JavaScript is disabled in your browser. Please enable JavaScript to view this website.
AB183625

Anti-IKZF4 antibody

Be the first to review this product! Submit a review

|

(1 Publication)

Rabbit Polyclonal IKZF4 antibody. Suitable for WB, IHC-P and reacts with Human samples. Cited in 1 publication. Immunogen corresponding to Recombinant Fragment Protein within Human IKZF4 aa 250-500.

View Alternative Names

KIAA1782, ZNFN1A4, IKZF4, Zinc finger protein Eos, Ikaros family zinc finger protein 4

2 Images
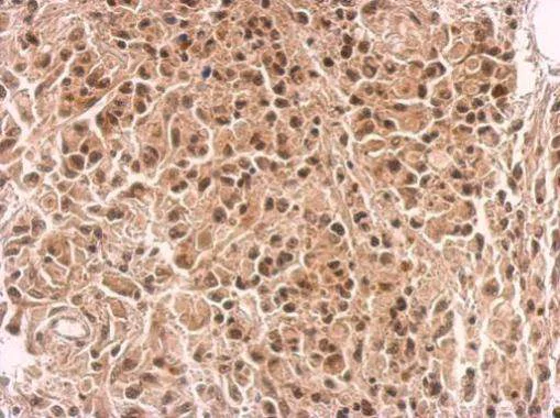
Immunohistochemistry (Formalin/PFA-fixed paraffin-embedded sections) - Anti-IKZF4 antibody (AB183625)
  • IHC-P

Supplier Data

Immunohistochemistry (Formalin/PFA-fixed paraffin-embedded sections) - Anti-IKZF4 antibody (AB183625)

Immunohistochemical analysis of paraffin-embedded U373 xenograft tissue labeling IKZF4 with ab183625 at 1/500 dilution.

Western blot - Anti-IKZF4 antibody (AB183625)
  • WB

Supplier Data

Western blot - Anti-IKZF4 antibody (AB183625)

7.5 % SDS-PAGE

All lanes:

Western blot - Anti-IKZF4 antibody (ab183625) at 1/1000 dilution

Lane 1:

Raji whole cell lysate at 30 µg

Lane 2:

K562 whole cell lysate at 30 µg

Predicted band size: 64 kDa

false

Key facts

Host species

Rabbit

Clonality

Polyclonal

Isotype

IgG

Carrier free

No

Reacts with

Human

Applications

WB, IHC-P

applications

Immunogen

Recombinant Fragment Protein within Human IKZF4 aa 250-500. The exact immunogen used to generate this antibody is proprietary information.

Q9H2S9

Reactivity data

{ "title": "Reactivity Data", "filters": { "stats": ["", "Species", "Dilution Info", "Notes"], "tabs": { "all-applications": {"fullname" : "All Applications", "shortname": "All Applications"}, "WB" : {"fullname" : "Western blot", "shortname":"WB"}, "IHCP" : {"fullname" : "Immunohistochemistry (Formalin/PFA-fixed paraffin-embedded sections)", "shortname":"IHC-P"} }, "product-promise": { "all": "all", "testedAndGuaranteed": "tested", "guaranteed": "expected", "predicted": "predicted", "notRecommended": "not-recommended" } }, "values": { "Human": { "WB-species-checked": "testedAndGuaranteed", "WB-species-dilution-info": "1/500 - 1/3000", "WB-species-notes": "<p></p>", "IHCP-species-checked": "testedAndGuaranteed", "IHCP-species-dilution-info": "1/100 - 1/1000", "IHCP-species-notes": "<p></p>" } } }

Properties and storage information

Form
Liquid
Purification technique
Affinity purification Immunogen
Storage buffer
pH: 7 Preservative: 0.01% Thimerosal (merthiolate) Constituents: PBS, 20% Glycerol (glycerin, glycerine)
Shipped at conditions
Blue Ice
Appropriate short-term storage duration
1-2 weeks
Appropriate short-term storage conditions
+4°C
Appropriate long-term storage conditions
-20°C
Aliquoting information
Upon delivery aliquot
Storage information
Avoid freeze / thaw cycle

Product protocols

For this product, it's our understanding that no specific protocols are required. You can visit:

Target data

DNA-binding protein that binds to the 5'GGGAATRCC-3' Ikaros-binding sequence. Transcriptional repressor. Interacts with SPI1 and MITF to repress transcription of the CTSK and ACP5 promoters via recruitment of corepressors SIN3A and CTBP2. May be involved in the development of central and peripheral nervous systems. Essential for the inhibitory function of regulatory T-cells (Treg). Mediates FOXP3-mediated gene silencing in regulatory T-cells (Treg) via recruitment of corepressor CTBP1 (By similarity).
See full target information IKZF4

Publications (1)

Recent publications for all applications. Explore the full list and refine your search

Nature structural & molecular biology 28:989-996 PubMed34811519

2021

Structure of the human SAGA coactivator complex.

Applications

Unspecified application

Species

Unspecified reactive species

Dominik A Herbst,Meagan N Esbin,Robert K Louder,Claire Dugast-Darzacq,Gina M Dailey,Qianglin Fang,Xavier Darzacq,Robert Tjian,Eva Nogales
View all publications

Product promise

We are committed to supporting your work with high-quality reagents, and we're here for you every step of the way. In the unlikely event that one of our products does not perform as expected, you're protected by our Product Promise.
For full details, please see our Terms & Conditions

Please note: All products are 'FOR RESEARCH USE ONLY. NOT FOR USE IN DIAGNOSTIC OR THERAPEUTIC PROCEDURES'.

For licensing inquiries, please contact partnerships@abcam.com