JavaScript is disabled in your browser. Please enable JavaScript to view this website.
AB183966

Anti-IKK beta antibody

Be the first to review this product! Submit a review

|

(1 Publication)

Rabbit Polyclonal IKK beta antibody. Suitable for WB, ICC/IF, IHC-P, IP and reacts with Human samples. Cited in 1 publication. Immunogen corresponding to Recombinant Fragment Protein within Human IKBKB aa 150-450.

View Alternative Names

IKKB, IKBKB, Inhibitor of nuclear factor kappa-B kinase subunit beta, I-kappa-B-kinase beta, IKK-B, IKK-beta, IkBKB, I-kappa-B kinase 2, Nuclear factor NF-kappa-B inhibitor kinase beta, Serine/threonine protein kinase IKBKB, IKK-2, IKK2, NFKBIKB

6 Images
Immunocytochemistry/ Immunofluorescence - Anti-IKK beta antibody (AB183966)
  • ICC/IF

Supplier Data

Immunocytochemistry/ Immunofluorescence - Anti-IKK beta antibody (AB183966)

Immunofluorescence analysis of Jurkat cells fixed in 4% paraformaldehyde at RT for 15 min stained with ab183966, dilution 1 : 500 in green. Blue is Hoechst 33342 staining of nuclear DNA.

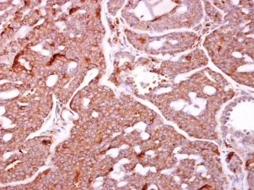
Immunohistochemistry - Anti-IKK beta antibody (AB183966)
  • IHC

Supplier Data

Immunohistochemistry - Anti-IKK beta antibody (AB183966)

Immunohistochemical analysis of paraffin-embedded human breast carcinoma labelling IKK beta with ab183966 at 1/500. Antigen retrieval was performed with EDTA based buffer (pH 8.0) for 15 minutes.

Immunoprecipitation - Anti-IKK beta antibody (AB183966)
  • IP

Supplier Data

Immunoprecipitation - Anti-IKK beta antibody (AB183966)

IKK beta was immunoprecipitated from A431 whole cell extracts with 5ug of ab183966. An anti-rabbit IgG was used as a secondary reagent.

Lane 1 : A431 whole cell extracts

Lane 2 : anti-Rabbit IgG control instead of ab183966 in A431 whole cell extracts

Lane 3 : ab183966 IP in A431 whole cell extracts

All lanes:

Immunoprecipitation - Anti-IKK beta antibody (ab183966)

All lanes:

A431 whole cell extracts

Predicted band size: 87 kDa

false

Western blot - Anti-IKK beta antibody (AB183966)
  • WB

Supplier Data

Western blot - Anti-IKK beta antibody (AB183966)

10 % SDS-PAGE

All lanes:

Western blot - Anti-IKK beta antibody (ab183966) at 1/1000 dilution

Lane 1:

Jurkat whole cell lysate at 30 µg

Lane 2:

Raji whole cell lysate at 30 µg

Lane 3:

K562 whole cell lysate at 30 µg

Lane 4:

THP-1 whole cell lysate at 30 µg

Lane 5:

NCI-H929 whole cell lysate at 30 µg

Predicted band size: 87 kDa

false

Western blot - Anti-IKK beta antibody (AB183966)
  • WB

Supplier Data

Western blot - Anti-IKK beta antibody (AB183966)

Samples were separated by 7.5% SDS-PAGE. Corresponding RNA expression data for the same cell lines are based on Human Protein Atlas program.

All lanes:

Western blot - Anti-IKK beta antibody (ab183966) at 1/1000 dilution

Lane 1:

K562 whole cell extracts at 30 µg

Lane 2:

THP-1 whole cell extracts at 30 µg

Secondary

All lanes:

HRP-conjugated anti-rabbit IgG antibody

Predicted band size: 87 kDa

false

Western blot - Anti-IKK beta antibody (AB183966)
  • WB

Supplier Data

Western blot - Anti-IKK beta antibody (AB183966)

All lanes:

Western blot - Anti-IKK beta antibody (ab183966) at 1/100000 dilution

Lane 1:

Non-transfected 293T whole cell extracts at 30 µg

Lane 2:

Transfected (+) 293T whole cell extracts at 30 µg

Secondary

All lanes:

HRP-conjugated anti-rabbit IgG antibody

Predicted band size: 87 kDa

false

Key facts

Host species

Rabbit

Clonality

Polyclonal

Isotype

IgG

Carrier free

No

Reacts with

Human

Applications

IHC-P, IP, WB, ICC/IF

applications

Immunogen

Recombinant Fragment Protein within Human IKBKB aa 150-450. The exact immunogen used to generate this antibody is proprietary information.

O14920

Reactivity data

{ "title": "Reactivity Data", "filters": { "stats": ["", "Species", "Dilution Info", "Notes"], "tabs": { "all-applications": {"fullname" : "All Applications", "shortname": "All Applications"}, "WB" : {"fullname" : "Western blot", "shortname":"WB"}, "ICCIF" : {"fullname" : "Immunocytochemistry/ Immunofluorescence", "shortname":"ICC/IF"}, "IHCP" : {"fullname" : "Immunohistochemistry (Formalin/PFA-fixed paraffin-embedded sections)", "shortname":"IHC-P"}, "IP" : {"fullname" : "Immunoprecipitation", "shortname":"IP"} }, "product-promise": { "all": "all", "testedAndGuaranteed": "tested", "guaranteed": "expected", "predicted": "predicted", "notRecommended": "not-recommended" } }, "values": { "Human": { "WB-species-checked": "testedAndGuaranteed", "WB-species-dilution-info": "1/5000 - 1/20000", "WB-species-notes": "<p></p>", "ICCIF-species-checked": "testedAndGuaranteed", "ICCIF-species-dilution-info": "1/100 - 1/1000", "ICCIF-species-notes": "<p></p>", "IHCP-species-checked": "testedAndGuaranteed", "IHCP-species-dilution-info": "1/100 - 1/1000", "IHCP-species-notes": "<p></p>", "IP-species-checked": "testedAndGuaranteed", "IP-species-dilution-info": "1/100 - 1/500", "IP-species-notes": "<p></p>" } } }

Properties and storage information

Form
Liquid
Purification technique
Affinity purification Immunogen
Storage buffer
pH: 7 Preservative: 0.01% Thimerosal (merthiolate) Constituents: 10% Glycerol (glycerin, glycerine), 1.21% Tris, 0.75% Glycine
Shipped at conditions
Blue Ice
Appropriate short-term storage duration
1-2 weeks
Appropriate short-term storage conditions
+4°C
Appropriate long-term storage conditions
-20°C
Aliquoting information
Upon delivery aliquot
Storage information
Avoid freeze / thaw cycle

Product protocols

For this product, it's our understanding that no specific protocols are required. You can visit:

Target data

Serine kinase that plays an essential role in the NF-kappa-B signaling pathway which is activated by multiple stimuli such as inflammatory cytokines, bacterial or viral products, DNA damages or other cellular stresses (PubMed : 20434986, PubMed : 20797629, PubMed : 21138416, PubMed : 30337470, PubMed : 9346484). Acts as a part of the canonical IKK complex in the conventional pathway of NF-kappa-B activation (PubMed : 9346484). Phosphorylates inhibitors of NF-kappa-B on 2 critical serine residues (PubMed : 20434986, PubMed : 20797629, PubMed : 21138416, PubMed : 9346484). These modifications allow polyubiquitination of the inhibitors and subsequent degradation by the proteasome (PubMed : 20434986, PubMed : 20797629, PubMed : 21138416, PubMed : 9346484). In turn, free NF-kappa-B is translocated into the nucleus and activates the transcription of hundreds of genes involved in immune response, growth control, or protection against apoptosis (PubMed : 20434986, PubMed : 20797629, PubMed : 21138416, PubMed : 9346484). In addition to the NF-kappa-B inhibitors, phosphorylates several other components of the signaling pathway including NEMO/IKBKG, NF-kappa-B subunits RELA and NFKB1, as well as IKK-related kinases TBK1 and IKBKE (PubMed : 11297557, PubMed : 14673179, PubMed : 20410276, PubMed : 21138416). IKK-related kinase phosphorylations may prevent the overproduction of inflammatory mediators since they exert a negative regulation on canonical IKKs (PubMed : 11297557, PubMed : 20410276, PubMed : 21138416). Phosphorylates FOXO3, mediating the TNF-dependent inactivation of this pro-apoptotic transcription factor (PubMed : 15084260). Also phosphorylates other substrates including NAA10, NCOA3, BCL10 and IRS1 (PubMed : 17213322, PubMed : 19716809). Phosphorylates RIPK1 at 'Ser-25' which represses its kinase activity and consequently prevents TNF-mediated RIPK1-dependent cell death (By similarity). Phosphorylates the C-terminus of IRF5, stimulating IRF5 homodimerization and translocation into the nucleus (PubMed : 25326418). Following bacterial lipopolysaccharide (LPS)-induced TLR4 endocytosis, phosphorylates STAT1 at 'Thr-749' which restricts interferon signaling and anti-inflammatory responses and promotes innate inflammatory responses (PubMed : 38621137). IKBKB-mediated phosphorylation of STAT1 at 'Thr-749' promotes binding of STAT1 to the ARID5A promoter, resulting in transcriptional activation of ARID5A and subsequent ARID5A-mediated stabilization of IL6 (PubMed : 32209697). It also promotes binding of STAT1 to the IL12B promoter and activation of IL12B transcription (PubMed : 32209697).
See full target information IKBKB

Publications (1)

Recent publications for all applications. Explore the full list and refine your search

Oncology letters 11:1829-1834 PubMed26998085

2016

Expression of the galectin-9-Tim-3 pathway in glioma tissues is associated with the clinical manifestations of glioma.

Applications

Unspecified application

Species

Unspecified reactive species

Zengjin Liu,Huamin Han,Xin He,Shouwei Li,Chenxing Wu,Chunjiang Yu,Shengdian Wang
View all publications

Product promise

We are committed to supporting your work with high-quality reagents, and we're here for you every step of the way. In the unlikely event that one of our products does not perform as expected, you're protected by our Product Promise.
For full details, please see our Terms & Conditions

Please note: All products are 'FOR RESEARCH USE ONLY. NOT FOR USE IN DIAGNOSTIC OR THERAPEUTIC PROCEDURES'.

For licensing inquiries, please contact partnerships@abcam.com