JavaScript is disabled in your browser. Please enable JavaScript to view this website.
AB192678

Anti-IKZF3 antibody [EPR9342(B)] - BSA and Azide free

Be the first to review this product! Submit a review

|

(1 Publication)

Rabbit Recombinant Monoclonal IKZF3 antibody. Carrier free. Suitable for IHC-P, ICC/IF, WB, Flow Cyt (Intra) and reacts with Mouse, Rat, Human samples. Cited in 1 publication.

View Alternative Names

ZNFN1A3, IKZF3, Zinc finger protein Aiolos, Ikaros family zinc finger protein 3

8 Images
Flow Cytometry (Intracellular) - Anti-IKZF3 antibody [EPR9342(B)] - BSA and Azide free (AB192678)
  • Flow Cyt (Intra)

Lab

Flow Cytometry (Intracellular) - Anti-IKZF3 antibody [EPR9342(B)] - BSA and Azide free (AB192678)

Clone EPR9342 (B) (ab192678) has been successfully conjugated by Abcam. This image was generated using Anti-IKZF3 antibody [EPR9342 (B)] (Alexa Fluor® 647). Please refer to ab198962 for protocol details.

Overlay histogram showing K562 cells stained with ab198962 (red line). The cells were fixed with 80% methanol (5 min) and then permeabilized with 0.1% PBS-Triton X-100 for 15 min. The cells were then incubated in 1x PBS / 10% normal goat serum to block non-specific protein-protein interactions followed by the antibody (ab198962, 1/500 dilution) for 30 min at 22°C.

Isotype control antibody (black line) was Rabbit IgG (monoclonal) Alexa Fluor® 647 (ab199093) used at the same concentration and conditions as the primary antibody. Unlabelled sample (blue line) was also used as a control.

Acquisition of >5,000 events were collected using a 40 mW Red laser (640nm) and 670/14 bandpass filter.

This antibody gave a positive signal in K562 cells fixed with 4% formaldehyde (10 min)/permeabilized with 0.1% PBS-Triton X-100 for 15 min used under the same conditions.

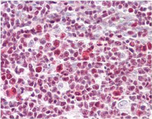
Immunohistochemistry (Formalin/PFA-fixed paraffin-embedded sections) - Anti-IKZF3 antibody [EPR9342(B)] - BSA and Azide free (AB192678)
  • IHC-P

Lab

Immunohistochemistry (Formalin/PFA-fixed paraffin-embedded sections) - Anti-IKZF3 antibody [EPR9342(B)] - BSA and Azide free (AB192678)

Immunohistochemistry (Formalin/PFA-fixed paraffin-embedded sections) analysis of human spleen tissue labelling IKZF3 with purified ab139408 at 1/100. Heat mediated antigen retrieval was performed using Tris/EDTA buffer pH 9. ab97051, a HRP-conjugated goat anti-rabbit IgG (H+L) was used as the secondary antibody (1/500). Negative control using PBS instead of primary antibody. Counterstained with hematoxylin.

This data was developed using the same antibody clone in a different buffer formulation containing PBS, BSA, glycerol, and sodium azide (ab139408).

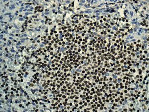
Immunohistochemistry (Formalin/PFA-fixed paraffin-embedded sections) - Anti-IKZF3 antibody [EPR9342(B)] - BSA and Azide free (AB192678)
  • IHC-P

Unknown

Immunohistochemistry (Formalin/PFA-fixed paraffin-embedded sections) - Anti-IKZF3 antibody [EPR9342(B)] - BSA and Azide free (AB192678)

Immunohistochemistry (Formalin/PFA-fixed paraffin-embedded sections) analysis of human spleen tissue labelling IKZF3 with unpurified ab139408 at 1/250 dilution.

This data was developed using the same antibody clone in a different buffer formulation containing PBS, BSA, glycerol, and sodium azide (ab139408).

Heat mediated antigen retrieval was performed with citrate buffer pH 6 before commencing with IHC staining protocol.

Immunocytochemistry/ Immunofluorescence - Anti-IKZF3 antibody [EPR9342(B)] - BSA and Azide free (AB192678)
  • ICC/IF

Unknown

Immunocytochemistry/ Immunofluorescence - Anti-IKZF3 antibody [EPR9342(B)] - BSA and Azide free (AB192678)

Clone EPR9342(B) (ab192678) has been successfully conjugated by Abcam. This image was generated using Anti-IKZF3 antibody [EPR9342(B)] (Alexa Fluor® 488). Please refer to ab198960 for protocol details.

ab198960 staining IKZF3 in Jurkat cells. The cells were fixed with 4% formaldehyde (10 min), permeabilized with 0.1% Triton X-100 for 5 minutes and then blocked with 1% BSA/10% normal goat serum/0.3M glycine in 0.1% PBS-Tween for 1h. The cells were then incubated overnight at +4°C with ab198960 at 1/100 dilution (shown in green) and ab195889, Mouse monoclonal to alpha Tubulin (Alexa Fluor® 594), at 1/250 dilution (shown in red). Nuclear DNA was labelled with DAPI (shown in blue).

Image was taken with a confocal microscope (Leica-Microsystems, TCS SP8).

Immunocytochemistry/ Immunofluorescence - Anti-IKZF3 antibody [EPR9342(B)] - BSA and Azide free (AB192678)
  • ICC/IF

Lab

Immunocytochemistry/ Immunofluorescence - Anti-IKZF3 antibody [EPR9342(B)] - BSA and Azide free (AB192678)

Immunocytochemistry/Immunofluorescence analysis of Jurkat cells labelling IKZF3 (green) with purified ab139408 at 1/100. Cells were fixed with 4% paraformaldehyde and permeabilized with 0.1% Triton X-100. ab150077, an Alexa Fluor® 488-conjugated goat anti-rabbit IgG (1/500) was used as the secondary antibody. DAPI (blue) was used as the nuclear counterstain.

Control : primary antibody (1/100) and secondary antibody ab150120, an Alexa Fluor® 594-conjugated goat anti-mouse IgG (1/500).

This data was developed using the same antibody clone in a different buffer formulation containing PBS, BSA, glycerol, and sodium azide (ab139408).

Flow Cytometry (Intracellular) - Anti-IKZF3 antibody [EPR9342(B)] - BSA and Azide free (AB192678)
  • Flow Cyt (Intra)

Lab

Flow Cytometry (Intracellular) - Anti-IKZF3 antibody [EPR9342(B)] - BSA and Azide free (AB192678)

Intracellular Flow Cytometry analysis of Ramos cells labelling IKZF3 with purified ab139408 at 1/90 (red). Cells were fixed with 2% paraformaldehyde. A FITC-conjugated goat anti-rabbit IgG (1/150) was used as the secondary antibody. Black - Isotype control, rabbit monoclonal IgG. Blue - Unlabelled control, cells without incubation with primary and secondary antibodies.

This data was developed using the same antibody clone in a different buffer formulation containing PBS, BSA, glycerol, and sodium azide (ab139408).

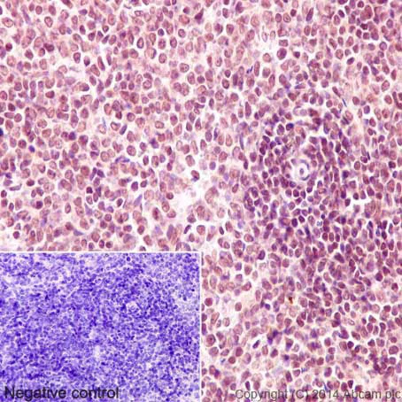
Immunohistochemistry (Formalin/PFA-fixed paraffin-embedded sections) - Anti-IKZF3 antibody [EPR9342(B)] - BSA and Azide free (AB192678)
  • IHC-P

Lab

Immunohistochemistry (Formalin/PFA-fixed paraffin-embedded sections) - Anti-IKZF3 antibody [EPR9342(B)] - BSA and Azide free (AB192678)

Immunohistochemistry (Formalin/PFA-fixed paraffin-embedded sections) analysis of rat spleen tissue labelling IKZF3 with purified ab139408 at 1/100. Heat mediated antigen retrieval was performed using Tris/EDTA buffer pH 9. ab97051, a HRP-conjugated goat anti-rabbit IgG (H+L) was used as the secondary antibody (1/500). Negative control using PBS instead of primary antibody. Counterstained with hematoxylin.

This data was developed using the same antibody clone in a different buffer formulation containing PBS, BSA, glycerol, and sodium azide (ab139408).

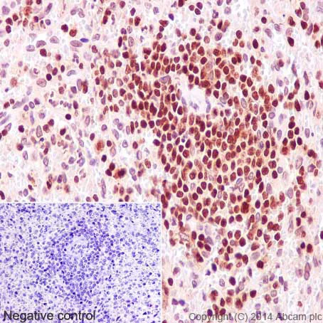
Immunohistochemistry (Formalin/PFA-fixed paraffin-embedded sections) - Anti-IKZF3 antibody [EPR9342(B)] - BSA and Azide free (AB192678)
  • IHC-P

Lab

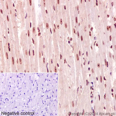
Immunohistochemistry (Formalin/PFA-fixed paraffin-embedded sections) - Anti-IKZF3 antibody [EPR9342(B)] - BSA and Azide free (AB192678)

Immunohistochemistry (Formalin/PFA-fixed paraffin-embedded sections) analysis of mouse cardiac muscle tissue labelling IKZF3 with purified ab139408 at 1/100. Heat mediated antigen retrieval was performed using Tris/EDTA buffer pH 9. ab97051, a HRP-conjugated goat anti-rabbit IgG (H+L) was used as the secondary antibody (1/500). Negative control using PBS instead of primary antibody. Counterstained with hematoxylin.

This data was developed using the same antibody clone in a different buffer formulation containing PBS, BSA, glycerol, and sodium azide (ab139408).

Key facts

Host species

Rabbit

Clonality

Monoclonal

Clone number

EPR9342(B)

Isotype

IgG

Carrier free

Yes

Reacts with

Mouse, Rat, Human

Applications

IHC-P, Flow Cyt (Intra), ICC/IF, WB

applications

Immunogen

The exact immunogen used to generate this antibody is proprietary information.

Reactivity data

{ "title": "Reactivity Data", "filters": { "stats": ["", "Species", "Dilution Info", "Notes"], "tabs": { "all-applications": {"fullname" : "All Applications", "shortname": "All Applications"}, "IHCP" : {"fullname" : "Immunohistochemistry (Formalin/PFA-fixed paraffin-embedded sections)", "shortname":"IHC-P"}, "ICCIF" : {"fullname" : "Immunocytochemistry/ Immunofluorescence", "shortname":"ICC/IF"}, "WB" : {"fullname" : "Western blot", "shortname":"WB"}, "FlowCytIntra" : {"fullname" : "Flow Cytometry (Intracellular)", "shortname":"Flow Cyt (Intra)"} }, "product-promise": { "all": "all", "testedAndGuaranteed": "tested", "guaranteed": "expected", "predicted": "predicted", "notRecommended": "not-recommended" } }, "values": { "Human": { "IHCP-species-checked": "testedAndGuaranteed", "IHCP-species-dilution-info": "", "IHCP-species-notes": "<p></p> Perform heat-mediated antigen retrieval with citrate buffer pH 6 before commencing with IHC staining protocol.", "ICCIF-species-checked": "testedAndGuaranteed", "ICCIF-species-dilution-info": "", "ICCIF-species-notes": "<p></p>", "WB-species-checked": "guaranteed", "WB-species-dilution-info": "", "WB-species-notes": "<p>Can be blocked with IKZF3 peptide (<a href='/en-us/products/unavailable/ikzf3-peptide-ab184024'>ab184024</a>).</p>", "FlowCytIntra-species-checked": "testedAndGuaranteed", "FlowCytIntra-species-dilution-info": "", "FlowCytIntra-species-notes": "<p><a href='/en-us/products/primary-antibodies/rabbit-igg-monoclonal-epr25a-isotype-control-low-endotoxin-azide-free-ab199376'>ab199376</a> - Rabbit monoclonal IgG, is suitable for use as an isotype control with this antibody.</p>" }, "Mouse": { "IHCP-species-checked": "testedAndGuaranteed", "IHCP-species-dilution-info": "", "IHCP-species-notes": "<p></p> Perform heat-mediated antigen retrieval with citrate buffer pH 6 before commencing with IHC staining protocol.", "ICCIF-species-checked": "guaranteed", "ICCIF-species-dilution-info": "", "ICCIF-species-notes": "", "WB-species-checked": "predicted", "WB-species-dilution-info": "", "WB-species-notes": "", "FlowCytIntra-species-checked": "guaranteed", "FlowCytIntra-species-dilution-info": "", "FlowCytIntra-species-notes": "" }, "Rat": { "IHCP-species-checked": "testedAndGuaranteed", "IHCP-species-dilution-info": "", "IHCP-species-notes": "<p></p> Perform heat-mediated antigen retrieval with citrate buffer pH 6 before commencing with IHC staining protocol.", "ICCIF-species-checked": "guaranteed", "ICCIF-species-dilution-info": "", "ICCIF-species-notes": "", "WB-species-checked": "predicted", "WB-species-dilution-info": "", "WB-species-notes": "", "FlowCytIntra-species-checked": "guaranteed", "FlowCytIntra-species-dilution-info": "", "FlowCytIntra-species-notes": "" } } }

Product details

ab192678 is the carrier-free version of ab139408.

Patented technology
Our RabMAb® technology is a patented hybridoma-based technology for making rabbit monoclonal antibodies. For details on our patents, please refer to RabMAb® patents.

What are the advantages of a recombinant monoclonal antibody?
This product is a recombinant monoclonal antibody, which offers several advantages including:

  • - High batch-to-batch consistency and reproducibility
  • - Improved sensitivity and specificity
  • - Long-term security of supply
  • - Animal-free batch production

For more information, read more on recombinant antibodies.

Conjugation ready
Our carrier-free antibodies are typically supplied in a PBS-only formulation, purified and free of BSA, sodium azide and glycerol. This conjugation-ready format is designed for use with fluorochromes, metal isotopes, oligonucleotides, and enzymes, which makes them ideal for antibody labelling, functional and cell-based assays, flow-based assays (e.g. mass cytometry) and Multiplex Imaging applications.

Use our conjugation kits for antibody conjugates that are ready-to-use in as little as 20 minutes with 1 minute hands-on-time and 100% antibody recovery: available for fluorescent dyes, HRP, biotin and gold.

Compatibility
This product is compatible with the Maxpar® Antibody Labeling Kit from Fluidigm, without the need for antibody preparation. Maxpar® is a trademark of Fluidigm Canada Inc.

Properties and storage information

Form
Liquid
Purification technique
Affinity purification Protein A
Storage buffer
pH: 7.2 - 7.4 Constituents: PBS
Shipped at conditions
Blue Ice
Appropriate short-term storage conditions
+4°C
Appropriate long-term storage conditions
+4°C
Storage information
Do Not Freeze

Product protocols

For this product, it's our understanding that no specific protocols are required. You can visit:

Target data

Transcription factor that plays an important role in the regulation of lymphocyte differentiation. Plays an essential role in regulation of B-cell differentiation, proliferation and maturation to an effector state. Involved in regulating BCL2 expression and controlling apoptosis in T-cells in an IL2-dependent manner.
See full target information IKZF3

Publications (1)

Recent publications for all applications. Explore the full list and refine your search

Nature communications 5:3199 PubMed24492460

2014

TNF-α blockade induces IL-10 expression in human CD4+ T cells.

Applications

Unspecified application

Species

Unspecified reactive species

Hayley G Evans,Urmas Roostalu,Gina J Walter,Nicola J Gullick,Klaus S Frederiksen,Ceri A Roberts,Jonathan Sumner,Dominique L Baeten,Jens G Gerwien,Andrew P Cope,Frederic Geissmann,Bruce W Kirkham,Leonie S Taams
View all publications

Product promise

We are committed to supporting your work with high-quality reagents, and we're here for you every step of the way. In the unlikely event that one of our products does not perform as expected, you're protected by our Product Promise.
For full details, please see our Terms & Conditions

Please note: All products are 'FOR RESEARCH USE ONLY. NOT FOR USE IN DIAGNOSTIC OR THERAPEUTIC PROCEDURES'.

For licensing inquiries, please contact partnerships@abcam.com