JavaScript is disabled in your browser. Please enable JavaScript to view this website.
AB188569

Anti-IKK gamma/NEMO antibody [EPR14660]

Be the first to review this product! Submit a review

|

(3 Publications)

Rabbit Recombinant Monoclonal IKK gamma/NEMO antibody. Suitable for WB, ICC/IF and reacts with Human samples. Cited in 3 publications.

View Alternative Names

FIP3, NEMO, IKBKG, NF-kappa-B essential modulator, FIP-3, IkB kinase-associated protein 1, Inhibitor of nuclear factor kappa-B kinase subunit gamma, NF-kappa-B essential modifier, IKKAP1, I-kappa-B kinase subunit gamma, IKK-gamma, IKKG, IkB kinase subunit gamma

5 Images
Immunocytochemistry/ Immunofluorescence - Anti-IKK gamma/NEMO antibody [EPR14660] (AB188569)
  • ICC/IF

Supplier Data

Immunocytochemistry/ Immunofluorescence - Anti-IKK gamma/NEMO antibody [EPR14660] (AB188569)

Immunocytochemical analysis of Jurkat cells fixed in 4% paraformaldehyde labeling IKK gamma/NEMO with ab188569 at 1/100 dilution and Goat anti rabbit IgG(Alexa Fluor® 555) at 1/200 dilution. Counterstained with DAPI.

Western blot - Anti-IKK gamma/NEMO antibody [EPR14660] (AB188569)
  • WB

Lab

Western blot - Anti-IKK gamma/NEMO antibody [EPR14660] (AB188569)

Lane 1 : Wild-type HAP1 cell lysate (20 μg)
Lane 2 : IKK gamma/NEMO knockout HAP1 cell lysate (20 μg)
Lane 3 : Jurkat cell lysate (20 μg)

Lanes 1 - 3 : Merged signal (red and green). Green - ab188569 observed at 50 kDa. Red - loading control, ab8245, observed at 37 kDa.

ab188569 was shown to react with IKK gamma/NEMO in wild-type HAP1 cells along with additional cross-reactive bands. No band was observed when IKK gamma/NEMO knockout samples were examined. Wild-type and IKK gamma/NEMO knockout samples were subjected to SDS-PAGE. ab188569 and ab8245 (loading control to GAPDH) were diluted 1/10,000 and 1/1000 respectively and incubated overnight at 4°C. Blots were developed with Goat anti-Rabbit IgG H&L (IRDye® 800CW) preadsorbed ab216773 and Goat anti-Mouse IgG H&L (IRDye® 680RD) preadsorbed ab216776 secondary antibodies at 1/10,000 dilution for 1 hour at room temperature before imaging.

All lanes:

Western blot - Anti-IKK gamma/NEMO antibody [EPR14660] (ab188569)

Predicted band size: 48 kDa

false

Western blot - Anti-IKK gamma/NEMO antibody [EPR14660] (AB188569)
  • WB

Lab

Western blot - Anti-IKK gamma/NEMO antibody [EPR14660] (AB188569)

Lanes 1- 2 : Merged signal (red and green). Green - ab188569 observed at 48 kDa. Red - Anti-GAPDH antibody [6C5] - Loading Control (ab8245) observed at 37 kDa.

ab188569 was shown to react with IKK gamma/NEMO in wild-type HEK-293T cells in western blot. The band observed in CRISPR/Cas9 edited cell line ab266674 (CRISPR/Cas9 edited cell lysate ab257153) lane below 48kDa may represent truncated forms and cleaved fragments. This has not been investigated further. Wild-type HEK-293T and IKBKG CRISPR/Cas9 edited HEK-293T cell lysates were subjected to SDS-PAGE. Membrane was blocked for 1 hour at room temperature in 0.1% TBST with 3% non-fat dried milk. ab188569 and Anti-GAPDH antibody [6C5] - Loading Control (ab8245) were incubated overnight at 4°C at a 1 in 1000 Dilution and a 1 in 20000 dilution respectively. Blots were developed with Goat anti-Rabbit IgG H&L (IRDye®800CW) preadsorbed (ab216773) and Goat anti-Mouse IgG H&L (IRDye®680RD) preadsorbed (ab216776) secondary antibodies at 1 in 20000 dilution for 1 hour at room temperature before imaging.

All lanes:

Western blot - Anti-IKK gamma/NEMO antibody [EPR14660] (ab188569) at 1/1000 dilution

Lane 1:

Wild-type HEK-293T cell lysate at 20 µg

Lane 2:

IKBKG CRISPR/Cas9 edited HEK-293T cell lysate at 20 µg

Lane 2:

Western blot - Human IKBKG (IKK gamma/NEMO) knockout HEK-293T cell line (<a href='/en-us/products/cell-lines/human-ikbkg-ikk-gamma-nemo-knockout-hek-293t-cell-line-ab266674'>ab266674</a>)

Predicted band size: 48 kDa

Observed band size: 48 kDa

false

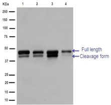
Western blot - Anti-IKK gamma/NEMO antibody [EPR14660] (AB188569)
  • WB

Supplier Data

Western blot - Anti-IKK gamma/NEMO antibody [EPR14660] (AB188569)

All lanes:

Western blot - Anti-IKK gamma/NEMO antibody [EPR14660] (ab188569) at 1/10000 dilution

Lane 1:

Hela cell lysate at 20 µg

Lane 2:

Jurkat cell lysate at 20 µg

Lane 3:

K562 cell lysate at 20 µg

Lane 4:

Human fetal brain lysate at 20 µg

Secondary

All lanes:

Goat Anti-Rabbit IgG, (H+L), Peroxidase conjugated at 1/1000 dilution

Predicted band size: 48 kDa

Observed band size: 41 kDa

false

Western blot - Anti-IKK gamma/NEMO antibody [EPR14660] (AB188569)
  • WB

Lab

Western blot - Anti-IKK gamma/NEMO antibody [EPR14660] (AB188569)

Lanes 1- 2 : Merged signal (red and green). Green - ab188569 observed at 48 kDa. Red - Anti-GAPDH antibody [6C5] - Loading Control (ab8245) observed at 37 kDa.

ab188569 was shown to react with IKK gamma/NEMO in wild-type HEK-293T cells in western blot. The band observed in knockout cell line ab266674 (knockout cell lysate ab257153) lane below 48kDa may represent truncated forms and cleaved fragments. This has not been investigated further. Wild-type HEK-293T and IKBKG knockout HEK-293T cell lysates were subjected to SDS-PAGE. Membrane was blocked for 1 hour at room temperature in 0.1% TBST with 3% non-fat dried milk. ab188569 and Anti-GAPDH antibody [6C5] - Loading Control (ab8245) were incubated overnight at 4°C at a 1 in 1000 Dilution and a 1 in 20000 dilution respectively. Blots were developed with Goat anti-Rabbit IgG H&L (IRDye®800CW) preadsorbed (ab216773) and Goat anti-Mouse IgG H&L (IRDye®680RD) preadsorbed (ab216776) secondary antibodies at 1 in 20000 dilution for 1 hour at room temperature before imaging.

All lanes:

Western blot - Anti-IKK gamma/NEMO antibody [EPR14660] (ab188569) at 1/1000 dilution

Lane 1:

Wild-type HEK-293T cell lysate at 20 µg

Lane 2:

IKBKG knockout HEK-293T cell lysate at 20 µg

Predicted band size: 48 kDa

Observed band size: 48 kDa

false

  • Carrier free

    Anti-IKK gamma/NEMO antibody [EPR14660] - BSA and Azide free

Key facts

Host species

Rabbit

Clonality

Monoclonal

Clone number

EPR14660

Isotype

IgG

Carrier free

No

Reacts with

Human

Applications

ICC/IF, WB

applications

Immunogen

The exact immunogen used to generate this antibody is proprietary information.

Reactivity data

{ "title": "Reactivity Data", "filters": { "stats": ["", "Species", "Dilution Info", "Notes"], "tabs": { "all-applications": {"fullname" : "All Applications", "shortname": "All Applications"}, "WB" : {"fullname" : "Western blot", "shortname":"WB"}, "ICCIF" : {"fullname" : "Immunocytochemistry/ Immunofluorescence", "shortname":"ICC/IF"} }, "product-promise": { "all": "all", "testedAndGuaranteed": "tested", "guaranteed": "expected", "predicted": "predicted", "notRecommended": "not-recommended" } }, "values": { "Human": { "WB-species-checked": "testedAndGuaranteed", "WB-species-dilution-info": "1/10000 - 1/50000", "WB-species-notes": "<p></p>", "ICCIF-species-checked": "testedAndGuaranteed", "ICCIF-species-dilution-info": "1/100", "ICCIF-species-notes": "<p></p>" } } }

Product details

Patented technology
Our RabMAb® technology is a patented hybridoma-based technology for making rabbit monoclonal antibodies. For details on our patents, please refer to RabMAb® patents.

What are the advantages of a recombinant monoclonal antibody?
This product is a recombinant monoclonal antibody, which offers several advantages including:

  • - High batch-to-batch consistency and reproducibility
  • - Improved sensitivity and specificity
  • - Long-term security of supply
  • - Animal-free batch production

For more information, read more on recombinant antibodies.

Properties and storage information

Form
Liquid
Purification technique
Affinity purification Protein A
Storage buffer
pH: 7.2 - 7.4 Preservative: 0.01% Sodium azide Constituents: PBS, 40% Glycerol (glycerin, glycerine), 0.05% BSA
Shipped at conditions
Blue Ice
Appropriate short-term storage duration
1-2 weeks
Appropriate short-term storage conditions
+4°C
Appropriate long-term storage conditions
-20°C
Aliquoting information
Upon delivery aliquot
Storage information
Avoid freeze / thaw cycle

Product protocols

For this product, it's our understanding that no specific protocols are required. You can visit:

Target data

Regulatory subunit of the IKK core complex which phosphorylates inhibitors of NF-kappa-B thus leading to the dissociation of the inhibitor/NF-kappa-B complex and ultimately the degradation of the inhibitor (PubMed : 14695475, PubMed : 20724660, PubMed : 21518757, PubMed : 9751060). Its binding to scaffolding polyubiquitin plays a key role in IKK activation by multiple signaling receptor pathways (PubMed : 16547522, PubMed : 18287044, PubMed : 19033441, PubMed : 19185524, PubMed : 21606507, PubMed : 27777308, PubMed : 33567255). Can recognize and bind both 'Lys-63'-linked and linear polyubiquitin upon cell stimulation, with a much higher affinity for linear polyubiquitin (PubMed : 16547522, PubMed : 18287044, PubMed : 19033441, PubMed : 19185524, PubMed : 21606507, PubMed : 27777308). Could be implicated in NF-kappa-B-mediated protection from cytokine toxicity. Essential for viral activation of IRF3 (PubMed : 19854139). Involved in TLR3- and IFIH1-mediated antiviral innate response; this function requires 'Lys-27'-linked polyubiquitination (PubMed : 20724660).. (Microbial infection) Also considered to be a mediator for HTLV-1 Tax oncoprotein activation of NF-kappa-B.
See full target information IKBKG

Publications (3)

Recent publications for all applications. Explore the full list and refine your search

Journal of clinical immunology 45:1 PubMed39264518

2024

Non-Skewed X-inactivation Results in NF-κB Essential Modulator (NEMO) Δ-exon 5-autoinflammatory Syndrome (NEMO-NDAS) in a Female with Incontinentia Pigmenti.

Applications

Unspecified application

Species

Unspecified reactive species

Jessica Eigemann,Ales Janda,Catharina Schuetz,Min Ae Lee-Kirsch,Ansgar Schulz,Manfred Hoenig,Ingrid Furlan,Eva-Maria Jacobsen,Julia Zinngrebe,Sarah Peters,Cosima Drewes,Reiner Siebert,Eva-Maria Rump,Marita Führer,Myriam Lorenz,Ulrich Pannicke,Uwe Kölsch,Klaus-Michael Debatin,Horst von Bernuth,Klaus Schwarz,Kerstin Felgentreff

Advanced science (Weinheim, Baden-Wurttemberg, Germany) 11:e2407619 PubMed39246205

2024

Novel Endogenous Engineering Platform for Robust Loading and Delivery of Functional mRNA by Extracellular Vesicles.

Applications

Unspecified application

Species

Unspecified reactive species

Antje M Zickler,Xiuming Liang,Dhanu Gupta,Doste R Mamand,Mariacristina De Luca,Giulia Corso,Lorenzo Errichelli,Justin Hean,Titash Sen,Omnia M Elsharkasy,Noriyasu Kamei,Zheyu Niu,Guannan Zhou,Houze Zhou,Samantha Roudi,Oscar P B Wiklander,André Görgens,Joel Z Nordin,Virginia Castilla-Llorente,Samir El Andaloussi

Viruses 12: PubMed31905881

2019

Feline Infectious Peritonitis Virus Nsp5 Inhibits Type I Interferon Production by Cleaving NEMO at Multiple Sites.

Applications

Unspecified application

Species

Unspecified reactive species

Si Chen,Jin Tian,Zhijie Li,Hongtao Kang,Jikai Zhang,Jiapei Huang,Hang Yin,Xiaoliang Hu,Liandong Qu
View all publications

Product promise

We are committed to supporting your work with high-quality reagents, and we're here for you every step of the way. In the unlikely event that one of our products does not perform as expected, you're protected by our Product Promise.
For full details, please see our Terms & Conditions

Please note: All products are 'FOR RESEARCH USE ONLY. NOT FOR USE IN DIAGNOSTIC OR THERAPEUTIC PROCEDURES'.

For licensing inquiries, please contact partnerships@abcam.com