa

false

Exposure time: 180s

Dot Blot - Anti-IKB alpha (phospho S32) antibody [EPR3148] - BSA and Azide free (AB239920)
  • Dot

Unknown

Dot Blot - Anti-IKB alpha (phospho S32) antibody [EPR3148] - BSA and Azide free (AB239920)

Dot blot analysis of IKB alpha (phospho S32) phospho peptide (Lane 1) and IKB alpha non-phospho peptide (Lane 2) labeling IKB alpha (phospho S32) with unpurified ab92700 at a dilution of 1/1000. ab97051 (Peroxidase conjugated goat anti-rabbit IgG) (H+L) at 1/10000 was used as the secondary antibody.

Blocking and diluting buffer : 5% NFDM/TBST.

Exposure time : 3 minutes.

This data was developed using the same antibody clone in a different buffer formulation containing PBS, BSA, glycerol, and sodium azide (ab92700).

  • Unconjugated

    Anti-IKB alpha (phospho S32) antibody [EPR3148]

Key facts

Host species

Rabbit

Clonality

Monoclonal

Clone number

EPR3148

Isotype

IgG

Carrier free

Yes

Reacts with

Human, Mouse, Rat

Applications

IP, WB, Dot

applications

Immunogen

The exact immunogen used to generate this antibody is proprietary information.

Reactivity data

{ "title": "Reactivity Data", "filters": { "stats": ["", "Species", "Dilution Info", "Notes"], "tabs": { "all-applications": {"fullname" : "All Applications", "shortname": "All Applications"}, "IP" : {"fullname" : "Immunoprecipitation", "shortname":"IP"}, "Dot" : {"fullname" : "Dot Blot", "shortname":"Dot"}, "WB" : {"fullname" : "Western blot", "shortname":"WB"} }, "product-promise": { "all": "all", "testedAndGuaranteed": "tested", "guaranteed": "expected", "predicted": "predicted", "notRecommended": "not-recommended" } }, "values": { "Human": { "IP-species-checked": "testedAndGuaranteed", "IP-species-dilution-info": "", "IP-species-notes": "<p></p>", "Dot-species-checked": "guaranteed", "Dot-species-dilution-info": "", "Dot-species-notes": "", "WB-species-checked": "testedAndGuaranteed", "WB-species-dilution-info": "", "WB-species-notes": "<p></p>" }, "Mouse": { "IP-species-checked": "guaranteed", "IP-species-dilution-info": "", "IP-species-notes": "", "Dot-species-checked": "guaranteed", "Dot-species-dilution-info": "", "Dot-species-notes": "", "WB-species-checked": "testedAndGuaranteed", "WB-species-dilution-info": "", "WB-species-notes": "<p></p>" }, "Rat": { "IP-species-checked": "guaranteed", "IP-species-dilution-info": "", "IP-species-notes": "", "Dot-species-checked": "guaranteed", "Dot-species-dilution-info": "", "Dot-species-notes": "", "WB-species-checked": "testedAndGuaranteed", "WB-species-dilution-info": "", "WB-species-notes": "<p></p>" }, "Synthetic peptide": { "IP-species-checked": "notRecommended", "IP-species-dilution-info": "", "IP-species-notes": "", "Dot-species-checked": "testedAndGuaranteed", "Dot-species-dilution-info": "", "Dot-species-notes": "<p></p>", "WB-species-checked": "notRecommended", "WB-species-dilution-info": "", "WB-species-notes": "" } } }

Product details

ab239920 is the carrier-free version of ab92700.

Species reactivity
Mouse, Rat: We have preliminary internal testing data to indicate this antibody may not react with these species.
Please contact us for more information.

Patented technology
Our RabMAb® technology is a patented hybridoma-based technology for making rabbit monoclonal antibodies. For details on our patents, please refer to RabMAb® patents.

What are the advantages of a recombinant monoclonal antibody?
This product is a recombinant monoclonal antibody, which offers several advantages including:

  • - High batch-to-batch consistency and reproducibility
  • - Improved sensitivity and specificity
  • - Long-term security of supply
  • - Animal-free batch production

For more information, read more on recombinant antibodies.

Conjugation ready
Our carrier-free antibodies are typically supplied in a PBS-only formulation, purified and free of BSA, sodium azide and glycerol. This conjugation-ready format is designed for use with fluorochromes, metal isotopes, oligonucleotides, and enzymes, which makes them ideal for antibody labelling, functional and cell-based assays, flow-based assays (e.g. mass cytometry) and Multiplex Imaging applications.

Use our conjugation kits for antibody conjugates that are ready-to-use in as little as 20 minutes with 1 minute hands-on-time and 100% antibody recovery: available for fluorescent dyes, HRP, biotin and gold.

Compatibility
This product is compatible with the Maxpar® Antibody Labeling Kit from Fluidigm, without the need for antibody preparation. Maxpar® is a trademark of Fluidigm Canada Inc.

Properties and storage information

Form
Liquid
Purification technique
Affinity purification Protein A
Storage buffer
pH: 7.2 - 7.4 Constituents: PBS
Shipped at conditions
Blue Ice
Appropriate short-term storage conditions
+4°C
Appropriate long-term storage conditions
+4°C
Storage information
Do Not Freeze

Product protocols

For this product, it's our understanding that no specific protocols are required. You can visit:

Target data

Inhibits the activity of dimeric NF-kappa-B/REL complexes by trapping REL (RELA/p65 and NFKB1/p50) dimers in the cytoplasm by masking their nuclear localization signals (PubMed : 1493333, PubMed : 36651806, PubMed : 7479976). On cellular stimulation by immune and pro-inflammatory responses, becomes phosphorylated promoting ubiquitination and degradation, enabling the dimeric RELA to translocate to the nucleus and activate transcription (PubMed : 7479976, PubMed : 7628694, PubMed : 7796813, PubMed : 7878466).
See full target information NFKBIA phospho S32

Publications (1)

Recent publications for all applications. Explore the full list and refine your search

eLife 13: PubMed39412391

2024

Negative regulation of APC/C activation by MAPK-mediated attenuation of Cdc20 under stress.

Applications

Unspecified application

Species

Unspecified reactive species

Li Sun,Xuejin Chen,Chunlin Song,Wenjing Shi,Libo Liu,Shuang Bai,Xi Wang,Jiali Chen,Chengyu Jiang,Shuang-Min Wang,Zhou-Qing Luo,Ruiwen Wang,Yamei Wang,Quan-Wen Jin
View all publications

Product promise

We are committed to supporting your work with high-quality reagents, and we're here for you every step of the way. In the unlikely event that one of our products does not perform as expected, you're protected by our Product Promise.
For full details, please see our Terms & Conditions

Please note: All products are 'FOR RESEARCH USE ONLY. NOT FOR USE IN DIAGNOSTIC OR THERAPEUTIC PROCEDURES'.

For licensing inquiries, please contact partnerships@abcam.com