JavaScript is disabled in your browser. Please enable JavaScript to view this website.
AB254195

Anti-IL-1 beta antibody [EPR16805-15] - BSA and Azide free

Be the first to review this product! Submit a review

|

(1 Publication)

Rabbit Recombinant Monoclonal IL-1 beta antibody. Carrier free. Suitable for WB, IP, ICC/IF, Flow Cyt (Intra) and reacts with Rat, Mouse samples. Cited in 1 publication.

View Alternative Names

Interleukin-1 beta, IL-1 beta, Il1b

4 Images
Immunocytochemistry/ Immunofluorescence - Anti-IL-1 beta antibody [EPR16805-15] - BSA and Azide free (AB254195)
  • ICC/IF

Supplier Data

Immunocytochemistry/ Immunofluorescence - Anti-IL-1 beta antibody [EPR16805-15] - BSA and Azide free (AB254195)

This data was developed using the same antibody clone in a different buffer formulation containing PBS, BSA, glycerol, and sodium azide (ab234437).

Immunohistochemical analysis of 4% paraformaldehyde fixed, 0.1% TritonX-100 permeabilised J774A.1 (mouse reticulum cell sarcoma monocyte macrophage) cells labeling IL-1 beta with ab234437 at 1/50 (10μg/ml) dilution. ab150081 Goat Anti-Rabbit IgG H&L (Alexa Fluor® 488) preadsorbed was used as a secondary antibody at 1/1000 (2μg/ml) dilution. Counterstained with ab195889 Anti-alpha Tubulin mouse monoclonal antibody - Microtubule Marker (Alexa Fluor® 594). Nuclear staining : DAPI.

Confocal image showing cytoplasmic staining in J774A.1 cells treated with Lipopolysaccharides (100 ng/ml) for 4h, with addition of brefeldin A (1 μg/ml) for the last 3 hours.

Flow Cytometry (Intracellular) - Anti-IL-1 beta antibody [EPR16805-15] - BSA and Azide free (AB254195)
  • Flow Cyt (Intra)

Unknown

Flow Cytometry (Intracellular) - Anti-IL-1 beta antibody [EPR16805-15] - BSA and Azide free (AB254195)

Intracellular flow cytometric analysis of4% paraformaldehyde-fixed, 0.1% Triton X-100 permeabilized RAW 264.7 (mouse macrophage cell line transformed with Abelson murine leukemia virus) cells that were either treated (100 ng/ml LPS for 3h, then add 300 ng/ml Brefeldin A for 3h labeling) (red) or untreated (green) labeling IL-1 beta with ab234437 at 1/60 dilution compared with a rabbit monoclonal IgG Isotype control (ab172730) (black) and an unlabelled control (cells without incubation with primary antibody and secondary antibody) (blue). Goat anti-Rabbit IgG (Alexa Fluor® 488, ab150077), at 1/2000 dilution was used as the secondary antibody.

IL-1 beta is not present under homeostatic conditions; it is induced and secreted only upon inflammatory signals and its secretion is tightly controlled at the levels of transcription, mRNA stability, translation, post-translational modifications and processing (PMID : 26686225).

This data was developed using the same antibody clone in a different buffer formulation containing PBS, BSA, glycerol, and sodium azide (ab234437).

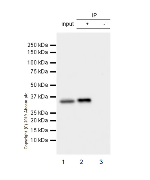
Immunoprecipitation - Anti-IL-1 beta antibody [EPR16805-15] - BSA and Azide free (AB254195)
  • IP

Unknown

Immunoprecipitation - Anti-IL-1 beta antibody [EPR16805-15] - BSA and Azide free (AB254195)

IL-1 beta was immunoprecipitated from 0.35 mg of RAW 264.7 (mouse macrophage cell line transformed with Abelson murine leukemia virus) (treated with 100 ng/ml LPS for 3h, then add 300 ng/ml Brefeldin A for 3h) whole cell lysate with ab234437 at 1/30 dilution. Western blot was performed from the immunoprecipitate using ab234437 at 1/1000 dilution. VeriBlot for IP Detection Reagent (HRP) (ab131366), was used as secondary antibody at 1/5000 dilution.

Lane 1 : RAW 264.7 (treated with 100 ng/ml LPS for 3h, then add 300 ng/ml Brefeldin A for 3h) whole cell lysate 10 μg (Input).
Lane 2 : ab234437 IP in RAW 264.7 (treated with 100 ng/ml LPS for 3h, then add 300 ng/ml Brefeldin A for 3h) whole cell lysate.
Lane 3 : Rabbit monoclonal IgG (ab172730) instead of ab234437 in RAW 264.7 (treated with 100 ng/ml LPS for 3h, then add 300 ng/ml Brefeldin A for 3h) whole cell lysate.

IL-1 beta is not present under homeostatic conditions; it is induced and secreted only upon inflammatory signals and its secretion is tightly controlled at the levels of transcription, mRNA stability, translation, post-translational modifications and processing (PMID : 26686225).

Blocking and dilution buffer and concentration : 5% NFDM/TBST.
Exposure time : 3 seconds.

This data was developed using the same antibody clone in a different buffer formulation containing PBS, BSA, glycerol, and sodium azide (ab234437).

All lanes:

Immunoprecipitation - Anti-IL-1 beta antibody [EPR16805-15] (<a href='/en-us/products/primary-antibodies/il-1-beta-antibody-epr16805-15-ab234437'>ab234437</a>)

Predicted band size: 30 kDa

Observed band size: 31 kDa

false

Western blot - Anti-IL-1 beta antibody [EPR16805-15] - BSA and Azide free (AB254195)
  • WB

Lab

Western blot - Anti-IL-1 beta antibody [EPR16805-15] - BSA and Azide free (AB254195)

This data was developed using the same antibody clone in a different buffer formulation (ab234437). Blocking and dilution buffer : 5% NFDM/TBST

All lanes:

Western blot - Anti-IL-1 beta antibody [EPR16805-15] (<a href='/en-us/products/primary-antibodies/il-1-beta-antibody-epr16805-15-ab234437'>ab234437</a>) at 1/1000 dilution

Lanes 1 and 3:

Untreated NR8383 (rat lung macrophage (alveolar)) whole cell lysate at 20 µg

Lane 2:

NR8383 (rat lung macrophage (alveolar)) treated with 100ng/ml IFN gamma and 10ng TNF alpha for 32 hours, then with 5 µg/ml Brefeldin A (BFA) added for 6 hours whole cell lysate at 20 µg

Lane 4:

NR8383 (rat lung macrophage (alveolar)) treated with 100ng/ml LPS and 300ng /ml Brefeldin A (BFA) for 6 hours whole cell lysate at 20 µg

Secondary

All lanes:

Western blot - Goat Anti-Rabbit IgG H&L (HRP) (<a href='/en-us/products/secondary-antibodies/goat-rabbit-igg-h-l-hrp-ab97051'>ab97051</a>) at 1/20000 dilution

Observed band size: 20 kDa,31 kDa

false

Exposure time: 40s

  • Unconjugated

    Anti-IL-1 beta antibody [EPR16805-15]

  • Carrier free

    Anti-IL-1 beta antibody [EPR16805-15] - BSA and Azide free (Capture)

Key facts

Host species

Rabbit

Clonality

Monoclonal

Clone number

EPR16805-15

Isotype

IgG

Carrier free

Yes

Reacts with

Mouse

Applications

ICC/IF, WB, Flow Cyt (Intra), IP

applications

Immunogen

The exact immunogen used to generate this antibody is proprietary information.

Specificity

IL-1 beta is not present under homeostatic conditions; it is induced and secreted only upon inflammatory signals and its secretion is tightly controlled at the levels of transcription, mRNA stability, translation, post-translational modifications and processing (PMID: 26686225).

Reactivity data

{ "title": "Reactivity Data", "filters": { "stats": ["", "Species", "Dilution Info", "Notes"], "tabs": { "all-applications": {"fullname" : "All Applications", "shortname": "All Applications"}, "WB" : {"fullname" : "Western blot", "shortname":"WB"}, "IP" : {"fullname" : "Immunoprecipitation", "shortname":"IP"}, "IHCP" : {"fullname" : "Immunohistochemistry (Formalin/PFA-fixed paraffin-embedded sections)", "shortname":"IHC-P"}, "ICCIF" : {"fullname" : "Immunocytochemistry/ Immunofluorescence", "shortname":"ICC/IF"}, "FlowCytIntra" : {"fullname" : "Flow Cytometry (Intracellular)", "shortname":"Flow Cyt (Intra)"} }, "product-promise": { "all": "all", "testedAndGuaranteed": "tested", "guaranteed": "expected", "predicted": "predicted", "notRecommended": "not-recommended" } }, "values": { "Mouse": { "WB-species-checked": "guaranteed", "WB-species-dilution-info": "", "WB-species-notes": "<p></p>", "IP-species-checked": "testedAndGuaranteed", "IP-species-dilution-info": "", "IP-species-notes": "<p></p>", "IHCP-species-checked": "notRecommended", "IHCP-species-dilution-info": "", "IHCP-species-notes": "<p></p>", "ICCIF-species-checked": "testedAndGuaranteed", "ICCIF-species-dilution-info": "", "ICCIF-species-notes": "<p></p>", "FlowCytIntra-species-checked": "testedAndGuaranteed", "FlowCytIntra-species-dilution-info": "", "FlowCytIntra-species-notes": "<p></p>" }, "Rat": { "WB-species-checked": "testedAndGuaranteed", "WB-species-dilution-info": "", "WB-species-notes": "<p></p>", "IP-species-checked": "guaranteed", "IP-species-dilution-info": "", "IP-species-notes": "", "IHCP-species-checked": "notRecommended", "IHCP-species-dilution-info": "", "IHCP-species-notes": "", "ICCIF-species-checked": "guaranteed", "ICCIF-species-dilution-info": "", "ICCIF-species-notes": "", "FlowCytIntra-species-checked": "guaranteed", "FlowCytIntra-species-dilution-info": "", "FlowCytIntra-species-notes": "" } } }

Product details

ab254195 is the carrier-free version of ab234437.

Patented technology
Our RabMAb® technology is a patented hybridoma-based technology for making rabbit monoclonal antibodies. For details on our patents, please refer to RabMAb® patents.

What are the advantages of a recombinant monoclonal antibody?
This product is a recombinant monoclonal antibody, which offers several advantages including:

  • - High batch-to-batch consistency and reproducibility
  • - Improved sensitivity and specificity
  • - Long-term security of supply
  • - Animal-free batch production

For more information, read more on recombinant antibodies.

Conjugation ready
Our carrier-free antibodies are typically supplied in a PBS-only formulation, purified and free of BSA, sodium azide and glycerol. This conjugation-ready format is designed for use with fluorochromes, metal isotopes, oligonucleotides, and enzymes, which makes them ideal for antibody labelling, functional and cell-based assays, flow-based assays (e.g. mass cytometry) and Multiplex Imaging applications.

Use our conjugation kits for antibody conjugates that are ready-to-use in as little as 20 minutes with 1 minute hands-on-time and 100% antibody recovery: available for fluorescent dyes, HRP, biotin and gold.

Compatibility
This product is compatible with the Maxpar® Antibody Labeling Kit from Fluidigm, without the need for antibody preparation. Maxpar® is a trademark of Fluidigm Canada Inc.

Properties and storage information

Form
Liquid
Purification technique
Affinity purification Protein A
Storage buffer
pH: 7.2 - 7.4 Constituents: PBS
Shipped at conditions
Blue Ice
Appropriate short-term storage conditions
+4°C
Appropriate long-term storage conditions
+4°C
Storage information
Do Not Freeze

Product protocols

For this product, it's our understanding that no specific protocols are required. You can visit:

Target data

Potent pro-inflammatory cytokine. Initially discovered as the major endogenous pyrogen, induces prostaglandin synthesis, neutrophil influx and activation, T-cell activation and cytokine production, B-cell activation and antibody production, and fibroblast proliferation and collagen production. Promotes Th17 differentiation of T-cells. Synergizes with IL12/interleukin-12 to induce IFNG synthesis from T-helper 1 (Th1) cells. Plays a role in angiogenesis by inducing VEGF production synergistically with TNF and IL6. Involved in transduction of inflammation downstream of pyroptosis : its mature form is specifically released in the extracellular milieu by passing through the gasdermin-D (GSDMD) pore.
See full target information Il1b

Publications (1)

Recent publications for all applications. Explore the full list and refine your search

Theranostics 14:7219-7240 PubMed39629129

2024

Gut microbiota depletion and FXR inhibition exacerbates zonal hepatotoxicity of sunitinib.

Applications

Unspecified application

Species

Unspecified reactive species

Qi Zhao,Yingmei Lu,Jingyi Duan,Dan Du,Qianlun Pu,Fei Li
View all publications

Product promise

We are committed to supporting your work with high-quality reagents, and we're here for you every step of the way. In the unlikely event that one of our products does not perform as expected, you're protected by our Product Promise.
For full details, please see our Terms & Conditions

Please note: All products are 'FOR RESEARCH USE ONLY. NOT FOR USE IN DIAGNOSTIC OR THERAPEUTIC PROCEDURES'.

For licensing inquiries, please contact partnerships@abcam.com