JavaScript is disabled in your browser. Please enable JavaScript to view this website.
AB131039

Anti-IL-12A antibody [EP5737]

4

(1 Review)

|

(15 Publications)

Anti-IL-12A antibody [EP5737] (ab131039) is a rabbit monoclonal antibody detecting IL-12A in Western Blot, Flow Cytometry (Intra), Flow Cytometry, IHC-P. Suitable for Human, Mouse.

- Biophysical QC for unrivalled batch-batch consistency
- Over 10 publications

View Alternative Names

NKSF1, IL12A, Interleukin-12 subunit alpha, IL-12A, Cytotoxic lymphocyte maturation factor 35 kDa subunit, IL-12 subunit p35, NK cell stimulatory factor chain 1, CLMF p35

8 Images
Immunohistochemistry (Formalin/PFA-fixed paraffin-embedded sections) - Anti-IL-12A antibody [EP5737] (AB131039)
  • IHC-P

Unknown

Immunohistochemistry (Formalin/PFA-fixed paraffin-embedded sections) - Anti-IL-12A antibody [EP5737] (AB131039)

Immunohistochemical analysis of paraffin-embedded human kidney tissue sections labelling IL-12A with unpurified ab131039 at dilution of 1 : 250.

Perform heat mediated antigen retrieval with citrate buffer pH 6 before commencing with IHC staining protocol.

Flow Cytometry (Intracellular) - Anti-IL-12A antibody [EP5737] (AB131039)
  • Flow Cyt (Intra)

Unknown

Flow Cytometry (Intracellular) - Anti-IL-12A antibody [EP5737] (AB131039)

Flow cytometry analysis of THP-1 cells treated with 100ng/ml PMA for 30min,then 1© : g/ml LPS for 24hour cells labelling IL-12A with ab131039 at 1/19000 dilution (1.02 © : g/ml) (Red). Cells were fixed with 4% paraformaldehyde . Dylight488 (ab98462) was used as the secondary antibody at 1/2000 dilution. Isotype control - Rabbit monoclonal IgG (ab172730) (Black). Unlabeled control - Unlabelled cells (Blue). Untreated cells (Green)

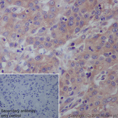
Immunohistochemistry (Formalin/PFA-fixed paraffin-embedded sections) - Anti-IL-12A antibody [EP5737] (AB131039)
  • IHC-P

AbReview52959****

Immunohistochemistry (Formalin/PFA-fixed paraffin-embedded sections) - Anti-IL-12A antibody [EP5737] (AB131039)

Formaldehyde-fixed, paraffin-embedded human colon tissue stained for IL-12A using ab131039 at 1/500 dilution in immunohistochemical analysis.

This image is courtesy of an anonymous Abreview.

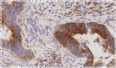
Immunohistochemistry (Formalin/PFA-fixed paraffin-embedded sections) - Anti-IL-12A antibody [EP5737] (AB131039)
  • IHC-P

Unknown

Immunohistochemistry (Formalin/PFA-fixed paraffin-embedded sections) - Anti-IL-12A antibody [EP5737] (AB131039)

Immunohistochemical staining of paraffin embedded human gastric carcinoma tissue section labelling IL-12A with purified ab131039 at dilution of 1/800. The secondary antibody used was HRP conjugated Goat Anti-Rabbit IgG H&L (ab97051) at dilution of 1/500. The sample was counter-stained with hematoxylin. Antigen retrieval was perfomed using Tris-EDTA buffer, pH 9.0. PBS was used instead of the primary antibody as the negative control and is shown in the inset.

Flow Cytometry (Intracellular) - Anti-IL-12A antibody [EP5737] (AB131039)
  • Flow Cyt (Intra)

Unknown

Flow Cytometry (Intracellular) - Anti-IL-12A antibody [EP5737] (AB131039)

Flow cytometry analysis of Raw264.7 cells treated with 100ng/ml for LPS 24hour cells labelling IL-12A with ab131039 at 1/19000 dilution (1.02 © : g/ml) (Red). Cells were fixed with 4% paraformaldehyde . Goat anti rabbit IgG (Alexa Fluor� 488, ab150077) was used as the secondary antibody at 1/2000 dilution. Isotype control - Rabbit monoclonal IgG (ab172730) (Black). Unlabeled control - Unlabelled cells (Blue).

Western blot - Anti-IL-12A antibody [EP5737] (AB131039)
  • WB

Unknown

Western blot - Anti-IL-12A antibody [EP5737] (AB131039)

Blocking and diluting buffer 5% NFDM/TBST

All lanes:

Western blot - Anti-IL-12A antibody [EP5737] (ab131039) at 1/1000 dilution

All lanes:

HuT-78 (human Sezary syndrome) whole cell lysate at 20 µg

Secondary

All lanes:

Anti-Rabbit IgG (HRP), specific to the non-reduced form of IgG at 1/2000 dilution

Predicted band size: 12 kDa,25 kDa

Observed band size: 35 kDa

false

Western blot - Anti-IL-12A antibody [EP5737] (AB131039)
  • WB

Unknown

Western blot - Anti-IL-12A antibody [EP5737] (AB131039)

All lanes:

Western blot - Anti-IL-12A antibody [EP5737] (ab131039) at 1/1000 dilution

Lane 1:

NIH3T3 cell lysate at 10 µg

Lane 2:

HuT-78 cell lysate at 10 µg

Lane 3:

Raw 264.7 cell lysate at 10 µg

Secondary

All lanes:

HRP labelled goat anti-rabbit at 1/2000 dilution

Predicted band size: 25 kDa

false

Western blot - Anti-IL-12A antibody [EP5737] (AB131039)
  • WB

Unknown

Western blot - Anti-IL-12A antibody [EP5737] (AB131039)

Blocking and diluting buffer 5% NFDM/TBST

All lanes:

Western blot - Anti-IL-12A antibody [EP5737] (ab131039) at 1/5000 dilution

Lane 1:

NIH/3T3 (mouse embryo) whole cell lysate at 20 µg

Lane 2:

Raw264.7 (mouse abelson murine leukemia virus-induced tumor) whole cell lysate at 20 µg

Secondary

All lanes:

Anti-Rabbit IgG (HRP), specific to the non-reduced form of IgG at 1/2000 dilution

Predicted band size: 25 kDa

Observed band size: 35 kDa

false

  • Carrier free

    Anti-IL-12A antibody [EP5737] - BSA and Azide free

Key facts

Host species

Rabbit

Clonality

Monoclonal

Clone number

EP5737

Isotype

IgG

Carrier free

No

Reacts with

Mouse, Human

Applications

Flow Cyt (Intra), WB, IHC-P

applications

Immunogen

The exact immunogen used to generate this antibody is proprietary information.

Reactivity data

{ "title": "Reactivity Data", "filters": { "stats": ["", "Species", "Dilution Info", "Notes"], "tabs": { "all-applications": {"fullname" : "All Applications", "shortname": "All Applications"}, "IHCP" : {"fullname" : "Immunohistochemistry (Formalin/PFA-fixed paraffin-embedded sections)", "shortname":"IHC-P"}, "WB" : {"fullname" : "Western blot", "shortname":"WB"}, "FlowCytIntra" : {"fullname" : "Flow Cytometry (Intracellular)", "shortname":"Flow Cyt (Intra)"} }, "product-promise": { "all": "all", "testedAndGuaranteed": "tested", "guaranteed": "expected", "predicted": "predicted", "notRecommended": "not-recommended" } }, "values": { "Human": { "IHCP-species-checked": "testedAndGuaranteed", "IHCP-species-dilution-info": "1/800", "IHCP-species-notes": "<p><strong>For unpurified use at 1/250 - 1/500.</strong></p> Perform heat-mediated antigen retrieval with citrate buffer pH 6 before commencing with IHC staining protocol.", "WB-species-checked": "testedAndGuaranteed", "WB-species-dilution-info": "1/1000 - 1/10000", "WB-species-notes": "<p></p>", "FlowCytIntra-species-checked": "testedAndGuaranteed", "FlowCytIntra-species-dilution-info": "1/19000", "FlowCytIntra-species-notes": "<p></p>" }, "Mouse": { "IHCP-species-checked": "guaranteed", "IHCP-species-dilution-info": "", "IHCP-species-notes": "", "WB-species-checked": "testedAndGuaranteed", "WB-species-dilution-info": "1/1000 - 1/10000", "WB-species-notes": "<p></p>", "FlowCytIntra-species-checked": "testedAndGuaranteed", "FlowCytIntra-species-dilution-info": "1/19000", "FlowCytIntra-species-notes": "<p></p>" } } }

Product details

What is this antibody validated in?
Anti-IL-12A antibody [EP5737] (ab131039) is a rabbit recombinant monoclonal antibody and is validated for use in Western Blot (WB), Flow Cytometry (Intra), Flow Cytometry (Flow Cyt), Immunohistochemistry (IHC-P) in Human, Mouse samples.

What is the molecular weight of IL-12A?
Anti-IL-12A [EP5737] (ab131039) specifically detects a band for IL-12A (UniProt: P29459) at a molecular weight of 25kDa.

Trusted by the scientific community
Anti-IL-12A [EP5737] (ab131039) was first used in a scientific publication in 2012 and has been cited over 10 times in peer-reviewed journals.

Trial sizes available!
Test your antibody or perform pre-screening before committing to a larger quantity. Sold in 10µl. Discover our selection of trial-size antibodies.

Other related products
We have a range of other formats of antibody clone [EP5737] also available for your convenience: ab131039, Carrier free - ab214433, Carrier free - ab302861

Patented technology
Our RabMAb® technology is a patented hybridoma-based technology for making rabbit monoclonal antibodies. For details on our patents, please refer to RabMAb® patents.

Species reactivity
Rat: We have preliminary internal testing data to indicate this antibody may not react with this species.
Please contact us for more information.

Properties and storage information

Form
Liquid
Purification technique
Affinity purification Protein A
Storage buffer
pH: 7.2 - 7.4 Preservative: 0.01% Sodium azide Constituents: PBS, 40% Glycerol (glycerin, glycerine), 0.05% BSA
Shipped at conditions
Blue Ice
Appropriate short-term storage duration
1-2 weeks
Appropriate short-term storage conditions
+4°C
Appropriate long-term storage conditions
-20°C
Aliquoting information
Upon delivery aliquot
Storage information
Stable for 12 months at -20°C

Product protocols

For this product, it's our understanding that no specific protocols are required. You can visit:

Target data

Heterodimerizes with IL12B to form the IL-12 cytokine or with EBI3/IL27B to form the IL-35 cytokine (PubMed : 8605935, PubMed : 8943050). IL-12 is primarily produced by professional antigen-presenting cells (APCs) such as B-cells and dendritic cells (DCs) as well as macrophages and granulocytes and regulates T-cell and natural killer-cell responses, induces the production of interferon-gamma (IFN-gamma), favors the differentiation of T-helper 1 (Th1) cells and is an important link between innate resistance and adaptive immunity (PubMed : 1673147, PubMed : 1674604, PubMed : 8605935). Mechanistically, exerts its biological effects through a receptor composed of IL12R1 and IL12R2 subunits (PubMed : 8943050). Binding to the receptor results in the rapid tyrosine phosphorylation of a number of cellular substrates including the JAK family kinases TYK2 and JAK2 (PubMed : 7528775). In turn, recruited STAT4 gets phosphorylated and translocates to the nucleus where it regulates cytokine/growth factor responsive genes (PubMed : 7638186). As part of IL-35, plays essential roles in maintaining the immune homeostasis of the liver microenvironment and functions also as an immune-suppressive cytokine (By similarity). Mediates biological events through unconventional receptors composed of IL12RB2 and gp130/IL6ST heterodimers or homodimers (PubMed : 22306691). Signaling requires the transcription factors STAT1 and STAT4, which form a unique heterodimer that binds to distinct DNA sites (PubMed : 22306691).
See full target information IL12A

Publications (15)

Recent publications for all applications. Explore the full list and refine your search

Scientific reports 15:6293 PubMed39984567

2025

IL35 modulates HBV-related HCC progression via IL6-STAT3 signaling.

Applications

Unspecified application

Species

Unspecified reactive species

Mingran Zhou,Yunhong Xia,Shuomin Wang

Current issues in molecular biology 46:3839-3865 PubMed38785507

2024

Prognostic Value of Histone Acetyl Transferase 1 (HAT-1) and Inflammatory Signatures in Pancreatic Cancer.

Applications

Unspecified application

Species

Unspecified reactive species

Miguel A Ortega,Laura Jiménez-Álvarez,Oscar Fraile-Martinez,Cielo Garcia-Montero,Luis G Guijarro,Leonel Pekarek,Silvestra Barrena-Blázquez,Ángel Asúnsolo,Laura López-González,María Del Val Toledo-Lobo,Melchor Álvarez-Mon,Miguel A Saez,Alberto Gutiérrez-Calvo,Raúl Díaz-Pedrero

Journal of personalized medicine 13: PubMed37373945

2023

Chronic Venous Disease during Pregnancy Is Related to Inflammation of the Umbilical Cord: Role of Allograft Inflammatory Factor 1 (AIF-1) and Interleukins 10 (IL-10), IL-12 and IL-18.

Applications

Unspecified application

Species

Unspecified reactive species

Lara Sánchez-Trujillo,Oscar Fraile-Martinez,Cielo García-Montero,Luis M García-Puente,Luis G Guijarro,Diego De Leon-Oliva,Diego Liviu Boaru,David Gardón-Alburquerque,María Del Val Toledo Lobo,Mar Royuela,Ignacio García-Tuñón,Antonio Rios-Parra,Juan A De León-Luis,Coral Bravo,Melchor Álvarez-Mon,Julia Bujan,Miguel A Saez,Natalio García-Honduvilla,Miguel A Ortega

Cell death discovery 9:67 PubMed36797242

2023

Interleukin-35 -producing B cells rescues inflammatory bowel disease in a mouse model via STAT3 phosphorylation and intestinal microbiota modification.

Applications

Unspecified application

Species

Unspecified reactive species

Minxiang Xie,Yuzhen Zhu,Yunjiao Zhou,Qiao Wang,Erli Gu,Yiwei Chu,Luman Wang

International journal of molecular sciences 23: PubMed35897732

2022

Photoreceptor Cells Constitutively Express IL-35 and Promote Ocular Immune Privilege.

Applications

Unspecified application

Species

Unspecified reactive species

Cheng-Rong Yu,Manoj Kumar Yadav,Minkyung Kang,Yingyos Jittayasothorn,Lijin Dong,Charles E Egwuagu

Frontiers in immunology 12:782106 PubMed34868057

2021

Avoiding Absolute Quantification Trap: A Novel Predictive Signature of Clinical Benefit to Anti-PD-1 Immunotherapy in Non-Small Cell Lung Cancer.

Applications

Unspecified application

Species

Unspecified reactive species

Chengming Liu,Sihui Wang,Sufei Zheng,Fei Xu,Zheng Cao,Xiaoli Feng,Yan Wang,Qi Xue,Nan Sun,Jie He

Annals of translational medicine 9:926 PubMed34350241

2021

Tregs-derived interleukin 35 attenuates endothelial proliferation through STAT1 in pulmonary hypertension.

Applications

Unspecified application

Species

Unspecified reactive species

Naifu Wan,Wuwei Rong,Wentong Zhu,Daile Jia,Peiyuan Bai,Guizhu Liu,Qiangyou Wan,Ankang Lyu

European thyroid journal 9:139-147 PubMed32523890

2020

High Expression of Interleukin-12A and Its Association with the Clinicopathology and Prognosis of Differentiated Thyroid Cancer.

Applications

Unspecified application

Species

Unspecified reactive species

Guo-Qiang Zhang,Chen-Tian Shen,Hong-Jun Song,Zhong-Ling Qiu,Quan-Yong Luo

EBioMedicine 52:102600 PubMed31981974

2020

Long non-coding RNA X-inactive specific transcript silencing ameliorates primary graft dysfunction following lung transplantation through microRNA-21-dependent mechanism.

Applications

Unspecified application

Species

Unspecified reactive species

Jiwei Li,Li Wei,Zhijun Han,Zhong Chen,Quan Zhang

Proceedings of the National Academy of Sciences of 117:1666-1677 PubMed31911474

2020

High-dose ascorbic acid synergizes with anti-PD1 in a lymphoma mouse model.

Applications

Unspecified application

Species

Unspecified reactive species

Rebecca A Luchtel,Tushar Bhagat,Kith Pradhan,William R Jacobs,Mark Levine,Amit Verma,Niraj Shenoy
View all publications

Product promise

We are committed to supporting your work with high-quality reagents, and we're here for you every step of the way. In the unlikely event that one of our products does not perform as expected, you're protected by our Product Promise.
For full details, please see our Terms & Conditions

Please note: All products are 'FOR RESEARCH USE ONLY. NOT FOR USE IN DIAGNOSTIC OR THERAPEUTIC PROCEDURES'.

For licensing inquiries, please contact partnerships@abcam.com