JavaScript is disabled in your browser. Please enable JavaScript to view this website.
AB283822

Anti-IL-1 beta antibody [RM1009] - BSA and Azide free

5

(1 Review)

|

(3 Publications)

Anti-IL-1 beta antibody [RM1009] - BSA and Azide free (ab283822) is a rabbit recombinant recombinant multiclonal antibody provided in a PBS only buffer for easy conjugation. Suitable for Western Blot, Flow Cytometry, IP, IHC-P in Human, Mouse, Rat.

- BSA, sodium azide, and glycerol-free for easy conjugation
- Biophysical QC for unrivalled batch-batch consistency

View Alternative Names

IL1F2, IL1B, Interleukin-1 beta, IL-1 beta, Catabolin

13 Images
Flow Cytometry - Anti-IL-1 beta antibody [RM1009] - BSA and Azide free (AB283822)
  • Flow Cyt

Supplier Data

Flow Cytometry - Anti-IL-1 beta antibody [RM1009] - BSA and Azide free (AB283822)

This data was developed using ab283818, the same antibody clone in a different buffer formulation.

Flow cytometric analysis of 4% paraformaldehyde fixed 90% methanol permeabilized U-937 (Human histiocytic lymphoma monocyte) treated with 100nM PMA for 2days then 1μg/ml LPS treated for 13h and add 5μg/ml BFA for another 4h (Red) / U-937 treated with 100nM PMA for 2days (Green) cells labelling IL-1 beta with ab283818 at 1/500 dilution (0.1ug) compared with a Rabbit monoclonal IgG (ab172730) (Black) isotype control and an unlabelled control (cells without incubation with primary antibody and secondary antibody) (Blue). A Goat Anti-Rabbit IgG (Alexa Fluor® 488, ab150081) at 1/2000 dilution was used as the secondary antibody.

Immunocytochemistry - Anti-IL-1 beta antibody [RM1009] - BSA and Azide free (AB283822)
  • ICC

Supplier Data

Immunocytochemistry - Anti-IL-1 beta antibody [RM1009] - BSA and Azide free (AB283822)

This data was developed using ab283818, the same antibody clone in a different buffer formulation.

Immunofluorescent analysis of 4% Paraformaldehyde-fixed, 0.1% TritonX-100 permeabilized U-937 cells labelling IL-1 beta with ab283818 at 1/50 (10.58 ug/ml) dilution, followed by ab150081 Goat Anti-Rabbit IgG H&L (Alexa Fluor® 488) preadsorbed antibody at 1/1000 (2 ug/ml) dilution (Green). Confocal image showing cytoplasmic staining in U-937 cells treated with Phorbol-12-myristate-13-acetate (100 nM) for 2 days, then replaced it with Lipopolysaccharides (1 μg/ml) for 13 h, with the addition of Brefeldin A (5 μg/ml) for the last 4 hours. ab195889 Anti-alpha Tubulin mouse monoclonal antibody - Microtubule Marker (Alexa Fluor® 594) was used to counterstain tubulin at 1/200 (2.5ug/ml) dilution (Red). The Nuclear counterstain was DAPI (Blue).

Secondary antibody only control : Secondary antibody is ab150081 Goat Anti-Rabbit IgG H&L (Alexa Fluor® 488) preadsorbed at 1/1000 (2ug/ml) dilution.

Immunoprecipitation - Anti-IL-1 beta antibody [RM1009] - BSA and Azide free (AB283822)
  • IP

Supplier Data

Immunoprecipitation - Anti-IL-1 beta antibody [RM1009] - BSA and Azide free (AB283822)

This data was developed using ab283818, the same antibody clone in a different buffer formulation.

IL-1 beta was immunoprecipitated from 0.35 mg U-937 (Human histiocytic lymphoma monocyte) treated with 100nM PMA for 2 days, then 1μg/ml LPS for 13h and add 5μg/ml BFA for another 4 h, whole cell lysate 10ug with ab283818 at 1/30 dilution (2ug in 0.35mg lysates). Western blot was performed on the immunoprecipitate using ab283818 at 1/1000 dilution. VeriBlot for IP secondary antibody(HRP)(ab131366) was used at 1/5000 dilution.

Lane 1 : U-937 (Human histiocytic lymphoma monocyte) treated with 100nM PMA for 2 days, then 1μg/ml LPS for 13h and add 5μg/ml BFA for another 4 h, whole cell lysate 10ug

Lane 2 : ab283818 IP in U-937 treated with 100nM PMA for 2 days, then 1μg/ml LPS for 13h and add 5μg/ml BFA for another 4 h, whole cell lysate

Lane 3 : Rabbit monoclonal IgG (ab172730) instead of ab283818 in U-937 treated with 100nM PMA for 2 days, then 1μg/ml LPS for 13h and add 5μg/ml BFA for another 4 h, whole cell lysate

Blocking and dilution buffer and concentration : 5% NFDM/TBST.

All lanes:

Immunoprecipitation - Anti-IL-1 beta antibody [RM1009] (<a href='/en-us/products/primary-antibodies/il-1-beta-antibody-rm1009-ab283818'>ab283818</a>)

Predicted band size: 30 kDa

Observed band size: 17.5 kDa,28 kDa,31 kDa

false

Immunocytochemistry - Anti-IL-1 beta antibody [RM1009] - BSA and Azide free (AB283822)
  • ICC

Supplier Data

Immunocytochemistry - Anti-IL-1 beta antibody [RM1009] - BSA and Azide free (AB283822)

This data was developed using ab283818, the same antibody clone in a different buffer formulation.

Immunofluorescent analysis of 4% Paraformaldehyde-fixed, 0.1% TritonX-100 permeabilized RAW 264.7 cells labelling IL-1 beta with ab283818 at 1/50 (10.58 ug/ml) dilution, followed by ab150081 Goat Anti-Rabbit IgG H&L (Alexa Fluor® 488) preadsorbed antibody at 1/1000 (2 ug/ml) dilution (Green). Confocal image showing cytoplasmic and nuclear staining in RAW 264.7 cells transfected with Lipopolysaccharides (100 ng/ml) for 4h, with the addition of brefeldin A (1 ug/ml) for the last 3 hours. (PMID : 18490713, PMID : 18939951). ab195889 Anti-alpha Tubulin mouse monoclonal antibody - Microtubule Marker (Alexa Fluor® 594) was used to counterstain tubulin at 1/200 (2.5ug/ml) dilution (Red). The Nuclear counterstain was DAPI (Blue).

Secondary antibody only control : Secondary antibody is ab150081 Goat Anti-Rabbit IgG H&L (Alexa Fluor® 488) preadsorbed at 1/1000 (2 ug/ml) dilution.

Flow Cytometry (Intracellular) - Anti-IL-1 beta antibody [RM1009] - BSA and Azide free (AB283822)
  • Flow Cyt (Intra)

Supplier Data

Flow Cytometry (Intracellular) - Anti-IL-1 beta antibody [RM1009] - BSA and Azide free (AB283822)

This data was developed using ab283818, the same antibody clone in a different buffer formulation.

Flow cytometric analysis of 4% paraformaldehyde fixed 90% methanol permeabilized J774A.1 (Mouse reticulum cell sarcoma monocyte macrophage) treated with 100ng/ml LPS treated for 4h and add 1μg/ml BFA for another 3h (Red) / Untreated control (Green) cells labelling IL-1 beta with ab283818 at 1/500 dilution (0.1ug) compared with a Rabbit monoclonal IgG (ab172730) (Black) isotype control and an unlabelled control (cells without incubation with primary antibody and secondary antibody) (Blue). A Goat Anti-Rabbit IgG (Alexa Fluor® 488, ab150081) at 1/2000 dilution was used as the secondary antibody.

Immunocytochemistry - Anti-IL-1 beta antibody [RM1009] - BSA and Azide free (AB283822)
  • ICC

Supplier Data

Immunocytochemistry - Anti-IL-1 beta antibody [RM1009] - BSA and Azide free (AB283822)

This data was developed using ab283818, the same antibody clone in a different buffer formulation.

Immunofluorescent analysis of 4% Paraformaldehyde-fixed, 0.1% TritonX-100 permeabilized J774A.1 cells labelling IL-1 beta with ab283818 at 1/50 (10.58 ug/ml) dilution, followed by ab150081 Goat Anti-Rabbit IgG H&L (Alexa Fluor® 488) preadsorbed antibody at 1/1000 (2 ug/ml) dilution (Green). Confocal image showing cytoplasmic staining in J774A.1 cells treated with Lipopolysaccharides (100 ng/ml) for 4h, with the addition of brefeldin A (1 ug/ml) for the last 3 hours. ab195889 Anti-alpha Tubulin mouse monoclonal antibody - Microtubule Marker (Alexa Fluor® 594) was used to counterstain tubulin at 1/200 (2.5 ug/ml) dilution (Red). The Nuclear counterstain was DAPI (Blue).

Secondary antibody only control : Secondary antibody is ab150081 Goat Anti-Rabbit IgG H&L (Alexa Fluor® 488) preadsorbed at 1/1000 (2 ug/ml) dilution.

Immunohistochemistry (Formalin/PFA-fixed paraffin-embedded sections) - Anti-IL-1 beta antibody [RM1009] - BSA and Azide free (AB283822)
  • IHC-P

Supplier Data

Immunohistochemistry (Formalin/PFA-fixed paraffin-embedded sections) - Anti-IL-1 beta antibody [RM1009] - BSA and Azide free (AB283822)

This data was developed using ab283818, the same antibody clone in a different buffer formulation.

Immunohistochemical analysis of paraffin-embedded RAW 264.7 cells labelling IL-1 beta with ab283818 at 1/500 (1.058 ug/ml) followed by a ready to use LeicaDS9800 (Bond™, Polymer Refine Detection). Positive staining on RAW 264.7 cells treated with LPS (100ng/ml for 4+3 hours) added BFA (1μg/ml for 3 hours) (Image A) and no staining on control RAW 264.7 (Image B). The section was incubated with ab283818 for 30 mins at room temperature. The immunostaining was performed on a Leica Biosystems BOND® RX instrument Counterstained with Hematoxylin.

Secondary antibody only control : Secondary antibody is a ready to use LeicaDS9800 (Bond™, Polymer Refine Detection).

Heat mediated antigen retrieval with Citrate buffer (pH 6.0, epitope retrieval solution 1) for 20 mins

Immunohistochemistry (Formalin/PFA-fixed paraffin-embedded sections) - Anti-IL-1 beta antibody [RM1009] - BSA and Azide free (AB283822)
  • IHC-P

Supplier Data

Immunohistochemistry (Formalin/PFA-fixed paraffin-embedded sections) - Anti-IL-1 beta antibody [RM1009] - BSA and Azide free (AB283822)

This data was developed using ab283818, the same antibody clone in a different buffer formulation.

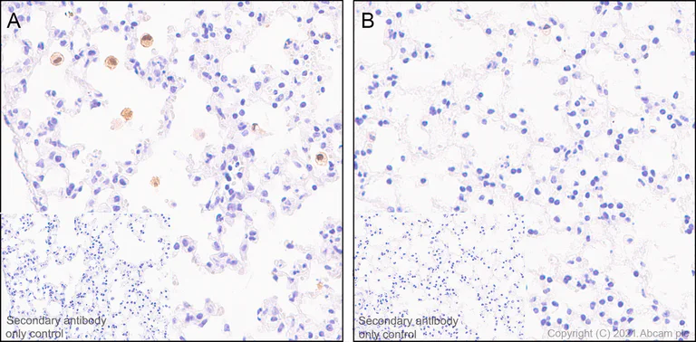
Immunohistochemical analysis of paraffin-embedded Mouse lung tissue labelling IL-1 beta with ab283818 at 1/500 (1.058 ug/ml) followed by a ready to use LeicaDS9800 (Bond™, Polymer Refine Detection). Positive staining on mouse lung treated with LPS (1ug/ml for 16 hours) and BFA (1ug/ml for 16h hours) (Image A) and no staining on control mouse lung was observed (Image B). The section was incubated with ab283818 for 30 mins at room temperature. The immunostaining was performed on a Leica Biosystems BOND® RX instrument Counterstained with Hematoxylin.

Secondary antibody only control : Secondary antibody is a ready to use LeicaDS9800 (Bond™, Polymer Refine Detection).

Heat mediated antigen retrieval with Citrate buffer (pH 6.0, epitope retrieval solution 1) for 20 mins

Immunohistochemistry (Formalin/PFA-fixed paraffin-embedded sections) - Anti-IL-1 beta antibody [RM1009] - BSA and Azide free (AB283822)
  • IHC-P

Supplier Data

Immunohistochemistry (Formalin/PFA-fixed paraffin-embedded sections) - Anti-IL-1 beta antibody [RM1009] - BSA and Azide free (AB283822)

This data was developed using ab283818, the same antibody clone in a different buffer formulation.

Immunohistochemical analysis of paraffin-embedded Mouse colon carcinom tissue labelling IL-1 beta with ab283818 at 1/500 (1.058 ug/ml) followed by a ready to use LeicaDS9800 (Bond™, Polymer Refine Detection). Positive staining on the lamina propria in mouse colon carcinoma. The section was incubated with ab283818 for 30 mins at room temperature. The immunostaining was performed on a Leica Biosystems BOND® RX instrument Counterstained with Hematoxylin.

Secondary antibody only control : Secondary antibody is a ready to use LeicaDS9800 (Bond™, Polymer Refine Detection).

Heat mediated antigen retrieval with Citrate buffer (pH 6.0, epitope retrieval solution 1) for 20 mins.

Immunohistochemistry (Formalin/PFA-fixed paraffin-embedded sections) - Anti-IL-1 beta antibody [RM1009] - BSA and Azide free (AB283822)
  • IHC-P

Supplier Data

Immunohistochemistry (Formalin/PFA-fixed paraffin-embedded sections) - Anti-IL-1 beta antibody [RM1009] - BSA and Azide free (AB283822)

This data was developed using ab283818, the same antibody clone in a different buffer formulation.

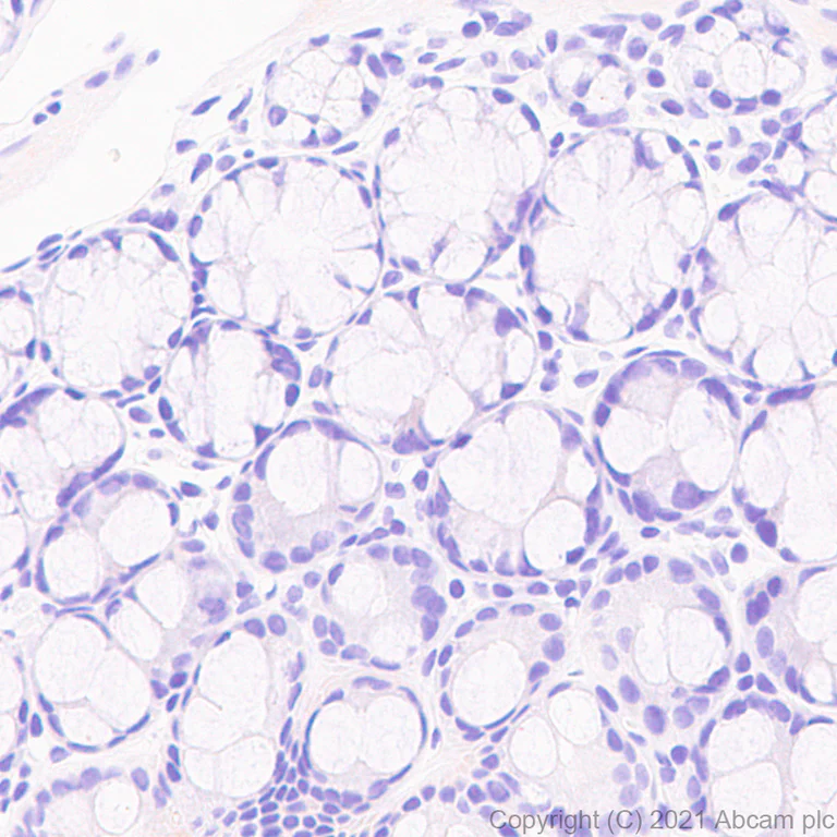
Immunohistochemical analysis of paraffin-embedded Mouse colon tissue labelling IL-1 beta with ab283818 at 1/500 (1.058 ug/ml) followed by a ready to use LeicaDS9800 (Bond™, Polymer Refine Detection). The section was incubated with ab283818 for 30 mins at room temperature. The immunostaining was performed on a Leica Biosystems BOND® RX instrument Counterstained with Hematoxylin.

Negative control : no staining on mouse colon.

Secondary antibody only control : Secondary antibody is a ready to use LeicaDS9800 (Bond™, Polymer Refine Detection).

Heat mediated antigen retrieval with Citrate buffer (pH 6.0, epitope retrieval solution 1) for 20 mins.

Immunohistochemistry (Formalin/PFA-fixed paraffin-embedded sections) - Anti-IL-1 beta antibody [RM1009] - BSA and Azide free (AB283822)
  • IHC-P

Supplier Data

Immunohistochemistry (Formalin/PFA-fixed paraffin-embedded sections) - Anti-IL-1 beta antibody [RM1009] - BSA and Azide free (AB283822)

This data was developed using ab283818, the same antibody clone in a different buffer formulation.

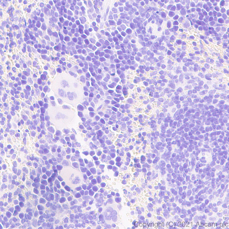
Immunohistochemical analysis of paraffin-embedded Mouse spleen tissue labelling IL-1 beta with ab283818 at 1/500 (1.058 ug/ml) followed by a ready to use LeicaDS9800 (Bond™, Polymer Refine Detection). The section was incubated with ab283818 for 30 mins at room temperature. The immunostaining was performed on a Leica Biosystems BOND® RX instrument Counterstained with Hematoxylin.

Negative control : no staining on mouse spleen.

Secondary antibody only control : Secondary antibody is a ready to use LeicaDS9800 (Bond™, Polymer Refine Detection).

Heat mediated antigen retrieval with Citrate buffer (pH 6.0, epitope retrieval solution 1) for 20 mins.

Immunoprecipitation - Anti-IL-1 beta antibody [RM1009] - BSA and Azide free (AB283822)
  • IP

Supplier Data

Immunoprecipitation - Anti-IL-1 beta antibody [RM1009] - BSA and Azide free (AB283822)

This data was developed using ab283818, the same antibody clone in a different buffer formulation.

IL-1 beta was immunoprecipitated from 0.35 mg RAW 264.7 (Mouse Abelson murine leukemia virus-induced tumor macrophage) treated with 100ng/ml LPS for 4h and add 1ug/ml BFA for another 3 h whole cell lysate 10ug with ab283818 at 1/30 dilution (2ug in 0.35mg lysates). Western blot was performed on the immunoprecipitate using ab283818 at 1/1000 dilution. VeriBlot for IP secondary antibody(HRP)(ab131366) was used at 1/5000 dilution.

Lane 1 : RAW 264.7 (Mouse Abelson murine leukemia virus-induced tumor macrophage) treated with 100ng/ml LPS for 4h and add 1ug/ml BFA for another 3 h whole cell lysate 10ug

Lane 2 : ab283818 IP in RAW 264.7 treated with 100ng/ml LPS for 4h and add 1ug/ml BFA for another 3 h whole cell lysate

Lane 3 : Rabbit monoclonal IgG (ab172730) instead of ab283818 in RAW 264.7 treated with 100ng/ml LPS for 4h and add 1ug/ml BFA for another 3 h whole cell lysate

Blocking and dilution buffer and concentration : 5% NFDM/TBST.

All lanes:

Immunoprecipitation - Anti-IL-1 beta antibody [RM1009] (<a href='/en-us/products/primary-antibodies/il-1-beta-antibody-rm1009-ab283818'>ab283818</a>)

Predicted band size: 30 kDa

false

Western blot - Anti-IL-1 beta antibody [RM1009] - BSA and Azide free (AB283822)
  • WB

Lab

Western blot - Anti-IL-1 beta antibody [RM1009] - BSA and Azide free (AB283822)

This data was developed using ab283818, the same antibody clone in a different buffer formulation.

Blocking and diluting buffer and concentration : 5% NFDM/TBST

Expression of IL-1 beta is induced by LPS treatment. 31-kDa precursor IL-1 beta, 28- and 17.5-kDa proteolytically cleaved IL-1 beta are observed.

The expression pattern and molecular weight observed is consistent with what has been described in the literature (PMID : 8446594, 19559631)

Exposure time : Lane 1-3 : 3 min ; Lane 4-7 : 70 seconds

All lanes:

Western blot - Anti-IL-1 beta antibody [RM1009] (<a href='/en-us/products/primary-antibodies/il-1-beta-antibody-rm1009-ab283818'>ab283818</a>) at 1/1000 dilution

Lane 1:

U-87 MG (Human glioblastoma-astrocytoma epithelial cell) whole cell lysate at 20 µg

Lane 2:

U-937 (Human histiocytic lymphoma monocyte) whole cell lysate at 20 µg

Lane 3:

U-937 treated with 100nM PMA for 2 days, then 1µg/ml LPS for 13h and add 5µg/ml BFA for another 4 h whole cell lysate at 20 µg

Lane 4:

RAW 264.7 (Mouse Abelson murine leukemia virus-induced tumor macrophage) whole cell lysate at 20 µg

Lane 5:

RAW 264.7 treated with 100ng/ml LPS for 4h and add 1µg/ml BFA for another 3 h whole cell lysate at 20 µg

Lane 6:

NR8383 (Rat lung macrophage (alveolar)) whole cell lysate at 20 µg

Lane 7:

NR8383 treated with 100ng/ml LPS for 4h and add 1µg/ml BFA for another 3 h whole cell lysate at 20 µg

Secondary

All lanes:

Western blot - Goat Anti-Rabbit IgG H&L (HRP) (<a href='/en-us/products/secondary-antibodies/goat-rabbit-igg-h-l-hrp-ab97051'>ab97051</a>) at 1/100000 dilution

Predicted band size: 30 kDa

Observed band size: 17.5 kDa,28 kDa,31 kDa

false

Key facts

Host species

Rabbit

Clonality

Multiclonal

Clone number

RM1009

Isotype

IgG

Carrier free

Yes

Reacts with

Mouse, Rat, Human

Applications

WB, Flow Cyt, IHC-P, IP, ICC

applications

Immunogen

The exact immunogen used to generate this antibody is proprietary information.

Specificity

IL-1 beta is not present under homeostatic conditions, and it is induced and secreted only upon inflammatory signals. Stimulation may be required for the detection of IL-1Β, no matter in precursor or mature form (PMID: 22019906). IL-1Β is a secreted protein, it is recommended to treat cells with anti-secretion reagents (e.g. Brefeldin A) when test IL-1Β using whole cell lysate in WB.

Please navigate to the Product Protocol section for specificity details in Chinese.

Reactivity data

{ "title": "Reactivity Data", "filters": { "stats": ["", "Species", "Dilution Info", "Notes"], "tabs": { "all-applications": {"fullname" : "All Applications", "shortname": "All Applications"}, "ICC" : {"fullname" : "Immunocytochemistry", "shortname":"ICC"}, "IP" : {"fullname" : "Immunoprecipitation", "shortname":"IP"}, "WB" : {"fullname" : "Western blot", "shortname":"WB"}, "IHCP" : {"fullname" : "Immunohistochemistry (Formalin/PFA-fixed paraffin-embedded sections)", "shortname":"IHC-P"}, "FlowCyt" : {"fullname" : "Flow Cytometry", "shortname":"Flow Cyt"} }, "product-promise": { "all": "all", "testedAndGuaranteed": "tested", "guaranteed": "expected", "predicted": "predicted", "notRecommended": "not-recommended" } }, "values": { "Human": { "ICC-species-checked": "testedAndGuaranteed", "ICC-species-dilution-info": "", "ICC-species-notes": "<p></p>", "IP-species-checked": "testedAndGuaranteed", "IP-species-dilution-info": "", "IP-species-notes": "<p></p>", "WB-species-checked": "testedAndGuaranteed", "WB-species-dilution-info": "", "WB-species-notes": "<p></p>", "IHCP-species-checked": "notRecommended", "IHCP-species-dilution-info": "", "IHCP-species-notes": "<p></p>", "FlowCyt-species-checked": "testedAndGuaranteed", "FlowCyt-species-dilution-info": "", "FlowCyt-species-notes": "<p></p>" }, "Mouse": { "ICC-species-checked": "testedAndGuaranteed", "ICC-species-dilution-info": "", "ICC-species-notes": "<p></p>", "IP-species-checked": "testedAndGuaranteed", "IP-species-dilution-info": "", "IP-species-notes": "<p></p>", "WB-species-checked": "testedAndGuaranteed", "WB-species-dilution-info": "", "WB-species-notes": "<p></p>", "IHCP-species-checked": "testedAndGuaranteed", "IHCP-species-dilution-info": "", "IHCP-species-notes": "<p></p>", "FlowCyt-species-checked": "testedAndGuaranteed", "FlowCyt-species-dilution-info": "", "FlowCyt-species-notes": "<p></p>" }, "Rat": { "ICC-species-checked": "guaranteed", "ICC-species-dilution-info": "", "ICC-species-notes": "", "IP-species-checked": "guaranteed", "IP-species-dilution-info": "", "IP-species-notes": "", "WB-species-checked": "testedAndGuaranteed", "WB-species-dilution-info": "", "WB-species-notes": "<p></p>", "IHCP-species-checked": "notRecommended", "IHCP-species-dilution-info": "", "IHCP-species-notes": "<p></p>", "FlowCyt-species-checked": "guaranteed", "FlowCyt-species-dilution-info": "", "FlowCyt-species-notes": "" } } }

Product details

What is this antibody validated in?
Anti-IL-1 beta antibody [RM1009] - BSA and Azide free (ab283822) is a rabbit recombinant recombinant multiclonal antibody and is validated for use in Western Blot (WB), Flow Cytometry (Flow Cyt), Immunoprecipitation (IP), Immunohistochemistry (IHC-P) in Human, Mouse, Rat samples.

Other related products
We have a range of other formats of antibody clone [RM1009] also available for your convenience: ab283818, Carrier free - ab283822

What are recombinant multiclonals?
Recombinant multiclonals are a mixture of recombinant antibodies co-expressed from a library of heavy and light chains. They offer several advantages including:

  • - The sensitivity of polyclonal antibodies by recognising multiple epitopes
  • - High batch-to-batch consistency and reproducibility
  • - Improved sensitivity and specificity
  • - Long-term security of supply
  • - Animal-free batch production

View our range of recombinant multiclonal antibodies.

Patented technology
Our RabMAb® technology is a patented hybridoma-based technology for making rabbit monoclonal antibodies. For details on our patents, please refer to RabMAb® patents.

Conjugation ready
Our carrier-free antibodies are typically supplied in a PBS-only formulation, purified and free of BSA, sodium azide and glycerol. This conjugation-ready format is designed for use with fluorochromes, metal isotopes, oligonucleotides, and enzymes, which makes them ideal for antibody labelling, functional and cell-based assays, flow-based assays (e.g. mass cytometry) and Multiplex Imaging applications.

Use our conjugation kits for antibody conjugates that are ready-to-use in as little as 20 minutes with 1 minute hands-on-time and 100% antibody recovery: available for fluorescent dyes, HRP, biotin and gold.

Compatibility
This product is compatible with the Maxpar® Antibody Labeling Kit from Fluidigm, without the need for antibody preparation. Maxpar® is a trademark of Fluidigm Canada Inc.

Properties and storage information

Form
Liquid
Storage buffer
pH: 7.2 - 7.4 Constituents: PBS
Shipped at conditions
Blue Ice
Appropriate short-term storage conditions
+4°C
Appropriate long-term storage conditions
+4°C

Product protocols

For this product, it's our understanding that no specific protocols are required. You can visit:

Target data

Potent pro-inflammatory cytokine (PubMed : 10653850, PubMed : 12794819, PubMed : 28331908, PubMed : 3920526). Initially discovered as the major endogenous pyrogen, induces prostaglandin synthesis, neutrophil influx and activation, T-cell activation and cytokine production, B-cell activation and antibody production, and fibroblast proliferation and collagen production (PubMed : 3920526). Promotes Th17 differentiation of T-cells. Synergizes with IL12/interleukin-12 to induce IFNG synthesis from T-helper 1 (Th1) cells (PubMed : 10653850). Plays a role in angiogenesis by inducing VEGF production synergistically with TNF and IL6 (PubMed : 12794819). Involved in transduction of inflammation downstream of pyroptosis : its mature form is specifically released in the extracellular milieu by passing through the gasdermin-D (GSDMD) pore (PubMed : 33377178, PubMed : 33883744). Acts as a sensor of S.pyogenes infection in skin : cleaved and activated by pyogenes SpeB protease, leading to an inflammatory response that prevents bacterial growth during invasive skin infection (PubMed : 28331908).
See full target information IL1B

Publications (3)

Recent publications for all applications. Explore the full list and refine your search

Cell death & disease 15:926 PubMed39715736

2024

Sphk1/S1P pathway promotes blood-brain barrier breakdown after intracerebral hemorrhage through inducing Nlrp3-mediated endothelial cell pyroptosis.

Applications

Unspecified application

Species

Unspecified reactive species

Mengzhao Feng,Yuan An,Qi Qin,Iat-Hang Fong,Kaiyuan Zhang,Fang Wang,Dengpan Song,Mengyuan Li,Min Yu,Chi-Tai Yeh,Junlei Chang,Fuyou Guo

The Korean journal of physiology & pharmacology : official journal of the Korean Physiological Society and the Korean Society of Pharmacology 27:437-448 PubMed37641806

2023

Paeonol accelerates skin wound healing by regulating macrophage polarization and inflammation in diabetic rats.

Applications

Unspecified application

Species

Unspecified reactive species

Zuyang Zhang,Tianhua Chen,Wei Liu,Jiepeng Xiong,Liangdong Jiang,Mingjiang Liu

International journal of molecular sciences 24: PubMed37511521

2023

Esaxerenone Inhibits Renal Angiogenesis and Endothelial-Mesenchymal Transition via the VEGFA and TGF-β1 Pathways in Aldosterone-Infused Mice.

Applications

Unspecified application

Species

Unspecified reactive species

Xiaomeng Gao,Jingyue Chang,Yi Chang,Lili Fan,Ziqian Liu,Cuijuan Zhang,Tatsuo Shimosawa,Fan Yang,Qingyou Xu
View all publications
websiteProtocolBooklet
zh

Product promise

We are committed to supporting your work with high-quality reagents, and we're here for you every step of the way. In the unlikely event that one of our products does not perform as expected, you're protected by our Product Promise.
For full details, please see our Terms & Conditions

Please note: All products are 'FOR RESEARCH USE ONLY. NOT FOR USE IN DIAGNOSTIC OR THERAPEUTIC PROCEDURES'.

For licensing inquiries, please contact partnerships@abcam.com