JavaScript is disabled in your browser. Please enable JavaScript to view this website.
AB125015

Anti-IL-11RA antibody [EPR5446]

Be the first to review this product! Submit a review

|

(11 Publications)

Rabbit Recombinant Monoclonal IL-11RA antibody. Suitable for IHC-P, ICC/IF, I-ELISA, WB, Flow Cyt (Intra) and reacts with Human, Recombinant full length protein - Human, Mouse samples. Cited in 11 publications.

View Alternative Names

Interleukin-11 receptor subunit alpha, IL-11 receptor subunit alpha, IL-11R subunit alpha, IL-11R-alpha, IL-11RA, IL11RA

10 Images
Immunocytochemistry/ Immunofluorescence - Anti-IL-11RA antibody [EPR5446] (AB125015)
  • ICC/IF

Unknown

Immunocytochemistry/ Immunofluorescence - Anti-IL-11RA antibody [EPR5446] (AB125015)

Immunocytochemistry/ Immunofluorescence analysis of K-562 (Human chronic myelogenous leukemia lymphoblast) cells labeling IL-11RA with Purified ab125015 at 1 : 100 dilution (8.1 µg/ml). Cells were fixed in 4% Paraformaldehyde and permeabilized with 0.1% tritonX-100. Cells were counterstained with ab195889 Anti-alpha Tubulin antibody [DM1A] - Microtubule Marker (Alexa Fluor® 594) 1 : 200 (2.5 µg/ml). Goat anti rabbit IgG (Alexa Fluor® 488, ab150077) was used as the secondary antibody at 1 : 1000 (2 µg/ml) dilution. DAPI nuclear counterstain. PBS instead of the primary antibody was used as the secondary antibody only control.

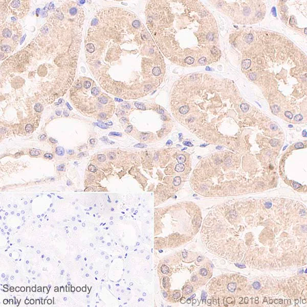
Immunohistochemistry (Formalin/PFA-fixed paraffin-embedded sections) - Anti-IL-11RA antibody [EPR5446] (AB125015)
  • IHC-P

Unknown

Immunohistochemistry (Formalin/PFA-fixed paraffin-embedded sections) - Anti-IL-11RA antibody [EPR5446] (AB125015)

Immunohistochemistry (Formalin/PFA-fixed paraffin-embedded sections) analysis of Human kidney tissue sections labeling IL-11RA with purified ab125015 at 1 : 250 dilution (3.2 μg/ml). Heat mediated antigen retrieval was performed using ab93684 (Tris/EDTA buffer, pH 9.0). Goat Anti-Rabbit IgG H&L (HRP) ab97051
was used as the secondary antibody. Negative control : PBS instead of the primary antibody. Hematoxylin was used as a counterstain.

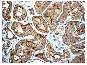
Immunohistochemistry (Formalin/PFA-fixed paraffin-embedded sections) - Anti-IL-11RA antibody [EPR5446] (AB125015)
  • IHC-P

Unknown

Immunohistochemistry (Formalin/PFA-fixed paraffin-embedded sections) - Anti-IL-11RA antibody [EPR5446] (AB125015)

Unpurified ab125015 at 1/500 staining IL-11RA in paraffin embedded Human Kidney tissue by immunohistochemistry.

Heat mediated antigen retrieval was performed before commencing with IHC staining protocol.

Flow Cytometry (Intracellular) - Anti-IL-11RA antibody [EPR5446] (AB125015)
  • Flow Cyt (Intra)

Unknown

Flow Cytometry (Intracellular) - Anti-IL-11RA antibody [EPR5446] (AB125015)

Intracellular Flow Cytometry analysis of K-562 (Human chronic myelogenous leukemia lymphoblast) cells labeling IL-11RA with Purified ab125015 at 1/80 dilution (10 μg/ml) (red). Cells were fixed with 4% Paraformaldehyde. A Goat anti rabbit IgG (Alexa Fluor® 488, ab150077) secondary antibody was used at 1/2000. Isotype control - Rabbit monoclonal IgG (Black). Unlabeled control - Cell without incubation with primary antibody and secondary antibody (Blue).

Flow Cytometry (Intracellular) - Anti-IL-11RA antibody [EPR5446] (AB125015)
  • Flow Cyt (Intra)

Supplier Data

Flow Cytometry (Intracellular) - Anti-IL-11RA antibody [EPR5446] (AB125015)

Overlay histogram showing K562 cells stained with unpurified ab125015 (red line). The cells were fixed with 4% paraformaldehyde (10 min) and then permeabilized with 0.1% PBS-Tween for 20 min. The cells were then incubated in 1x PBS / 10% normal goat serum / 0.3M glycine to block non-specific protein-protein interactions followed by the antibody (ab125015, 1/1000 dilution) for 30 min at 22°C. The secondary antibody used was Alexa Fluor® 488 goat anti-rabbit IgG (H&L) (ab150077) at 1/2000 dilution for 30 min at 22°C. Isotype control antibody (black line) was rabbit IgG (monoclonal) (0.1μg/1x106 cells) used under the same conditions. Unlabelled sample (blue line) was also used as a control. Acquisition of >5,000 events were collected using a 20mW Argon ion laser (488nm) and 525/30 bandpass filter. This antibody gave a positive signal in K562 cells fixed with 80% methanol (5 min)/permeabilized with 0.1% PBS-Tween for 20 min used under the same conditions.

Indirect ELISA - Anti-IL-11RA antibody [EPR5446] (AB125015)
  • I-ELISA

Lab

Indirect ELISA - Anti-IL-11RA antibody [EPR5446] (AB125015)

ELISA analysis of Human IL-11RA recombinant protein at 1000 ng/mL with ab125015. An Alkaline Phosphatase-conjugated AffiniPure Goat Anti-Rabbit IgG (H+L) at 1/2500 dilution was used as the secondary antibody.

Western blot - Anti-IL-11RA antibody [EPR5446] (AB125015)
  • WB

Supplier Data

Western blot - Anti-IL-11RA antibody [EPR5446] (AB125015)

The expression pattern is consistent with what has been described in the literature (PMID : 26876177).

Blocking Buffer and concentration : 5% NFDM/TBST

All lanes:

Western blot - Anti-IL-11RA antibody [EPR5446] (ab125015) at 1/1000 dilution

Lane 1:

RAW264.7 (mouse Abelson murine leukemia virus-induced tumor macrophage) whole cell lysate at 20 µg

Lane 2:

WEHI-231 (mouse B cell lymphoma B lymphocyte) whole cell lysate at 20 µg

Lane 3:

M1 (mouse myeloid leukemia myeloblast) whole cell lysate at 20 µg

Lane 4:

Mouse spleen tissue lysate at 20 µg

Lane 5:

Mouse testis tissue lysate at 20 µg

Lane 6:

Mouse thymus tissue lysate at 20 µg

Lane 7:

Mouse lymph node tissue lysate at 20 µg

Secondary

All lanes:

Western blot - Goat Anti-Rabbit IgG H&L (HRP) (<a href='/en-us/products/secondary-antibodies/goat-rabbit-igg-h-l-hrp-ab97051'>ab97051</a>) at 1/20000 dilution

Predicted band size: 45 kDa

Observed band size: 42 kDa,45 kDa

false

Exposure time: 3min

Western blot - Anti-IL-11RA antibody [EPR5446] (AB125015)
  • WB

Unknown

Western blot - Anti-IL-11RA antibody [EPR5446] (AB125015)

All lanes:

Western blot - Anti-IL-11RA antibody [EPR5446] (ab125015) at 1/1000 dilution

Lane 1:

293T lysate at 10 µg

Lane 2:

Saos2 lysate at 10 µg

Lane 3:

A673 lysate at 10 µg

Lane 4:

PC3 lysate at 10 µg

Lane 5:

Hut78 lysate at 10 µg

Lane 6:

K562 lysate at 10 µg

Lane 7:

TF1 lysate at 10 µg

Secondary

All lanes:

Goat anti-Rabbit HRP at 1/2000 dilution

Predicted band size: 45 kDa

Observed band size: 45 kDa

false

Western blot - Anti-IL-11RA antibody [EPR5446] (AB125015)
  • WB

Lab

Western blot - Anti-IL-11RA antibody [EPR5446] (AB125015)

All lanes:

Western blot - Anti-IL-11RA antibody [EPR5446] (ab125015) at 1/10000 dilution

Lane 1:

A673 (Human muscle Ewing's Sarcoma ) whole cell lysates at 20 µg

Lane 2:

PC-3 (Human prostate adenocarcinoma epithelial cell) whole cell lysates at 20 µg

Lane 3:

HuT-78 (Human Sezary syndrome cutaneous T lymphocyte) whole cell lysates at 20 µg

Lane 4:

K-562 (Human chronic myelogenous leukemia lymphoblast) whole cell lysates at 20 µg

Secondary

All lanes:

Western blot - Goat Anti-Rabbit IgG H&L (HRP) (<a href='/en-us/products/secondary-antibodies/goat-rabbit-igg-h-l-hrp-ab97051'>ab97051</a>) at 1/20000 dilution

Predicted band size: 45 kDa

Observed band size: 45 kDa

false

OI-RD Scanning - Anti-IL-11RA antibody [EPR5446] (AB125015)
  • OI-RD Scanning

Unknown

OI-RD Scanning - Anti-IL-11RA antibody [EPR5446] (AB125015)

We have systematically measured KD (the equilibrium dissociation constant between the antibody and its antigen), of more than 840 recombinant antibodies to assess not only their individual KD values but also to see the average affinity of antibody. Based on the comparison with published literature values for mouse monoclonal antibodies, Recombinant antibodies appear to be on average 1-2 order of magnitude higher affinity.

  • 578 PE

    PE Anti-IL-11RA antibody [EPR5446]

  • 660 APC

    APC Anti-IL-11RA antibody [EPR5446]

  • HRP

    HRP Anti-IL-11RA antibody [EPR5446]

  • 617 Alexa Fluor® 594

    Alexa Fluor® 594 Anti-IL-11RA antibody [EPR5446]

  • 519 Alexa Fluor® 488

    Alexa Fluor® 488 Anti-IL-11RA antibody [EPR5446]

  • 665 Alexa Fluor® 647

    Alexa Fluor® 647 Anti-IL-11RA antibody [EPR5446]

  • 565 Alexa Fluor® 555

    Alexa Fluor® 555 Anti-IL-11RA antibody [EPR5446]

  • 603 Alexa Fluor® 568

    Alexa Fluor® 568 Anti-IL-11RA antibody [EPR5446]

  • Biotin

    Biotin Anti-IL-11RA antibody [EPR5446]

  • Carrier free

    Anti-IL-11RA antibody [EPR5446] - BSA and Azide free

  • 775 Alexa Fluor® 750

    Alexa Fluor® 750 Anti-IL-11RA antibody [EPR5446]

Key facts

Host species

Rabbit

Clonality

Monoclonal

Clone number

EPR5446

Isotype

IgG

Carrier free

No

Reacts with

Mouse, Human

Applications

WB, Flow Cyt (Intra), ICC/IF, IHC-P, I-ELISA

applications

Immunogen

The exact immunogen used to generate this antibody is proprietary information.

Specificity

The Mouse recommendation is based on the WB results. We do not guarantee other applications for Mouse.

Reactivity data

{ "title": "Reactivity Data", "filters": { "stats": ["", "Species", "Dilution Info", "Notes"], "tabs": { "all-applications": {"fullname" : "All Applications", "shortname": "All Applications"}, "IP" : {"fullname" : "Immunoprecipitation", "shortname":"IP"}, "IHCP" : {"fullname" : "Immunohistochemistry (Formalin/PFA-fixed paraffin-embedded sections)", "shortname":"IHC-P"}, "ICCIF" : {"fullname" : "Immunocytochemistry/ Immunofluorescence", "shortname":"ICC/IF"}, "IELISA" : {"fullname" : "Indirect ELISA", "shortname":"I-ELISA"}, "WB" : {"fullname" : "Western blot", "shortname":"WB"}, "FlowCytIntra" : {"fullname" : "Flow Cytometry (Intracellular)", "shortname":"Flow Cyt (Intra)"} }, "product-promise": { "all": "all", "testedAndGuaranteed": "tested", "guaranteed": "expected", "predicted": "predicted", "notRecommended": "not-recommended" } }, "values": { "Human": { "IP-species-checked": "notRecommended", "IP-species-dilution-info": "", "IP-species-notes": "<p></p>", "IHCP-species-checked": "testedAndGuaranteed", "IHCP-species-dilution-info": "1/250", "IHCP-species-notes": "<p><strong>For unpurified use in 1/500 - 1/1000</strong></p> Perform heat-mediated antigen retrieval before commencing with IHC staining protocol.", "ICCIF-species-checked": "testedAndGuaranteed", "ICCIF-species-dilution-info": "1/100", "ICCIF-species-notes": "<p>For unpurified use in 1/500 - 1/1000</p>", "IELISA-species-checked": "guaranteed", "IELISA-species-dilution-info": "", "IELISA-species-notes": "", "WB-species-checked": "testedAndGuaranteed", "WB-species-dilution-info": "1/1000 - 1/10000", "WB-species-notes": "<p></p>", "FlowCytIntra-species-checked": "testedAndGuaranteed", "FlowCytIntra-species-dilution-info": "1/80", "FlowCytIntra-species-notes": "<p><a href='/en-us/products/primary-antibodies/rabbit-igg-monoclonal-epr25a-isotype-control-ab172730'>ab172730</a> - Rabbit monoclonal IgG, is suitable for use as an isotype control with this antibody. For unpurified use in 1/100 - 1/1000</p>" }, "Mouse": { "IP-species-checked": "notRecommended", "IP-species-dilution-info": "", "IP-species-notes": "<p></p>", "IHCP-species-checked": "notRecommended", "IHCP-species-dilution-info": "1/250", "IHCP-species-notes": "<p><strong>For unpurified use in 1/500 - 1/1000</strong></p><p>See IHC antigen retrieval protocols.</p> Perform heat-mediated antigen retrieval before commencing with IHC staining protocol.", "ICCIF-species-checked": "notRecommended", "ICCIF-species-dilution-info": "1/100", "ICCIF-species-notes": "<p>For unpurified use in 1/500 - 1/1000</p>", "IELISA-species-checked": "notRecommended", "IELISA-species-dilution-info": "0.002-2 µg/mL", "IELISA-species-notes": "<p></p>", "WB-species-checked": "testedAndGuaranteed", "WB-species-dilution-info": "1/1000 - 1/10000", "WB-species-notes": "<p></p>", "FlowCytIntra-species-checked": "notRecommended", "FlowCytIntra-species-dilution-info": "1/80", "FlowCytIntra-species-notes": "<p><a href='/en-us/products/primary-antibodies/rabbit-igg-monoclonal-epr25a-isotype-control-ab172730'>ab172730</a> - Rabbit monoclonal IgG, is suitable for use as an isotype control with this antibody. For unpurified use in 1/100 - 1/1000</p>" }, "Recombinant full length protein - Human": { "IP-species-checked": "notRecommended", "IP-species-dilution-info": "", "IP-species-notes": "", "IHCP-species-checked": "notRecommended", "IHCP-species-dilution-info": "", "IHCP-species-notes": "", "ICCIF-species-checked": "notRecommended", "ICCIF-species-dilution-info": "", "ICCIF-species-notes": "", "IELISA-species-checked": "testedAndGuaranteed", "IELISA-species-dilution-info": "0.002-2 µg/mL", "IELISA-species-notes": "<p></p>", "WB-species-checked": "notRecommended", "WB-species-dilution-info": "", "WB-species-notes": "", "FlowCytIntra-species-checked": "notRecommended", "FlowCytIntra-species-dilution-info": "", "FlowCytIntra-species-notes": "" } } }

Product details

Patented technology
Our RabMAb® technology is a patented hybridoma-based technology for making rabbit monoclonal antibodies. For details on our patents, please refer to RabMAb® patents.

What are the advantages of a recombinant monoclonal antibody?
This product is a recombinant monoclonal antibody, which offers several advantages including:

  • - High batch-to-batch consistency and reproducibility
  • - Improved sensitivity and specificity
  • - Long-term security of supply
  • - Animal-free batch production

For more information, read more on recombinant antibodies.

Species reactivity
Rat: We have preliminary internal testing data to indicate this antibody may not react with this species.
Please contact us for more information.

Shipping conditions update: ambient shipping

This product will be delivered at ambient temperature instead of chilled – this is by design. Extensive stability testing confirmed that our products are suitable for shipment under ambient conditions and maintain expected quality.

Why the change?

It’s part of our commitment to more sustainable packaging solutions, with ambient deliveries using eco-friendly materials such as recyclable cardboard instead of polystyrene.

What you need to know

  • Ambient shipments come clearly marked on the delivery note.
  • No ice will be included in ambient shipments, but mixed orders (ambient and cold-chain items) will still arrive with ice packs to protect temperature-sensitive products.
  • Warranty coverage remains fully valid, aligned with our validated shipping method.
  • Please store the product as per the datasheet instructions upon receipt.

Find out more - https://www.abcam.com/en-us/support/shipping-storage-support/ambient-shipping

Properties and storage information

Form
Liquid
Purification technique
Affinity purification Protein A
Storage buffer
pH: 7.2 - 7.4 Preservative: 0.01% Sodium azide Constituents: PBS, 40% Glycerol (glycerin, glycerine), 0.05% BSA
Shipped at conditions
Conditional Ambient
Appropriate short-term storage duration
1-2 weeks
Appropriate short-term storage conditions
+4°C
Appropriate long-term storage conditions
-20°C
Aliquoting information
Upon delivery aliquot
Storage information
Stable for 12 months at -20°C

Product protocols

For this product, it's our understanding that no specific protocols are required. You can visit:

Target data

Receptor for interleukin-11 (IL11). The receptor systems for IL6, LIF, OSM, CNTF, IL11 and CT1 can utilize IL6ST for initiating signal transmission. The IL11/IL11RA/IL6ST complex may be involved in the control of proliferation and/or differentiation of skeletogenic progenitor or other mesenchymal cells (Probable). Essential for the normal development of craniofacial bones and teeth. Restricts suture fusion and tooth number.. Soluble interleukin-11 receptor subunit alpha. Soluble form of IL11 receptor (sIL11RA) that acts as an agonist of IL11 activity (PubMed : 26876177, PubMed : 30279168). The IL11 : sIL11RA complex binds to IL6ST/gp130 on cell surfaces and induces signaling also on cells that do not express membrane-bound IL11RA in a process called IL11 trans-signaling (PubMed : 26876177, PubMed : 30279168).. Isoform HCR2. Soluble form of IL11 receptor (sIL11RA) that acts as an agonist of IL11 activity (PubMed : 26876177, PubMed : 30279168). The IL11 : sIL11RA complex binds to IL6ST/gp130 on cell surfaces and induces signaling also on cells that do not express membrane-bound IL11RA in a process called IL11 trans-signaling (PubMed : 26876177, PubMed : 30279168).
See full target information IL11RA

Publications (11)

Recent publications for all applications. Explore the full list and refine your search

Frontiers in immunology 16:1537365 PubMed40018034

2025

PDK2-enhanced glycolysis aggravates fibrosis via IL11 signaling pathway in Graves' orbitopathy.

Applications

Unspecified application

Species

Unspecified reactive species

Zhiyu Peng,Rui Huang,Lu Gan,Jinghan Wang,Xiaofeng Li,Jie Ding,Yinan Han,Jihong Wu,Kang Xue,Jie Guo,Rui Zhang,Jiang Qian,Ruiqi Ma

Nature communications 15:8530 PubMed39358385

2024

Interleukin-11 causes alveolar type 2 cell dysfunction and prevents alveolar regeneration.

Applications

Unspecified application

Species

Unspecified reactive species

Benjamin Ng,Kevin Y Huang,Chee Jian Pua,Sivakumar Viswanathan,Wei-Wen Lim,Fathima F Kuthubudeen,Yu-Ning Liu,An An Hii,Benjamin L George,Anissa A Widjaja,Enrico Petretto,Stuart A Cook

Nature communications 15:1995 PubMed38443404

2024

ALKBH5-mediated m6A modification of IL-11 drives macrophage-to-myofibroblast transition and pathological cardiac fibrosis in mice.

Applications

Unspecified application

Species

Unspecified reactive species

Tao Zhuang,Mei-Hua Chen,Ruo-Xi Wu,Jing Wang,Xi-De Hu,Ting Meng,Ai-Hua Wu,Yan Li,Yong-Feng Yang,Yu Lei,Dong-Hua Hu,Yan-Xiu Li,Li Zhang,Ai-Jun Sun,Wei Lu,Guan-Nan Zhang,Jun-Li Zuo,Cheng-Chao Ruan

Nature communications 13:7497 PubMed36470928

2022

Targeting endogenous kidney regeneration using anti-IL11 therapy in acute and chronic models of kidney disease.

Applications

Unspecified application

Species

Unspecified reactive species

Anissa A Widjaja,Sivakumar Viswanathan,Shamini G Shekeran,Eleonora Adami,Wei-Wen Lim,Sonia Chothani,Jessie Tan,Joyce Wei Ting Goh,Hui Mei Chen,Sze Yun Lim,Carine M Boustany-Kari,Julie Hawkins,Enrico Petretto,Norbert Hübner,Sebastian Schafer,Thomas M Coffman,Stuart A Cook

iScience 25:104806 PubMed35992082

2022

IL11 stimulates ERK/P90RSK to inhibit LKB1/AMPK and activate mTOR initiating a mesenchymal program in stromal, epithelial, and cancer cells.

Applications

Unspecified application

Species

Unspecified reactive species

Anissa A Widjaja,Sivakumar Viswanathan,Joyce Goh Wei Ting,Jessie Tan,Shamini G Shekeran,David Carling,Wei-Wen Lim,Stuart A Cook

International journal of molecular sciences 23: PubMed35408908

2022

IL11 Activates Pancreatic Stellate Cells and Causes Pancreatic Inflammation, Fibrosis and Atrophy in a Mouse Model of Pancreatitis.

Applications

Unspecified application

Species

Unspecified reactive species

Benjamin Ng,Sivakumar Viswanathan,Anissa A Widjaja,Wei-Wen Lim,Shamini G Shekeran,Joyce Wei Ting Goh,Jessie Tan,Fathima Kuthubudeen,Sze Yun Lim,Chen Xie,Sebastian Schafer,Eleonora Adami,Stuart A Cook

Current protocols 1:e251 PubMed34570432

2021

Critical Conditions for Studying Interleukin-11 Signaling In Vitro and Avoiding Experimental Artefacts.

Applications

Unspecified application

Species

Unspecified reactive species

Sivakumar Viswanathan,Benjamin Ng,Anissa A Widjaja,Chee Jian Pua,Nevin Tham,Jessie Tan,Stuart A Cook,Sebastian Schafer

Frontiers in molecular biosciences 8:740650 PubMed34651016

2021

Molecular Dissection of Pro-Fibrotic IL11 Signaling in Cardiac and Pulmonary Fibroblasts.

Applications

Unspecified application

Species

Unspecified reactive species

Anissa A Widjaja,Sivakumar Viswanathan,Dong Jinrui,Brijesh K Singh,Jessie Tan,Joyce Goh Wei Ting,David Lamb,Shamini G Shekeran,Benjamin L George,Sebastian Schafer,David Carling,Eleonora Adami,Stuart A Cook

Scientific reports 11:14088 PubMed34239012

2021

Similarities and differences between IL11 and IL11RA1 knockout mice for lung fibro-inflammation, fertility and craniosynostosis.

Applications

Unspecified application

Species

Unspecified reactive species

Benjamin Ng,Anissa A Widjaja,Sivakumar Viswanathan,Jinrui Dong,Sonia P Chothani,Stella Lim,Shamini G Shekeran,Jessie Tan,Narelle E McGregor,Emma C Walker,Natalie A Sims,Sebastian Schafer,Stuart A Cook

Nature communications 12:66 PubMed33397952

2021

Hepatocyte-specific IL11 cis-signaling drives lipotoxicity and underlies the transition from NAFLD to NASH.

Applications

Unspecified application

Species

Unspecified reactive species

Jinrui Dong,Sivakumar Viswanathan,Eleonora Adami,Brijesh K Singh,Sonia P Chothani,Benjamin Ng,Wei Wen Lim,Jin Zhou,Madhulika Tripathi,Nicole S J Ko,Shamini G Shekeran,Jessie Tan,Sze Yun Lim,Mao Wang,Pei Min Lio,Paul M Yen,Sebastian Schafer,Stuart A Cook,Anissa A Widjaja
View all publications

Product promise

We are committed to supporting your work with high-quality reagents, and we're here for you every step of the way. In the unlikely event that one of our products does not perform as expected, you're protected by our Product Promise.
For full details, please see our Terms & Conditions

Please note: All products are 'FOR RESEARCH USE ONLY. NOT FOR USE IN DIAGNOSTIC OR THERAPEUTIC PROCEDURES'.

For licensing inquiries, please contact partnerships@abcam.com