JavaScript is disabled in your browser. Please enable JavaScript to view this website.
AB169743

Anti-IKK alpha antibody [Y463] - BSA and Azide free

Be the first to review this product! Submit a review

|

(4 Publications)

Rabbit Recombinant Monoclonal IKK alpha antibody. Carrier free. Suitable for IHC-P, IP, WB, Flow Cyt (Intra) and reacts with Human, Mouse, Rat samples. Cited in 4 publications.

View Alternative Names

IKKA, TCF16, CHUK, Inhibitor of nuclear factor kappa-B kinase subunit alpha, I-kappa-B kinase alpha, IKK-A, IKK-alpha, IkBKA, IkappaB kinase, Conserved helix-loop-helix ubiquitous kinase, I-kappa-B kinase 1, Nuclear factor NF-kappa-B inhibitor kinase alpha, Transcription factor 16, IKK-1, IKK1, NFKBIKA, TCF-16

7 Images
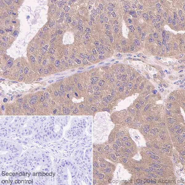
Immunohistochemistry (Formalin/PFA-fixed paraffin-embedded sections) - Anti-IKK alpha antibody [Y463] - BSA and Azide free (AB169743)
  • IHC-P

Lab

Immunohistochemistry (Formalin/PFA-fixed paraffin-embedded sections) - Anti-IKK alpha antibody [Y463] - BSA and Azide free (AB169743)

This data was developed using ab32041, the same antibody clone in a different buffer formulation.

Immunohistochemistry (Formalin/PFA-fixed paraffin-embedded sections) analysis of human ovarian cancer tissue sections labeling IKK alpha with purified ab32041 at 1/50 dilution (3.92 μg/mL). Heat mediated antigen retrieval was performed using Perform heat mediated antigen retrieval using ab93684 (Tris/EDTA buffer, pH 9.0). Tissue was counterstained with Hematoxylin. Rabbit specific IHC polymer detection kit HRP/DAB (ab209101) secondary antibody was used at 1/0 dilution. PBS instead of the primary antibody was used as the negative control.

Flow Cytometry (Intracellular) - Anti-IKK alpha antibody [Y463] - BSA and Azide free (AB169743)
  • Flow Cyt (Intra)

Unknown

Flow Cytometry (Intracellular) - Anti-IKK alpha antibody [Y463] - BSA and Azide free (AB169743)

Overlay histogram showing HAP1 wildtype (green line) and HAP1-CHUK knockout cells (red line) stained with ab32041. The cells were fixed with 4% formaldehyde (10 min) and then permeabilized with 0.1% PBS-Triton X-100 for 15 min. The cells were then incubated in 1x PBS / 10% normal goat serum to block non-specific protein-protein interactions followed by the antibody (ab32041, 1μg/ml) for 30 min at 22°C. The secondary antibody used was Alexa Fluor® 488 goat anti-rabbit IgG (H&L) presorbed (ab150081) at 1/2000 dilution for 30 min at 22°C. A rabbit IgG isotype control antibody (ab172730) was used at the same concentration and conditions as the primary antibody (HAP1 wildtype - black line, HAP1-CHUK knockout - grey line). Unlabelled sample was also used as a control (this line is not shown for the purpose of simplicity). Acquisition of >5,000 events were collected using a 50 mW Blue laser (488nm) and 530/30 bandpass filter. This antibody can also be used in HAP1 cells fixed with 80% methanol (5 min), permeabilized with 0.1% PBS-Triton X-100 for 15 min under the same conditions.

This data was developed using the same antibody clone in a different buffer formulation containing PBS, BSA, glycerol, and sodium azide (ab32041).

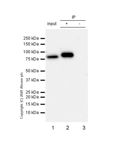
Immunoprecipitation - Anti-IKK alpha antibody [Y463] - BSA and Azide free (AB169743)
  • IP

Unknown

Immunoprecipitation - Anti-IKK alpha antibody [Y463] - BSA and Azide free (AB169743)

Purified ab32041 at 1/60 dilution (2μg) immunoprecipitating IKK alpha in HeLa whole cell lysate.
Lane 1 (input) : HeLa (Human cervix adenocarcinoma epithelial cell) whole cell lysate 10μg
Lane 2 (+) : ab32041 + HeLa whole cell lysate.
Lane 3 (-) : Rabbit monoclonal IgG (ab172730) instead of ab169743 in HeLa whole cell lysate.
VeriBlot for IP Detection Reagent (HRP) (ab131366) (1/1000 dilution) was used for Western blotting.
Blocking Buffer and concentration : 5% NFDM/TBST.
Diluting buffer and concentration : 5% NFDM/TBST.
Observed band size : 88 kDa
This data was developed using the same antibody clone in a different buffer formulation containing PBS, BSA, glycerol, and sodium azide (ab32041).

All lanes:

Immunoprecipitation - Anti-IKK alpha antibody [Y463] (<a href='/en-us/products/primary-antibodies/ikk-alpha-antibody-y463-ab32041'>ab32041</a>)

Predicted band size: 84 kDa

false

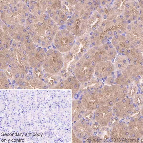
Immunohistochemistry (Formalin/PFA-fixed paraffin-embedded sections) - Anti-IKK alpha antibody [Y463] - BSA and Azide free (AB169743)
  • IHC-P

Lab

Immunohistochemistry (Formalin/PFA-fixed paraffin-embedded sections) - Anti-IKK alpha antibody [Y463] - BSA and Azide free (AB169743)

This data was developed using ab32041, the same antibody clone in a different buffer formulation.

Immunohistochemistry (Formalin/PFA-fixed paraffin-embedded sections) analysis of mouse kidney tissue sections labeling IKK alpha with purified ab32041 at 1/50 dilution (3.92 μg/mL). Heat mediated antigen retrieval was performed using Perform heat mediated antigen retrieval using ab93684 (Tris/EDTA buffer, pH 9.0). Tissue was counterstained with Hematoxylin. Rabbit specific IHC polymer detection kit HRP/DAB (ab209101) secondary antibody was used at 1/0 dilution. PBS instead of the primary antibody was used as the negative control.

Flow Cytometry (Intracellular) - Anti-IKK alpha antibody [Y463] - BSA and Azide free (AB169743)
  • Flow Cyt (Intra)

Lab

Flow Cytometry (Intracellular) - Anti-IKK alpha antibody [Y463] - BSA and Azide free (AB169743)

This data was developed using ab32041, the same antibody clone in a different buffer formulation. Intracellular Flow Cytometry analysis of Daudi (Human Burkitt's lymphoma lymphoblast) cells labelling IKK alpha with purified ab32041 at 1/20 dilution (10 μg/mL) (Red). Cells were fixed with 4% Paraformaldehyde and permeabilised with 90% Methanol. A Goat anti rabbit IgG (Alexa Fluor® 488, ab150077) secondary antibody was used at 1/2000. Isotype control - Rabbit monoclonal IgG (Black). Unlabelled control - Cell without incubation with primary antibody and secondary antibody (Blue).

Western blot - Anti-IKK alpha antibody [Y463] - BSA and Azide free (AB169743)
  • WB

Unknown

Western blot - Anti-IKK alpha antibody [Y463] - BSA and Azide free (AB169743)

All lanes:

Western blot - Anti-IKK alpha antibody [Y463] (<a href='/en-us/products/primary-antibodies/ikk-alpha-antibody-y463-ab32041'>ab32041</a>) at 1/1000 dilution

Lane 1:

RAW 264.7 (Mouse Abelson murine leukemia virus-induced tumor macrophage) whole cell lysate at 15 µg

Lane 2:

Mouse kidney lysate at 15 µg

Lane 3:

C6 (Rat glial tumor glial cell) whole cell lysate at 15 µg

Lane 4:

Rat kidney lysate at 15 µg

Secondary

All lanes:

Western blot - Goat Anti-Rabbit IgG H&L (HRP) (<a href='/en-us/products/secondary-antibodies/goat-rabbit-igg-h-l-hrp-ab97051'>ab97051</a>) at 1/20000 dilution

Predicted band size: 84 kDa

false

Western blot - Anti-IKK alpha antibody [Y463] - BSA and Azide free (AB169743)
  • WB

Unknown

Western blot - Anti-IKK alpha antibody [Y463] - BSA and Azide free (AB169743)

All lanes:

Western blot - Anti-IKK alpha antibody [Y463] (<a href='/en-us/products/primary-antibodies/ikk-alpha-antibody-y463-ab32041'>ab32041</a>) at 1/10000 dilution

All lanes:

Daudi (Human Burkitt's lymphoma lymphoblast) whole cell lysate

Secondary

All lanes:

Goat Anti-Rabbit IgG, (H+L), Peroxidase conjugated at 1/20000 dilution

Predicted band size: 84 kDa

false

  • Unconjugated

    Anti-IKK alpha antibody [Y463]

  • 660 APC

    APC Anti-IKK alpha antibody [Y463]

  • 665 Alexa Fluor® 647

    Alexa Fluor® 647 Anti-IKK alpha antibody [Y463]

  • HRP

    HRP Anti-IKK alpha antibody [Y463]

  • 519 Alexa Fluor® 488

    Alexa Fluor® 488 Anti-IKK alpha antibody [Y463]

Key facts

Host species

Rabbit

Clonality

Monoclonal

Clone number

Y463

Isotype

IgG

Carrier free

Yes

Reacts with

Mouse, Rat, Human

Applications

Flow Cyt (Intra), IHC-P, IP, WB

applications

Immunogen

The exact immunogen used to generate this antibody is proprietary information.

Specificity

The rat recommendation is based on the WB results. We do not guarantee IHC-P for rat.

Reactivity data

{ "title": "Reactivity Data", "filters": { "stats": ["", "Species", "Dilution Info", "Notes"], "tabs": { "all-applications": {"fullname" : "All Applications", "shortname": "All Applications"}, "IHCP" : {"fullname" : "Immunohistochemistry (Formalin/PFA-fixed paraffin-embedded sections)", "shortname":"IHC-P"}, "IP" : {"fullname" : "Immunoprecipitation", "shortname":"IP"}, "WB" : {"fullname" : "Western blot", "shortname":"WB"}, "FlowCytIntra" : {"fullname" : "Flow Cytometry (Intracellular)", "shortname":"Flow Cyt (Intra)"} }, "product-promise": { "all": "all", "testedAndGuaranteed": "tested", "guaranteed": "expected", "predicted": "predicted", "notRecommended": "not-recommended" } }, "values": { "Human": { "IHCP-species-checked": "testedAndGuaranteed", "IHCP-species-dilution-info": "", "IHCP-species-notes": "<p>The rat recommendation is based on the WB results. We do not guarantee IHC-P for rat.</p>", "IP-species-checked": "testedAndGuaranteed", "IP-species-dilution-info": "", "IP-species-notes": "<p></p>", "WB-species-checked": "testedAndGuaranteed", "WB-species-dilution-info": "", "WB-species-notes": "<p><strong>For unpurified use at 1/10000 - 1/50000.</strong></p>", "FlowCytIntra-species-checked": "testedAndGuaranteed", "FlowCytIntra-species-dilution-info": "", "FlowCytIntra-species-notes": "<p>For unpurified use at 1/50. <a href='/en-us/products/primary-antibodies/rabbit-igg-monoclonal-epr25a-isotype-control-ab172730'>ab172730</a> - Rabbit monoclonal IgG, is suitable for use as an isotype control with this antibody.</p>" }, "Mouse": { "IHCP-species-checked": "testedAndGuaranteed", "IHCP-species-dilution-info": "", "IHCP-species-notes": "<p>The rat recommendation is based on the WB results. We do not guarantee IHC-P for rat.</p>", "IP-species-checked": "guaranteed", "IP-species-dilution-info": "", "IP-species-notes": "<p></p>", "WB-species-checked": "guaranteed", "WB-species-dilution-info": "", "WB-species-notes": "<p><strong>For unpurified use at 1/10000 - 1/50000.</strong></p>", "FlowCytIntra-species-checked": "guaranteed", "FlowCytIntra-species-dilution-info": "", "FlowCytIntra-species-notes": "<p>For unpurified use at 1/50. <a href='/en-us/products/primary-antibodies/rabbit-igg-monoclonal-epr25a-isotype-control-ab172730'>ab172730</a> - Rabbit monoclonal IgG, is suitable for use as an isotype control with this antibody.</p>" }, "Rat": { "IHCP-species-checked": "guaranteed", "IHCP-species-dilution-info": "", "IHCP-species-notes": "<p>The rat recommendation is based on the WB results. We do not guarantee IHC-P for rat.</p>", "IP-species-checked": "guaranteed", "IP-species-dilution-info": "", "IP-species-notes": "<p></p>", "WB-species-checked": "testedAndGuaranteed", "WB-species-dilution-info": "", "WB-species-notes": "<p><strong>For unpurified use at 1/10000 - 1/50000.</strong></p>", "FlowCytIntra-species-checked": "guaranteed", "FlowCytIntra-species-dilution-info": "", "FlowCytIntra-species-notes": "<p>For unpurified use at 1/50. <a href='/en-us/products/primary-antibodies/rabbit-igg-monoclonal-epr25a-isotype-control-ab172730'>ab172730</a> - Rabbit monoclonal IgG, is suitable for use as an isotype control with this antibody.</p>" } } }

Product details

ab169743 is the carrier-free version of ab32041.

Patented technology
Our RabMAb® technology is a patented hybridoma-based technology for making rabbit monoclonal antibodies. For details on our patents, please refer to RabMAb® patents.

What are the advantages of a recombinant monoclonal antibody?
This product is a recombinant monoclonal antibody, which offers several advantages including:

  • - High batch-to-batch consistency and reproducibility
  • - Improved sensitivity and specificity
  • - Long-term security of supply
  • - Animal-free batch production

For more information, read more on recombinant antibodies.

Conjugation ready
Our carrier-free antibodies are typically supplied in a PBS-only formulation, purified and free of BSA, sodium azide and glycerol. This conjugation-ready format is designed for use with fluorochromes, metal isotopes, oligonucleotides, and enzymes, which makes them ideal for antibody labelling, functional and cell-based assays, flow-based assays (e.g. mass cytometry) and Multiplex Imaging applications.

Use our conjugation kits for antibody conjugates that are ready-to-use in as little as 20 minutes with 1 minute hands-on-time and 100% antibody recovery: available for fluorescent dyes, HRP, biotin and gold.

Compatibility
This product is compatible with the Maxpar® Antibody Labeling Kit from Fluidigm, without the need for antibody preparation. Maxpar® is a trademark of Fluidigm Canada Inc.

Properties and storage information

Form
Liquid
Purification technique
Affinity purification Protein A
Storage buffer
Constituents: PBS
Shipped at conditions
Blue Ice
Appropriate short-term storage conditions
+4°C
Appropriate long-term storage conditions
+4°C
Storage information
Do Not Freeze

Product protocols

For this product, it's our understanding that no specific protocols are required. You can visit:

Target data

Serine kinase that plays an essential role in the NF-kappa-B signaling pathway which is activated by multiple stimuli such as inflammatory cytokines, bacterial or viral products, DNA damages or other cellular stresses (PubMed : 18626576, PubMed : 9244310, PubMed : 9252186, PubMed : 9346484). Acts as a part of the canonical IKK complex in the conventional pathway of NF-kappa-B activation and phosphorylates inhibitors of NF-kappa-B on serine residues (PubMed : 18626576, PubMed : 35952808, PubMed : 9244310, PubMed : 9252186, PubMed : 9346484). These modifications allow polyubiquitination of the inhibitors and subsequent degradation by the proteasome (PubMed : 18626576, PubMed : 9244310, PubMed : 9252186, PubMed : 9346484). In turn, free NF-kappa-B is translocated into the nucleus and activates the transcription of hundreds of genes involved in immune response, growth control, or protection against apoptosis (PubMed : 18626576, PubMed : 9244310, PubMed : 9252186, PubMed : 9346484). Negatively regulates the pathway by phosphorylating the scaffold protein TAXBP1 and thus promoting the assembly of the A20/TNFAIP3 ubiquitin-editing complex (composed of A20/TNFAIP3, TAX1BP1, and the E3 ligases ITCH and RNF11) (PubMed : 21765415). Therefore, CHUK plays a key role in the negative feedback of NF-kappa-B canonical signaling to limit inflammatory gene activation. As part of the non-canonical pathway of NF-kappa-B activation, the MAP3K14-activated CHUK/IKKA homodimer phosphorylates NFKB2/p100 associated with RelB, inducing its proteolytic processing to NFKB2/p52 and the formation of NF-kappa-B RelB-p52 complexes (PubMed : 20501937). In turn, these complexes regulate genes encoding molecules involved in B-cell survival and lymphoid organogenesis. Participates also in the negative feedback of the non-canonical NF-kappa-B signaling pathway by phosphorylating and destabilizing MAP3K14/NIK. Within the nucleus, phosphorylates CREBBP and consequently increases both its transcriptional and histone acetyltransferase activities (PubMed : 17434128). Modulates chromatin accessibility at NF-kappa-B-responsive promoters by phosphorylating histones H3 at 'Ser-10' that are subsequently acetylated at 'Lys-14' by CREBBP (PubMed : 12789342). Additionally, phosphorylates the CREBBP-interacting protein NCOA3. Also phosphorylates FOXO3 and may regulate this pro-apoptotic transcription factor (PubMed : 15084260). Phosphorylates RIPK1 at 'Ser-25' which represses its kinase activity and consequently prevents TNF-mediated RIPK1-dependent cell death (By similarity). Phosphorylates AMBRA1 following mitophagy induction, promoting AMBRA1 interaction with ATG8 family proteins and its mitophagic activity (PubMed : 30217973).
See full target information CHUK

Publications (4)

Recent publications for all applications. Explore the full list and refine your search

Cardiovascular research 120:1737-1751 PubMed38850165

2024

Daily oral administration of probiotics engineered to constantly secrete short-chain fatty acids effectively prevents myocardial injury from subsequent ischaemic heart disease.

Applications

Unspecified application

Species

Unspecified reactive species

Quynh Hoa Pham,Thi Van Anh Bui,Woo-Sup Sim,King Hoo Lim,Carmen Oi Kwan Law,Wanyu Tan,Ri Youn Kim,Kwan Ting Chow,Hun-Jun Park,Kiwon Ban,Terrence Chi Kong Lau

Frontiers in cell and developmental biology 10:1027043 PubMed36601537

2022

Targeted protein degradation by Trim-Away using cell resealing coupled with microscopic image-based quantitative analysis.

Applications

Unspecified application

Species

Unspecified reactive species

Rina Kunishige,Masayuki Murata,Fumi Kano

Nature communications 10:4502 PubMed31582740

2019

A tri-ionic anchor mechanism drives Ube2N-specific recruitment and K63-chain ubiquitination in TRIM ligases.

Applications

Unspecified application

Species

Unspecified reactive species

Leo Kiss,Jingwei Zeng,Claire F Dickson,Donna L Mallery,Ji-Chun Yang,Stephen H McLaughlin,Andreas Boland,David Neuhaus,Leo C James

Cell 171:1692-1706.e18 PubMed29153837

2017

A Method for the Acute and Rapid Degradation of Endogenous Proteins.

Applications

Unspecified application

Species

Unspecified reactive species

Dean Clift,William A McEwan,Larisa I Labzin,Vera Konieczny,Binyam Mogessie,Leo C James,Melina Schuh
View all publications

Product promise

We are committed to supporting your work with high-quality reagents, and we're here for you every step of the way. In the unlikely event that one of our products does not perform as expected, you're protected by our Product Promise.
For full details, please see our Terms & Conditions

Please note: All products are 'FOR RESEARCH USE ONLY. NOT FOR USE IN DIAGNOSTIC OR THERAPEUTIC PROCEDURES'.

For licensing inquiries, please contact partnerships@abcam.com