JavaScript is disabled in your browser. Please enable JavaScript to view this website.
AB198833

Anti-IL-12RB2 antibody

Be the first to review this product! Submit a review

|

(1 Publication)

Rabbit Polyclonal IL-12RB2 antibody. Suitable for IHC-P and reacts with Human samples. Cited in 1 publication. Immunogen corresponding to Synthetic Peptide within Human IL12RB2.

View Alternative Names

Interleukin-12 receptor subunit beta-2, IL-12 receptor subunit beta-2, IL-12R subunit beta-2, IL-12R-beta-2, IL-12RB2, IL12RB2

2 Images
Immunohistochemistry (Formalin/PFA-fixed paraffin-embedded sections) - Anti-IL-12RB2 antibody (AB198833)
  • IHC-P

Supplier Data

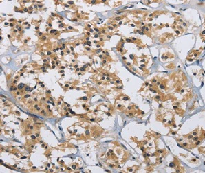
Immunohistochemistry (Formalin/PFA-fixed paraffin-embedded sections) - Anti-IL-12RB2 antibody (AB198833)

Immunohistochemical analysis of paraffin-embedded Human thyroid cancer tissue labeling IL-12RB2 using ab198833 at 1/40 dilution.

Immunohistochemistry (Formalin/PFA-fixed paraffin-embedded sections) - Anti-IL-12RB2 antibody (AB198833)
  • IHC-P

Supplier Data

Immunohistochemistry (Formalin/PFA-fixed paraffin-embedded sections) - Anti-IL-12RB2 antibody (AB198833)

Immunohistochemical analysis of paraffin-embedded Human gastric cancer tissue labeling IL-12RB2 using ab198833 at 1/40 dilution.

Key facts

Host species

Rabbit

Clonality

Polyclonal

Isotype

IgG

Carrier free

No

Reacts with

Human

Applications

IHC-P

applications

Immunogen

Synthetic Peptide within Human IL12RB2. The exact immunogen used to generate this antibody is proprietary information.

Q99665

Reactivity data

{ "title": "Reactivity Data", "filters": { "stats": ["", "Species", "Dilution Info", "Notes"], "tabs": { "all-applications": {"fullname" : "All Applications", "shortname": "All Applications"}, "IHCP" : {"fullname" : "Immunohistochemistry (Formalin/PFA-fixed paraffin-embedded sections)", "shortname":"IHC-P"} }, "product-promise": { "all": "all", "testedAndGuaranteed": "tested", "guaranteed": "expected", "predicted": "predicted", "notRecommended": "not-recommended" } }, "values": { "Human": { "IHCP-species-checked": "testedAndGuaranteed", "IHCP-species-dilution-info": "1/50 - 1/200", "IHCP-species-notes": "<p></p>" } } }

Properties and storage information

Form
Liquid
Purification technique
Affinity purification Immunogen
Storage buffer
pH: 7.4 Preservative: 0.05% Sodium azide Constituents: PBS, 50% Glycerol (glycerin, glycerine)
Shipped at conditions
Blue Ice
Appropriate short-term storage duration
1-2 weeks
Appropriate short-term storage conditions
+4°C
Appropriate long-term storage conditions
-20°C
Aliquoting information
Upon delivery aliquot
Storage information
Avoid freeze / thaw cycle

Product protocols

For this product, it's our understanding that no specific protocols are required. You can visit:

Target data

Receptor for interleukin-12. This subunit is the signaling component coupling to the JAK2/STAT4 pathway. Promotes the proliferation of T-cells as well as NK cells. Induces the promotion of T-cells towards the Th1 phenotype by strongly enhancing IFN-gamma production.
See full target information IL12RB2

Publications (1)

Recent publications for all applications. Explore the full list and refine your search

Inflammatory bowel diseases 27:1564-1575 PubMed33624092

2021

Oncostatin M Is a Biomarker of Diagnosis, Worse Disease Prognosis, and Therapeutic Nonresponse in Inflammatory Bowel Disease.

Applications

Unspecified application

Species

Unspecified reactive species

Sare Verstockt,Bram Verstockt,Kathleen Machiels,Maaike Vancamelbeke,Marc Ferrante,Isabelle Cleynen,Gert De Hertogh,Séverine Vermeire
View all publications

Product promise

We are committed to supporting your work with high-quality reagents, and we're here for you every step of the way. In the unlikely event that one of our products does not perform as expected, you're protected by our Product Promise.
For full details, please see our Terms & Conditions

Please note: All products are 'FOR RESEARCH USE ONLY. NOT FOR USE IN DIAGNOSTIC OR THERAPEUTIC PROCEDURES'.

For licensing inquiries, please contact partnerships@abcam.com