JavaScript is disabled in your browser. Please enable JavaScript to view this website.
AB134288

Anti-IKZF3 antibody

Be the first to review this product! Submit a review

|

(1 Publication)

Rabbit Polyclonal IKZF3 antibody. Suitable for IHC-P and reacts with Human samples. Cited in 1 publication. Immunogen corresponding to Synthetic Peptide within Human IKZF3 aa 350-400.

View Alternative Names

ZNFN1A3, IKZF3, Zinc finger protein Aiolos, Ikaros family zinc finger protein 3

1 Images
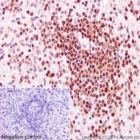
Immunohistochemistry (Formalin/PFA-fixed paraffin-embedded sections) - Anti-IKZF3 antibody (AB134288)
  • IHC-P

Unknown

Immunohistochemistry (Formalin/PFA-fixed paraffin-embedded sections) - Anti-IKZF3 antibody (AB134288)

Immunohistochemical analysis of paraffin embedded Human tonsil tissue labelled with ab134288 at 10 μg/ml, followed by biotinylated goat anti-rabbit IgG secondary antibody, alkaline phosphatase-streptavidin and chromogen.

Key facts

Host species

Rabbit

Clonality

Polyclonal

Isotype

IgG

Carrier free

No

Reacts with

Human

Applications

IHC-P

applications

Immunogen

Synthetic Peptide within Human IKZF3 aa 350-400. The exact immunogen used to generate this antibody is proprietary information.

Q9UKT9

Reactivity data

{ "title": "Reactivity Data", "filters": { "stats": ["", "Species", "Dilution Info", "Notes"], "tabs": { "all-applications": {"fullname" : "All Applications", "shortname": "All Applications"}, "IHCP" : {"fullname" : "Immunohistochemistry (Formalin/PFA-fixed paraffin-embedded sections)", "shortname":"IHC-P"} }, "product-promise": { "all": "all", "testedAndGuaranteed": "tested", "guaranteed": "expected", "predicted": "predicted", "notRecommended": "not-recommended" } }, "values": { "Human": { "IHCP-species-checked": "testedAndGuaranteed", "IHCP-species-dilution-info": "10 µg/mL", "IHCP-species-notes": "<p></p>" }, "Chimpanzee": { "IHCP-species-checked": "predicted", "IHCP-species-dilution-info": "", "IHCP-species-notes": "" }, "Monkey": { "IHCP-species-checked": "predicted", "IHCP-species-dilution-info": "", "IHCP-species-notes": "" } } }

Properties and storage information

Form
Liquid
Purification technique
Affinity purification Immunogen
Storage buffer
Preservative: 0.05% Sodium azide Constituents: 99% PBS, 0.05% BSA
Shipped at conditions
Blue Ice
Appropriate short-term storage conditions
+4°C
Appropriate long-term storage conditions
-20°C
Storage information
Avoid freeze / thaw cycle|Store undiluted

Product protocols

For this product, it's our understanding that no specific protocols are required. You can visit:

Target data

Transcription factor that plays an important role in the regulation of lymphocyte differentiation. Plays an essential role in regulation of B-cell differentiation, proliferation and maturation to an effector state. Involved in regulating BCL2 expression and controlling apoptosis in T-cells in an IL2-dependent manner.
See full target information IKZF3

Publications (1)

Recent publications for all applications. Explore the full list and refine your search

Asia-Pacific journal of clinical oncology 18:e46-e55 PubMed33608991

2021

Disulfiram-copper activates chloride currents and induces apoptosis with tyrosine kinase in prostate cancer cells.

Applications

Unspecified application

Species

Unspecified reactive species

Wei Lei,Jingkui Xu,Yiyao Ya,Jinxiang Zhang,Xiuying Hou,Qiliang Zhai,Zeyu Zha,Yangjia Zhuo,You Zhou,Hong Yuan,Yuxiang Liang,Zhaodong Han,Weide Zhong,Linyan Zhu,Yehui Chen
View all publications

Product promise

We are committed to supporting your work with high-quality reagents, and we're here for you every step of the way. In the unlikely event that one of our products does not perform as expected, you're protected by our Product Promise.
For full details, please see our Terms & Conditions

Please note: All products are 'FOR RESEARCH USE ONLY. NOT FOR USE IN DIAGNOSTIC OR THERAPEUTIC PROCEDURES'.

For licensing inquiries, please contact partnerships@abcam.com