JavaScript is disabled in your browser. Please enable JavaScript to view this website.
AB217941

Anti-IL-10 antibody

Be the first to review this product! Submit a review

|

(10 Publications)

Rabbit Polyclonal IL-10 antibody. Suitable for IHC-P and reacts with Human samples. Cited in 10 publications. Immunogen corresponding to Synthetic Peptide within Human IL10 aa 100 to C-terminus conjugated to Keyhole Limpet Haemocyanin.

View Alternative Names

Interleukin-10, IL-10, Cytokine synthesis inhibitory factor, CSIF, IL10

2 Images
Immunohistochemistry (Formalin/PFA-fixed paraffin-embedded sections) - Anti-IL-10 antibody (AB217941)
  • IHC-P

Supplier Data

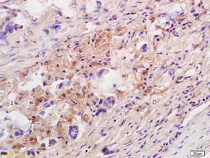
Immunohistochemistry (Formalin/PFA-fixed paraffin-embedded sections) - Anti-IL-10 antibody (AB217941)

Immunohistochemical analysis of formalin-fixed and paraffin embedded Human lung carcinoma tissue labeling IL-10 using ab217941 at 1/200, followed by conjugation to the secondary antibody and DAB staining.

Immunohistochemistry (Formalin/PFA-fixed paraffin-embedded sections) - Anti-IL-10 antibody (AB217941)
  • IHC-P

Supplier Data

Immunohistochemistry (Formalin/PFA-fixed paraffin-embedded sections) - Anti-IL-10 antibody (AB217941)

Immunohistochemical analysis of formalin-fixed and paraffin embedded Human colon carcinoma tissue labeling IL-10 using ab217941 at 1/200, followed by conjugation to the secondary antibody and DAB staining.

Key facts

Host species

Rabbit

Clonality

Polyclonal

Isotype

IgG

Carrier free

No

Reacts with

Human

Applications

IHC-P

applications

Immunogen

Synthetic Peptide within Human IL10 aa 100 to C-terminus conjugated to Keyhole Limpet Haemocyanin. The exact immunogen used to generate this antibody is proprietary information.

P22301

Reactivity data

{ "title": "Reactivity Data", "filters": { "stats": ["", "Species", "Dilution Info", "Notes"], "tabs": { "all-applications": {"fullname" : "All Applications", "shortname": "All Applications"}, "IHCP" : {"fullname" : "Immunohistochemistry (Formalin/PFA-fixed paraffin-embedded sections)", "shortname":"IHC-P"} }, "product-promise": { "all": "all", "testedAndGuaranteed": "tested", "guaranteed": "expected", "predicted": "predicted", "notRecommended": "not-recommended" } }, "values": { "Human": { "IHCP-species-checked": "testedAndGuaranteed", "IHCP-species-dilution-info": "1/100 - 1/500", "IHCP-species-notes": "<p></p>" }, "Mouse": { "IHCP-species-checked": "predicted", "IHCP-species-dilution-info": "", "IHCP-species-notes": "" }, "Rat": { "IHCP-species-checked": "predicted", "IHCP-species-dilution-info": "", "IHCP-species-notes": "" } } }

Properties and storage information

Form
Liquid
Purification technique
Affinity purification Protein A
Storage buffer
pH: 7.4 Preservative: 0.02% Proclin 300 Constituents: 50% Glycerol (glycerin, glycerine), 48.98% TBS, 1X, 1% BSA
Shipped at conditions
Blue Ice
Appropriate short-term storage duration
1-2 weeks
Appropriate short-term storage conditions
+4°C
Appropriate long-term storage conditions
-20°C
Aliquoting information
Upon delivery aliquot
Storage information
Avoid freeze / thaw cycle

Product protocols

For this product, it's our understanding that no specific protocols are required. You can visit:

Target data

Major immune regulatory cytokine that acts on many cells of the immune system where it has profound anti-inflammatory functions, limiting excessive tissue disruption caused by inflammation. Mechanistically, IL10 binds to its heterotetrameric receptor comprising IL10RA and IL10RB leading to JAK1 and STAT2-mediated phosphorylation of STAT3 (PubMed : 16982608). In turn, STAT3 translocates to the nucleus where it drives expression of anti-inflammatory mediators (PubMed : 18025162). Targets antigen-presenting cells (APCs) such as macrophages and monocytes and inhibits their release of pro-inflammatory cytokines including granulocyte-macrophage colony-stimulating factor /GM-CSF, granulocyte colony-stimulating factor/G-CSF, IL-1 alpha, IL-1 beta, IL-6, IL-8 and TNF-alpha (PubMed : 11564774, PubMed : 1940799, PubMed : 7512027). Interferes also with antigen presentation by reducing the expression of MHC-class II and co-stimulatory molecules, thereby inhibiting their ability to induce T cell activation (PubMed : 8144879). In addition, controls the inflammatory response of macrophages by reprogramming essential metabolic pathways including mTOR signaling (By similarity).
See full target information IL10

Publications (10)

Recent publications for all applications. Explore the full list and refine your search

Iranian journal of basic medical sciences 28:461-468 PubMed39968090

2025

Lycopene ameliorates diabetes-induced pancreatic, hepatic, and renal damage by modulating the JAK/STAT/SOCS signaling pathway in rats.

Applications

Unspecified application

Species

Unspecified reactive species

Özlem Özmen,Melda Şahi N,Şenay Topsakal,Şerife Taşan,Uğur Şahi N

Cellular and molecular gastroenterology and hepatology 19:101474 PubMed39923847

2025

Citrulline Inhibits Clostridioides difficile Infection With Anti-inflammatory Effects.

Applications

Unspecified application

Species

Unspecified reactive species

Ying Xie,Sophie Irwin,Becca Nelson,Mieke van Daelen,Lindsey Fontenot,Jonathan P Jacobs,Monica Cappelletti,Hanping Feng,Yiling Li,Hon Wai Koon

Inflammation 48:1235-1244 PubMed39117788

2024

B Cells Infiltration Potentially Responded Better to Systemic Corticoids in Oral Lichen Planus and Oral Lichenoid Lesions.

Applications

Unspecified application

Species

Unspecified reactive species

Ming-Hua Feng,Yi-Rao Lai,Yi-Wen Deng,Xi-Ye Li,Lei Pan,Zhen Tian,Guo-Yao Tang,Yu-Feng Wang

Current issues in molecular biology 46:3839-3865 PubMed38785507

2024

Prognostic Value of Histone Acetyl Transferase 1 (HAT-1) and Inflammatory Signatures in Pancreatic Cancer.

Applications

Unspecified application

Species

Unspecified reactive species

Miguel A Ortega,Laura Jiménez-Álvarez,Oscar Fraile-Martinez,Cielo Garcia-Montero,Luis G Guijarro,Leonel Pekarek,Silvestra Barrena-Blázquez,Ángel Asúnsolo,Laura López-González,María Del Val Toledo-Lobo,Melchor Álvarez-Mon,Miguel A Saez,Alberto Gutiérrez-Calvo,Raúl Díaz-Pedrero

International journal of molecular sciences 25: PubMed38612656

2024

Establishment of a Mouse Degenerative Model of Patellar Tendinopathy with Upregulation of Inflammation.

Applications

Unspecified application

Species

Unspecified reactive species

Pauline Po Yee Lui,Zuru Liang,Ri Min Tan,Patrick Shu Hang Yung

iScience 26:107201 PubMed37456855

2023

Targeting endometrial inflammation in intrauterine adhesion ameliorates endometrial fibrosis by priming MSCs to secrete C1INH.

Applications

Unspecified application

Species

Unspecified reactive species

Simin Yao,Zhenhua Zhou,Limin Wang,Haining Lv,Dan Liu,Qi Zhu,Xiwen Zhang,Guangfeng Zhao,Yali Hu

Journal of personalized medicine 13: PubMed37373945

2023

Chronic Venous Disease during Pregnancy Is Related to Inflammation of the Umbilical Cord: Role of Allograft Inflammatory Factor 1 (AIF-1) and Interleukins 10 (IL-10), IL-12 and IL-18.

Applications

Unspecified application

Species

Unspecified reactive species

Lara Sánchez-Trujillo,Oscar Fraile-Martinez,Cielo García-Montero,Luis M García-Puente,Luis G Guijarro,Diego De Leon-Oliva,Diego Liviu Boaru,David Gardón-Alburquerque,María Del Val Toledo Lobo,Mar Royuela,Ignacio García-Tuñón,Antonio Rios-Parra,Juan A De León-Luis,Coral Bravo,Melchor Álvarez-Mon,Julia Bujan,Miguel A Saez,Natalio García-Honduvilla,Miguel A Ortega

Antioxidants (Basel, Switzerland) 10: PubMed34829722

2021

Immunomodulation and Antioxidant Activities as Possible Trypanocidal and Cardioprotective Mechanisms of Major Terpenes from Essential Oils in an Experimental Model of Chronic Chagas Disease.

Applications

Unspecified application

Species

Unspecified reactive species

Denerieth Ximena Espinel-Mesa,Clara Isabel González Rugeles,Julio César Mantilla Hernández,Elena E Stashenko,Carlos Andrés Villegas-Lanau,John Jaime Quimbaya Ramírez,Liliana Torcoroma García Sánchez

The Saudi dental journal 33:1063-1070 PubMed34938051

2021

Fixation of free gingival grafts with cyanoacrylate glues: A histomorphometric and immunohistochemical study.

Applications

Unspecified application

Species

Unspecified reactive species

Dayrine Silveira de Paula,Lia Vila Real Lima,Roberta Barroso Cavalcante,Paulo Goberlânio de Barros Silva,Ana Paula Negreiros Nunes Alves,Bruno Rocha da Silva

Theranostics 11:1147-1161 PubMed33391526

2021

Intravenous transplantation of olfactory ensheathing cells reduces neuroinflammation after spinal cord injury interleukin-1 receptor antagonist.

Applications

Unspecified application

Species

Unspecified reactive species

Lijian Zhang,Xiaoqing Zhuang,Päivi Kotitalo,Thomas Keller,Anna Krzyczmonik,Merja Haaparanta-Solin,Olof Solin,Sarita Forsback,Tove J Grönroos,Chunlei Han,Francisco R López-Picón,Hechun Xia
View all publications

Product promise

We are committed to supporting your work with high-quality reagents, and we're here for you every step of the way. In the unlikely event that one of our products does not perform as expected, you're protected by our Product Promise.
For full details, please see our Terms & Conditions

Please note: All products are 'FOR RESEARCH USE ONLY. NOT FOR USE IN DIAGNOSTIC OR THERAPEUTIC PROCEDURES'.

For licensing inquiries, please contact partnerships@abcam.com