JavaScript is disabled in your browser. Please enable JavaScript to view this website.
AB139408

Anti-IKZF3 antibody [EPR9342(B)]

Be the first to review this product! Submit a review

|

(15 Publications)

Anti-IKZF3 antibody [EPR9342(B)] (ab139408) is a rabbit monoclonal antibody detecting IKZF3 in Western Blot, Flow Cytometry (Intra), Flow Cytometry, IHC-P, ICC/IF. Suitable for Human, Mouse, Rat.

- Biophysical QC for unrivalled batch-batch consistency

View Alternative Names

ZNFN1A3, IKZF3, Zinc finger protein Aiolos, Ikaros family zinc finger protein 3

9 Images
Flow Cytometry (Intracellular) - Anti-IKZF3 antibody [EPR9342(B)] (AB139408)
  • Flow Cyt (Intra)

Lab

Flow Cytometry (Intracellular) - Anti-IKZF3 antibody [EPR9342(B)] (AB139408)

Intracellular Flow Cytometry analysis of Ramos (Human Burkitt's lymphoma cell line cells labeling IKZF3 with purified ab139408 at 1/90 (red).

Cells were fixed with 2% paraformaldehyde. An FITC-conjugated goat anti-rabbit IgG (1/150) was used as the secondary antibody. Black - Isotype control, rabbit monoclonal IgG. Blue - Unlabeled control, cells without incubation with primary and secondary antibodies.

Immunocytochemistry/ Immunofluorescence - Anti-IKZF3 antibody [EPR9342(B)] (AB139408)
  • ICC/IF

Lab

Immunocytochemistry/ Immunofluorescence - Anti-IKZF3 antibody [EPR9342(B)] (AB139408)

Immunocytochemistry/Immunofluorescence analysis of Jurkat (Human T cell leukemia cell line from peripheral blood) cells labeling IKZF3 (green) with purified ab139408 at 1/100.

Cells were fixed with 4% paraformaldehyde and permeabilized with 0.1% Triton X-100. ab150077, an Alexa Fluor® 488-conjugated goat anti-rabbit IgG (1/500) was used as the secondary antibody. DAPI (blue) was used as the nuclear counterstain.

Control : Secondary antibody ab150120, an Alexa Fluor® 594-conjugated goat anti-mouse IgG (1/500).

Immunohistochemistry (Formalin/PFA-fixed paraffin-embedded sections) - Anti-IKZF3 antibody [EPR9342(B)] (AB139408)
  • IHC-P

Unknown

Immunohistochemistry (Formalin/PFA-fixed paraffin-embedded sections) - Anti-IKZF3 antibody [EPR9342(B)] (AB139408)

Immunohistochemistry (Formalin/PFA-fixed paraffin-embedded sections) analysis of human spleen tissue labeling IKZF3 with unpurified ab139408 at 1/250 dilution.

Perform heat mediated antigen retrieval with citrate buffer pH 6 before commencing with IHC staining protocol.

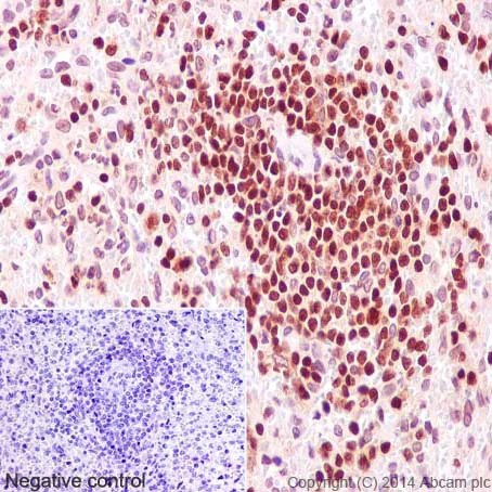
Immunohistochemistry (Formalin/PFA-fixed paraffin-embedded sections) - Anti-IKZF3 antibody [EPR9342(B)] (AB139408)
  • IHC-P

Lab

Immunohistochemistry (Formalin/PFA-fixed paraffin-embedded sections) - Anti-IKZF3 antibody [EPR9342(B)] (AB139408)

Immunohistochemistry (Formalin/PFA-fixed paraffin-embedded sections) analysis of human spleen tissue labeling IKZF3 with purified ab139408 at 1/100.

Heat mediated antigen retrieval was performed using Tris/EDTA buffer pH 9. ab97051, an HRP-conjugated goat anti-rabbit IgG (H+L) was used as the secondary antibody (1/500).

Negative control using PBS instead of primary antibody. Counterstained with hematoxylin.

Immunohistochemistry (Formalin/PFA-fixed paraffin-embedded sections) - Anti-IKZF3 antibody [EPR9342(B)] (AB139408)
  • IHC-P

Lab

Immunohistochemistry (Formalin/PFA-fixed paraffin-embedded sections) - Anti-IKZF3 antibody [EPR9342(B)] (AB139408)

Immunohistochemistry (Formalin/PFA-fixed paraffin-embedded sections) analysis of mouse cardiac muscle tissue labeling IKZF3 with purified ab139408 at 1/100.

Heat mediated antigen retrieval was performed using Tris/EDTA buffer pH 9. ab97051, an HRP-conjugated goat anti-rabbit IgG (H+L) was used as the secondary antibody (1/500).

Negative control using PBS instead of primary antibody. Counterstained with hematoxylin.

Immunohistochemistry (Formalin/PFA-fixed paraffin-embedded sections) - Anti-IKZF3 antibody [EPR9342(B)] (AB139408)
  • IHC-P

Lab

Immunohistochemistry (Formalin/PFA-fixed paraffin-embedded sections) - Anti-IKZF3 antibody [EPR9342(B)] (AB139408)

Immunohistochemistry (Formalin/PFA-fixed paraffin-embedded sections) analysis of rat spleen tissue labeling IKZF3 with purified ab139408 at 1/100.

Heat mediated antigen retrieval was performed using Tris/EDTA buffer pH 9. ab97051, an HRP-conjugated goat anti-rabbit IgG (H+L) was used as the secondary antibody (1/500).

Negative control using PBS instead of primary antibody. Counterstained with hematoxylin.

Western blot - Anti-IKZF3 antibody [EPR9342(B)] (AB139408)
  • WB

Unknown

Western blot - Anti-IKZF3 antibody [EPR9342(B)] (AB139408)

All lanes:

Western blot - Anti-IKZF3 antibody [EPR9342(B)] (ab139408) at 1/1000 dilution

Lane 1:

Human thymus cell lysate at 10 µg

Lane 2:

Jurkat (Human T cell leukemia cell line from peripheral blood) cell lysate at 10 µg

Lane 3:

Raji (Human Burkitt's lymphoma cell line) cell lysate at 10 µg

Lane 4:

Ramos (Human Burkitt's lymphoma cell line) cell lysate at 10 µg

Secondary

All lanes:

HRP labeled goat anti-rabbit at 1/2000 dilution

Predicted band size: 58 kDa

false

Western blot - Anti-IKZF3 antibody [EPR9342(B)] (AB139408)
  • WB

Lab

Western blot - Anti-IKZF3 antibody [EPR9342(B)] (AB139408)

Blocking/Dilution buffer and concentration : 5% NFDM/TBST.

All lanes:

Western blot - Anti-IKZF3 antibody [EPR9342(B)] (ab139408) at 1/20000 dilution

Lane 1:

Raji (Human Burkitt's lymphoma cell line) cell lysate at 20 µg

Lane 2:

Ramos (Human Burkitt's lymphoma cell line) cell lysate at 20 µg

Lane 3:

Jurkat (Human T cell leukemia cell line from peripheral blood) cell lysate at 20 µg

Secondary

All lanes:

Peroxidase conjugated goat anti-rabbit IgG (H+L) at 1/1000 dilution

Predicted band size: 58 kDa

Observed band size: 70 kDa

false

Western blot - Anti-IKZF3 antibody [EPR9342(B)] (AB139408)
  • WB

CiteAb

Western blot - Anti-IKZF3 antibody [EPR9342(B)] (AB139408)

IKZF3 western blot using anti-IKZF3 antibody [EPR9342(B)] ab139408. Publication image and figure legend from Mori, T., Ito, T., et al., 2018, Sci Rep, PubMed 29358579.

ab139408 was used in this publication in western blot. This may not be the same as the application(s) guaranteed by Abcam. For a full list of applications guaranteed by Abcam for ab139408 please see the product overview.

Effects of deuterium-substituted (S)- and (R)-thalidomides on IKZF3 degradation and CRBN-IKZF3 binding. (a) Effects of deuterated (S)- and (R)-thalidomide enantiomers, (S)-D-Thal and (R)-D-Thal, on IKZF3 protein levels in MM1S cells after 12-h treatment. IB, immunoblot. (b) Co-immunoprecipitation of FLAG-HA-CRBN in the presence of each deuterated thalidomide enantiomer, (S)-D-Thal or (S)-D-Thal. IP, immunoprecipitation. Full-length blots in (a) and (b) are presented in Supplementary Fig. 9.

false

  • 519 Alexa Fluor® 488

    Alexa Fluor® 488 Anti-IKZF3 antibody [EPR9342(B)]

  • HRP

    HRP Anti-IKZF3 antibody [EPR9342(B)]

  • Carrier free

    Anti-IKZF3 antibody [EPR9342(B)] - BSA and Azide free

  • 665 Alexa Fluor® 647

    Alexa Fluor® 647 Anti-IKZF3 antibody [EPR9342(B)]

Key facts

Host species

Rabbit

Clonality

Monoclonal

Clone number

EPR9342(B)

Isotype

IgG

Carrier free

No

Reacts with

Mouse, Rat, Human

Applications

WB, ICC/IF, Flow Cyt (Intra), IHC-P

applications

Immunogen

The exact immunogen used to generate this antibody is proprietary information.

Reactivity data

{ "title": "Reactivity Data", "filters": { "stats": ["", "Species", "Dilution Info", "Notes"], "tabs": { "all-applications": {"fullname" : "All Applications", "shortname": "All Applications"}, "IHCP" : {"fullname" : "Immunohistochemistry (Formalin/PFA-fixed paraffin-embedded sections)", "shortname":"IHC-P"}, "WB" : {"fullname" : "Western blot", "shortname":"WB"}, "ICCIF" : {"fullname" : "Immunocytochemistry/ Immunofluorescence", "shortname":"ICC/IF"}, "FlowCytIntra" : {"fullname" : "Flow Cytometry (Intracellular)", "shortname":"Flow Cyt (Intra)"} }, "product-promise": { "all": "all", "testedAndGuaranteed": "tested", "guaranteed": "expected", "predicted": "predicted", "notRecommended": "not-recommended" } }, "values": { "Human": { "IHCP-species-checked": "testedAndGuaranteed", "IHCP-species-dilution-info": "1/50 - 1/100", "IHCP-species-notes": "<p><strong>For unpurified use at 1/250 - 1/500.</strong></p>", "WB-species-checked": "testedAndGuaranteed", "WB-species-dilution-info": "1/20000", "WB-species-notes": "<p><strong>For unpurified use at 1/1000 - 1/10000.</strong></p>", "ICCIF-species-checked": "testedAndGuaranteed", "ICCIF-species-dilution-info": "1/100", "ICCIF-species-notes": "<p><strong>For unpurified use at 1/250 - 1/500.</strong></p>", "FlowCytIntra-species-checked": "testedAndGuaranteed", "FlowCytIntra-species-dilution-info": "1/10 - 1/100", "FlowCytIntra-species-notes": "<p><a href='/en-us/products/primary-antibodies/rabbit-igg-monoclonal-epr25a-isotype-control-ab172730'>ab172730</a> - Rabbit monoclonal IgG, is suitable for use as an isotype control with this antibody.</p>" }, "Mouse": { "IHCP-species-checked": "testedAndGuaranteed", "IHCP-species-dilution-info": "1/50 - 1/100", "IHCP-species-notes": "<p><strong>For unpurified use at 1/250 - 1/500.</strong></p>", "WB-species-checked": "guaranteed", "WB-species-dilution-info": "", "WB-species-notes": "", "ICCIF-species-checked": "guaranteed", "ICCIF-species-dilution-info": "", "ICCIF-species-notes": "", "FlowCytIntra-species-checked": "guaranteed", "FlowCytIntra-species-dilution-info": "", "FlowCytIntra-species-notes": "" }, "Rat": { "IHCP-species-checked": "testedAndGuaranteed", "IHCP-species-dilution-info": "1/50 - 1/100", "IHCP-species-notes": "<p><strong>For unpurified use at 1/250 - 1/500.</strong></p>", "WB-species-checked": "guaranteed", "WB-species-dilution-info": "", "WB-species-notes": "", "ICCIF-species-checked": "guaranteed", "ICCIF-species-dilution-info": "", "ICCIF-species-notes": "", "FlowCytIntra-species-checked": "guaranteed", "FlowCytIntra-species-dilution-info": "", "FlowCytIntra-species-notes": "" } } }

Product details

What is this antibody validated in?
Anti-IKZF3 antibody [EPR9342(B)] (ab139408) is a rabbit recombinant monoclonal antibody and is validated for use in Western Blot (WB), Flow Cytometry (Intra), Flow Cytometry (Flow Cyt), Immunohistochemistry (IHC-P), Immunocytochemistry/immunofluorescence (ICC/IF) in Human, Mouse, Rat samples.

What is the molecular weight of IKZF3?
Anti-IKZF3 [EPR9342(B)] (ab139408) specifically detects a band for IKZF3 (UniProt: Q9UKT9) at a molecular weight of 58kDa.

Trusted by the scientific community
Anti-IKZF3 [EPR9342(B)] (ab139408) was first used in a scientific publication in 2012 and has been cited over 10 times in peer-reviewed journals.

Trial sizes available!
Test your antibody or perform pre-screening before committing to a larger quantity. Sold in 10µl. Discover our selection of trial-size antibodies.

Other related products
We have a range of other formats of antibody clone [EPR9342(B)] also available for your convenience: ab139408, Carrier free - ab192678, Alexa Fluor® 488 - ab198960, HRP - ab198961, Alexa Fluor® 647 - ab198962

Patented technology
Our RabMAb® technology is a patented hybridoma-based technology for making rabbit monoclonal antibodies. For details on our patents, please refer to RabMAb® patents.

What are the advantages of a recombinant monoclonal antibody?
This product is a recombinant monoclonal antibody, which offers several advantages including:

  • - High batch-to-batch consistency and reproducibility
  • - Improved sensitivity and specificity
  • - Long-term security of supply
  • - Animal-free batch production

For more information, read more on recombinant antibodies.

Properties and storage information

Form
Liquid
Purification technique
Affinity purification Protein A
Storage buffer
Preservative: 0.01% Sodium azide Constituents: PBS, 40% Glycerol (glycerin, glycerine), 0.05% BSA
Shipped at conditions
Blue Ice
Appropriate short-term storage duration
1-2 weeks
Appropriate short-term storage conditions
+4°C
Appropriate long-term storage conditions
-20°C
Aliquoting information
Upon delivery aliquot
Storage information
Avoid freeze / thaw cycle

Product protocols

For this product, it's our understanding that no specific protocols are required. You can visit:

Target data

Transcription factor that plays an important role in the regulation of lymphocyte differentiation. Plays an essential role in regulation of B-cell differentiation, proliferation and maturation to an effector state. Involved in regulating BCL2 expression and controlling apoptosis in T-cells in an IL2-dependent manner.
See full target information IKZF3

Publications (15)

Recent publications for all applications. Explore the full list and refine your search

Nature communications 15:8643 PubMed39368987

2024

Prodrug activation by 4,4'-bipyridine-mediated aromatic nitro reduction.

Applications

Unspecified application

Species

Unspecified reactive species

Qing Wang,Yikang Song,Shuowei Yuan,Yaoji Zhu,Wenjing Wang,Ling Chu

Cellular and molecular life sciences : CMLS 81:399 PubMed39264416

2024

Phenotypic profiling of human induced regulatory T cells at early differentiation: insights into distinct immunosuppressive potential.

Applications

Unspecified application

Species

Unspecified reactive species

Roosa Kattelus,Inna Starskaia,Markus Lindén,Kedar Batkulwar,Sami Pietilä,Robert Moulder,Alexander Marson,Omid Rasool,Tomi Suomi,Laura L Elo,Riitta Lahesmaa,Tanja Buchacher

Journal of cancer research and clinical oncology 150:363 PubMed39052108

2024

IKZF3 amplification predicts worse prognosis especially in intestinal-type gastric cancer.

Applications

Unspecified application

Species

Unspecified reactive species

Zhaomeng Cui,Huaiyu Liang,Rongkui Luo,Wen Huang,Wei Yuan,Lei Zhang,Lijuan Luan,Jieakesu Su,Jie Huang,Chen Xu,Yingyong Hou

British journal of haematology 205:594-606 PubMed38685577

2024

Decreased RNA-binding protein heterogeneous nuclear ribonucleoprotein U improves multiple myeloma sensitivity to lenalidomide.

Applications

Unspecified application

Species

Unspecified reactive species

Zhimei Lin,Yue Zhang,Xiang Liu,Hongmei Luo,Qian Li,Qianwen Gao,Xin Wang,Jingjing Wen,Linfeng Li,Yu Feng,Fangfang Wang,Jingcao Huang,Xinyu Zhai,Li Zhang,Ting Niu,Yuhuan Zheng

Cancer science 114:1958-1971 PubMed36692137

2023

Crizotinib-based proteolysis targeting chimera suppresses gastric cancer by promoting MET degradation.

Applications

Unspecified application

Species

Unspecified reactive species

Jin-Jiao Chen,Jin-Mei Jin,Wen-Jie Gu,Zeng Zhao,Hu Yuan,Yu-Dong Zhou,Dale G Nagle,Qiu-Lei Xi,Xue-Mei Zhang,Qing-Yan Sun,Ye Wu,Wei-Dong Zhang,Xin Luan

Arthritis & rheumatology (Hoboken, N.J.) 73:980-990 PubMed33369221

2021

Functional Genomic Analysis of a RUNX3 Polymorphism Associated With Ankylosing Spondylitis.

Applications

Unspecified application

Species

Unspecified reactive species

Matteo Vecellio,Liye Chen,Carla J Cohen,Adrian Cortes,Yan Li,Sarah Bonham,Carlo Selmi,Matthew A Brown,Roman Fischer,Julian C Knight,B Paul Wordsworth

Frontiers in oncology 9:1120 PubMed31696060

2019

Epstein-Barr Virus BART Long Non-coding RNAs Function as Epigenetic Modulators in Nasopharyngeal Carcinoma.

Applications

Unspecified application

Species

Unspecified reactive species

Rob J A Verhoeven,Shuang Tong,Bobo Wing-Yee Mok,Jiayan Liu,Songtao He,Jingfeng Zong,Yixin Chen,Sai-Wah Tsao,Maria Li Lung,Honglin Chen

Cell reports 28:472-485.e5 PubMed31291582

2019

MTA2/NuRD Regulates B Cell Development and Cooperates with OCA-B in Controlling the Pre-B to Immature B Cell Transition.

Applications

Unspecified application

Species

Unspecified reactive species

Xiangdong Lu,Chi-Shuen Chu,Terry Fang,Violeta Rayon-Estrada,Fang Fang,Alina Patke,Ye Qian,Stephen H Clarke,Ari M Melnick,Yi Zhang,F Nina Papavasiliou,Robert G Roeder

Oncoimmunology 7:e1486356 PubMed30288348

2018

The prognostic and predictive value of IKZF1 and IKZF3 expression in T-cells in patients with multiple myeloma.

Applications

Unspecified application

Species

Unspecified reactive species

Mohamed H S Awwad,Katharina Kriegsmann,Julian Plaumann,Michael Benn,Jens Hillengass,Marc S Raab,Uta Bertsch,Markus Munder,Katja Weisel,Hans Jürgen Salwender,Mathias Hänel,Roland Fenk,Jan Dürig,Carsten Müller-Tidow,Hartmut Goldschmidt,Michael Hundemer

Leukemia 33:171-180 PubMed30026574

2018

A genome-scale CRISPR-Cas9 screening in myeloma cells identifies regulators of immunomodulatory drug sensitivity.

Applications

Unspecified application

Species

Unspecified reactive species

Jiye Liu,Tianyu Song,Wenrong Zhou,Lijie Xing,Su Wang,Matthew Ho,Zhengang Peng,Yu-Tzu Tai,Teru Hideshima,Kenneth C Anderson,Yong Cang
View all publications

Product promise

We are committed to supporting your work with high-quality reagents, and we're here for you every step of the way. In the unlikely event that one of our products does not perform as expected, you're protected by our Product Promise.
For full details, please see our Terms & Conditions

Please note: All products are 'FOR RESEARCH USE ONLY. NOT FOR USE IN DIAGNOSTIC OR THERAPEUTIC PROCEDURES'.

For licensing inquiries, please contact partnerships@abcam.com