JavaScript is disabled in your browser. Please enable JavaScript to view this website.
AB194519

Anti-IKK beta (phospho Y188) antibody

4

(2 Reviews)

|

(18 Publications)

Rabbit Polyclonal IKK beta phospho Y188 antibody. Suitable for WB, IHC-P and reacts with African green monkey, Human samples. Cited in 18 publications. Immunogen corresponding to Synthetic Peptide within Human IKBKB phospho Y188 conjugated to Keyhole Limpet Haemocyanin.

View Alternative Names

IKKB, IKBKB, Inhibitor of nuclear factor kappa-B kinase subunit beta, I-kappa-B-kinase beta, IKK-B, IKK-beta, IkBKB, I-kappa-B kinase 2, Nuclear factor NF-kappa-B inhibitor kinase beta, Serine/threonine protein kinase IKBKB, IKK-2, IKK2, NFKBIKB

2 Images
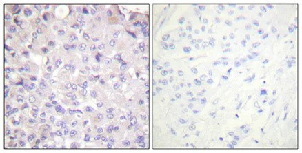
Immunohistochemistry (Formalin/PFA-fixed paraffin-embedded sections) - Anti-IKK beta (phospho Y188) antibody (AB194519)
  • IHC-P

Supplier Data

Immunohistochemistry (Formalin/PFA-fixed paraffin-embedded sections) - Anti-IKK beta (phospho Y188) antibody (AB194519)

Immunohistochemical analysis of paraffin-embedded Human breast cancer tissue staining IKK beta (phospho Y188) using ab194519 at 1 : 100 dilution (4°C overnight). High-pressure and temperature Tris-EDTA,pH8.0 was used for antigen retrieval. Negetive control (right) obtained from antibody was pre-absorbed by immunogen peptide.

Western blot - Anti-IKK beta (phospho Y188) antibody (AB194519)
  • WB

Supplier Data

Western blot - Anti-IKK beta (phospho Y188) antibody (AB194519)

All lanes:

Western blot - Anti-IKK beta (phospho Y188) antibody (ab194519) at 1/500 dilution

Lane 1:

COS7 cell extract

Lane 2:

COS7 cell extract with antigen-specific peptide

Predicted band size: 87 kDa

false

Key facts

Host species

Rabbit

Clonality

Polyclonal

Isotype

IgG

Carrier free

No

Reacts with

Human, African green monkey

Applications

WB, IHC-P

applications

Immunogen

Synthetic Peptide within Human IKBKB phospho Y188 conjugated to Keyhole Limpet Haemocyanin. The exact immunogen used to generate this antibody is proprietary information.

O14920

Reactivity data

{ "title": "Reactivity Data", "filters": { "stats": ["", "Species", "Dilution Info", "Notes"], "tabs": { "all-applications": {"fullname" : "All Applications", "shortname": "All Applications"}, "WB" : {"fullname" : "Western blot", "shortname":"WB"}, "IHCP" : {"fullname" : "Immunohistochemistry (Formalin/PFA-fixed paraffin-embedded sections)", "shortname":"IHC-P"} }, "product-promise": { "all": "all", "testedAndGuaranteed": "tested", "guaranteed": "expected", "predicted": "predicted", "notRecommended": "not-recommended" } }, "values": { "Human": { "WB-species-checked": "guaranteed", "WB-species-dilution-info": "", "WB-species-notes": "", "IHCP-species-checked": "testedAndGuaranteed", "IHCP-species-dilution-info": "", "IHCP-species-notes": "<p></p>" }, "Mouse": { "WB-species-checked": "predicted", "WB-species-dilution-info": "", "WB-species-notes": "", "IHCP-species-checked": "predicted", "IHCP-species-dilution-info": "", "IHCP-species-notes": "" }, "Rat": { "WB-species-checked": "predicted", "WB-species-dilution-info": "", "WB-species-notes": "", "IHCP-species-checked": "predicted", "IHCP-species-dilution-info": "", "IHCP-species-notes": "" }, "African green monkey": { "WB-species-checked": "testedAndGuaranteed", "WB-species-dilution-info": "1/500 - 1/1000", "WB-species-notes": "<p></p>", "IHCP-species-checked": "guaranteed", "IHCP-species-dilution-info": "", "IHCP-species-notes": "" } } }

Properties and storage information

Form
Liquid
Purification technique
Affinity purification Immunogen
Purification notes
ab194519 was purified by affinity-chromatography using epitope-specific phosphopeptide. Non-phospho specific antibodies were removed by chromatography using non-phosphopeptide.
Storage buffer
pH: 7.4 Preservative: 0.02% Sodium azide Constituents: PBS, 50% Glycerol (glycerin, glycerine), 0.87% Sodium chloride
Shipped at conditions
Blue Ice
Appropriate short-term storage duration
1-2 weeks
Appropriate short-term storage conditions
+4°C
Appropriate long-term storage conditions
-20°C
Aliquoting information
Upon delivery aliquot
Storage information
Avoid freeze / thaw cycle

Product protocols

For this product, it's our understanding that no specific protocols are required. You can visit:

Target data

Serine kinase that plays an essential role in the NF-kappa-B signaling pathway which is activated by multiple stimuli such as inflammatory cytokines, bacterial or viral products, DNA damages or other cellular stresses (PubMed : 20434986, PubMed : 20797629, PubMed : 21138416, PubMed : 30337470, PubMed : 9346484). Acts as a part of the canonical IKK complex in the conventional pathway of NF-kappa-B activation (PubMed : 9346484). Phosphorylates inhibitors of NF-kappa-B on 2 critical serine residues (PubMed : 20434986, PubMed : 20797629, PubMed : 21138416, PubMed : 9346484). These modifications allow polyubiquitination of the inhibitors and subsequent degradation by the proteasome (PubMed : 20434986, PubMed : 20797629, PubMed : 21138416, PubMed : 9346484). In turn, free NF-kappa-B is translocated into the nucleus and activates the transcription of hundreds of genes involved in immune response, growth control, or protection against apoptosis (PubMed : 20434986, PubMed : 20797629, PubMed : 21138416, PubMed : 9346484). In addition to the NF-kappa-B inhibitors, phosphorylates several other components of the signaling pathway including NEMO/IKBKG, NF-kappa-B subunits RELA and NFKB1, as well as IKK-related kinases TBK1 and IKBKE (PubMed : 11297557, PubMed : 14673179, PubMed : 20410276, PubMed : 21138416). IKK-related kinase phosphorylations may prevent the overproduction of inflammatory mediators since they exert a negative regulation on canonical IKKs (PubMed : 11297557, PubMed : 20410276, PubMed : 21138416). Phosphorylates FOXO3, mediating the TNF-dependent inactivation of this pro-apoptotic transcription factor (PubMed : 15084260). Also phosphorylates other substrates including NAA10, NCOA3, BCL10 and IRS1 (PubMed : 17213322, PubMed : 19716809). Phosphorylates RIPK1 at 'Ser-25' which represses its kinase activity and consequently prevents TNF-mediated RIPK1-dependent cell death (By similarity). Phosphorylates the C-terminus of IRF5, stimulating IRF5 homodimerization and translocation into the nucleus (PubMed : 25326418). Following bacterial lipopolysaccharide (LPS)-induced TLR4 endocytosis, phosphorylates STAT1 at 'Thr-749' which restricts interferon signaling and anti-inflammatory responses and promotes innate inflammatory responses (PubMed : 38621137). IKBKB-mediated phosphorylation of STAT1 at 'Thr-749' promotes binding of STAT1 to the ARID5A promoter, resulting in transcriptional activation of ARID5A and subsequent ARID5A-mediated stabilization of IL6 (PubMed : 32209697). It also promotes binding of STAT1 to the IL12B promoter and activation of IL12B transcription (PubMed : 32209697).
See full target information IKBKB phospho Y188

Publications (18)

Recent publications for all applications. Explore the full list and refine your search

Discover oncology 16:1046 PubMed40493092

2025

LncRNA ZFAS1 promotes the transformation from prostatitis to prostate cancer via myddosome assembly-mediated activation of NF-κB signaling.

Applications

Unspecified application

Species

Unspecified reactive species

Tao Feng,Hao Shen,Shenglan Ye

American journal of translational research 16:973-987 PubMed38586085

2024

Exploration of the molecular mechanism guiding Xinfeng capsule regulatory mechanism for rheumatoid arthritis inflammation.

Applications

Unspecified application

Species

Unspecified reactive species

Ziheng Zhu,Lei Wan

Journal of advanced research 67:71-92 PubMed38286301

2024

Simultaneous binding of quercetin and catechin to FOXO3 enhances IKKα transcription inhibition and suppression of oxidative stress-induced acute alcoholic liver injury in rats.

Applications

Unspecified application

Species

Unspecified reactive species

Hui Guan,Wenyuan Zhang,Hui Liu,Yang Jiang,Feng Li,Dan Wang,Yang Liu,Fatao He,Maoyu Wu,Geoffrey Ivan Neil Waterhouse,Dongxiao Sun-Waterhouse,Dapeng Li

Cell biology international 48:143-153 PubMed37798941

2023

Overexpression of PPM1B inhibited chemoresistance to temozolomide and proliferation in glioma cells.

Applications

Unspecified application

Species

Unspecified reactive species

Yunhu Yu,Qian Liu,Qishan Ran,Fang Cao

Translational oncology 37:101764 PubMed37643553

2023

IGF2BP3 drives gallbladder cancer progression by m6A-modified CLDN4 and inducing macrophage immunosuppressive polarization.

Applications

Unspecified application

Species

Unspecified reactive species

Jian Qin,Zheng Cui,Jingyi Zhou,Bosen Zhang,Ruiqi Lu,Youcheng Ding,Hai Hu,Jingli Cai

Cell cycle (Georgetown, Tex.) 21:406-415 PubMed34985377

2022

Ozone treatment alleviates brain injury in cerebral ischemic rats by inhibiting the NF-κB signaling pathway and autophagy.

Applications

Unspecified application

Species

Unspecified reactive species

Liang Zhu,Shengyang Ding,Lingshan Xu,Zhouquan Wu

Chemical biology & drug design 98:986-996 PubMed34546621

2021

Pinoresinol diglucoside alleviates ischemia/reperfusion-induced brain injury by modulating neuroinflammation and oxidative stress.

Applications

Unspecified application

Species

Unspecified reactive species

Yi Zhang,Yuanbiao Lei,Xiaoxi Yao,Jiping Yi,Ganghua Feng

Advances in clinical and experimental medicine : official organ Wroclaw Medical University 30:701-709 PubMed34118141

2021

MiR-124 protects against cognitive dysfunction induced by sevoflurane anesthesia in vivo and in vitro through targeting calpain small subunit 1 via NF-κB signaling pathway.

Applications

Unspecified application

Species

Unspecified reactive species

Zijun Zhao,Li Ma,Yishuai Li,Qi Zhang,Ying Wang,Yanlei Tai,Qiujun Wang

Neural regeneration research 16:2499-2504 PubMed33907040

2021

Rutin pretreatment promotes microglial M1 to M2 phenotype polarization.

Applications

Unspecified application

Species

Unspecified reactive species

Guang-Ping Lang,Can Li,Ying-Ying Han

Rejuvenation research 23:420-433 PubMed32242481

2020

The Neuroprotective Effects of Danggui-Shaoyao San on Vascular Cognitive Impairment: Involvement of the Role of the Low-Density Lipoprotein Receptor-Related Protein.

Applications

Unspecified application

Species

Unspecified reactive species

Haobin Cai,Tiantian Cai,Haotao Zheng,Lijin Liu,Liuchang Zhou,Xile Pang,Qinkai Zhan,Yijie Wang,Cong Yang,Zhouke Guo,Huafeng Pan,Qi Wang
View all publications

Product promise

We are committed to supporting your work with high-quality reagents, and we're here for you every step of the way. In the unlikely event that one of our products does not perform as expected, you're protected by our Product Promise.
For full details, please see our Terms & Conditions

Please note: All products are 'FOR RESEARCH USE ONLY. NOT FOR USE IN DIAGNOSTIC OR THERAPEUTIC PROCEDURES'.

For licensing inquiries, please contact partnerships@abcam.com