JavaScript is disabled in your browser. Please enable JavaScript to view this website.
AB240059

Anti-IKB alpha (phospho S36) antibody [EPR6235(2)] - BSA and Azide free

Be the first to review this product! Submit a review

|

(1 Publication)

Rabbit Recombinant Monoclonal IKB alpha phospho S36 antibody. Carrier free. Suitable for WB, Flow Cyt (Intra) and reacts with Mouse, Rat, Human samples. Cited in 1 publication.

View Alternative Names

IKBA, MAD3, NFKBI, NFKBIA, NF-kappa-B inhibitor alpha, I-kappa-B-alpha, Major histocompatibility complex enhancer-binding protein MAD3, IkB-alpha, IkappaBalpha

3 Images
Flow Cytometry (Intracellular) - Anti-IKB alpha (phospho S36) antibody [EPR6235(2)] - BSA and Azide free (AB240059)
  • Flow Cyt (Intra)

Supplier Data

Flow Cytometry (Intracellular) - Anti-IKB alpha (phospho S36) antibody [EPR6235(2)] - BSA and Azide free (AB240059)

This data was developed using ab133462 the same antibody clone in a different buffer formulation.

Intracellular flow cytometric analysis of 4% Paraformaldehyde fixed 90% Methanol permeabilized HeLa (Human cervix adenocarcinoma epithelial cell) treated with 1% FBS for 3 hours then 100 nM Calyculin A for 10 minutes labelling IKB alpha (phospho S36) with ab133462 at 1/100 dilution (1μg/ml) compared with a Rabbit monoclonal IgG (Black) isotype control and an unlabelled control (cells without incubation with primary antibody and secondary antibody) (Blue). A Goat anti rabbit IgG (Alexa Fluor® 488, ab150077) at 1/2000 was used as the secondary antibody. Untreated control : Green

Western blot - Anti-IKB alpha (phospho S36) antibody [EPR6235(2)] - BSA and Azide free (AB240059)
  • WB

Lab

Western blot - Anti-IKB alpha (phospho S36) antibody [EPR6235(2)] - BSA and Azide free (AB240059)

This data was developed using ab133462 the same antibody clone in a different buffer formulation.

All lanes:

Western blot - Anti-IKB alpha (phospho S36) antibody [EPR6235(2)] (<a href='/en-us/products/primary-antibodies/ikb-alpha-phospho-s36-antibody-epr62352-ab133462'>ab133462</a>) at 1/1000 dilution

Lane 1:

Untreated THP-1 (Human monocytic leukemia monocyte) at 15 µg

Lane 2:

THP-1 (Human monocytic leukemia monocyte) treated with 100ng/ml IFN-gamma for 24 hours, then 300ng/ml Brefeldin A added and treated for another 20 hours at 15 µg

Lane 3:

THP-1 (Human monocytic leukemia monocyte) treated with 100ng/ml IFN-gamma for 24 hours, then 300ng/ml Brefeldin A added and treated for another 20 hours, then the menbrane treated with Alkaline Phosphatase for 1 hour at 15 µg

Secondary

All lanes:

Western blot - Goat Anti-Rabbit IgG H&L (HRP) (<a href='/en-us/products/secondary-antibodies/goat-rabbit-igg-h-l-hrp-ab97051'>ab97051</a>) at 1/20000 dilution

Predicted band size: 35 kDa

Observed band size: 40 kDa

false

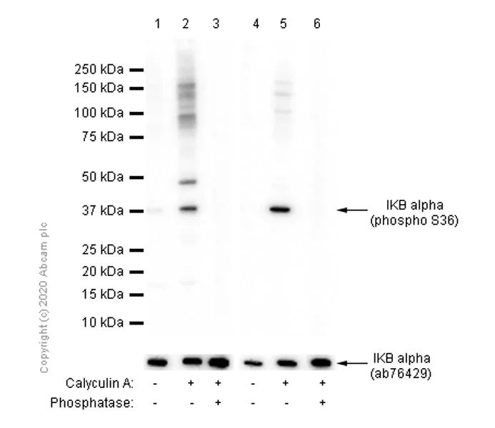
Western blot - Anti-IKB alpha (phospho S36) antibody [EPR6235(2)] - BSA and Azide free (AB240059)
  • WB

Lab

Western blot - Anti-IKB alpha (phospho S36) antibody [EPR6235(2)] - BSA and Azide free (AB240059)

This data was developed using ab133462 the same antibody clone in a different buffer formulation.

All lanes:

Western blot - Anti-IKB alpha (phospho S36) antibody [EPR6235(2)] (<a href='/en-us/products/primary-antibodies/ikb-alpha-phospho-s36-antibody-epr62352-ab133462'>ab133462</a>) at 1/1000 dilution

Lane 1:

NIH/3T3 (Mouse embryonic fibroblast) starved for 24 hours at 15 µg

Lane 2:

NIH/3T3 (Mouse embryonic fibroblast) starved for 24 hours then treated with 100nM Calyculin A for 30 minutes at 15 µg

Lane 3:

NIH/3T3 (Mouse embryonic fibroblast) starved for 24 hours then treated with 100nM Calyculin A for 30 minutes, then the menbrane treated with Alkaline Phosphatase for 1 hour at 15 µg

Lane 4:

Untreated C6 (Rat glial tumor glial cell) at 15 µg

Lane 5:

C6 (Rat glial tumor glial cell) treated with 100ng/ml Calyculin A for 60 minutes at 15 µg

Lane 6:

C6 (Rat glial tumor glial cell) treated with 100ng/ml Calyculin A for 60 minutes, then the membrane treated with Alkaline Phosphatase for 1 hour at 15 µg

Secondary

All lanes:

Western blot - Goat Anti-Rabbit IgG H&L (HRP) (<a href='/en-us/products/secondary-antibodies/goat-rabbit-igg-h-l-hrp-ab97051'>ab97051</a>) at 1/20000 dilution

Predicted band size: 35 kDa

Observed band size: 40 kDa

false

  • Unconjugated

    Anti-IKB alpha (phospho S36) antibody [EPR6235(2)]

  • 519 Alexa Fluor® 488

    Alexa Fluor® 488 Anti-IKB alpha (phospho S36) antibody [EPR6235(2)]

  • 665 Alexa Fluor® 647

    Alexa Fluor® 647 Anti-IKB alpha (phospho S36) antibody [EPR6235(2)]

  • 578 PE

    PE Anti-IKB alpha (phospho S36) antibody [EPR6235(2)]

Key facts

Host species

Rabbit

Clonality

Monoclonal

Clone number

EPR6235(2)

Isotype

IgG

Carrier free

Yes

Reacts with

Human, Rat, Mouse

Applications

Flow Cyt (Intra), WB

applications

Immunogen

The exact immunogen used to generate this antibody is proprietary information.

Specificity

This antibody detects IKB alpha only when phosphorylated at Serine 36. Stimulation may be required to allow detection of the phosphorylated protein due to low levels of endogenous expression. Please see images below for recommended treatment conditions and positive controls.

Reactivity data

{ "title": "Reactivity Data", "filters": { "stats": ["", "Species", "Dilution Info", "Notes"], "tabs": { "all-applications": {"fullname" : "All Applications", "shortname": "All Applications"}, "WB" : {"fullname" : "Western blot", "shortname":"WB"}, "FlowCytIntra" : {"fullname" : "Flow Cytometry (Intracellular)", "shortname":"Flow Cyt (Intra)"} }, "product-promise": { "all": "all", "testedAndGuaranteed": "tested", "guaranteed": "expected", "predicted": "predicted", "notRecommended": "not-recommended" } }, "values": { "Human": { "WB-species-checked": "testedAndGuaranteed", "WB-species-dilution-info": "", "WB-species-notes": "<p></p>", "FlowCytIntra-species-checked": "testedAndGuaranteed", "FlowCytIntra-species-dilution-info": "", "FlowCytIntra-species-notes": "<p></p>" }, "Mouse": { "WB-species-checked": "testedAndGuaranteed", "WB-species-dilution-info": "", "WB-species-notes": "<p></p>", "FlowCytIntra-species-checked": "guaranteed", "FlowCytIntra-species-dilution-info": "", "FlowCytIntra-species-notes": "" }, "Rat": { "WB-species-checked": "testedAndGuaranteed", "WB-species-dilution-info": "", "WB-species-notes": "<p></p>", "FlowCytIntra-species-checked": "guaranteed", "FlowCytIntra-species-dilution-info": "", "FlowCytIntra-species-notes": "" } } }

Product details

ab240059 is the carrier-free version of ab133462.

Patented technology
Our RabMAb® technology is a patented hybridoma-based technology for making rabbit monoclonal antibodies. For details on our patents, please refer to RabMAb® patents.

What are the advantages of a recombinant monoclonal antibody?
This product is a recombinant monoclonal antibody, which offers several advantages including:

  • - High batch-to-batch consistency and reproducibility
  • - Improved sensitivity and specificity
  • - Long-term security of supply
  • - Animal-free batch production

For more information, read more on recombinant antibodies.

Conjugation ready
Our carrier-free antibodies are typically supplied in a PBS-only formulation, purified and free of BSA, sodium azide and glycerol. This conjugation-ready format is designed for use with fluorochromes, metal isotopes, oligonucleotides, and enzymes, which makes them ideal for antibody labelling, functional and cell-based assays, flow-based assays (e.g. mass cytometry) and Multiplex Imaging applications.

Use our conjugation kits for antibody conjugates that are ready-to-use in as little as 20 minutes with 1 minute hands-on-time and 100% antibody recovery: available for fluorescent dyes, HRP, biotin and gold.

Compatibility
This product is compatible with the Maxpar® Antibody Labeling Kit from Fluidigm, without the need for antibody preparation. Maxpar® is a trademark of Fluidigm Canada Inc.

Properties and storage information

Form
Liquid
Purification technique
Affinity purification Protein A
Storage buffer
pH: 7.2 - 7.4 Constituents: PBS
Shipped at conditions
Blue Ice
Appropriate short-term storage conditions
+4°C
Appropriate long-term storage conditions
+4°C
Storage information
Do Not Freeze

Product protocols

For this product, it's our understanding that no specific protocols are required. You can visit:

Target data

Inhibits the activity of dimeric NF-kappa-B/REL complexes by trapping REL (RELA/p65 and NFKB1/p50) dimers in the cytoplasm by masking their nuclear localization signals (PubMed : 1493333, PubMed : 36651806, PubMed : 7479976). On cellular stimulation by immune and pro-inflammatory responses, becomes phosphorylated promoting ubiquitination and degradation, enabling the dimeric RELA to translocate to the nucleus and activate transcription (PubMed : 7479976, PubMed : 7628694, PubMed : 7796813, PubMed : 7878466).
See full target information NFKBIA phospho S36

Publications (1)

Recent publications for all applications. Explore the full list and refine your search

Journal of cellular biochemistry 121:2236-2246 PubMed31692056

2019

The circular RNA-NRIP1 plays oncogenic roles by targeting microRNA-505 in the renal carcinoma cell lines.

Applications

Unspecified application

Species

Unspecified reactive species

Zhen Dong,Yidong Liu,Qinghai Wang,Hongyang Wang,Jianlei Ji,Tao Huang,Aashish Khanal,Haitao Niu,Yanwei Cao
View all publications

Product promise

We are committed to supporting your work with high-quality reagents, and we're here for you every step of the way. In the unlikely event that one of our products does not perform as expected, you're protected by our Product Promise.
For full details, please see our Terms & Conditions

Please note: All products are 'FOR RESEARCH USE ONLY. NOT FOR USE IN DIAGNOSTIC OR THERAPEUTIC PROCEDURES'.

For licensing inquiries, please contact partnerships@abcam.com