JavaScript is disabled in your browser. Please enable JavaScript to view this website.
AB227482

Anti-IL-1 alpha antibody

Be the first to review this product! Submit a review

|

(4 Publications)

Rabbit Polyclonal IL-1 alpha antibody. Suitable for WB, IHC-P, ICC/IF and reacts with Human samples. Cited in 4 publications. Immunogen corresponding to Recombinant Fragment Protein within Human IL1A.

View Alternative Names

IL1F1, IL1A, Interleukin-1 alpha, IL-1 alpha, Hematopoietin-1

3 Images
Immunocytochemistry/ Immunofluorescence - Anti-IL-1 alpha antibody (AB227482)
  • ICC/IF

Supplier Data

Immunocytochemistry/ Immunofluorescence - Anti-IL-1 alpha antibody (AB227482)

4% paraformaldehyde-fixed NCI-H1299 (human lung carcinoma cell line) cells stained for IL-1 alpha (green) using ab227482 at 1/500 dilution in ICC/IF.

Blue : Hoechst 33342 staining.

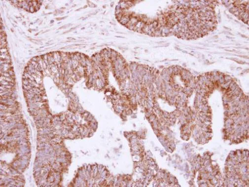
Immunohistochemistry (Formalin/PFA-fixed paraffin-embedded sections) - Anti-IL-1 alpha antibody (AB227482)
  • IHC-P

Supplier Data

Immunohistochemistry (Formalin/PFA-fixed paraffin-embedded sections) - Anti-IL-1 alpha antibody (AB227482)

Paraffin-embedded human colon carcinoma tissue stained for IL-1 alpha using ab227482 at 1/250 dilution in immunohistochemical analysis.

Western blot - Anti-IL-1 alpha antibody (AB227482)
  • WB

Supplier Data

Western blot - Anti-IL-1 alpha antibody (AB227482)

12% SDS-PAGE gel.

All lanes:

Western blot - Anti-IL-1 alpha antibody (ab227482) at 1/1000 dilution

All lanes:

HepG2 (human liver hepatocellular carcinoma cell line) whole cell lysate at 30 µg

Predicted band size: 31 kDa

false

Key facts

Host species

Rabbit

Clonality

Polyclonal

Isotype

IgG

Carrier free

No

Reacts with

Human

Applications

WB, ICC/IF, IHC-P

applications

Immunogen

Recombinant Fragment Protein within Human IL1A. The exact immunogen used to generate this antibody is proprietary information.

P01583

Reactivity data

{ "title": "Reactivity Data", "filters": { "stats": ["", "Species", "Dilution Info", "Notes"], "tabs": { "all-applications": {"fullname" : "All Applications", "shortname": "All Applications"}, "WB" : {"fullname" : "Western blot", "shortname":"WB"}, "IHCP" : {"fullname" : "Immunohistochemistry (Formalin/PFA-fixed paraffin-embedded sections)", "shortname":"IHC-P"}, "ICCIF" : {"fullname" : "Immunocytochemistry/ Immunofluorescence", "shortname":"ICC/IF"} }, "product-promise": { "all": "all", "testedAndGuaranteed": "tested", "guaranteed": "expected", "predicted": "predicted", "notRecommended": "not-recommended" } }, "values": { "Human": { "WB-species-checked": "testedAndGuaranteed", "WB-species-dilution-info": "1/500 - 1/3000", "WB-species-notes": "<p></p>", "IHCP-species-checked": "testedAndGuaranteed", "IHCP-species-dilution-info": "1/100 - 1/1000", "IHCP-species-notes": "<p></p>", "ICCIF-species-checked": "testedAndGuaranteed", "ICCIF-species-dilution-info": "1/100 - 1/1000", "ICCIF-species-notes": "<p></p>" } } }

Properties and storage information

Form
Liquid
Purification technique
Affinity purification Immunogen
Storage buffer
pH: 7 Preservative: 0.01% Thimerosal (merthiolate) Constituents: 20% Glycerol (glycerin, glycerine), 1.21% Tris, 0.75% Glycine
Shipped at conditions
Blue Ice
Appropriate short-term storage duration
1-2 weeks
Appropriate short-term storage conditions
+4°C
Appropriate long-term storage conditions
-20°C
Aliquoting information
Upon delivery aliquot
Storage information
Avoid freeze / thaw cycle

Product protocols

For this product, it's our understanding that no specific protocols are required. You can visit:

Target data

Cytokine constitutively present intracellularly in nearly all resting non-hematopoietic cells that plays an important role in inflammation and bridges the innate and adaptive immune systems (PubMed : 26439902). After binding to its receptor IL1R1 together with its accessory protein IL1RAP, forms the high affinity interleukin-1 receptor complex (PubMed : 17507369, PubMed : 2950091). Signaling involves the recruitment of adapter molecules such as MYD88, IRAK1 or IRAK4 (PubMed : 17507369). In turn, mediates the activation of NF-kappa-B and the three MAPK pathways p38, p42/p44 and JNK pathways (PubMed : 14687581). Within the cell, acts as an alarmin and cell death results in its liberation in the extracellular space after disruption of the cell membrane to induce inflammation and alert the host to injury or damage (PubMed : 15679580). In addition to its role as a danger signal, which occurs when the cytokine is passively released by cell necrosis, directly senses DNA damage and acts as a signal for genotoxic stress without loss of cell integrity (PubMed : 26439902).
See full target information IL1A

Publications (4)

Recent publications for all applications. Explore the full list and refine your search

Cell death & disease 14:725 PubMed37938546

2023

Crosstalk with lung fibroblasts shapes the growth and therapeutic response of mesothelioma cells.

Applications

Unspecified application

Species

Unspecified reactive species

Yakinthi Chrisochoidou,Rajat Roy,Pooyeh Farahmand,Guadalupe Gonzalez,Jennifer Doig,Lukas Krasny,Ella F Rimmer,Anne E Willis,Marion MacFarlane,Paul H Huang,Neil O Carragher,Alison F Munro,Daniel J Murphy,Kirill Veselkov,Michael J Seckl,Miriam F Moffatt,William O C Cookson,Olivier E Pardo

Technology in cancer research & treatment 20:1533033821995282 PubMed33602046

2021

The Potential Role of IL1RAP on Tumor Microenvironment-Related Inflammatory Factors in Stomach Adenocarcinoma.

Applications

Unspecified application

Species

Unspecified reactive species

Qing Lv,Qinghua Xia,Anshu Li,Zhiyong Wang

PloS one 14:e0215818 PubMed31009519

2019

The altered expression of autophagy-related genes participates in heart failure: NRBP2 and CALCOCO2 are associated with left ventricular dysfunction parameters in human dilated cardiomyopathy.

Applications

Unspecified application

Species

Unspecified reactive species

Carolina Gil-Cayuela,Alejandro López,Luis Martínez-Dolz,José Ramón González-Juanatey,Francisca Lago,Esther Roselló-Lletí,Miguel Rivera,Manuel Portolés

Experimental eye research 172:10-20 PubMed29551335

2018

Expression and regulation of alarmin cytokine IL-1α in human retinal pigment epithelial cells.

Applications

Unspecified application

Species

Human

Zong-Mei Bian,Matthew G Field,Susan G Elner,Victor M Elner
View all publications

Product promise

We are committed to supporting your work with high-quality reagents, and we're here for you every step of the way. In the unlikely event that one of our products does not perform as expected, you're protected by our Product Promise.
For full details, please see our Terms & Conditions

Please note: All products are 'FOR RESEARCH USE ONLY. NOT FOR USE IN DIAGNOSTIC OR THERAPEUTIC PROCEDURES'.

For licensing inquiries, please contact partnerships@abcam.com