JavaScript is disabled in your browser. Please enable JavaScript to view this website.
AB9722

Anti-IL-1 beta antibody

4

(21 Reviews)

|

(1122 Publications)

Anti-IL-1 beta antibody (ab9722) is a rabbit polyclonal antibody detecting IL-1 beta in Western Blot, IHC-P, ELISA. Suitable for Human,.

- Over 860 publications
- Trusted since 2002

View Alternative Names

IL1F2, IL1B, Interleukin-1 beta, IL-1 beta, Catabolin

3 Images
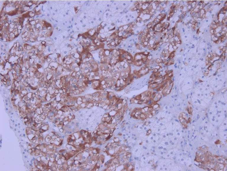
Immunohistochemistry (Formalin/PFA-fixed paraffin-embedded sections) - Anti-IL-1 beta antibody (AB9722)
  • IHC-P

Supplier Data

Immunohistochemistry (Formalin/PFA-fixed paraffin-embedded sections) - Anti-IL-1 beta antibody (AB9722)

Immunohistochemistry (Formalin/PFA-fixed paraffin-embedded sections) analysis of human normal adrenal tissue labelling IL-1 beta with ab9722 at 2 μg/mL (45 minute incubation at room temperature). Heat mediated antigen retrieval was performed using a buffer at pH 6. An HRP-labeled polymer detection system was used with a DAB chromogen.

Western blot - Anti-IL-1 beta antibody (AB9722)
  • WB

Supplier Data

Western blot - Anti-IL-1 beta antibody (AB9722)

To detect mouse IL-1 beta by Western Blot analysis, ab9722 can be used at a concentration of 0.1-0.2 μg/ml. When used in conjunction with compatible development reagents, the detection limit for recombinant mouse IL-1 beta is 1.5-3.0 ng/lane, under either reducing or non-reducing conditions.

Lanes 1-11 : 250, 125, 62.5, 31.25, 15.625, 7.8, 3.9, 1.95, 0.975, 0.4875 and 0.24 ng recombinant mouse IL-1 beta, respectively.

Non-reducing conditions.

All lanes:

Western blot - Anti-IL-1 beta antibody (ab9722)

Predicted band size: 30 kDa

false

Sandwich ELISA - Anti-IL-1 beta antibody (AB9722)
  • sELISA

Supplier Data

Sandwich ELISA - Anti-IL-1 beta antibody (AB9722)

Sandwich ELISA detecting IL-1 beta using ab9722 at a concentration of 2 μg/ml.

Key facts

Host species

Rabbit

Clonality

Polyclonal

Isotype

Unknown

Light chain type

unknown

Carrier free

No

Reacts with

Human

Applications

IHC-P, WB, sELISA

applications

Immunogen

Full Length Protein corresponding to Mouse Il1b aa 100 to C-terminus. The exact immunogen used to generate this antibody is proprietary information.

P10749

Specificity

Anti-IL-1 beta antibody is expected to react with both the mature and pro form of IL-1 beta.

Reactivity data

{ "title": "Reactivity Data", "filters": { "stats": ["", "Species", "Dilution Info", "Notes"], "tabs": { "all-applications": {"fullname" : "All Applications", "shortname": "All Applications"}, "IHCP" : {"fullname" : "Immunohistochemistry (Formalin/PFA-fixed paraffin-embedded sections)", "shortname":"IHC-P"}, "WB" : {"fullname" : "Western blot", "shortname":"WB"}, "sELISA" : {"fullname" : "Sandwich ELISA", "shortname":"sELISA"} }, "product-promise": { "all": "all", "testedAndGuaranteed": "tested", "guaranteed": "expected", "predicted": "predicted", "notRecommended": "not-recommended" } }, "values": { "Human": { "IHCP-species-checked": "testedAndGuaranteed", "IHCP-species-dilution-info": "2 µg/mL", "IHCP-species-notes": "<p></p> Perform heat-mediated antigen retrieval before commencing with IHC staining protocol.", "WB-species-checked": "guaranteed", "WB-species-dilution-info": "", "WB-species-notes": "", "sELISA-species-checked": "guaranteed", "sELISA-species-dilution-info": "", "sELISA-species-notes": "" }, "Recombinant full length protein - Mouse": { "IHCP-species-checked": "notRecommended", "IHCP-species-dilution-info": "", "IHCP-species-notes": "", "WB-species-checked": "testedAndGuaranteed", "WB-species-dilution-info": "0.1-0.2 µg/mL", "WB-species-notes": "<p>Used in conjunction with compatible secondary reagents the detection limit for recombinant mIL-1β is 1.5-3.0 ng/lane, under either reducing or non-reducing conditions.</p>", "sELISA-species-checked": "testedAndGuaranteed", "sELISA-species-dilution-info": "2 µg/mL", "sELISA-species-notes": "<p>To detect mIL-1b by direct ELISA (using 100μl/well antibody solution) a concentration of at least 0.5μg/ml of this antibody is required. This antigen affinity purified antibody, in conjunction with compatible secondary reagents, allows the detection of 0.2 - 0.4 ng/well of recombinant mIL-1b.</p>" } } }

Product details

Product Specifications

Anti-IL-1 beta antibody (ab9722) is a rabbit polyclonal antibody and is validated for use in IHC-P, WB, sELISA in human, recombinant fragment samples.
Anti-IL-1 beta antibody (ab9722) specifically detects IL-1 beta (UniProt ID: P10749; Molecular weight: 17kDa) and is sold in 100 µg selling sizes.

Quality and Validation

Abcam's high quality validation processes ensure Anti-IL-1 beta antibody (ab9722) has high sensitivity and specificity.
Anti-IL-1 beta antibody (ab9722) has been cited over 864 times in peer reviewed journals and is trusted by the scientific community.
Anti-IL-1 beta antibody (ab9722) has 21 independent reviews from customers.

Properties and storage information

Form
Lyophilized
Reconstitution
Reconstitute in water
Purification technique
Affinity purification Immunogen
Shipped at conditions
Blue Ice
Appropriate short-term storage duration
1-2 weeks
Appropriate short-term storage conditions
+4°C
Appropriate long-term storage conditions
-20°C
Storage information
Avoid freeze / thaw cycle

Product protocols

For this product, it's our understanding that no specific protocols are required. You can visit:

Target data

Potent pro-inflammatory cytokine (PubMed : 10653850, PubMed : 12794819, PubMed : 28331908, PubMed : 3920526). Initially discovered as the major endogenous pyrogen, induces prostaglandin synthesis, neutrophil influx and activation, T-cell activation and cytokine production, B-cell activation and antibody production, and fibroblast proliferation and collagen production (PubMed : 3920526). Promotes Th17 differentiation of T-cells. Synergizes with IL12/interleukin-12 to induce IFNG synthesis from T-helper 1 (Th1) cells (PubMed : 10653850). Plays a role in angiogenesis by inducing VEGF production synergistically with TNF and IL6 (PubMed : 12794819). Involved in transduction of inflammation downstream of pyroptosis : its mature form is specifically released in the extracellular milieu by passing through the gasdermin-D (GSDMD) pore (PubMed : 33377178, PubMed : 33883744). Acts as a sensor of S.pyogenes infection in skin : cleaved and activated by pyogenes SpeB protease, leading to an inflammatory response that prevents bacterial growth during invasive skin infection (PubMed : 28331908).
See full target information IL1B

Publications (1122)

Recent publications for all applications. Explore the full list and refine your search

International journal of medical sciences 22:4049-4062 PubMed41049444

2025

Tetrahydrocurcumin Protects Microglial Cells Against Lipopolysaccharide-Induced Reactive Oxygen Species Production and Cathepsin B to Activate NLRP3 Inflammasome-Mediated Pyroptosis Via the HO-1 and p38/JNK Pathway.

Applications

Unspecified application

Species

Unspecified reactive species

Hui-Wen Lin,Tzu-Chun Chen,Inga Wang,Jui-Hsuan Yeh,Shang-Chun Tsou,Lee Sun,Shih-Chi Chung,Chen-Ju Chuang,Yuan-Yen Chang

Open veterinary journal 15:3558-3570 PubMed41036017

2025

Host-parasite interaction in latent cerebral toxoplasmosis: The role of cytokine response in a mouse model.

Applications

Unspecified application

Species

Unspecified reactive species

Tuğçe Anteplioğlu,Merve Bişkin Türkmen,Erva Eser,Damla Okatan,Oğuz Kul

Frontiers in endocrinology 16:1620230 PubMed41030847

2025

SGLT2 inhibition attenuates diabetic tubulopathy by suppressing SGK1-mediated pyroptosis.

Applications

Unspecified application

Species

Unspecified reactive species

Xu Shi,Wei Zou,Xuehong Li,Sirui Liu,Tiantian Hu,Qiong Li,Ting Zhang,Lei Chen,Sumin Wu,Cheng Wang,Yongjie Jin

Behavioral and brain functions : BBF 21:29 PubMed41024062

2025

PHLPP1 deficiency alleviates dopaminergic neurodegeneration and represses neuroinflammation in Parkinson's disease.

Applications

Unspecified application

Species

Unspecified reactive species

Zhilin Chen,Yuan Liu,Jinyue Zhao,Xin Zhou,Yudi Han,Zikai Zhou,Huazheng Liang,Yong Bi

International journal of molecular sciences 26: PubMed40943576

2025

Effects of Exposure of PHMG-p, a Humidifier Disinfectant Component, on Eye Dryness: A Study on a Rat Model Based on H-NMR Metabolomics.

Applications

Unspecified application

Species

Unspecified reactive species

Jung Dae Lee,Hyang Yeon Kim,Soo Bean Oh,Hyeyoon Goo,Kyong Jin Cho,Gi-Wook Hwang,Suhkmann Kim,Kyu-Bong Kim

Journal of molecular histology 56:302 PubMed40921925

2025

Tongxinluo alleviates myocardial ischemia-reperfusion injury by inhibiting the pyroptosis of endothelial cells via the NLRP3/Caspase-1/GSDMD signaling pathway.

Applications

Unspecified application

Species

Unspecified reactive species

Xuan Wu,Yun-Long Hou,Tong-Xing Wang,Li-Ping Chang,Hong-Ru Zhou,Ming-Ye Wang,Yi-Ling Wu

Eye and vision (London, England) 12:36 PubMed40898311

2025

Early retinal changes in type 2 diabetes detected by texture-based OCT analysis: potential approach for subclinical diabetic retinopathy diagnosis.

Applications

Unspecified application

Species

Unspecified reactive species

Sara Oliveira,Pedro Guimarães,Ângelo Roque-Rosado,Elisa Julião Campos,Pedro Serranho,Paulo Matafome,Rui Bernardes,António Francisco Ambrósio

Antioxidants (Basel, Switzerland) 14: PubMed40867817

2025

Pro-Inflammatory Microglia Exacerbate High-Altitude-Induced Cognitive Impairment by Driving Lipid Droplet Accumulation in Astrocytes.

Applications

Unspecified application

Species

Unspecified reactive species

Xiaoyang Fan,Sitong Cao,Yujie Fang,Li Zhu,Xueting Wang

International journal of molecular sciences 26: PubMed40869248

2025

Cilastatin Attenuates Acute Kidney Injury and Reduces Mortality in a Rat Model of Sepsis.

Applications

Unspecified application

Species

Unspecified reactive species

María Ángeles González-Nicolás,Blanca Humanes,Raquel Herrero,Mario Arenillas,Beatriz López,Antonio Ferruelo,José Ángel Lorente,Alberto Lázaro

Cells 14: PubMed40862775

2025

The Function of Transforming Growth Factor 2 in Facilitating Inflammasome Activation to Enhance the Development of Myopia via Complement System.

Applications

Unspecified application

Species

Unspecified reactive species

Sheng-Chun Lin,Yu-An Hsu,Chi-Fong Lin,Chih-Sheng Chen,Peng-Tai Tien,Yao-Chien Wang,Ching-Yao Chang,En-Shyh Lin,Jamie Jiin-Yi Chen,Ming-Yen Wu,Hui-Ju Lin,Lei Wan
View all publications

Product promise

We are committed to supporting your work with high-quality reagents, and we're here for you every step of the way. In the unlikely event that one of our products does not perform as expected, you're protected by our Product Promise.
For full details, please see our Terms & Conditions

Please note: All products are 'FOR RESEARCH USE ONLY. NOT FOR USE IN DIAGNOSTIC OR THERAPEUTIC PROCEDURES'.

For licensing inquiries, please contact partnerships@abcam.com