JavaScript is disabled in your browser. Please enable JavaScript to view this website.
AB247886

Anti-IKB beta antibody [EPR5037] - BSA and Azide free

Be the first to review this product! Submit a review

|

(1 Publication)

Rabbit Recombinant Monoclonal IKB beta antibody. Carrier free. Suitable for IHC-P, IP, WB, ICC/IF, Flow Cyt (Intra) and reacts with Human samples. Cited in 1 publication.

View Alternative Names

IKBB, TRIP9, NFKBIB, NF-kappa-B inhibitor beta, NF-kappa-BIB, I-kappa-B-beta, Thyroid receptor-interacting protein 9, IkB-B, IkB-beta, IkappaBbeta, TR-interacting protein 9, TRIP-9

4 Images
Flow Cytometry (Intracellular) - Anti-IKB beta antibody [EPR5037] - BSA and Azide free (AB247886)
  • Flow Cyt (Intra)

Unknown

Flow Cytometry (Intracellular) - Anti-IKB beta antibody [EPR5037] - BSA and Azide free (AB247886)

Intracellular Flow Cytometry analysis of Jurkat (Human T cell leukemia T lymphocyte) cells labeling IKB beta with purified ab109509 at 1/20 dilution (10μg/ml) (Red). Cells were fixed with 4% Paraformaldehyde and permeabilised with 90% Methanol. A Goat anti rabbit IgG (Alexa Fluor® 488, ab150077) secondary antibody was used at 1/2000. Isotype control - Rabbit monoclonal IgG (Black). Unlabeled control - Cell without incubation with primary antibody and secondary antibody (Blue).

This data was developed using the same antibody clone in a different buffer formulation containing PBS, BSA, glycerol, and sodium azide (ab109509).

Immunocytochemistry/ Immunofluorescence - Anti-IKB beta antibody [EPR5037] - BSA and Azide free (AB247886)
  • ICC/IF

Unknown

Immunocytochemistry/ Immunofluorescence - Anti-IKB beta antibody [EPR5037] - BSA and Azide free (AB247886)

Immunocytochemistry/ Immunofluorescence analysis of Jurkat (Human T cell leukemia T lymphocyte) cells labeling IKB beta with purified ab109509 at 1 : 50 dilution (2.0 μg/ml). Cells were fixed in 4% Paraformaldehyde and permeabilized with 0.1% tritonX-100. Cells were counterstained with ab195889 Anti-alpha Tubulin antibody [DM1A] - Microtubule Marker (Alexa Fluor® 594) 1 : 200 (2.5 μg/ml). Goat anti rabbit IgG (Alexa Fluor® 488, ab150077) was used as the secondary antibody at 1 : 1000 (2 μg/ml) dilution. DAPI (blue) was used as nuclear counterstain. PBS instead of the primary antibody was used as the secondary antibody only control.

This data was developed using the same antibody clone in a different buffer formulation containing PBS, BSA, glycerol, and sodium azide (ab109509).

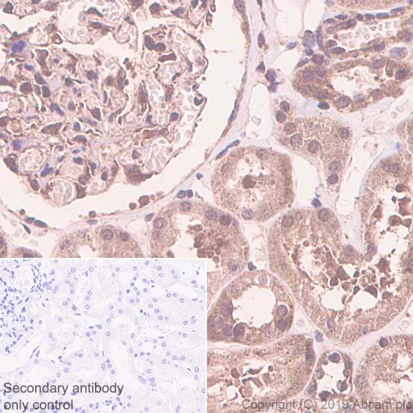
Immunohistochemistry (Formalin/PFA-fixed paraffin-embedded sections) - Anti-IKB beta antibody [EPR5037] - BSA and Azide free (AB247886)
  • IHC-P

Unknown

Immunohistochemistry (Formalin/PFA-fixed paraffin-embedded sections) - Anti-IKB beta antibody [EPR5037] - BSA and Azide free (AB247886)

Immunohistochemistry (Formalin/PFA-fixed paraffin-embedded sections) analysis of human kidney tissue sections labeling IKB beta with purified ab109509 at 1 : 500 dilution (0.20 μg/ml). Heat mediated antigen retrieval was performed Perform heat mediated antigen retrieval using ab93684 (Tris/EDTA buffer, pH 9.0). ImmunoHistoProbe one step HRP Polymer (ready to use) was used as the secondary antibody. Negative control : PBS instead of the primary antibody. Hematoxylin was used as a counterstain.

This data was developed using the same antibody clone in a different buffer formulation containing PBS, BSA, glycerol, and sodium azide (ab109509).

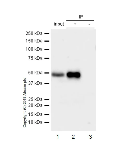
Immunoprecipitation - Anti-IKB beta antibody [EPR5037] - BSA and Azide free (AB247886)
  • IP

Unknown

Immunoprecipitation - Anti-IKB beta antibody [EPR5037] - BSA and Azide free (AB247886)

ab109509 (purified) at 1 : 20 dilution (1 μg) immunoprecipitating IKB beta in HeLa whole cell lysate.

Lane 1 (input) : HeLa (Human cervix adenocarcinoma epithelial cell) whole cell lysate 10ug
Lane 2 (+) : ab109509 & HeLa whole cell lysate
Lane 3 (-) : Rabbit monoclonal IgG (ab172730) instead of ab109509 in HeLa whole cell lysate

For western blotting, VeriBlot for IP Detection Reagent (HRP) (ab131366) was used at 1 : 1000 dilution.

Blocking and diluting buffer : 5% NFDM/TBST.

This data was developed using the same antibody clone in a different buffer formulation containing PBS, BSA, glycerol, and sodium azide (ab109509).

All lanes:

Immunoprecipitation - Anti-IKB beta antibody [EPR5037] (<a href='/en-us/products/primary-antibodies/ikb-beta-antibody-epr5037-ab109509'>ab109509</a>)

Predicted band size: 37 kDa

false

Key facts

Host species

Rabbit

Clonality

Monoclonal

Clone number

EPR5037

Isotype

IgG

Carrier free

Yes

Reacts with

Human

Applications

ICC/IF, IP, WB, Flow Cyt (Intra), IHC-P

applications

Immunogen

The exact immunogen used to generate this antibody is proprietary information.

Reactivity data

{ "title": "Reactivity Data", "filters": { "stats": ["", "Species", "Dilution Info", "Notes"], "tabs": { "all-applications": {"fullname" : "All Applications", "shortname": "All Applications"}, "IHCP" : {"fullname" : "Immunohistochemistry (Formalin/PFA-fixed paraffin-embedded sections)", "shortname":"IHC-P"}, "IP" : {"fullname" : "Immunoprecipitation", "shortname":"IP"}, "WB" : {"fullname" : "Western blot", "shortname":"WB"}, "ICCIF" : {"fullname" : "Immunocytochemistry/ Immunofluorescence", "shortname":"ICC/IF"}, "FlowCytIntra" : {"fullname" : "Flow Cytometry (Intracellular)", "shortname":"Flow Cyt (Intra)"} }, "product-promise": { "all": "all", "testedAndGuaranteed": "tested", "guaranteed": "expected", "predicted": "predicted", "notRecommended": "not-recommended" } }, "values": { "Human": { "IHCP-species-checked": "testedAndGuaranteed", "IHCP-species-dilution-info": "", "IHCP-species-notes": "<p></p>", "IP-species-checked": "testedAndGuaranteed", "IP-species-dilution-info": "", "IP-species-notes": "<p></p>", "WB-species-checked": "guaranteed", "WB-species-dilution-info": "", "WB-species-notes": "<p></p>", "ICCIF-species-checked": "testedAndGuaranteed", "ICCIF-species-dilution-info": "", "ICCIF-species-notes": "<p></p>", "FlowCytIntra-species-checked": "testedAndGuaranteed", "FlowCytIntra-species-dilution-info": "", "FlowCytIntra-species-notes": "<p></p>" } } }

Product details

ab247886 is the carrier-free version of ab109509.

Species reactivity
Mouse, Rat: We have preliminary internal testing data to indicate this antibody may not react with these species.
Please contact us for more information.

Patented technology
Our RabMAb® technology is a patented hybridoma-based technology for making rabbit monoclonal antibodies. For details on our patents, please refer to RabMAb® patents.

What are the advantages of a recombinant monoclonal antibody?
This product is a recombinant monoclonal antibody, which offers several advantages including:

  • - High batch-to-batch consistency and reproducibility
  • - Improved sensitivity and specificity
  • - Long-term security of supply
  • - Animal-free batch production

For more information, read more on recombinant antibodies.

Conjugation ready
Our carrier-free antibodies are typically supplied in a PBS-only formulation, purified and free of BSA, sodium azide and glycerol. This conjugation-ready format is designed for use with fluorochromes, metal isotopes, oligonucleotides, and enzymes, which makes them ideal for antibody labelling, functional and cell-based assays, flow-based assays (e.g. mass cytometry) and Multiplex Imaging applications.

Use our conjugation kits for antibody conjugates that are ready-to-use in as little as 20 minutes with 1 minute hands-on-time and 100% antibody recovery: available for fluorescent dyes, HRP, biotin and gold.

Compatibility
This product is compatible with the Maxpar® Antibody Labeling Kit from Fluidigm, without the need for antibody preparation. Maxpar® is a trademark of Fluidigm Canada Inc.

Properties and storage information

Form
Liquid
Purification technique
Affinity purification Protein A
Storage buffer
pH: 7.2 - 7.4 Constituents: PBS
Shipped at conditions
Blue Ice
Appropriate short-term storage conditions
+4°C
Appropriate long-term storage conditions
+4°C
Storage information
Do Not Freeze

Product protocols

For this product, it's our understanding that no specific protocols are required. You can visit:

Target data

Inhibits NF-kappa-B by complexing with and trapping it in the cytoplasm. However, the unphosphorylated form resynthesized after cell stimulation is able to bind NF-kappa-B allowing its transport to the nucleus and protecting it to further NFKBIA-dependent inactivation. Association with inhibitor kappa B-interacting NKIRAS1 and NKIRAS2 prevent its phosphorylation rendering it more resistant to degradation, explaining its slower degradation.
See full target information NFKBIB

Publications (1)

Recent publications for all applications. Explore the full list and refine your search

Immunity, inflammation and disease 10:e692 PubMed36301023

2022

HDAC4 depletion ameliorates IL-13-triggered inflammatory response and mucus production in nasal epithelial cells via activation of SIRT1/NF-κB signaling.

Applications

Unspecified application

Species

Unspecified reactive species

Hangyu Xu,Lingjun Wang,Huaqun Chen,Hefei Cai
View all publications

Product promise

We are committed to supporting your work with high-quality reagents, and we're here for you every step of the way. In the unlikely event that one of our products does not perform as expected, you're protected by our Product Promise.
For full details, please see our Terms & Conditions

Please note: All products are 'FOR RESEARCH USE ONLY. NOT FOR USE IN DIAGNOSTIC OR THERAPEUTIC PROCEDURES'.

For licensing inquiries, please contact partnerships@abcam.com