JavaScript is disabled in your browser. Please enable JavaScript to view this website.
AB53694

Anti-IKK beta (phospho Y188) antibody

Be the first to review this product! Submit a review

|

(3 Publications)

Rabbit Polyclonal IKK beta phospho Y188 antibody. Suitable for IHC-P and reacts with Human samples. Cited in 3 publications. Immunogen corresponding to Synthetic Peptide within Human IKBKB phospho Y188 aa 150-250.

View Alternative Names

IKKB, IKBKB, Inhibitor of nuclear factor kappa-B kinase subunit beta, I-kappa-B-kinase beta, IKK-B, IKK-beta, IkBKB, I-kappa-B kinase 2, Nuclear factor NF-kappa-B inhibitor kinase beta, Serine/threonine protein kinase IKBKB, IKK-2, IKK2, NFKBIKB

1 Images
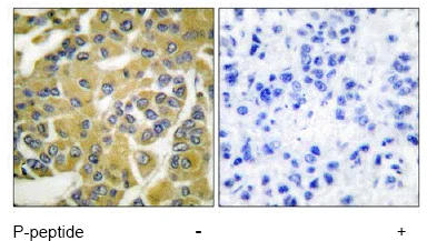
Immunohistochemistry (Formalin/PFA-fixed paraffin-embedded sections) - Anti-IKK beta (phospho Y188) antibody (AB53694)
  • IHC-P

Unknown

Immunohistochemistry (Formalin/PFA-fixed paraffin-embedded sections) - Anti-IKK beta (phospho Y188) antibody (AB53694)

ab53694 at 1/50 dilution staining IKK beta in human breast carcinoma by Immunohistochemistry, Paraffin embedded tissue, in the absence or presence of the immunising peptide.

Key facts

Host species

Rabbit

Clonality

Polyclonal

Isotype

IgG

Carrier free

No

Reacts with

Human

Applications

IHC-P

applications

Immunogen

Synthetic Peptide within Human IKBKB phospho Y188 aa 150-250. The exact immunogen used to generate this antibody is proprietary information.

O14920

Reactivity data

{ "title": "Reactivity Data", "filters": { "stats": ["", "Species", "Dilution Info", "Notes"], "tabs": { "all-applications": {"fullname" : "All Applications", "shortname": "All Applications"}, "IHCP" : {"fullname" : "Immunohistochemistry (Formalin/PFA-fixed paraffin-embedded sections)", "shortname":"IHC-P"} }, "product-promise": { "all": "all", "testedAndGuaranteed": "tested", "guaranteed": "expected", "predicted": "predicted", "notRecommended": "not-recommended" } }, "values": { "Human": { "IHCP-species-checked": "testedAndGuaranteed", "IHCP-species-dilution-info": "", "IHCP-species-notes": "<p></p>" } } }

Properties and storage information

Form
Liquid
Purification technique
Affinity purification Immunogen
Purification notes
ab53694 was affinity-purified from rabbit antiserum by affinity-chromatography using epitope-specific phosphopeptide. The antibody against non-phosphopeptide was removed by chromatography using non-phosphopeptide corresponding to the phosphorylation site.
Storage buffer
pH: 7.4 Preservative: 0.02% Sodium azide Constituents: PBS, 50% Glycerol (glycerin, glycerine), 0.87% Sodium chloride
Shipped at conditions
Blue Ice
Appropriate short-term storage conditions
+4°C
Appropriate long-term storage conditions
-20°C
Storage information
Stable for 12 months at -20°C

Product protocols

For this product, it's our understanding that no specific protocols are required. You can visit:

Target data

Serine kinase that plays an essential role in the NF-kappa-B signaling pathway which is activated by multiple stimuli such as inflammatory cytokines, bacterial or viral products, DNA damages or other cellular stresses (PubMed : 20434986, PubMed : 20797629, PubMed : 21138416, PubMed : 30337470, PubMed : 9346484). Acts as a part of the canonical IKK complex in the conventional pathway of NF-kappa-B activation (PubMed : 9346484). Phosphorylates inhibitors of NF-kappa-B on 2 critical serine residues (PubMed : 20434986, PubMed : 20797629, PubMed : 21138416, PubMed : 9346484). These modifications allow polyubiquitination of the inhibitors and subsequent degradation by the proteasome (PubMed : 20434986, PubMed : 20797629, PubMed : 21138416, PubMed : 9346484). In turn, free NF-kappa-B is translocated into the nucleus and activates the transcription of hundreds of genes involved in immune response, growth control, or protection against apoptosis (PubMed : 20434986, PubMed : 20797629, PubMed : 21138416, PubMed : 9346484). In addition to the NF-kappa-B inhibitors, phosphorylates several other components of the signaling pathway including NEMO/IKBKG, NF-kappa-B subunits RELA and NFKB1, as well as IKK-related kinases TBK1 and IKBKE (PubMed : 11297557, PubMed : 14673179, PubMed : 20410276, PubMed : 21138416). IKK-related kinase phosphorylations may prevent the overproduction of inflammatory mediators since they exert a negative regulation on canonical IKKs (PubMed : 11297557, PubMed : 20410276, PubMed : 21138416). Phosphorylates FOXO3, mediating the TNF-dependent inactivation of this pro-apoptotic transcription factor (PubMed : 15084260). Also phosphorylates other substrates including NAA10, NCOA3, BCL10 and IRS1 (PubMed : 17213322, PubMed : 19716809). Phosphorylates RIPK1 at 'Ser-25' which represses its kinase activity and consequently prevents TNF-mediated RIPK1-dependent cell death (By similarity). Phosphorylates the C-terminus of IRF5, stimulating IRF5 homodimerization and translocation into the nucleus (PubMed : 25326418). Following bacterial lipopolysaccharide (LPS)-induced TLR4 endocytosis, phosphorylates STAT1 at 'Thr-749' which restricts interferon signaling and anti-inflammatory responses and promotes innate inflammatory responses (PubMed : 38621137). IKBKB-mediated phosphorylation of STAT1 at 'Thr-749' promotes binding of STAT1 to the ARID5A promoter, resulting in transcriptional activation of ARID5A and subsequent ARID5A-mediated stabilization of IL6 (PubMed : 32209697). It also promotes binding of STAT1 to the IL12B promoter and activation of IL12B transcription (PubMed : 32209697).
See full target information IKBKB phospho Y188

Publications (3)

Recent publications for all applications. Explore the full list and refine your search

Breast cancer research and treatment 175:353-368 PubMed30830488

2019

ERα upregulates the expression of long non-coding RNA LINC00472 which suppresses the phosphorylation of NF-κB in breast cancer.

Applications

Unspecified application

Species

Unspecified reactive species

Zhanwei Wang,Dionyssios Katsaros,Nicoletta Biglia,Yi Shen,Lenora Loo,Xiao Yu,Hongyan Lin,Yuanyuan Fu,Wen-Ming Chu,Peiwen Fei,Yan Ni,Wei Jia,Xiaobei Deng,Biyun Qian,Herbert Yu

Molecular medicine reports 17:479-487 PubMed29115440

2017

Aspirin ameliorates cerebral infarction through regulation of TLR4/NF‑κB‑mediated endoplasmic reticulum stress in mouse model.

Applications

Unspecified application

Species

Unspecified reactive species

Xin Wang,Bin Shen,Dezhou Sun,Xiangyu Cui

Nature medicine 17:883-7 PubMed21642978

2011

Uncoupling the mechanisms of obesity and hypertension by targeting hypothalamic IKK-β and NF-κB.

Applications

IHC

Species

Mouse

Sudarshana Purkayastha,Guo Zhang,Dongsheng Cai
View all publications

Product promise

We are committed to supporting your work with high-quality reagents, and we're here for you every step of the way. In the unlikely event that one of our products does not perform as expected, you're protected by our Product Promise.
For full details, please see our Terms & Conditions

Please note: All products are 'FOR RESEARCH USE ONLY. NOT FOR USE IN DIAGNOSTIC OR THERAPEUTIC PROCEDURES'.

For licensing inquiries, please contact partnerships@abcam.com