JavaScript is disabled in your browser. Please enable JavaScript to view this website.
AB230832

Anti-IKK gamma/NEMO antibody [EPR16629] - BSA and Azide free

5

(1 Review)

|

(2 Publications)

Rabbit Recombinant Monoclonal IKK gamma/NEMO antibody. Carrier free. Suitable for IP, WB, ICC/IF, IHC-P and reacts with Human, Rat, Mouse samples. Cited in 2 publications.

View Alternative Names

FIP3, NEMO, IKBKG, NF-kappa-B essential modulator, FIP-3, IkB kinase-associated protein 1, Inhibitor of nuclear factor kappa-B kinase subunit gamma, NF-kappa-B essential modifier, IKKAP1, I-kappa-B kinase subunit gamma, IKK-gamma, IKKG, IkB kinase subunit gamma

7 Images
Immunocytochemistry/ Immunofluorescence - Anti-IKK gamma/NEMO antibody [EPR16629] - BSA and Azide free (AB230832)
  • ICC/IF

Supplier Data

Immunocytochemistry/ Immunofluorescence - Anti-IKK gamma/NEMO antibody [EPR16629] - BSA and Azide free (AB230832)

This ICC data was generated using the same anti-IKK gamma/NEMO antibody clone, EPR16629, in a different buffer formulation (cat# ab178872).

Immunofluorescence analysis of 4% paraformaldehyde fixed, 0.1% Triton X-100 permeabilized HeLa cells (Human epithelial cells from cervix adenocarcinoma) labeling IKK gamma (green) with ab178872 at 1/250 dilution showing cytoplasm and nucleus staining. Secondary ab : Goat anti rabbit IgG (Alexa Fluor® 488) (ab150077) at 1/200 dilution. Counter stain is labeling tubulin (red) with ab7291 at 1/500 dilution with secondary antibody Goat anti-Mouse AlexaFluor® 594 (ab150120) at 1/400 dilution. DAPI stains the nucleus in blue. -ve control 1 is ab178872 at 1/250 dilution, ab150120 at 1/400 dilution. -ve control 2 is ab7291 at 1/500 dilution, ab150077 at 1/200 dilution.

Immunohistochemistry (Formalin/PFA-fixed paraffin-embedded sections) - Anti-IKK gamma/NEMO antibody [EPR16629] - BSA and Azide free (AB230832)
  • IHC-P

Supplier Data

Immunohistochemistry (Formalin/PFA-fixed paraffin-embedded sections) - Anti-IKK gamma/NEMO antibody [EPR16629] - BSA and Azide free (AB230832)

This IHC data was generated using the same anti-IKK gamma/NEMO antibody clone, EPR16629, in a different buffer formulation (cat# ab178872).

Immunohistochemical analysis of paraffin embedded human colonic adenocarcinoma tissue labeling IKK gamma with ab178872 at 1/100 dilution followed by prediluted HRP Polymer for Rabbit/Mouse IgG. Cytoplasmic staining on colonic adenocarcinoma is observed.

Negative control : Using PBS instead of primary ab, secondary ab ImmunoHistoprobe (Ready to use) HRP Polymer for Rabbit/Mouse IgG.

Heat mediated antigen retrieval was performed with Tris/EDTA buffer pH 9.0 before commencing with IHC staining protocol.

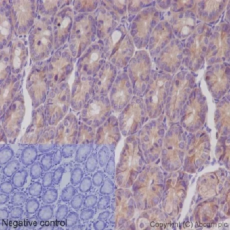
Immunohistochemistry (Formalin/PFA-fixed paraffin-embedded sections) - Anti-IKK gamma/NEMO antibody [EPR16629] - BSA and Azide free (AB230832)
  • IHC-P

Supplier Data

Immunohistochemistry (Formalin/PFA-fixed paraffin-embedded sections) - Anti-IKK gamma/NEMO antibody [EPR16629] - BSA and Azide free (AB230832)

Immunohistochemical analysis of paraffin embedded Rat colon tissue labeling IKK gamma/NEMO with ab178872 at 1/100 dilution followed by prediluted HRP Polymer for Rabbit/Mouse IgG. Counter stain is Hematoxylin. Cytoplasm staining on epithelial cells of rat colon is observed.

Negative control : Using PBS instead of primary ab, secondary ab as above.

This data was developed using the same antibody clone in a different buffer formulation containing PBS, BSA, glycerol, and sodium azide (ab178872).

Heat mediated antigen retrieval was performed with Tris/EDTA buffer pH 9.0 before commencing with IHC staining protocol.

Immunocytochemistry/ Immunofluorescence - Anti-IKK gamma/NEMO antibody [EPR16629] - BSA and Azide free (AB230832)
  • ICC/IF

Supplier Data

Immunocytochemistry/ Immunofluorescence - Anti-IKK gamma/NEMO antibody [EPR16629] - BSA and Azide free (AB230832)

Immunofluorescence analysis of 4% paraformaldehyde fixed, 0.1% Triton X-100 permeabilized NIH/3T3 cells (Mouse embyro fibroblast cells) labeling IKK gamma/NEMO (green) with ab178872 at 1/250 dilution showing cytoplasm and nucleus staining. Secondary ab : Goat anti rabbit IgG (Alexa Fluor® 488) (ab150077) at 1/200 dilution. Counter stain is labeling tubulin (red) with ab7291 at 1/500 dilution with secondary antibody Goat anti-Mouse AlexaFluor® 594 (ab150120) at 1/400 dilution. DAPI stains the nucleus in blue. -ve control 1 is ab178872 at 1/250 dilution, ab150120 at 1/400 dilution. -ve control 2 is ab7291 at 1/500 dilution, ab150077 at 1/200 dilution.

This data was developed using the same antibody clone in a different buffer formulation containing PBS, BSA, glycerol, and sodium azide (ab178872).

Immunoprecipitation - Anti-IKK gamma/NEMO antibody [EPR16629] - BSA and Azide free (AB230832)
  • IP

Supplier Data

Immunoprecipitation - Anti-IKK gamma/NEMO antibody [EPR16629] - BSA and Azide free (AB230832)

IKK gamma/NEMO was immunoprecipitated from 1mg of HeLa (Human epithelial cells from cervix adenocarcinoma) whole cell extract with ab178872 at 1/50 dilution. Western blot was performed of the immunoprecipitate using ab178872 at 1/1000 dilution. Anti-Rabbit IgG (HRP), specific to the non-reduced form of IgG, was used as secondary antibody at 1/1500 dilution. Left lane : HeLa whole cell extract. Right lane : PBS instead of HeLa whole cell extract.

Blocking buffer and concentration : 5% NFDM/TBST.

Diluting buffer and concentration : 5% NFDM/TBST.

This data was developed using the same antibody clone in a different buffer formulation containing PBS, BSA, glycerol, and sodium azide (ab178872).

All lanes:

Immunoprecipitation - Anti-IKK gamma/NEMO antibody [EPR16629] (<a href='/en-us/products/primary-antibodies/ikk-gamma-nemo-antibody-epr16629-ab178872'>ab178872</a>)

Predicted band size: 48 kDa

Observed band size: 37-60 kDa

false

Western blot - Anti-IKK gamma/NEMO antibody [EPR16629] - BSA and Azide free (AB230832)
  • WB

Lab

Western blot - Anti-IKK gamma/NEMO antibody [EPR16629] - BSA and Azide free (AB230832)

This WB data was generated using the same anti-IKK gamma antibody clone, EPR16629, in a different buffer formulation (cat# ab178872).

Lane 1 : Wild-type HAP1 cell lysate (20 μg)
Lane 2 : IKK gamma/NEMO knockout HAP1 cell lysate (20 μg)
Lane 3 : Jurkat cell lysate (20 μg)
Lane 4 : K562 cell lysate (20 μg)
Lanes 1 - 4 : Merged signal (red and green). Green - ab178872 observed at 40, 45, 50 kDa. Red - loading control, ab8245, observed at 37 kDa.

ab178872 was shown to react with IKK gamma in wild-type HAP1 cells along with additional cross-reactive bands. No band was observed when IKK gamma/NEMO knockout samples were examined. Wild-type and IKK gamma/NEMO knockout samples were subjected to SDS-PAGE. ab178872 and ab8245 (loading control to GAPDH) were diluted at 1/5000 and 1/10,000 respectively and incubated overnight at 4°C. Blots were developed with Goat anti-Rabbit IgG H&L (IRDye® 800CW) preadsorbed (ab216773) and Goat anti-Mouse IgG H&L (IRDye® 680RD) preadsorbed (ab216776) secondary antibodies at 1/10,000 dilution for 1 hour at room temperature before imaging.

All lanes:

Western blot - Anti-IKK gamma/NEMO antibody [EPR16629] (<a href='/en-us/products/primary-antibodies/ikk-gamma-nemo-antibody-epr16629-ab178872'>ab178872</a>)

Predicted band size: 48 kDa

false

Western blot - Anti-IKK gamma/NEMO antibody [EPR16629] - BSA and Azide free (AB230832)
  • WB

Lab

Western blot - Anti-IKK gamma/NEMO antibody [EPR16629] - BSA and Azide free (AB230832)

This data was developed using the same antibody clone in a different buffer formulation (ab178872).

Lanes 1- 2 : Merged signal (red and green). Green - ab178872 observed at 48 kDa. Red - Anti-GAPDH antibody [6C5] - Loading Control (ab8245) observed at 37 kDa.

ab178872 was shown to react with IKK gamma/NEMO in wild-type HEK-293T cells in western blot. The band observed in CRISPR/Cas9 edited cell line ab266674 (CRISPR/Cas9 edited cell lysate ab257153) lane below 48kDa may represent truncated forms and cleaved fragments. This has not been investigated further. Wild-type HEK-293T and IKBKG CRISPR/Cas9 edited HEK-293T cell lysates were subjected to SDS-PAGE. Membrane was blocked for 1 hour at room temperature in 0.1% TBST with 3% non-fat dried milk. ab178872 and Anti-GAPDH antibody [6C5] - Loading Control (ab8245) were incubated overnight at 4°C at a 1 in 1000 dilution and a 1 in 20000 dilution respectively. Blots were developed with Goat anti-Rabbit IgG H&L (IRDye®800CW) preadsorbed (ab216773) and Goat anti-Mouse IgG H&L (IRDye®680RD) preadsorbed (ab216776) secondary antibodies at 1 in 20000 dilution for 1 hour at room temperature before imaging.

All lanes:

Western blot - Anti-IKK gamma/NEMO antibody [EPR16629] (<a href='/en-us/products/primary-antibodies/ikk-gamma-nemo-antibody-epr16629-ab178872'>ab178872</a>) at 1/1000 dilution

Lane 1:

Wild-type HEK-293T cell lysate at 20 µg

Lane 2:

IKBKG CRISPR/Cas9 edited HEK-293T cell lysate at 20 µg

Lane 2:

Western blot - Human IKBKG (IKK gamma/NEMO) knockout HEK-293T cell line (<a href='/en-us/products/cell-lines/human-ikbkg-ikk-gamma-nemo-knockout-hek-293t-cell-line-ab266674'>ab266674</a>)

Predicted band size: 48 kDa

Observed band size: 48 kDa

false

Key facts

Host species

Rabbit

Clonality

Monoclonal

Clone number

EPR16629

Isotype

IgG

Carrier free

Yes

Reacts with

Mouse, Rat, Human

Applications

ICC/IF, IP, WB, IHC-P

applications

Immunogen

The exact immunogen used to generate this antibody is proprietary information.

Reactivity data

{ "title": "Reactivity Data", "filters": { "stats": ["", "Species", "Dilution Info", "Notes"], "tabs": { "all-applications": {"fullname" : "All Applications", "shortname": "All Applications"}, "IP" : {"fullname" : "Immunoprecipitation", "shortname":"IP"}, "WB" : {"fullname" : "Western blot", "shortname":"WB"}, "ICCIF" : {"fullname" : "Immunocytochemistry/ Immunofluorescence", "shortname":"ICC/IF"}, "IHCP" : {"fullname" : "Immunohistochemistry (Formalin/PFA-fixed paraffin-embedded sections)", "shortname":"IHC-P"} }, "product-promise": { "all": "all", "testedAndGuaranteed": "tested", "guaranteed": "expected", "predicted": "predicted", "notRecommended": "not-recommended" } }, "values": { "Human": { "IP-species-checked": "testedAndGuaranteed", "IP-species-dilution-info": "", "IP-species-notes": "<p></p>", "WB-species-checked": "testedAndGuaranteed", "WB-species-dilution-info": "", "WB-species-notes": "<p></p>", "ICCIF-species-checked": "guaranteed", "ICCIF-species-dilution-info": "", "ICCIF-species-notes": "", "IHCP-species-checked": "testedAndGuaranteed", "IHCP-species-dilution-info": "", "IHCP-species-notes": "<p></p>" }, "Mouse": { "IP-species-checked": "guaranteed", "IP-species-dilution-info": "", "IP-species-notes": "", "WB-species-checked": "guaranteed", "WB-species-dilution-info": "", "WB-species-notes": "", "ICCIF-species-checked": "testedAndGuaranteed", "ICCIF-species-dilution-info": "", "ICCIF-species-notes": "<p></p>", "IHCP-species-checked": "guaranteed", "IHCP-species-dilution-info": "", "IHCP-species-notes": "" }, "Rat": { "IP-species-checked": "guaranteed", "IP-species-dilution-info": "", "IP-species-notes": "", "WB-species-checked": "testedAndGuaranteed", "WB-species-dilution-info": "", "WB-species-notes": "<p></p>", "ICCIF-species-checked": "guaranteed", "ICCIF-species-dilution-info": "", "ICCIF-species-notes": "", "IHCP-species-checked": "testedAndGuaranteed", "IHCP-species-dilution-info": "", "IHCP-species-notes": "<p></p>" } } }

Product details

ab230832 is the carrier-free version of ab178872.

Conjugation ready
Our carrier-free antibodies are typically supplied in a PBS-only formulation, purified and free of BSA, sodium azide and glycerol. This conjugation-ready format is designed for use with fluorochromes, metal isotopes, oligonucleotides, and enzymes, which makes them ideal for antibody labelling, functional and cell-based assays, flow-based assays (e.g. mass cytometry) and Multiplex Imaging applications.

Use our conjugation kits for antibody conjugates that are ready-to-use in as little as 20 minutes with 1 minute hands-on-time and 100% antibody recovery: available for fluorescent dyes, HRP, biotin and gold.

Compatibility
This product is compatible with the Maxpar® Antibody Labeling Kit from Fluidigm, without the need for antibody preparation. Maxpar® is a trademark of Fluidigm Canada Inc.

Properties and storage information

Form
Liquid
Purification technique
Affinity purification Protein A
Storage buffer
pH: 7.2 - 7.4 Constituents: PBS
Shipped at conditions
Blue Ice
Appropriate short-term storage conditions
+4°C
Appropriate long-term storage conditions
+4°C
Storage information
Do Not Freeze

Product protocols

For this product, it's our understanding that no specific protocols are required. You can visit:

Target data

Regulatory subunit of the IKK core complex which phosphorylates inhibitors of NF-kappa-B thus leading to the dissociation of the inhibitor/NF-kappa-B complex and ultimately the degradation of the inhibitor (PubMed : 14695475, PubMed : 20724660, PubMed : 21518757, PubMed : 9751060). Its binding to scaffolding polyubiquitin plays a key role in IKK activation by multiple signaling receptor pathways (PubMed : 16547522, PubMed : 18287044, PubMed : 19033441, PubMed : 19185524, PubMed : 21606507, PubMed : 27777308, PubMed : 33567255). Can recognize and bind both 'Lys-63'-linked and linear polyubiquitin upon cell stimulation, with a much higher affinity for linear polyubiquitin (PubMed : 16547522, PubMed : 18287044, PubMed : 19033441, PubMed : 19185524, PubMed : 21606507, PubMed : 27777308). Could be implicated in NF-kappa-B-mediated protection from cytokine toxicity. Essential for viral activation of IRF3 (PubMed : 19854139). Involved in TLR3- and IFIH1-mediated antiviral innate response; this function requires 'Lys-27'-linked polyubiquitination (PubMed : 20724660).. (Microbial infection) Also considered to be a mediator for HTLV-1 Tax oncoprotein activation of NF-kappa-B.
See full target information IKBKG

Publications (2)

Recent publications for all applications. Explore the full list and refine your search

Virologica Sinica 38:900-910 PubMed37714433

2023

Classical swine fever virus NS5A protein antagonizes innate immune response by inhibiting the NF-κB signaling.

Applications

Unspecified application

Species

Unspecified reactive species

Jinfu Sun,Jiaying Li,Liming Li,Haixiao Yu,Ping Ma,Yingnan Wang,Jinqi Zhu,Zezhong Feng,Changchun Tu

Genetics in medicine : official journal of the American College of Medical Genetics 24:1821-1830 PubMed35616648

2022

Cancer Risk C (CR-C), a functional genomics test is a sensitive and rapid test for germline mismatch repair deficiency.

Applications

Unspecified application

Species

Unspecified reactive species

Ishraq Alim,Johnny Loke,Sarah Yam,Allyson S Templeton,Polly Newcomb,Noralane M Lindor,Rish K Pai,Mark A Jenkins,Daniel D Buchanan,Steven Gallinger,Susan Klugman,Harry Ostrer
View all publications

Product promise

We are committed to supporting your work with high-quality reagents, and we're here for you every step of the way. In the unlikely event that one of our products does not perform as expected, you're protected by our Product Promise.
For full details, please see our Terms & Conditions

Please note: All products are 'FOR RESEARCH USE ONLY. NOT FOR USE IN DIAGNOSTIC OR THERAPEUTIC PROCEDURES'.

For licensing inquiries, please contact partnerships@abcam.com