JavaScript is disabled in your browser. Please enable JavaScript to view this website.
AB225530

Anti-IL-10RA antibody

Be the first to review this product! Submit a review

|

(2 Publications)

Rabbit Polyclonal IL-10RA antibody. Suitable for IHC-P and reacts with Human samples. Cited in 2 publications. Immunogen corresponding to Synthetic Peptide within Human IL10RA aa 50-150 conjugated to Keyhole Limpet Haemocyanin.

View Alternative Names

CD210, IL10R, IL10RA, Interleukin-10 receptor subunit alpha, IL-10 receptor subunit alpha, IL-10R subunit alpha, IL-10RA, CDw210a, Interleukin-10 receptor subunit 1, IL-10R subunit 1, IL-10R1

1 Images
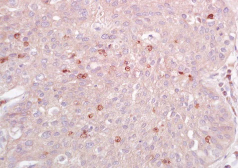
Immunohistochemistry (Formalin/PFA-fixed paraffin-embedded sections) - Anti-IL-10RA antibody (AB225530)
  • IHC-P

Supplier Data

Immunohistochemistry (Formalin/PFA-fixed paraffin-embedded sections) - Anti-IL-10RA antibody (AB225530)

Formalin-fixed, paraffin-embedded human lung carcinoma tissue. 0.01M sodium citrate buffer (pH6) at 100°C for 20 minutes. Stained for IL-10RA using ab225530 at 1/200 dilution in immunohistochemical analysis, followed by conjugation to the secondary antibody and DAB staining.

Key facts

Host species

Rabbit

Clonality

Polyclonal

Isotype

IgG

Carrier free

No

Reacts with

Human

Applications

IHC-P

applications

Immunogen

Synthetic Peptide within Human IL10RA aa 50-150 conjugated to Keyhole Limpet Haemocyanin. The exact immunogen used to generate this antibody is proprietary information.

Q13651

Reactivity data

{ "title": "Reactivity Data", "filters": { "stats": ["", "Species", "Dilution Info", "Notes"], "tabs": { "all-applications": {"fullname" : "All Applications", "shortname": "All Applications"}, "IHCP" : {"fullname" : "Immunohistochemistry (Formalin/PFA-fixed paraffin-embedded sections)", "shortname":"IHC-P"} }, "product-promise": { "all": "all", "testedAndGuaranteed": "tested", "guaranteed": "expected", "predicted": "predicted", "notRecommended": "not-recommended" } }, "values": { "Human": { "IHCP-species-checked": "testedAndGuaranteed", "IHCP-species-dilution-info": "1/100 - 1/500", "IHCP-species-notes": "<p></p> Perform heat-mediated antigen retrieval with citrate buffer pH 6 before commencing with IHC staining protocol." }, "Mouse": { "IHCP-species-checked": "predicted", "IHCP-species-dilution-info": "", "IHCP-species-notes": "" }, "Rat": { "IHCP-species-checked": "predicted", "IHCP-species-dilution-info": "", "IHCP-species-notes": "" } } }

Properties and storage information

Form
Liquid
Purification technique
Affinity purification Protein A
Storage buffer
pH: 7.4 Preservative: 0.02% Proclin 300 Constituents: 50% Glycerol (glycerin, glycerine), 48.98% TBS, 1X, 1% BSA
Shipped at conditions
Blue Ice
Appropriate short-term storage duration
1-2 weeks
Appropriate short-term storage conditions
+4°C
Appropriate long-term storage conditions
-20°C
Aliquoting information
Upon delivery aliquot
Storage information
Avoid freeze / thaw cycle

Product protocols

For this product, it's our understanding that no specific protocols are required. You can visit:

Target data

Cell surface receptor for the cytokine IL10 that participates in IL10-mediated anti-inflammatory functions, limiting excessive tissue disruption caused by inflammation. Upon binding to IL10, induces a conformational change in IL10RB, allowing IL10RB to bind IL10 as well (PubMed : 16982608). In turn, the heterotetrameric assembly complex, composed of two subunits of IL10RA and IL10RB, activates the kinases JAK1 and TYK2 that are constitutively associated with IL10RA and IL10RB respectively (PubMed : 12133952). These kinases then phosphorylate specific tyrosine residues in the intracellular domain in IL10RA leading to the recruitment and subsequent phosphorylation of STAT3. Once phosphorylated, STAT3 homodimerizes, translocates to the nucleus and activates the expression of anti-inflammatory genes. In addition, IL10RA-mediated activation of STAT3 inhibits starvation-induced autophagy (PubMed : 26962683).
See full target information IL10RA

Publications (2)

Recent publications for all applications. Explore the full list and refine your search

Cell reports. Medicine 5:101476 PubMed38508138

2024

Pyroptotic T cell-derived active IL-16 has a driving function in ovarian endometriosis development.

Applications

Unspecified application

Species

Unspecified reactive species

Jinghe Zhang,Weidong Zhao,Yonggang Zhou,Shengdi Xi,Xiuxiu Xu,Xianghui Du,Xiaohu Zheng,Weiping Hu,Rui Sun,Zhigang Tian,Binqing Fu,Haiming Wei

Cells 12: PubMed37296643

2023

In Situ Identification of Both IL-4 and IL-10 Cytokine-Receptor Interactions during Tissue Regeneration.

Applications

Unspecified application

Species

Unspecified reactive species

Krisztina Nikovics,Anne-Laure Favier,Mathilde Rocher,Céline Mayinga,Johanna Gomez,Frédérique Dufour-Gaume,Diane Riccobono
View all publications

Product promise

We are committed to supporting your work with high-quality reagents, and we're here for you every step of the way. In the unlikely event that one of our products does not perform as expected, you're protected by our Product Promise.
For full details, please see our Terms & Conditions

Please note: All products are 'FOR RESEARCH USE ONLY. NOT FOR USE IN DIAGNOSTIC OR THERAPEUTIC PROCEDURES'.

For licensing inquiries, please contact partnerships@abcam.com