JavaScript is disabled in your browser. Please enable JavaScript to view this website.
AB289973

Anti-IKKi/IKKe+NAK/TBK1 antibody [EPR25258-15]

  • BOND RX™ Validated
  • 20ul selling size
  • RabMAb
  • Recombinant
  • What is this?

Be the first to review this product! Submit a review

|

(0 Publication)

Rabbit Recombinant Monoclonal IKKi/IKKe antibody. Suitable for WB, IHC-P, Flow Cyt (Intra), IP and reacts with Mouse, Human, Rat samples.

View Alternative Names

IKKE, IKKI, KIAA0151, IKBKE, Inhibitor of nuclear factor kappa-B kinase subunit epsilon, I-kappa-B kinase epsilon, IKK-E, IKK-epsilon, IkBKE, Inducible I kappa-B kinase, IKK-i

9 Images
Flow Cytometry (Intracellular) - Anti-IKKi/IKKe+NAK/TBK1 antibody [EPR25258-15] (AB289973)
  • Flow Cyt (Intra)

Supplier Data

Flow Cytometry (Intracellular) - Anti-IKKi/IKKe+NAK/TBK1 antibody [EPR25258-15] (AB289973)

Flow cytometric analysis of 4% paraformaldehyde fixed 90% methanol permeabilized 293T (Human embryonic kidney epithelial cell) cells labelling IKKi/IKKe+NAK/TBK1 with ab289973 at 1/50 dilution (1ug) (Red) (Red) compared with a Rabbit monoclonal IgG (ab172730) (Black) isotype control and an unlabelled control (cells without incubation with primary antibody and secondary antibody) (Blue). A Goat Anti-Rabbit IgG (Alexa Fluor® 488, ab150081) at 1/2000 dilution was used as the secondary antibody.

Immunohistochemistry (Formalin/PFA-fixed paraffin-embedded sections) - Anti-IKKi/IKKe+NAK/TBK1 antibody [EPR25258-15] (AB289973)
  • IHC-P

Supplier Data

Immunohistochemistry (Formalin/PFA-fixed paraffin-embedded sections) - Anti-IKKi/IKKe+NAK/TBK1 antibody [EPR25258-15] (AB289973)

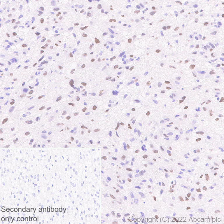
Immunohistochemical analysis of paraffin-embedded Human glioma tissue labeling IKKi/IKKe+NAK/TBK1 with ab289973 at 1/500 (1.088 ug/ml) followed by a ready to use Rabbit specific IHC polymer detection kit HRP/DAB (ab209101). Nuclear staining on human glioma (PMID : 21171089). The section was incubated with ab289973 for 30 mins at room temperature.The immunostaining was performed on a Leica Biosystems BOND® RX instrument Counterstained with Hematoxylin. Secondary antibody only control : Secondary antibody is a ready to use Rabbit specific IHC polymer detection kit HRP/DAB (ab209101). Heat mediated antigen retrieval with Tris-EDTA buffer (pH 9.0, epitope retrieval solution2) for 20 mins

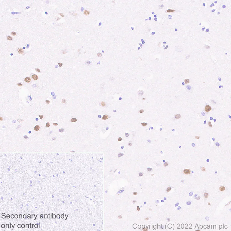
Immunohistochemistry (Formalin/PFA-fixed paraffin-embedded sections) - Anti-IKKi/IKKe+NAK/TBK1 antibody [EPR25258-15] (AB289973)
  • IHC-P

Supplier Data

Immunohistochemistry (Formalin/PFA-fixed paraffin-embedded sections) - Anti-IKKi/IKKe+NAK/TBK1 antibody [EPR25258-15] (AB289973)

Immunohistochemical analysis of paraffin-embedded Human cerebrum tissue labeling IKKi/IKKe+NAK/TBK1 with ab289973 at 1/500 (1.088 ug/ml) followed by a ready to use Rabbit specific IHC polymer detection kit HRP/DAB (ab209101). Nuclear staining on human cerebrum (PMID : 21171089). The section was incubated with ab289973 for 30 mins at room temperature.The immunostaining was performed on a Leica Biosystems BOND® RX instrument Counterstained with Hematoxylin. Secondary antibody only control : Secondary antibody is a ready to use Rabbit specific IHC polymer detection kit HRP/DAB (ab209101). Heat mediated antigen retrieval with Tris-EDTA buffer (pH 9.0, epitope retrieval solution2) for 20 mins

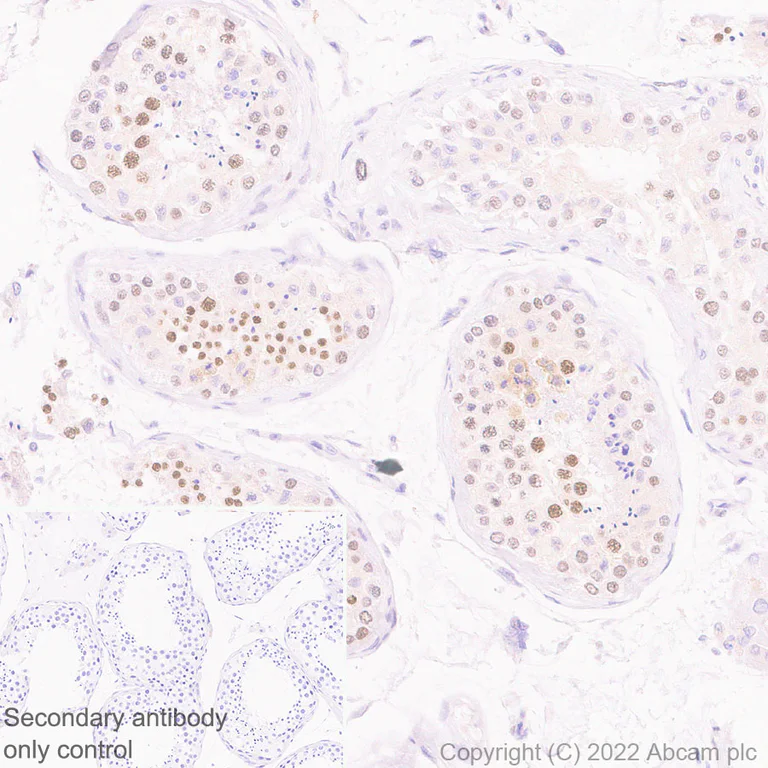
Immunohistochemistry (Formalin/PFA-fixed paraffin-embedded sections) - Anti-IKKi/IKKe+NAK/TBK1 antibody [EPR25258-15] (AB289973)
  • IHC-P

Supplier Data

Immunohistochemistry (Formalin/PFA-fixed paraffin-embedded sections) - Anti-IKKi/IKKe+NAK/TBK1 antibody [EPR25258-15] (AB289973)

Immunohistochemical analysis of paraffin-embedded Human testis tissue labeling IKKi/IKKe+NAK/TBK1 with ab289973 at 1/500 (1.088 ug/ml) followed by a ready to use Rabbit specific IHC polymer detection kit HRP/DAB (ab209101). Nuclear staining on human testis. The section was incubated with ab289973 for 30 mins at room temperature.The immunostaining was performed on a Leica Biosystems BOND® RX instrument Counterstained with Hematoxylin. Secondary antibody only control : Secondary antibody is a ready to use Rabbit specific IHC polymer detection kit HRP/DAB (ab209101). Heat mediated antigen retrieval with Tris-EDTA buffer (pH 9.0, epitope retrieval solution2) for 20 mins

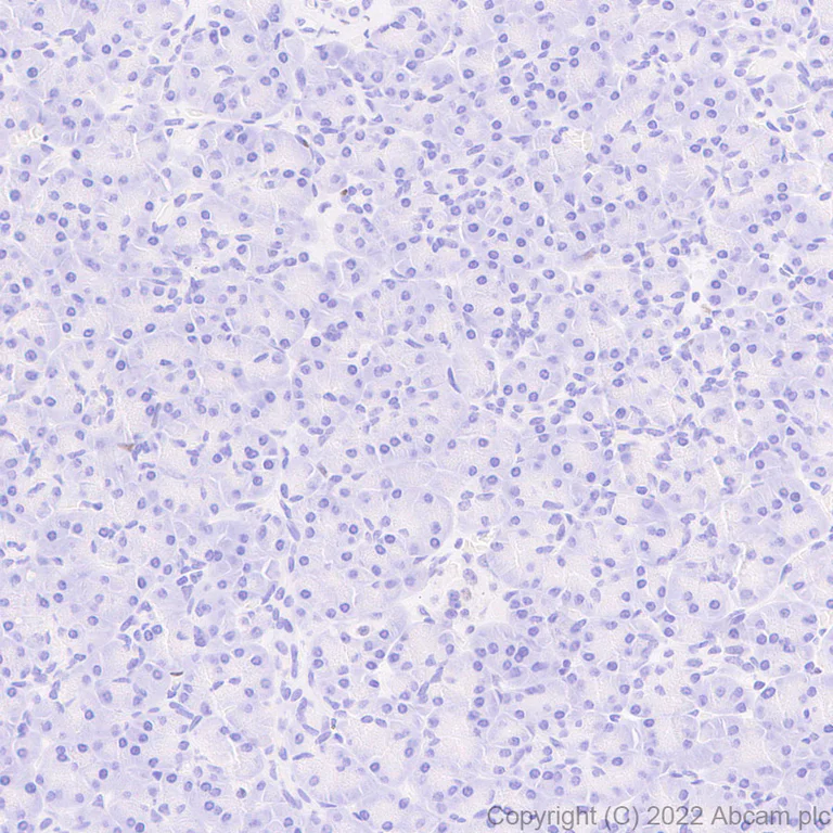
Immunohistochemistry (Formalin/PFA-fixed paraffin-embedded sections) - Anti-IKKi/IKKe+NAK/TBK1 antibody [EPR25258-15] (AB289973)
  • IHC-P

Supplier Data

Immunohistochemistry (Formalin/PFA-fixed paraffin-embedded sections) - Anti-IKKi/IKKe+NAK/TBK1 antibody [EPR25258-15] (AB289973)

Immunohistochemical analysis of paraffin-embedded Human pancreas tissue labeling IKKi/IKKe+NAK/TBK1 with ab289973 at 1/500 (1.088 ug/ml) followed by a ready to use Rabbit specific IHC polymer detection kit HRP/DAB (ab209101). Negative control : No staining in human pancreas (PMID : 28069799). The section was incubated with ab289973 for 30 mins at room temperature.The immunostaining was performed on a Leica Biosystems BOND® RX instrument Counterstained with Hematoxylin. Secondary antibody only control : Secondary antibody is a ready to use Rabbit specific IHC polymer detection kit HRP/DAB (ab209101). Heat mediated antigen retrieval with Tris-EDTA buffer (pH 9.0, epitope retrieval solution2) for 20 mins

Western blot - Anti-IKKi/IKKe+NAK/TBK1 antibody [EPR25258-15] (AB289973)
  • WB

Supplier Data

Western blot - Anti-IKKi/IKKe+NAK/TBK1 antibody [EPR25258-15] (AB289973)

Blocking and diluting buffer and concentration : 5% NFDM/TBST Low expression tissue : pancreas(PMID : 21171089).

All lanes:

Western blot - Anti-IKKi/IKKe+NAK/TBK1 antibody [EPR25258-15] (ab289973) at 1/1000 dilution

Lane 1:

Human testis tissue lysate 20 µg

Lane 2:

Human pancreas tissue lysate 20 µg

Secondary

All lanes:

Goat Anti-Rabbit IgG (HRP) with minimal cross-reactivity with human IgG at 1/2000 dilution

Observed band size: 80 kDa

false

Exposure time: 103s

Western blot - Anti-IKKi/IKKe+NAK/TBK1 antibody [EPR25258-15] (AB289973)
  • WB

Supplier Data

Western blot - Anti-IKKi/IKKe+NAK/TBK1 antibody [EPR25258-15] (AB289973)

Blocking and diluting buffer and concentration : 5% NFDM/TBST Lysates were freshly made and used immediately to minimize protein degradation. The expression profile/ molecular weight observed is consistent with what has been described in the literature (PMID : 30420664)

All lanes:

Western blot - Anti-IKKi/IKKe+NAK/TBK1 antibody [EPR25258-15] (ab289973) at 1/1000 dilution

Lane 1:

HeLa (human cervix adenocarcinoma epithelial cell) whole cell lysate 20 µg

Lane 2:

293T (human embryonic kidney epithelial cell) whole cell lysate 20 µg

Lane 3:

NIH/3T3 (mouse embryonic fibroblast) whole cell lysate 20 µg

Lane 4:

PC-12 (rat adrenal gland pheochromocytoma) whole cell lysate 20 µg

Secondary

All lanes:

Western blot - Goat Anti-Rabbit IgG H&L (HRP) (<a href='/en-us/products/secondary-antibodies/goat-rabbit-igg-h-l-hrp-ab97051'>ab97051</a>) at 1/20000 dilution

Observed band size: 80 kDa

false

Exposure time: 26s

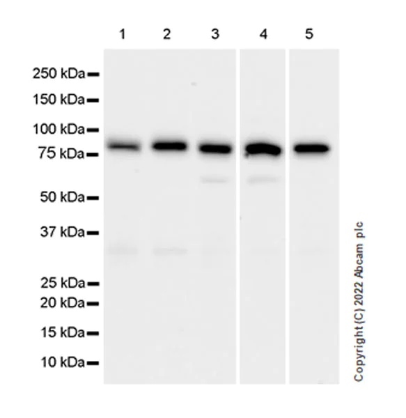
Western blot - Anti-IKKi/IKKe+NAK/TBK1 antibody [EPR25258-15] (AB289973)
  • WB

Supplier Data

Western blot - Anti-IKKi/IKKe+NAK/TBK1 antibody [EPR25258-15] (AB289973)

Blocking and diluting buffer and concentration : 5% NFDM/TBST

All lanes:

Western blot - Anti-IKKi/IKKe+NAK/TBK1 antibody [EPR25258-15] (ab289973) at 1/1000 dilution

Lane 1:

HCT 116 (human colorectal carcinoma epithelial cell) whole cell lysate 20 µg

Lane 2:

DLD-1 (Human colorectal adenocarcinoma cell line) whole cell lysate 20 µg

Lane 3:

RAW 264.7 (mouse abelson murine leukemia virus-induced tumor macrophage) whole cell lysate 20 µg

Lane 4:

2.4G2 (rat b cell lymphoma b lymphocyte) whole cell lysate 20 µg

Lane 5:

C6 (rat glial tumor glial cell) whole cell lysate 20 µg

Secondary

All lanes:

Western blot - Goat Anti-Rabbit IgG H&L (HRP) (<a href='/en-us/products/secondary-antibodies/goat-rabbit-igg-h-l-hrp-ab97051'>ab97051</a>) at 1/20000 dilution

Observed band size: 80 kDa

false

Exposure time: 26s

Western blot - Anti-IKKi/IKKe+NAK/TBK1 antibody [EPR25258-15] (AB289973)
  • WB

Supplier Data

Western blot - Anti-IKKi/IKKe+NAK/TBK1 antibody [EPR25258-15] (AB289973)

Blocking and diluting buffer and concentration : 5% NFDM/TBST

All lanes:

Western blot - Anti-IKKi/IKKe+NAK/TBK1 antibody [EPR25258-15] (ab289973) at 1/1000 dilution

Lane 1:

His-tagged mouse IKKi/IKKe recombinant protein(aa9-315) 10 ng

Lane 2:

His-tagged mouse NAK/TBK1 recombinant protein(aa9-315) 10 ng

Secondary

All lanes:

Western blot - Goat Anti-Rabbit IgG H&L (HRP) (<a href='/en-us/products/secondary-antibodies/goat-rabbit-igg-h-l-hrp-ab97051'>ab97051</a>) at 1/20000 dilution

Observed band size: 34 kDa

false

Exposure time: 15s

Key facts

Host species

Rabbit

Clonality

Monoclonal

Clone number

EPR25258-15

Isotype

IgG

Carrier free

No

Reacts with

Human, Mouse, Rat

Applications

WB, IP, IHC-P, Flow Cyt (Intra)

applications

Immunogen

The exact immunogen used to generate this antibody is proprietary information.

Reactivity data

{ "title": "Reactivity Data", "filters": { "stats": ["", "Species", "Dilution Info", "Notes"], "tabs": { "all-applications": {"fullname" : "All Applications", "shortname": "All Applications"}, "WB" : {"fullname" : "Western blot", "shortname":"WB"}, "IHCP" : {"fullname" : "Immunohistochemistry (Formalin/PFA-fixed paraffin-embedded sections)", "shortname":"IHC-P"}, "ICCIF" : {"fullname" : "Immunocytochemistry/ Immunofluorescence", "shortname":"ICC/IF"}, "FlowCytIntra" : {"fullname" : "Flow Cytometry (Intracellular)", "shortname":"Flow Cyt (Intra)"}, "IP" : {"fullname" : "Immunoprecipitation", "shortname":"IP"} }, "product-promise": { "all": "all", "testedAndGuaranteed": "tested", "guaranteed": "expected", "predicted": "predicted", "notRecommended": "not-recommended" } }, "values": { "Human": { "WB-species-checked": "testedAndGuaranteed", "WB-species-dilution-info": "1/1000", "WB-species-notes": "<p></p>", "IHCP-species-checked": "testedAndGuaranteed", "IHCP-species-dilution-info": "1/500", "IHCP-species-notes": "<p></p> Perform heat-mediated antigen retrieval with Tris/EDTA buffer pH 9.0 before commencing with IHC staining protocol.", "ICCIF-species-checked": "notRecommended", "ICCIF-species-dilution-info": "", "ICCIF-species-notes": "<p></p>", "FlowCytIntra-species-checked": "testedAndGuaranteed", "FlowCytIntra-species-dilution-info": "1/50", "FlowCytIntra-species-notes": "<p></p>", "IP-species-checked": "testedAndGuaranteed", "IP-species-dilution-info": "1/30", "IP-species-notes": "<p></p>" }, "Mouse": { "WB-species-checked": "testedAndGuaranteed", "WB-species-dilution-info": "1/1000", "WB-species-notes": "<p></p>", "IHCP-species-checked": "notRecommended", "IHCP-species-dilution-info": "1/500", "IHCP-species-notes": "<p></p> Perform heat-mediated antigen retrieval with Tris/EDTA buffer pH 9.0 before commencing with IHC staining protocol.", "ICCIF-species-checked": "notRecommended", "ICCIF-species-dilution-info": "", "ICCIF-species-notes": "<p></p>", "FlowCytIntra-species-checked": "notRecommended", "FlowCytIntra-species-dilution-info": "1/50", "FlowCytIntra-species-notes": "<p></p>", "IP-species-checked": "notRecommended", "IP-species-dilution-info": "1/30", "IP-species-notes": "<p></p>" }, "Rat": { "WB-species-checked": "testedAndGuaranteed", "WB-species-dilution-info": "1/1000", "WB-species-notes": "<p></p>", "IHCP-species-checked": "notRecommended", "IHCP-species-dilution-info": "1/500", "IHCP-species-notes": "<p></p> Perform heat-mediated antigen retrieval with Tris/EDTA buffer pH 9.0 before commencing with IHC staining protocol.", "ICCIF-species-checked": "notRecommended", "ICCIF-species-dilution-info": "", "ICCIF-species-notes": "", "FlowCytIntra-species-checked": "guaranteed", "FlowCytIntra-species-dilution-info": "", "FlowCytIntra-species-notes": "", "IP-species-checked": "guaranteed", "IP-species-dilution-info": "", "IP-species-notes": "" } } }

Product details

Patented technology
Our RabMAb® technology is a patented hybridoma-based technology for making rabbit monoclonal antibodies. For details on our patents, please refer to RabMAb® patents.

What are the advantages of a recombinant monoclonal antibody?
This product is a recombinant monoclonal antibody, which offers several advantages including:

  • - High batch-to-batch consistency and reproducibility
  • - Improved sensitivity and specificity
  • - Long-term security of supply
  • - Animal-free batch production

For more information, read more on recombinant antibodies.

Properties and storage information

Form
Liquid
Purification technique
Affinity purification Protein A
Storage buffer
pH: 7.2 - 7.4 Preservative: 0.01% Sodium azide Constituents: PBS, 40% Glycerol (glycerin, glycerine), 0.05% BSA
Shipped at conditions
Blue Ice
Appropriate short-term storage duration
1-2 weeks
Appropriate short-term storage conditions
+4°C
Appropriate long-term storage conditions
-20°C
Aliquoting information
Upon delivery aliquot
Storage information
Avoid freeze / thaw cycle

Supplementary information

This supplementary information is collated from multiple sources and compiled automatically.

The NAK/TBK1 also known by its alternate names IKKi or IKKε is a serine/threonine kinase enzyme with a molecular mass of about 84 kDa. This protein is highly expressed in tissues including the spleen thymus and pancreas. It functions mechanically by phosphorylating target substrates which modifies their activity and impacts downstream signaling processes. TBK1 and IKKε share a similar structure and therefore can perform overlapping roles in cell signaling reflecting their critical importance in maintaining cellular responses.
Biological function summary

This kinase plays a role in the innate immune response and acts as an important regulator for synthesizing type I interferons. TBK1 and IKKε are part of a larger complex that includes other kinases such as TRAF3 and TRAF6 which activate transcription factors like IRF3 and NF-κB. Through this regulation TBK1 and IKKε enzymes execute functions necessary for antiviral defense and inflammation impacting cell proliferation and survival.

Pathways

TBK1 and IKKε are integral to the Toll-like receptor (TLR) and RIG-I-like receptor (RLR) signaling pathways. These pathways drive the production of pro-inflammatory cytokines and type I interferons orchestrating a robust antiviral response. TBK1 collaborates with proteins such as IRF3 and IRF7 to propagate signals that help in counteracting viral replication. Its role in these pathways enhances the body's ability to recognize and respond to pathogenic threats.

TBK1 and IKKε are linked to conditions such as cancer and inflammatory diseases. Dysregulation of TBK1 activity often associates with heightened inflammation and malignancies including lung adenocarcinomas. Co-factors like TRAF3 can regulate TBK1-related signaling in pathological conditions influencing cell survival and immune evasion in tumors. The understanding of TBK1 and IKKε in these contexts highlights their importance as potential targets for therapeutic intervention.

Product protocols

For this product, it's our understanding that no specific protocols are required. You can visit:

Target data

Serine/threonine kinase that plays an essential role in regulating inflammatory responses to viral infection, through the activation of the type I IFN, NF-kappa-B and STAT signaling. Also involved in TNFA and inflammatory cytokines, like Interleukin-1, signaling. Following activation of viral RNA sensors, such as RIG-I-like receptors, associates with DDX3X and phosphorylates interferon regulatory factors (IRFs), IRF3 and IRF7, as well as DDX3X. This activity allows subsequent homodimerization and nuclear translocation of the IRF3 leading to transcriptional activation of pro-inflammatory and antiviral genes including IFNB. In order to establish such an antiviral state, IKBKE forms several different complexes whose composition depends on the type of cell and cellular stimuli. Thus, several scaffolding molecules including IPS1/MAVS, TANK, AZI2/NAP1 or TBKBP1/SINTBAD can be recruited to the IKBKE-containing-complexes. Activated by polyubiquitination in response to TNFA and interleukin-1, regulates the NF-kappa-B signaling pathway through, at least, the phosphorylation of CYLD. Phosphorylates inhibitors of NF-kappa-B thus leading to the dissociation of the inhibitor/NF-kappa-B complex and ultimately the degradation of the inhibitor. In addition, is also required for the induction of a subset of ISGs which displays antiviral activity, may be through the phosphorylation of STAT1 at 'Ser-708'. Phosphorylation of STAT1 at 'Ser-708' seems also to promote the assembly and DNA binding of ISGF3 (STAT1 : STAT2 : IRF9) complexes compared to GAF (STAT1 : STAT1) complexes, in this way regulating the balance between type I and type II IFN responses. Protects cells against DNA damage-induced cell death. Also plays an important role in energy balance regulation by sustaining a state of chronic, low-grade inflammation in obesity, wich leads to a negative impact on insulin sensitivity. Phosphorylates AKT1.
See full target information IKBKE

Additional targets

Tbk1

Product promise

We are committed to supporting your work with high-quality reagents, and we're here for you every step of the way. In the unlikely event that one of our products does not perform as expected, you're protected by our Product Promise.
For full details, please see our Terms & Conditions

Please note: All products are 'FOR RESEARCH USE ONLY. NOT FOR USE IN DIAGNOSTIC OR THERAPEUTIC PROCEDURES'.

For licensing inquiries, please contact partnerships@abcam.com