JavaScript is disabled in your browser. Please enable JavaScript to view this website.
AB315085

Anti-IL-1 beta antibody [EPR24895-116] - BSA and Azide free

  • BOND RX™ Validated
  • RabMAb
  • Recombinant
  • KO Validated
  • What is this?

Be the first to review this product! Submit a review

|

(1 Publication)

Knockout Tested Rabbit Recombinant Monoclonal IL-1 beta antibody. Carrier free. Suitable for WB, IHC-P, Flow Cyt (Intra), ICC/IF and reacts with Human, Mouse, Rat, Transfected cell line samples. Cited in 1 publication.

View Alternative Names

IL1F2, IL1B, Interleukin-1 beta, IL-1 beta, Catabolin

12 Images
Immunohistochemistry (Formalin/PFA-fixed paraffin-embedded sections) - Anti-IL-1 beta antibody [EPR24895-116] - BSA and Azide free (AB315085)
  • IHC-P

Supplier Data

Immunohistochemistry (Formalin/PFA-fixed paraffin-embedded sections) - Anti-IL-1 beta antibody [EPR24895-116] - BSA and Azide free (AB315085)

This data was developed using ab315084, the same antibody clone in a different buffer formulation.

Immunohistochemical analysis of paraffin-embedded (A) THP-1 (human monocytic leukemia monocyte) cells treated first with 80 nM TPA for overnight, then replaced with 100 ng/ml LPS for 3 hours, 300 ng/ml BFA was then added for additional 3 hours cell pellet. (B) Untreated THP-1 cell pellet. tissue labeling IL-1 beta with ab315084 at 1/8000 (0.063 ug/ml) dilution, followed by a ready to use LeicaDS9800 (Bond™ Polymer Refine Detection).

Positive staining on (A) THP-1 treated first with 80 nM TPA for overnight, then replaced with 100 ng/ml LPS for 3 hours, 300 ng/ml BFA was then added for additional 3 hours cell pellet, negative staining on (B) untreated THP-1 cell pellet.The section was incubated with ab315084 for 30 mins at room temperature.The immunostaining was performed on a Leica Biosystems BOND® RX instrument Counterstained with Hematoxylin.

Secondary antibody only control : Secondary antibody is a ready to use LeicaDS9800 (Bond™ Polymer Refine Detection).

Heat mediated antigen retrieval with Tris-EDTA buffer (pH 9.0, epitope retrieval solution2) for 20 mins

Immunohistochemistry (Formalin/PFA-fixed paraffin-embedded sections) - Anti-IL-1 beta antibody [EPR24895-116] - BSA and Azide free (AB315085)
  • IHC-P

Supplier Data

Immunohistochemistry (Formalin/PFA-fixed paraffin-embedded sections) - Anti-IL-1 beta antibody [EPR24895-116] - BSA and Azide free (AB315085)

This data was developed using ab315084, the same antibody clone in a different buffer formulation.

Immunohistochemical analysis of paraffin-embedded (A) HEK-293T (human epithelial cell line from embryonic kidney) transfected with a IL1B expression vector containing a Myc-His tag. (B) HEK-293T transfected with empty vector containing a Myc-His tag. tissue labeling IL-1 beta with ab315084 at 1/8000 (0.063 ug/ml) dilution, followed by a ready to use LeicaDS9800 (Bond™ Polymer Refine Detection).

Positive staining on (A) HEK-293T (human epithelial cell line from embryonic kidney) transfected with a IL1B expression vector containing a Myc-His tag, negative staining on (B) HEK-293T transfected with empty vector containing a Myc-His tag. The section was incubated with ab315084 for 30 mins at room temperature.The immunostaining was performed on a Leica Biosystems BOND® RX instrument Counterstained with Hematoxylin.

Secondary antibody only control : Secondary antibody is a ready to use LeicaDS9800 (Bond™ Polymer Refine Detection).

Heat mediated antigen retrieval was performed with Tris-EDTA buffer (pH 9.0, Epitope Retrieval Solution2) for 20 mins

Flow Cytometry (Intracellular) - Anti-IL-1 beta antibody [EPR24895-116] - BSA and Azide free (AB315085)
  • Flow Cyt (Intra)

Supplier Data

Flow Cytometry (Intracellular) - Anti-IL-1 beta antibody [EPR24895-116] - BSA and Azide free (AB315085)

This data was developed using ab315084, the same antibody clone in a different buffer formulation.

Flow cytometric analysis of 4% paraformaldehyde fixed 90% methanol permeabilized THP-1 (human monocytic leukemia monocyte) treated with 80nM TPA overnight and then treated with 100ng/ml LPS for 6h and 300ng/ml BFA for 3h (Red) / Untreated THP-1 (Green) cells labelling IL-1 beta with ab315084 at 1/500 dilution (0.1 ug)/Red and Green compared with a Rabbit monoclonal IgG (ab172730) (Black) isotype control and an unlabelled control (cells without incubation with primary antibody and secondary antibody) (Blue).

Goat Anti-Rabbit IgG (Alexa Fluor® 488, ab150081) at 1/5000 dilution was used as the secondary antibody.

Immunocytochemistry/ Immunofluorescence - Anti-IL-1 beta antibody [EPR24895-116] - BSA and Azide free (AB315085)
  • ICC/IF

Supplier Data

Immunocytochemistry/ Immunofluorescence - Anti-IL-1 beta antibody [EPR24895-116] - BSA and Azide free (AB315085)

This data was developed using ab315084, the same antibody clone in a different buffer formulation.

Immunofluorescent analysis of 4% Paraformaldehyde-fixed, 0.1% TritonX-100 permeabilized THP-1 (human monocytic leukemia monocyte) cells labelling IL-1 beta with ab315084 at 1/50 (10.14 ug/ml) dilution, followed by ab150081 Goat Anti-Rabbit IgG H&L (Alexa Fluor® 488) preadsorbed antibody at 1/1000 (2 ug/ml) dilution (Green).

Confocal image showing cytoplasmic and nuclear staining in THP-1 cells treated with TPA (80 nM) for 16 h, then LPS (100 ng/ml) for 3 h with BFA (300 ng/ml) for the last 3 h.Image was taken with a confocal microscope(Leica-Microsystems, TCS SP8).

ab195889 Anti-alpha Tubulin mouse monoclonal antibody - Microtubule Marker (Alexa Fluor® 594) was used to counterstain tubulin at 1/200 (2.5ug/ml) dilution (Red). The Nuclear counterstain was DAPI (Blue).

Secondary antibody only control : Secondary antibody is ab150081 Goat Anti-Rabbit IgG H&L (Alexa Fluor® 488) preadsorbed at 1/1000 (2 ug/ml) dilution.

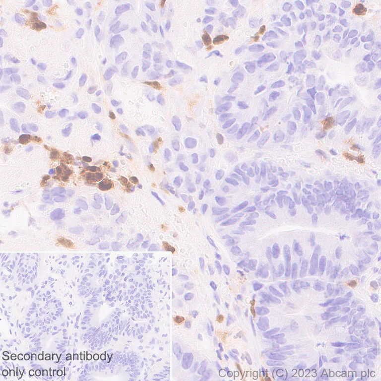
Immunohistochemistry (Formalin/PFA-fixed paraffin-embedded sections) - Anti-IL-1 beta antibody [EPR24895-116] - BSA and Azide free (AB315085)
  • IHC-P

Supplier Data

Immunohistochemistry (Formalin/PFA-fixed paraffin-embedded sections) - Anti-IL-1 beta antibody [EPR24895-116] - BSA and Azide free (AB315085)

This data was developed using ab315084, the same antibody clone in a different buffer formulation.

Immunohistochemical analysis of paraffin-embedded Human colon carcinoma tissue labeling IL-1 beta with ab315084 at 1/500 (1.014 ug/ml) dilution, followed by a ready to use LeicaDS9800 (Bond™ Polymer Refine Detection).

Positive staining on immune cells of human colon carcinoma (PMID : 29803656). The section was incubated with ab315084 for 30 mins at room temperature.The immunostaining was performed on a Leica Biosystems BOND® RX instrument Counterstained with Hematoxylin.

Secondary antibody only control : Secondary antibody is a ready to use LeicaDS9800 (Bond™ Polymer Refine Detection).

Heat mediated antigen retrieval was performed with Tris-EDTA buffer (pH 9.0, Epitope Retrieval Solution2) for 20 mins

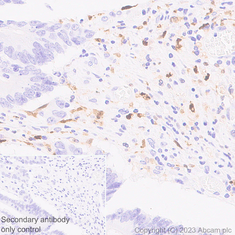
Immunohistochemistry (Formalin/PFA-fixed paraffin-embedded sections) - Anti-IL-1 beta antibody [EPR24895-116] - BSA and Azide free (AB315085)
  • IHC-P

Supplier Data

Immunohistochemistry (Formalin/PFA-fixed paraffin-embedded sections) - Anti-IL-1 beta antibody [EPR24895-116] - BSA and Azide free (AB315085)

This data was developed using ab315084, the same antibody clone in a different buffer formulation.

Immunohistochemical analysis of paraffin-embedded (A) Rat lung treated with LPS (1ug/ml for 16 hours) and BFA(1ug/ml for 16 hours). (B) Untreated rat lung. tissue labeling IL-1 beta with ab315084 at 1/500 (1.014 ug/ml) dilution, followed by a ready to use LeicaDS9800 (Bond™ Polymer Refine Detection).

Positive staining on immune cells of (A) rat lung treated with LPS (1ug/ml for 16 hours) and BFA(1ug/ml for 16 hours), negative staining on (B) Untreated rat lung. The section was incubated with ab315084 for 30 mins at room temperature.The immunostaining was performed on a Leica Biosystems BOND® RX instrument Counterstained with Hematoxylin.

Secondary antibody only control : Secondary antibody is a ready to use LeicaDS9800 (Bond™ Polymer Refine Detection).

Heat mediated antigen retrieval was performed with Tris-EDTA buffer (pH 9.0, Epitope Retrieval Solution2) for 20 mins

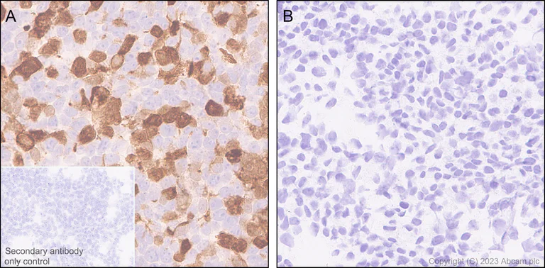
Immunohistochemistry (Formalin/PFA-fixed paraffin-embedded sections) - Anti-IL-1 beta antibody [EPR24895-116] - BSA and Azide free (AB315085)
  • IHC-P

Supplier Data

Immunohistochemistry (Formalin/PFA-fixed paraffin-embedded sections) - Anti-IL-1 beta antibody [EPR24895-116] - BSA and Azide free (AB315085)

This data was developed using ab315084, the same antibody clone in a different buffer formulation.

Immunohistochemical analysis of paraffin-embedded (A) RAW 264.7 (mouse leukemia cells of monocyte macrophage) cells treated with 100ng/ml LPS for 4+3 hours, 1µg/ml BFA was then added for additional 3 hours cell pellet. (B) Untreated RAW 264.7 cell pellet. tissue labeling IL-1 beta with ab315084 at 1/500 (1.014 ug/ml) dilution, followed by a ready to use LeicaDS9800 (Bond™ Polymer Refine Detection).

Positive staining on (A) RAW 264.7 cells treated with 100ng/ml LPS for 4+3 hours, 1µg/ml BFA was then added for additional 3 hours cell pellet, negative staining on (B) Untreated RAW 264.7 cell pellet. The section was incubated with ab315084 for 30 mins at room temperature.The immunostaining was performed on a Leica Biosystems BOND® RX instrument Counterstained with Hematoxylin.

Secondary antibody only control : Secondary antibody is a ready to use LeicaDS9800 (Bond™ Polymer Refine Detection).

Heat mediated antigen retrieval was performed with Tris-EDTA buffer (pH 9.0, Epitope Retrieval Solution2) for 20 mins

Immunohistochemistry (Formalin/PFA-fixed paraffin-embedded sections) - Anti-IL-1 beta antibody [EPR24895-116] - BSA and Azide free (AB315085)
  • IHC-P

Supplier Data

Immunohistochemistry (Formalin/PFA-fixed paraffin-embedded sections) - Anti-IL-1 beta antibody [EPR24895-116] - BSA and Azide free (AB315085)

This data was developed using ab315084, the same antibody clone in a different buffer formulation.

Immunohistochemical analysis of paraffin-embedded Mouse colon carcinoma tissue labeling IL-1 beta with ab315084 at 1/500 (1.014 ug/ml) dilution, followed by a ready to use LeicaDS9800 (Bond™ Polymer Refine Detection).

Positive staining on immune cells of mouse colon carcinoma (PMID : 26292622). The section was incubated with ab315084 for 30 mins at room temperature.The immunostaining was performed on a Leica Biosystems BOND® RX instrument Counterstained with Hematoxylin.

Secondary antibody only control : Secondary antibody is a ready to use LeicaDS9800 (Bond™ Polymer Refine Detection).

Heat mediated antigen retrieval was performed with Tris-EDTA buffer (pH 9.0, Epitope Retrieval Solution2) for 20 mins

Immunohistochemistry (Formalin/PFA-fixed paraffin-embedded sections) - Anti-IL-1 beta antibody [EPR24895-116] - BSA and Azide free (AB315085)
  • IHC-P

Supplier Data

Immunohistochemistry (Formalin/PFA-fixed paraffin-embedded sections) - Anti-IL-1 beta antibody [EPR24895-116] - BSA and Azide free (AB315085)

This data was developed using ab315084, the same antibody clone in a different buffer formulation.

Immunohistochemical analysis of paraffin-embedded (A) NR8383 (rat alveolar macrophages) cells treated with 100ng/ml LPS for 4+3 hours, 1 ug/ml BFA was then added for additional 3 hours cell pellet. (B) Untreated NR8383 cell pellet. tissue labeling IL-1 beta with ab315084 at 1/2000 (0.254 ug/ml) dilution, followed by a ready to use LeicaDS9800 (Bond™ Polymer Refine Detection).

Positive staining on (A) NR8383 cells treated with 100ng/ml LPS for 4+3 hours, 1 ug/ml BFA was then added for additional 3 hours cell pellet, negative staining on (B) Untreated NR8383 cell pellet. The section was incubated with ab315084 for 30 mins at room temperature.The immunostaining was performed on a Leica Biosystems BOND® RX instrument Counterstained with Hematoxylin.

Secondary antibody only control : Secondary antibody is a ready to use LeicaDS9800 (Bond™ Polymer Refine Detection).

Heat mediated antigen retrieval was performed with Tris-EDTA buffer (pH 9.0, Epitope Retrieval Solution2) for 20 mins

Western blot - Anti-IL-1 beta antibody [EPR24895-116] - BSA and Azide free (AB315085)
  • WB

Supplier Data

Western blot - Anti-IL-1 beta antibody [EPR24895-116] - BSA and Azide free (AB315085)

This data was developed using ab315084, the same antibody clone in a different buffer formulation.

Blocking and diluting buffer and concentration : Intercept® (TBS) Blocking Buffer diluted with an equal volume of TBS.

The samples were run on a Bis-Tris gel under reducing conditions.

Western blot : Anti-IL-1 beta antibody (ab315084) staining at 1/1000 dilution, shown in green; Mouse anti-alpha Tubulin antibody [DM1A] (ab7291) loading control staining at 1/20, 000 dilution, shown in red.

In Western blot, ab315084 was shown to bind specifically to IL-1 beta. Target of interest was observed at 34, 17 kDa in Wild-type THP-1 treated first with 80 nM TPA for overnight, then replaced with 100 ng/ml LPS for 3 hours, 300 ng/ml BFA was then added for additional 3 hours, whole cell lysate (lane 2) with no signal observed at this size in IL-1 beta knockout THP-1 treated first with 80 nM TPA for overnight, then replaced with 100 ng/ml LPS for 3 hours, 300 ng/ml BFA was then added for additional 3 hours cell line ab273762 (knockout cell lysate ab275508) (lane 4). To generate this image, samples were first run on an SDS-PAGE gel then transferred onto an immobilon-FL PVDF membrane. Membranes were blocked in a fluorescent western blot (TBS-based) blocking solution before incubation with primary antibodies overnight at 4 °C. Blots were washed in TBS-T, incubated with secondary antibodies Goat anti-Rabbit IgG H&L 800CW and Goat anti-Mouse IgG H&L 680RD at 1/20000 dilution for 1 h at room temperature, washed again then imaged.

All lanes:

Western blot - Anti-IL-1 beta antibody [EPR24895-116] (<a href='/en-us/products/primary-antibodies/il-1-beta-antibody-epr24895-116-ab315084'>ab315084</a>) at 1/1000 dilution

Lane 1:

Untreated Wild-type THP-1 (human monocytic leukemia monocyte) whole cell lysate at 20 µg

Lane 2:

Wild-type THP-1 treated first with 80 nM TPA for overnight, then replaced with /ml LPS for 3 hours, 300 ng/ml BFA was then added for additional 3 hours, whole cell lysate at 20 µg

Lane 3:

Untreated IL-1 beta knockout THP-1 whole cell lysate at 20 µg

Lane 4:

IL-1 beta knockout THP-1 treated first with 80 nM TPA for overnight, then replaced with /ml LPS for 3 hours, 300 ng/ml BFA was then added for additional 3 hours, whole cell lysate at 20 µg

Secondary

All lanes:

Goat Anti-Rabbit IgG H&L (800CW) and Goat Anti-Mouse IgG H&L (680RD) at 1/20000 dilution

Observed band size: 34 kDa,17 kDa

false

Western blot - Anti-IL-1 beta antibody [EPR24895-116] - BSA and Azide free (AB315085)
  • WB

Supplier Data

Western blot - Anti-IL-1 beta antibody [EPR24895-116] - BSA and Azide free (AB315085)

This data was developed using ab315084, the same antibody clone in a different buffer formulation.

Blocking and diluting buffer and concentration : 5% NFDM/TBST.

In Western blot, Anti-Vinculin antibody [EPR8185] (ab129002) staining at 1/10000 dilution.

Exposure time : Lanes 1-2 : 1 second; Lanes 3-4 : 6 seconds.

All lanes:

Western blot - Anti-IL-1 beta antibody [EPR24895-116] (<a href='/en-us/products/primary-antibodies/il-1-beta-antibody-epr24895-116-ab315084'>ab315084</a>) at 1/1000 dilution

Lane 1:

Untreated THP-1 (human monocytic leukemia monocyte) whole cell lysate at 20 µg

Lane 2:

THP-1 treated first with 80 nM TPA for overnight, then replaced with /ml LPS for 3 hours, 300 ng/ml BFA was then added for additional 3 hours, whole cell lysate at 20 µg

Lane 3:

Untreated RAW 264.7 (mouse abelson murine leukemia virus-induced tumor macrophage) whole cell lysate at 20 µg

Lane 4:

RAW 264.7 treated with /ml LPS for 4 hours, 1/ml BFA was then added for additional 3 hours, whole cell lysate at 20 µg

Secondary

All lanes:

Western blot - Goat Anti-Rabbit IgG H&L (HRP) (<a href='/en-us/products/secondary-antibodies/goat-rabbit-igg-h-l-hrp-ab97051'>ab97051</a>) at 1/100000 dilution

Observed band size: 34 kDa

false

Western blot - Anti-IL-1 beta antibody [EPR24895-116] - BSA and Azide free (AB315085)
  • WB

Supplier Data

Western blot - Anti-IL-1 beta antibody [EPR24895-116] - BSA and Azide free (AB315085)

This data was developed using ab315084, the same antibody clone in a different buffer formulation.

Blocking and diluting buffer and concentration : 5% NFDM/TBST.

In Western blot, Anti-Vinculin antibody [EPR8185] (ab129002) staining at 1/10000 dilution.

All lanes:

Western blot - Anti-IL-1 beta antibody [EPR24895-116] (<a href='/en-us/products/primary-antibodies/il-1-beta-antibody-epr24895-116-ab315084'>ab315084</a>) at 1/1000 dilution

Lane 1:

Untreated NR8383 (rat alveolar macrophage) whole cell lysate at 20 µg

Lane 2:

NR8383 treated with 100 ng/ml LPS for 4 hours, 1 μg/ml BFA was then added for additional 3 hours, whole cell lysate at 20 µg

Secondary

All lanes:

Western blot - Goat Anti-Rabbit IgG H&L (HRP) (<a href='/en-us/products/secondary-antibodies/goat-rabbit-igg-h-l-hrp-ab97051'>ab97051</a>) at 1/20000 dilution

Observed band size: 34 kDa

false

Exposure time: 6s

Key facts

Host species

Rabbit

Clonality

Monoclonal

Clone number

EPR24895-116

Isotype

IgG

Carrier free

Yes

Reacts with

Human, Mouse, Rat

Applications

Flow Cyt (Intra), IHC-P, ICC/IF, WB

applications

Immunogen

The exact immunogen used to generate this antibody is proprietary information.

Reactivity data

{ "title": "Reactivity Data", "filters": { "stats": ["", "Species", "Dilution Info", "Notes"], "tabs": { "all-applications": {"fullname" : "All Applications", "shortname": "All Applications"}, "WB" : {"fullname" : "Western blot", "shortname":"WB"}, "IHCP" : {"fullname" : "Immunohistochemistry (Formalin/PFA-fixed paraffin-embedded sections)", "shortname":"IHC-P"}, "FlowCytIntra" : {"fullname" : "Flow Cytometry (Intracellular)", "shortname":"Flow Cyt (Intra)"}, "ICCIF" : {"fullname" : "Immunocytochemistry/ Immunofluorescence", "shortname":"ICC/IF"}, "IHCFr" : {"fullname" : "Immunohistochemistry (Frozen sections)", "shortname":"IHC-Fr"} }, "product-promise": { "all": "all", "testedAndGuaranteed": "tested", "guaranteed": "expected", "predicted": "predicted", "notRecommended": "not-recommended" } }, "values": { "Human": { "WB-species-checked": "testedAndGuaranteed", "WB-species-dilution-info": "", "WB-species-notes": "<p></p>", "IHCP-species-checked": "testedAndGuaranteed", "IHCP-species-dilution-info": "", "IHCP-species-notes": "<p></p>", "FlowCytIntra-species-checked": "testedAndGuaranteed", "FlowCytIntra-species-dilution-info": "", "FlowCytIntra-species-notes": "<p></p>", "ICCIF-species-checked": "testedAndGuaranteed", "ICCIF-species-dilution-info": "", "ICCIF-species-notes": "<p></p>", "IHCFr-species-checked": "notRecommended", "IHCFr-species-dilution-info": "", "IHCFr-species-notes": "" }, "Mouse": { "WB-species-checked": "testedAndGuaranteed", "WB-species-dilution-info": "", "WB-species-notes": "<p></p>", "IHCP-species-checked": "testedAndGuaranteed", "IHCP-species-dilution-info": "", "IHCP-species-notes": "<p></p>", "FlowCytIntra-species-checked": "guaranteed", "FlowCytIntra-species-dilution-info": "", "FlowCytIntra-species-notes": "", "ICCIF-species-checked": "guaranteed", "ICCIF-species-dilution-info": "", "ICCIF-species-notes": "", "IHCFr-species-checked": "notRecommended", "IHCFr-species-dilution-info": "", "IHCFr-species-notes": "<p></p>" }, "Rat": { "WB-species-checked": "testedAndGuaranteed", "WB-species-dilution-info": "", "WB-species-notes": "<p></p>", "IHCP-species-checked": "testedAndGuaranteed", "IHCP-species-dilution-info": "", "IHCP-species-notes": "<p></p>", "FlowCytIntra-species-checked": "guaranteed", "FlowCytIntra-species-dilution-info": "", "FlowCytIntra-species-notes": "", "ICCIF-species-checked": "guaranteed", "ICCIF-species-dilution-info": "", "ICCIF-species-notes": "", "IHCFr-species-checked": "notRecommended", "IHCFr-species-dilution-info": "", "IHCFr-species-notes": "<p></p>" }, "Transfected cell line": { "WB-species-checked": "notRecommended", "WB-species-dilution-info": "", "WB-species-notes": "", "IHCP-species-checked": "testedAndGuaranteed", "IHCP-species-dilution-info": "", "IHCP-species-notes": "<p></p>", "FlowCytIntra-species-checked": "notRecommended", "FlowCytIntra-species-dilution-info": "", "FlowCytIntra-species-notes": "", "ICCIF-species-checked": "notRecommended", "ICCIF-species-dilution-info": "", "ICCIF-species-notes": "", "IHCFr-species-checked": "notRecommended", "IHCFr-species-dilution-info": "", "IHCFr-species-notes": "" } } }

Product details

ab315085 is the carrier-free version of ab315084.

Patented technology
Our RabMAb® technology is a patented hybridoma-based technology for making rabbit monoclonal antibodies. For details on our patents, please refer to RabMAb® patents.

What are the advantages of a recombinant monoclonal antibody?
This product is a recombinant monoclonal antibody, which offers several advantages including:

  • - High batch-to-batch consistency and reproducibility
  • - Improved sensitivity and specificity
  • - Long-term security of supply
  • - Animal-free batch production

For more information, read more on recombinant antibodies.

Conjugation ready
Our carrier-free antibodies are typically supplied in a PBS-only formulation, purified and free of BSA, sodium azide and glycerol. This conjugation-ready format is designed for use with fluorochromes, metal isotopes, oligonucleotides, and enzymes, which makes them ideal for antibody labelling, functional and cell-based assays, flow-based assays (e.g. mass cytometry) and Multiplex Imaging applications.

Use our conjugation kits for antibody conjugates that are ready-to-use in as little as 20 minutes with 1 minute hands-on-time and 100% antibody recovery: available for fluorescent dyes, HRP, biotin and gold.

Compatibility
This product is compatible with the Maxpar® Antibody Labeling Kit from Fluidigm, without the need for antibody preparation. Maxpar® is a trademark of Fluidigm Canada Inc.

Properties and storage information

Form
Liquid
Purification technique
Affinity purification Protein A
Storage buffer
pH: 7.2 - 7.4 Constituents: PBS
Shipped at conditions
Blue Ice
Appropriate short-term storage conditions
+4°C
Appropriate long-term storage conditions
+4°C

Product protocols

For this product, it's our understanding that no specific protocols are required. You can visit:

Target data

Potent pro-inflammatory cytokine (PubMed : 10653850, PubMed : 12794819, PubMed : 28331908, PubMed : 3920526). Initially discovered as the major endogenous pyrogen, induces prostaglandin synthesis, neutrophil influx and activation, T-cell activation and cytokine production, B-cell activation and antibody production, and fibroblast proliferation and collagen production (PubMed : 3920526). Promotes Th17 differentiation of T-cells. Synergizes with IL12/interleukin-12 to induce IFNG synthesis from T-helper 1 (Th1) cells (PubMed : 10653850). Plays a role in angiogenesis by inducing VEGF production synergistically with TNF and IL6 (PubMed : 12794819). Involved in transduction of inflammation downstream of pyroptosis : its mature form is specifically released in the extracellular milieu by passing through the gasdermin-D (GSDMD) pore (PubMed : 33377178, PubMed : 33883744). Acts as a sensor of S.pyogenes infection in skin : cleaved and activated by pyogenes SpeB protease, leading to an inflammatory response that prevents bacterial growth during invasive skin infection (PubMed : 28331908).
See full target information IL1B

Publications (1)

Recent publications for all applications. Explore the full list and refine your search

International heart journal 66:126-136 PubMed39894541

2025

Chrysophanol Mitigates Chronic Heart Failure in Rats by Modulating ROS-Mediated Parthanatos and Pyroptosis.

Applications

Unspecified application

Species

Unspecified reactive species

Mengjiao Zhu,Sichao Tai
View all publications

Product promise

We are committed to supporting your work with high-quality reagents, and we're here for you every step of the way. In the unlikely event that one of our products does not perform as expected, you're protected by our Product Promise.
For full details, please see our Terms & Conditions

Please note: All products are 'FOR RESEARCH USE ONLY. NOT FOR USE IN DIAGNOSTIC OR THERAPEUTIC PROCEDURES'.

For licensing inquiries, please contact partnerships@abcam.com