JavaScript is disabled in your browser. Please enable JavaScript to view this website.
AB178872

Anti-IKK gamma/NEMO antibody [EPR16629]

5

(1 Review)

|

(36 Publications)

Anti-IKK gamma/NEMO antibody [EPR16629] (ab178872) is a rabbit monoclonal antibody detecting IKK gamma/NEMO in Western Blot, IP, IHC-P, ICC/IF. Suitable for Human, Mouse, Rat.

- KO validated for confirmed specificity
- Biophysical QC for unrivalled batch-batch consistency
- Over 20 publications

View Alternative Names

FIP3, NEMO, IKBKG, NF-kappa-B essential modulator, FIP-3, IkB kinase-associated protein 1, Inhibitor of nuclear factor kappa-B kinase subunit gamma, NF-kappa-B essential modifier, IKKAP1, I-kappa-B kinase subunit gamma, IKK-gamma, IKKG, IkB kinase subunit gamma

11 Images
Immunocytochemistry/ Immunofluorescence - Anti-IKK gamma/NEMO antibody [EPR16629] (AB178872)
  • ICC/IF

Supplier Data

Immunocytochemistry/ Immunofluorescence - Anti-IKK gamma/NEMO antibody [EPR16629] (AB178872)

Immunofluorescence analysis of 4% paraformaldehyde fixed, 0.1% Triton X-100 permeabilized HeLa cells (Human epithelial cells from cervix adenocarcinoma) labeling IKK gamma/NEMO (green) with ab178872 at 1/250 dilution showing cytoplasm and nucleus staining. Secondary ab : Goat anti rabbit IgG (Alexa Fluor® 488) (ab150077) at 1/200 dilution. Counter stain is labeling tubulin (red) with ab7291 at 1/500 dilution with secondary antibody Goat anti-Mouse AlexaFluor® 594 (ab150120) at 1/400 dilution. DAPI stains the nucleus in blue. -ve control 1 is ab178872 at 1/250 dilution, ab150120 at 1/400 dilution. -ve control 2 is ab7291 at 1/500 dilution, ab150077 at 1/200 dilution.

Immunohistochemistry (Formalin/PFA-fixed paraffin-embedded sections) - Anti-IKK gamma/NEMO antibody [EPR16629] (AB178872)
  • IHC-P

Supplier Data

Immunohistochemistry (Formalin/PFA-fixed paraffin-embedded sections) - Anti-IKK gamma/NEMO antibody [EPR16629] (AB178872)

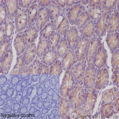
Immunohistochemical analysis of paraffin embedded human colonic adenocarcinoma tissue labeling IKK gamma/NEMO with ab178872 at 1/100 dilution followed by prediluted HRP Polymer for Rabbit/Mouse IgG. Cytoplasmic staining on colonic adenocarcinoma is observed.

Negative control : Using PBS instead of primary ab, secondary ab ImmunoHistoprobe (Ready to use) HRP Polymer for Rabbit/Mouse IgG.

Perform heat mediated antigen retrieval with Tris/EDTA buffer pH 9.0 before commencing with IHC staining protocol.

Immunohistochemistry (Formalin/PFA-fixed paraffin-embedded sections) - Anti-IKK gamma/NEMO antibody [EPR16629] (AB178872)
  • IHC-P

Supplier Data

Immunohistochemistry (Formalin/PFA-fixed paraffin-embedded sections) - Anti-IKK gamma/NEMO antibody [EPR16629] (AB178872)

Immunohistochemical analysis of paraffin embedded Rat colon tissue labeling IKK gamma/NEMO with ab178872 at 1/100 dilution followed by prediluted HRP Polymer for Rabbit/Mouse IgG. Counter stain is Hematoxylin. Cytoplasm staining on epithelial cells of rat colon is observed.

Negative control : Using PBS instead of primary ab, secondary ab as above.

Perform heat mediated antigen retrieval with Tris/EDTA buffer pH 9.0 before commencing with IHC staining protocol.

Immunocytochemistry/ Immunofluorescence - Anti-IKK gamma/NEMO antibody [EPR16629] (AB178872)
  • ICC/IF

Supplier Data

Immunocytochemistry/ Immunofluorescence - Anti-IKK gamma/NEMO antibody [EPR16629] (AB178872)

Immunofluorescence analysis of 4% paraformaldehyde fixed, 0.1% Triton X-100 permeabilized NIH/3T3 cells (Mouse embyro fibroblast cells) labeling IKK gamma/NEMO (green) with ab178872 at 1/250 dilution showing cytoplasm and nucleus staining. Secondary ab : Goat anti rabbit IgG (Alexa Fluor® 488) (ab150077) at 1/200 dilution. Counter stain is labeling tubulin (red) with ab7291 at 1/500 dilution with secondary antibody Goat anti-Mouse AlexaFluor® 594 (ab150120) at 1/400 dilution. DAPI stains the nucleus in blue. -ve control 1 is ab178872 at 1/250 dilution, ab150120 at 1/400 dilution. -ve control 2 is ab7291 at 1/500 dilution, ab150077 at 1/200 dilution.

Western blot - Anti-IKK gamma/NEMO antibody [EPR16629] (AB178872)
  • WB

Lab

Western blot - Anti-IKK gamma/NEMO antibody [EPR16629] (AB178872)

Lanes 1- 2 : Merged signal (red and green). Green - ab178872 observed at 48 kDa. Red - Anti-GAPDH antibody [6C5] - Loading Control (ab8245) observed at 37 kDa.

ab178872 was shown to react with IKK gamma/NEMO in wild-type HEK-293T cells in western blot. The band observed in knockout cell line ab266674 (knockout cell lysate ab257153) lane below 48kDa may represent truncated forms and cleaved fragments. This has not been investigated further. Wild-type HEK-293T and IKBKG knockout HEK-293T cell lysates were subjected to SDS-PAGE. Membrane was blocked for 1 hour at room temperature in 0.1% TBST with 3% non-fat dried milk. ab178872 and Anti-GAPDH antibody [6C5] - Loading Control (ab8245) were incubated overnight at 4°C at a 1 in 1000 dilution and a 1 in 20000 dilution respectively. Blots were developed with Goat anti-Rabbit IgG H&L (IRDye®800CW) preadsorbed (ab216773) and Goat anti-Mouse IgG H&L (IRDye®680RD) preadsorbed (ab216776) secondary antibodies at 1 in 20000 dilution for 1 hour at room temperature before imaging.

All lanes:

Western blot - Anti-IKK gamma/NEMO antibody [EPR16629] (ab178872) at 1/1000 dilution

Lane 1:

Wild-type HEK-293T cell lysate at 20 µg

Lane 2:

IKBKG knockout HEK-293T cell lysate at 20 µg

Predicted band size: 48 kDa

Observed band size: 48 kDa

false

Western blot - Anti-IKK gamma/NEMO antibody [EPR16629] (AB178872)
  • WB

Supplier Data

Western blot - Anti-IKK gamma/NEMO antibody [EPR16629] (AB178872)

Blocking buffer and concentration : 5% NFDM/TBST

Diluting buffer and concentration : 5% NFDM /TBST

ab178872 could recognize 3 isoforms with the predicted MWs of 37KDa, 56KDa and 48KDa, respectively.

All lanes:

Western blot - Anti-IKK gamma/NEMO antibody [EPR16629] (ab178872) at 1/20000 dilution

Lane 1:

HeLa (Human epithelial cells from cervix adenocarcinoma) whole cell lysates at 20 µg

Lane 2:

K562 (Human chronic myelogenous leukemia cells from bone marrow) whole cell lysates at 20 µg

Lane 3:

Jurkat (Human T cell leukemia cells from peripheral blood) whole cell lysates at 20 µg

Secondary

All lanes:

Goat Anti-Rabbit IgG, (H+L), Peroxidase conjugated at 1/1000 dilution

Predicted band size: 48 kDa

Observed band size: 46-60 kDa

false

Western blot - Anti-IKK gamma/NEMO antibody [EPR16629] (AB178872)
  • WB

Supplier Data

Western blot - Anti-IKK gamma/NEMO antibody [EPR16629] (AB178872)

Blocking buffer and concentration : 5% NFDM/TBST

Diluting buffer and concentration : 5% NFDM /TBST

ab178872 could recognize 3 isoforms with the predicted MWs of 37KDa, 56KDa and 48KDa, respectively.

All lanes:

Western blot - Anti-IKK gamma/NEMO antibody [EPR16629] (ab178872) at 1/5000 dilution

Lane 1:

Human fetal brain at 10 µg

Lane 2:

Human fetal kidney at 10 µg

Lane 3:

Human colon cancer at 10 µg

Secondary

All lanes:

Anti-Rabbit IgG (HRP), specific to the non-reduced form of IgG at 1/1000 dilution

Predicted band size: 48 kDa

Observed band size: 37 kDa,48 kDa,56 kDa

false

Immunoprecipitation - Anti-IKK gamma/NEMO antibody [EPR16629] (AB178872)
  • IP

Supplier Data

Immunoprecipitation - Anti-IKK gamma/NEMO antibody [EPR16629] (AB178872)

IKK gamma/NEMO was immunoprecipitated from 1mg of HeLa (Human epithelial cells from cervix adenocarcinoma) whole cell extract with ab178872 at 1/50 dilution. Western blot was performed of the immunoprecipitate using ab178872 at 1/1000 dilution. Anti-Rabbit IgG (HRP), specific to the non-reduced form of IgG, was used as secondary antibody at 1/1500 dilution. Left lane : HeLa whole cell extract. Right lane : PBS instead of HeLa whole cell extract.

Blocking buffer and concentration : 5% NFDM/TBST.

Diluting buffer and concentration : 5% NFDM/TBST.

All lanes:

Immunoprecipitation - Anti-IKK gamma/NEMO antibody [EPR16629] (ab178872)

Predicted band size: 48 kDa

Observed band size: 37-60 kDa

false

Western blot - Anti-IKK gamma/NEMO antibody [EPR16629] (AB178872)
  • WB

Lab

Western blot - Anti-IKK gamma/NEMO antibody [EPR16629] (AB178872)

Lane 1 : Wild-type HAP1 cell lysate (20 μg)
Lane 2 : IKK gamma/NEMO knockout HAP1 cell lysate (20 μg)
Lane 3 : Jurkat cell lysate (20 μg)
Lane 4 : K562 cell lysate (20 μg)
Lanes 1 - 4 : Merged signal (red and green). Green - ab178872 observed at 40, 45, 50 kDa. Red - loading control, ab8245, observed at 37 kDa.

ab178872 was shown to react with IKK gamma in wild-type HAP1 cells along with additional cross-reactive bands. No band was observed when IKK gamma/NEMO knockout samples were examined. Wild-type and IKK gamma/NEMO knockout samples were subjected to SDS-PAGE. ab178872 and ab8245 (loading control to GAPDH) were diluted at 1/5000 and 1/10,000 respectively and incubated overnight at 4°C. Blots were developed with Goat anti-Rabbit IgG H&L (IRDye® 800CW) preadsorbed (ab216773) and Goat anti-Mouse IgG H&L (IRDye® 680RD) preadsorbed (ab216776) secondary antibodies at 1/10,000 dilution for 1 hour at room temperature before imaging.

All lanes:

Western blot - Anti-IKK gamma/NEMO antibody [EPR16629] (ab178872)

Predicted band size: 48 kDa

false

Western blot - Anti-IKK gamma/NEMO antibody [EPR16629] (AB178872)
  • WB

Lab

Western blot - Anti-IKK gamma/NEMO antibody [EPR16629] (AB178872)

Lanes 1- 2 : Merged signal (red and green). Green - ab178872 observed at 48 kDa. Red - Anti-GAPDH antibody [6C5] - Loading Control (ab8245) observed at 37 kDa.

ab178872 was shown to react with IKK gamma/NEMO in wild-type HEK-293T cells in western blot. The band observed in CRISPR/Cas9 edited cell line ab266674 (CRISPR/Cas9 edited cell lysate ab257153) lane below 48kDa may represent truncated forms and cleaved fragments. This has not been investigated further. Wild-type HEK-293T and IKBKG CRISPR/Cas9 edited HEK-293T cell lysates were subjected to SDS-PAGE. Membrane was blocked for 1 hour at room temperature in 0.1% TBST with 3% non-fat dried milk. ab178872 and Anti-GAPDH antibody [6C5] - Loading Control (ab8245) were incubated overnight at 4°C at a 1 in 1000 dilution and a 1 in 20000 dilution respectively. Blots were developed with Goat anti-Rabbit IgG H&L (IRDye®800CW) preadsorbed (ab216773) and Goat anti-Mouse IgG H&L (IRDye®680RD) preadsorbed (ab216776) secondary antibodies at 1 in 20000 dilution for 1 hour at room temperature before imaging.

All lanes:

Western blot - Anti-IKK gamma/NEMO antibody [EPR16629] (ab178872) at 1/1000 dilution

Lane 1:

Wild-type HEK-293T cell lysate at 20 µg

Lane 2:

IKBKG CRISPR/Cas9 edited HEK-293T cell lysate at 20 µg

Lane 2:

Western blot - Human IKBKG (IKK gamma/NEMO) knockout HEK-293T cell line (<a href='/en-us/products/cell-lines/human-ikbkg-ikk-gamma-nemo-knockout-hek-293t-cell-line-ab266674'>ab266674</a>)

Predicted band size: 48 kDa

Observed band size: 48 kDa

false

Western blot - Anti-IKK gamma/NEMO antibody [EPR16629] (AB178872)
  • WB

Unknown

Western blot - Anti-IKK gamma/NEMO antibody [EPR16629] (AB178872)

Blocking buffer and concentration : 5% NFDM/TBST

Diluting buffer and concentration : 5% NFDM /TBST

All lanes:

Western blot - Anti-IKK gamma/NEMO antibody [EPR16629] (ab178872) at 1/20000 dilution

Lane 1:

Mouse brain at 10 µg

Lane 2:

Mouse heart at 10 µg

Lane 3:

Mouse kidney at 10 µg

Lane 4:

Mouse spleen at 10 µg

Lane 5:

Rat brain at 10 µg

Lane 6:

Rat heart at 10 µg

Lane 7:

Rat kidney at 10 µg

Lane 8:

Rat spleen at 10 µg

Lane 9:

C6 (Rat glial tumor cells) whole cell lysates at 10 µg

Lane 10:

RAW 264.7 (Mouse macrophage cells transformed with Abelson murine leukemia virus) whole cell lysates at 10 µg

Lane 11:

PC-12 (Rat adrenal gland pheochromocytoma) whole cell lysates at 10 µg

Lane 12:

NIH/3T3 (Mouse embyro fibroblast cells) whole cell lysates at 10 µg

Secondary

All lanes:

Goat Anti-Rabbit IgG, (H+L), Peroxidase conjugated at 1/1000 dilution

Predicted band size: 48 kDa

Observed band size: 37-60 kDa

false

Key facts

Host species

Rabbit

Clonality

Monoclonal

Clone number

EPR16629

Isotype

IgG

Carrier free

No

Reacts with

Mouse, Rat, Human

Applications

WB, ICC/IF, IHC-P, IP

applications

Immunogen

The exact immunogen used to generate this antibody is proprietary information.

Reactivity data

{ "title": "Reactivity Data", "filters": { "stats": ["", "Species", "Dilution Info", "Notes"], "tabs": { "all-applications": {"fullname" : "All Applications", "shortname": "All Applications"}, "IP" : {"fullname" : "Immunoprecipitation", "shortname":"IP"}, "WB" : {"fullname" : "Western blot", "shortname":"WB"}, "ICCIF" : {"fullname" : "Immunocytochemistry/ Immunofluorescence", "shortname":"ICC/IF"}, "IHCP" : {"fullname" : "Immunohistochemistry (Formalin/PFA-fixed paraffin-embedded sections)", "shortname":"IHC-P"} }, "product-promise": { "all": "all", "testedAndGuaranteed": "tested", "guaranteed": "expected", "predicted": "predicted", "notRecommended": "not-recommended" } }, "values": { "Human": { "IP-species-checked": "testedAndGuaranteed", "IP-species-dilution-info": "1/50", "IP-species-notes": "<p></p>", "WB-species-checked": "testedAndGuaranteed", "WB-species-dilution-info": "1/5000", "WB-species-notes": "<p></p>", "ICCIF-species-checked": "testedAndGuaranteed", "ICCIF-species-dilution-info": "1/250", "ICCIF-species-notes": "<p></p>", "IHCP-species-checked": "testedAndGuaranteed", "IHCP-species-dilution-info": "1/100", "IHCP-species-notes": "<p></p>" }, "Mouse": { "IP-species-checked": "guaranteed", "IP-species-dilution-info": "", "IP-species-notes": "", "WB-species-checked": "testedAndGuaranteed", "WB-species-dilution-info": "1/5000", "WB-species-notes": "<p></p>", "ICCIF-species-checked": "testedAndGuaranteed", "ICCIF-species-dilution-info": "1/250", "ICCIF-species-notes": "<p></p>", "IHCP-species-checked": "guaranteed", "IHCP-species-dilution-info": "", "IHCP-species-notes": "" }, "Rat": { "IP-species-checked": "guaranteed", "IP-species-dilution-info": "", "IP-species-notes": "", "WB-species-checked": "testedAndGuaranteed", "WB-species-dilution-info": "1/5000", "WB-species-notes": "<p></p>", "ICCIF-species-checked": "guaranteed", "ICCIF-species-dilution-info": "", "ICCIF-species-notes": "", "IHCP-species-checked": "testedAndGuaranteed", "IHCP-species-dilution-info": "1/100", "IHCP-species-notes": "<p></p>" } } }

Product details

What is this antibody validated in?
Anti-IKK gamma/NEMO antibody [EPR16629] (ab178872) is a rabbit recombinant monoclonal antibody and is validated for use in Western Blot (WB), Immunoprecipitation (IP), Immunohistochemistry (IHC-P), Immunocytochemistry/immunofluorescence (ICC/IF) in Human, Mouse, Rat samples.

What is the molecular weight of IKK gamma/NEMO?
Anti-IKK gamma/NEMO [EPR16629] (ab178872) specifically detects a band for IKK gamma/NEMO (UniProt: Q9Y6K9) at a molecular weight of 48kDa.

Trusted by the scientific community
Anti-IKK gamma/NEMO [EPR16629] (ab178872) was first used in a scientific publication in 2014 and has been cited over 20 times in peer-reviewed journals.

Trial sizes available!
Test your antibody or perform pre-screening before committing to a larger quantity. Sold in 10µl. Discover our selection of trial-size antibodies.

Specificity confirmed
The specificity of Anti-IKK gamma/NEMO antibody [EPR16629] (ab178872) has been confirmed by Western blot testing in IKBKG Knockout HAP1 cell line, ab266674.

Other related products
We have a range of other formats of antibody clone [EPR16629] also available for your convenience: ab178872, Alexa Fluor® 647 - ab205788, Carrier free - ab230832

Patented technology
Our RabMAb® technology is a patented hybridoma-based technology for making rabbit monoclonal antibodies. For details on our patents, please refer to RabMAb® patents.

What are the advantages of a recombinant monoclonal antibody?
This product is a recombinant monoclonal antibody, which offers several advantages including:

  • - High batch-to-batch consistency and reproducibility
  • - Improved sensitivity and specificity
  • - Long-term security of supply
  • - Animal-free batch production

For more information, read more on recombinant antibodies.

Properties and storage information

Form
Liquid
Purification technique
Affinity purification Protein A
Storage buffer
Preservative: 0.01% Sodium azide Constituents: PBS, 40% Glycerol (glycerin, glycerine), 0.05% BSA
Shipped at conditions
Blue Ice
Appropriate short-term storage duration
1-2 weeks
Appropriate short-term storage conditions
+4°C
Appropriate long-term storage conditions
-20°C
Aliquoting information
Upon delivery aliquot
Storage information
Avoid freeze / thaw cycle

Product protocols

For this product, it's our understanding that no specific protocols are required. You can visit:

Target data

Regulatory subunit of the IKK core complex which phosphorylates inhibitors of NF-kappa-B thus leading to the dissociation of the inhibitor/NF-kappa-B complex and ultimately the degradation of the inhibitor (PubMed : 14695475, PubMed : 20724660, PubMed : 21518757, PubMed : 9751060). Its binding to scaffolding polyubiquitin plays a key role in IKK activation by multiple signaling receptor pathways (PubMed : 16547522, PubMed : 18287044, PubMed : 19033441, PubMed : 19185524, PubMed : 21606507, PubMed : 27777308, PubMed : 33567255). Can recognize and bind both 'Lys-63'-linked and linear polyubiquitin upon cell stimulation, with a much higher affinity for linear polyubiquitin (PubMed : 16547522, PubMed : 18287044, PubMed : 19033441, PubMed : 19185524, PubMed : 21606507, PubMed : 27777308). Could be implicated in NF-kappa-B-mediated protection from cytokine toxicity. Essential for viral activation of IRF3 (PubMed : 19854139). Involved in TLR3- and IFIH1-mediated antiviral innate response; this function requires 'Lys-27'-linked polyubiquitination (PubMed : 20724660).. (Microbial infection) Also considered to be a mediator for HTLV-1 Tax oncoprotein activation of NF-kappa-B.
See full target information IKBKG

Publications (36)

Recent publications for all applications. Explore the full list and refine your search

Gastro hep advances 4:100756 PubMed40989818

2025

Double-Strand Breaks Induce Nuclear-Cytosolic Shuttling of Polymorphic DNA Mismatch Repair Protein MutS Homolog 3 and Binding to NEMO/IKKγ in Colon Cancer Cells.

Applications

Unspecified application

Species

Unspecified reactive species

Stephanie S Tseng-Rogenski,Minoru Koi,John M Carethers

Experimental neurobiology 34:108-118 PubMed40605681

2025

Robust Neuroprotection by NEMO (IKKγ)-binding Domain Peptide via Anti-inflammatory Effects in the Post-ischemic Brain.

Applications

Unspecified application

Species

Unspecified reactive species

Sang-A Oh,Song-I Seol,Ja-Kyeong Lee,Il-Doo Kim

Journal of immunology (Baltimore, Md. : 1950) 213:628-640 PubMed39007641

2024

ATM-dependent Phosphorylation of Nemo SQ Motifs Is Dispensable for Nemo-mediated Gene Expression Changes in Response to DNA Double-Strand Breaks.

Applications

Unspecified application

Species

Unspecified reactive species

Rebecca A Glynn,Katharina E Hayer,Craig H Bassing

Cell biology international 48:1138-1147 PubMed38769645

2024

TRIM47 promotes HDM-induced bronchial epithelial pyroptosis by regulating NEMO ubiquitination to activate NF-κB/NLRP3 signaling.

Applications

Unspecified application

Species

Unspecified reactive species

Wenjuan Zhan,Huifang Zhang,Yufei Su,Li Yin

Immunity 57:973-986.e7 PubMed38697117

2024

N4BP1 coordinates ubiquitin-dependent crosstalk within the IκB kinase family to limit Toll-like receptor signaling and inflammation.

Applications

Unspecified application

Species

Unspecified reactive species

Alexander D Gitlin,Allie Maltzman,Yuzuka Kanno,Klaus Heger,Rohit Reja,Alexander F Schubert,Linsey J Wierciszewski,Homer Pantua,Sharookh B Kapadia,Seth F Harris,Joshua D Webster,Kim Newton,Vishva M Dixit

CNS neuroscience & therapeutics 30:e14696 PubMed38668740

2024

AZD1390, an ataxia telangiectasia mutated inhibitor, attenuates microglia-mediated neuroinflammation and ischemic brain injury.

Applications

Unspecified application

Species

Unspecified reactive species

Zhen Lan,Long-Jie Qu,Ying Liang,Li-Qiu Chen,Shuai Xu,Jian-Wei Ge,Zhi-Wei Xue,Xin-Yu Bao,Sheng-Nan Xia,Hai-Yan Yang,Jing Huang,Yun Xu,Xiao-Lei Zhu

The Journal of cell biology 223: PubMed38197897

2024

IκB kinase phosphorylates cytoplasmic TDP-43 and promotes its proteasome degradation.

Applications

Unspecified application

Species

Unspecified reactive species

Yohei Iguchi,Yuhei Takahashi,Jiayi Li,Kunihiko Araki,Yoshinobu Amakusa,Yu Kawakami,Kenta Kobayashi,Satoshi Yokoi,Masahisa Katsuno

Nature communications 14:8368 PubMed38114471

2023

NEMO reshapes the α-Synuclein aggregate interface and acts as an autophagy adapter by co-condensation with p62.

Applications

Unspecified application

Species

Unspecified reactive species

Nikolas Furthmann,Verian Bader,Lena Angersbach,Alina Blusch,Simran Goel,Ana Sánchez-Vicente,Laura J Krause,Sarah A Chaban,Prerna Grover,Victoria A Trinkaus,Eva M van Well,Maximilian Jaugstetter,Kristina Tschulik,Rune Busk Damgaard,Carsten Saft,Gisa Ellrichmann,Ralf Gold,Arend Koch,Benjamin Englert,Ana Westenberger,Christine Klein,Lisa Jungbluth,Carsten Sachse,Christian Behrends,Markus Glatzel,F Ulrich Hartl,Ken Nakamura,Chadwick W Christine,Eric J Huang,Jörg Tatzelt,Konstanze F Winklhofer

Aging and disease 14:1799-1817 PubMed37196118

2023

TAK1 Improves Cognitive Function via Suppressing RIPK1-Driven Neuronal Apoptosis and Necroptosis in Rats with Chronic Hypertension.

Applications

Unspecified application

Species

Unspecified reactive species

Jing Yang,Pei Sun,Xiangming Xu,Xiaolu Liu,Linfang Lan,Ming Yi,Chi Xiao,Ruichen Ni,Yuhua Fan

Molecular cell 83:3188-3204.e7 PubMed37683611

2023

Damaged mitochondria recruit the effector NEMO to activate NF-κB signaling.

Applications

Unspecified application

Species

Unspecified reactive species

Olivia Harding,Elisabeth Holzer,Julia F Riley,Sascha Martens,Erika L F Holzbaur
View all publications

Product promise

We are committed to supporting your work with high-quality reagents, and we're here for you every step of the way. In the unlikely event that one of our products does not perform as expected, you're protected by our Product Promise.
For full details, please see our Terms & Conditions

Please note: All products are 'FOR RESEARCH USE ONLY. NOT FOR USE IN DIAGNOSTIC OR THERAPEUTIC PROCEDURES'.

For licensing inquiries, please contact partnerships@abcam.com