JavaScript is disabled in your browser. Please enable JavaScript to view this website.
AB109749

Anti-IKK alpha antibody [EPR464]

  • 20ul selling size
  • RabMAb
  • Recombinant
  • KO Validated
  • What is this?

Be the first to review this product! Submit a review

|

(12 Publications)

Rabbit Recombinant Monoclonal IKK alpha antibody. Suitable for IHC-P, IP, WB and reacts with Human samples. Cited in 12 publications.

View Alternative Names

IKKA, TCF16, CHUK, Inhibitor of nuclear factor kappa-B kinase subunit alpha, I-kappa-B kinase alpha, IKK-A, IKK-alpha, IkBKA, IkappaB kinase, Conserved helix-loop-helix ubiquitous kinase, I-kappa-B kinase 1, Nuclear factor NF-kappa-B inhibitor kinase alpha, Transcription factor 16, IKK-1, IKK1, NFKBIKA, TCF-16

4 Images
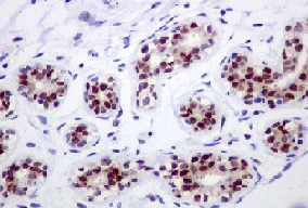
Immunohistochemistry (Formalin/PFA-fixed paraffin-embedded sections) - Anti-IKK alpha antibody [EPR464] (AB109749)
  • IHC-P

Unknown

Immunohistochemistry (Formalin/PFA-fixed paraffin-embedded sections) - Anti-IKK alpha antibody [EPR464] (AB109749)

ab109749 at 1/100 dilution staining IKK alpha in paraffin-embedded Human breast tissue by Immunohistochemistry.

Perform heat mediated antigen retrieval with citrate buffer pH 6 before commencing with IHC staining protocol.

Western blot - Anti-IKK alpha antibody [EPR464] (AB109749)
  • WB

Unknown

Western blot - Anti-IKK alpha antibody [EPR464] (AB109749)

All lanes:

Western blot - Anti-IKK alpha antibody [EPR464] (ab109749) at 1/1000 dilution

Lane 1:

Jurkat cell lysate at 10 µg

Lane 2:

HeLa cell lysate at 10 µg

Lane 3:

HepG2 cell lysate at 10 µg

Lane 4:

Daudi cell lysate at 10 µg

Predicted band size: 84 kDa

false

Immunoprecipitation - Anti-IKK alpha antibody [EPR464] (AB109749)
  • IP

Lab

Immunoprecipitation - Anti-IKK alpha antibody [EPR464] (AB109749)

IKK alpha was immunoprecipitated from 0.35 mg Jurkat (Human T cell leukemia T lymphocyte) whole cell lysate 10 μg with 109749 at 1/50 dilution (2μg). VeriBlot for IP Detection Reagent (HRP)(ab131366) was used at 1/5000 dilution.

Lane 1 : Jurkat (Human T cell leukemia T lymphocyte) whole cell lysate 10 μg

Lane 2 : ab109749 IP in Jurkat whole cell lysate

Lane 3 : Rabbit monoclonal IgG (ab172730) instead of ab109749 in Jurkat whole cell lysate

Blocking and dilution buffer and concentration : 5% NFDM/TBST.

All lanes:

Immunoprecipitation - Anti-IKK alpha antibody [EPR464] (ab109749)

Predicted band size: 84 kDa

Observed band size: 85 kDa

false

Western blot - Anti-IKK alpha antibody [EPR464] (AB109749)
  • WB

Unknown

Western blot - Anti-IKK alpha antibody [EPR464] (AB109749)

Lanes 1, 3 and 5 : Wild-type HAP1 cell lysate (20 μg)
Lanes 2, 4 and 6 : IKK alpha knockout HAP1 cell lysate (20 μg)
Lanes 1 and 2 : Green signal from target - ab109749 observed at 84 kDa
Lanes 3 and 4 : Red signal from loading control - ab8226 observed at 42 kDa
Lanes 5 and 6 : Merged (red and green) signal
ab109749 was shown to specifically react with IKK alpha when IKK alpha knockout samples were used. Wild-type and IKK alpha knockout samples were subjected to SDS-PAGE. ab109749 and ab8226 (loading control to beta actin) were both diluted at 1/1000 and incubated overnight at 4°C. Blots were developed with Goat anti-Rabbit IgG H&L (IRDye® 800CW) preadsorbed (ab216773) and Goat anti-Mouse IgG H&L (IRDye® 680RD) preadsorbed (ab216776)secondary antibodies at 1/10000 dilution for 1 h at room temperature before imaging.

All lanes:

Western blot - Anti-IKK alpha antibody [EPR464] (ab109749)

Predicted band size: 84 kDa

false

Key facts

Host species

Rabbit

Clonality

Monoclonal

Clone number

EPR464

Isotype

IgG

Carrier free

No

Reacts with

Human

Applications

WB, IP, IHC-P

applications

Immunogen

The exact immunogen used to generate this antibody is proprietary information.

Reactivity data

{ "title": "Reactivity Data", "filters": { "stats": ["", "Species", "Dilution Info", "Notes"], "tabs": { "all-applications": {"fullname" : "All Applications", "shortname": "All Applications"}, "IHCP" : {"fullname" : "Immunohistochemistry (Formalin/PFA-fixed paraffin-embedded sections)", "shortname":"IHC-P"}, "IP" : {"fullname" : "Immunoprecipitation", "shortname":"IP"}, "WB" : {"fullname" : "Western blot", "shortname":"WB"}, "ICCIF" : {"fullname" : "Immunocytochemistry/ Immunofluorescence", "shortname":"ICC/IF"}, "FlowCytIntra" : {"fullname" : "Flow Cytometry (Intracellular)", "shortname":"Flow Cyt (Intra)"} }, "product-promise": { "all": "all", "testedAndGuaranteed": "tested", "guaranteed": "expected", "predicted": "predicted", "notRecommended": "not-recommended" } }, "values": { "Human": { "IHCP-species-checked": "testedAndGuaranteed", "IHCP-species-dilution-info": "1/100 - 1/250", "IHCP-species-notes": "<p></p> Perform heat-mediated antigen retrieval with citrate buffer pH 6 before commencing with IHC staining protocol.", "IP-species-checked": "testedAndGuaranteed", "IP-species-dilution-info": "1/10 - 1/100", "IP-species-notes": "<p></p>", "WB-species-checked": "testedAndGuaranteed", "WB-species-dilution-info": "1/1000 - 1/10000", "WB-species-notes": "<p></p>", "ICCIF-species-checked": "notRecommended", "ICCIF-species-dilution-info": "", "ICCIF-species-notes": "<p></p>", "FlowCytIntra-species-checked": "notRecommended", "FlowCytIntra-species-dilution-info": "", "FlowCytIntra-species-notes": "<p></p>" } } }

Product details

Species reactivity
Mouse, Rat: We have preliminary internal testing data to indicate this antibody may not react with these species.
Please contact us for more information.

Patented technology
Our RabMAb® technology is a patented hybridoma-based technology for making rabbit monoclonal antibodies. For details on our patents, please refer to RabMAb® patents.

What are the advantages of a recombinant monoclonal antibody?
This product is a recombinant monoclonal antibody, which offers several advantages including:

  • - High batch-to-batch consistency and reproducibility
  • - Improved sensitivity and specificity
  • - Long-term security of supply
  • - Animal-free batch production

For more information, read more on recombinant antibodies.

Properties and storage information

Form
Liquid
Purification technique
Affinity purification Protein A
Storage buffer
pH: 7.2 - 7.4 Preservative: 0.01% Sodium azide Constituents: PBS, 40% Glycerol (glycerin, glycerine), 0.05% BSA
Shipped at conditions
Blue Ice
Appropriate short-term storage conditions
+4°C
Appropriate long-term storage conditions
-20°C
Storage information
Stable for 12 months at -20°C

Product protocols

For this product, it's our understanding that no specific protocols are required. You can visit:

Target data

Serine kinase that plays an essential role in the NF-kappa-B signaling pathway which is activated by multiple stimuli such as inflammatory cytokines, bacterial or viral products, DNA damages or other cellular stresses (PubMed : 18626576, PubMed : 9244310, PubMed : 9252186, PubMed : 9346484). Acts as a part of the canonical IKK complex in the conventional pathway of NF-kappa-B activation and phosphorylates inhibitors of NF-kappa-B on serine residues (PubMed : 18626576, PubMed : 35952808, PubMed : 9244310, PubMed : 9252186, PubMed : 9346484). These modifications allow polyubiquitination of the inhibitors and subsequent degradation by the proteasome (PubMed : 18626576, PubMed : 9244310, PubMed : 9252186, PubMed : 9346484). In turn, free NF-kappa-B is translocated into the nucleus and activates the transcription of hundreds of genes involved in immune response, growth control, or protection against apoptosis (PubMed : 18626576, PubMed : 9244310, PubMed : 9252186, PubMed : 9346484). Negatively regulates the pathway by phosphorylating the scaffold protein TAXBP1 and thus promoting the assembly of the A20/TNFAIP3 ubiquitin-editing complex (composed of A20/TNFAIP3, TAX1BP1, and the E3 ligases ITCH and RNF11) (PubMed : 21765415). Therefore, CHUK plays a key role in the negative feedback of NF-kappa-B canonical signaling to limit inflammatory gene activation. As part of the non-canonical pathway of NF-kappa-B activation, the MAP3K14-activated CHUK/IKKA homodimer phosphorylates NFKB2/p100 associated with RelB, inducing its proteolytic processing to NFKB2/p52 and the formation of NF-kappa-B RelB-p52 complexes (PubMed : 20501937). In turn, these complexes regulate genes encoding molecules involved in B-cell survival and lymphoid organogenesis. Participates also in the negative feedback of the non-canonical NF-kappa-B signaling pathway by phosphorylating and destabilizing MAP3K14/NIK. Within the nucleus, phosphorylates CREBBP and consequently increases both its transcriptional and histone acetyltransferase activities (PubMed : 17434128). Modulates chromatin accessibility at NF-kappa-B-responsive promoters by phosphorylating histones H3 at 'Ser-10' that are subsequently acetylated at 'Lys-14' by CREBBP (PubMed : 12789342). Additionally, phosphorylates the CREBBP-interacting protein NCOA3. Also phosphorylates FOXO3 and may regulate this pro-apoptotic transcription factor (PubMed : 15084260). Phosphorylates RIPK1 at 'Ser-25' which represses its kinase activity and consequently prevents TNF-mediated RIPK1-dependent cell death (By similarity). Phosphorylates AMBRA1 following mitophagy induction, promoting AMBRA1 interaction with ATG8 family proteins and its mitophagic activity (PubMed : 30217973).
See full target information CHUK

Publications (12)

Recent publications for all applications. Explore the full list and refine your search

Breast cancer research : BCR 26:155 PubMed39506852

2024

PTPN20 promotes metastasis through activating NF-κB signaling in triple-negative breast cancer.

Applications

Unspecified application

Species

Unspecified reactive species

Xiaoxiao Zuo,Xiaohan Zhao,Xiaofei Zhang,Qingyuan Li,Xingyu Jiang,Shumei Huang,Xuwei Chen,Xiangfu Chen,Weihua Jia,Hequn Zou,Dongni Shi,Xueke Qian

Cell death & disease 15:26 PubMed38199981

2024

TRIM22 induces cellular senescence by targeting PHLPP2 in hepatocellular carcinoma.

Applications

Unspecified application

Species

Unspecified reactive species

Donghee Kang,Hyun Jung Hwang,Yurim Baek,Jee Young Sung,KyeongJin Kim,Heon Joo Park,Young-Gyu Ko,Yong-Nyun Kim,Jae-Seon Lee

The Biochemical journal 479:305-325 PubMed35029639

2022

IKKα plays a major role in canonical NF-κB signalling in colorectal cells.

Applications

Unspecified application

Species

Unspecified reactive species

Jack A Prescott,Kathryn Balmanno,Jennifer P Mitchell,Hanneke Okkenhaug,Simon J Cook

Journal of cell science 134: PubMed34746949

2021

The tumor-suppressive long noncoding RNA DRAIC inhibits protein translation and induces autophagy by activating AMPK.

Applications

Unspecified application

Species

Unspecified reactive species

Shekhar Saha,Ying Zhang,Briana Wilson,Roger Abounader,Anindya Dutta

Experimental and therapeutic medicine 22:924 PubMed34306193

2021

Regulation of the long noncoding RNA XIST on the inflammatory polarization of microglia in cerebral infarction.

Applications

Unspecified application

Species

Unspecified reactive species

Min Zhang,Jian-Kai Yang,Jing Ma

3 Biotech 11:258 PubMed33987074

2021

miR-9-5p promotes wear-particle-induced osteoclastogenesis through activation of the SIRT1/NF-κB pathway.

Applications

Unspecified application

Species

Unspecified reactive species

Liang Zhang,Weidong Zhao,Dongmei Bao,Kening Sun,Peng Li,Zhihui Gao,Zhidong Lu

Oncogene 40:1458-1475 PubMed33420370

2021

Hypoxia-induced PLOD1 overexpression contributes to the malignant phenotype of glioblastoma via NF-κB signaling.

Applications

Unspecified application

Species

Unspecified reactive species

Zhenlin Wang,Yuping Shi,Chenting Ying,Yang Jiang,Jiangfeng Hu

BioMed research international 2020:1481572 PubMed32908868

2020

HuR Affects Proliferation and Apoptosis of Chronic Lymphocytic Leukemia Cells via NF-B Pathway.

Applications

Unspecified application

Species

Unspecified reactive species

Kai Xiao,Lin Yang,Xinfeng Gao,Ying An,Wei Xie,Guo Jingquan

Cancer research 80:950-963 PubMed31900260

2020

Long Noncoding RNA DRAIC Inhibits Prostate Cancer Progression by Interacting with IKK to Inhibit NF-κB Activation.

Applications

Unspecified application

Species

Unspecified reactive species

Shekhar Saha,Manjari Kiran,Canan Kuscu,Ajay Chatrath,David Wotton,Marty W Mayo,Anindya Dutta

Journal of Alzheimer's disease : JAD 60:1533-1545 PubMed29081415

2017

Cortical Iron Reflects Severity of Alzheimer's Disease.

Applications

ICC/IF

Species

Human

Sara van Duijn,Marjolein Bulk,Sjoerd G van Duinen,Rob J A Nabuurs,Mark A van Buchem,Louise van der Weerd,Remco Natté
View all publications

Product promise

We are committed to supporting your work with high-quality reagents, and we're here for you every step of the way. In the unlikely event that one of our products does not perform as expected, you're protected by our Product Promise.
For full details, please see our Terms & Conditions

Please note: All products are 'FOR RESEARCH USE ONLY. NOT FOR USE IN DIAGNOSTIC OR THERAPEUTIC PROCEDURES'.

For licensing inquiries, please contact partnerships@abcam.com