JavaScript is disabled in your browser. Please enable JavaScript to view this website.
AB263874

Anti-IL-13 receptor alpha 2 antibody [EPR22978-163] - BSA and Azide free

Be the first to review this product! Submit a review

|

(0 Publication)

Rabbit Recombinant Monoclonal IL-13 receptor alpha 2 antibody. Carrier free. Suitable for IP, I-ELISA, WB, ICC/IF and reacts with Human, Recombinant full length protein samples.

View Alternative Names

CD213a2, IL13R, IL13RA2, Interleukin-13 receptor subunit alpha-2, IL-13 receptor subunit alpha-2, IL-13R subunit alpha-2, IL-13R-alpha-2, IL-13RA2, Interleukin-13-binding protein

5 Images
Immunocytochemistry/ Immunofluorescence - Anti-IL-13 receptor alpha 2 antibody [EPR22978-163] - BSA and Azide free (AB263874)
  • ICC/IF

Unknown

Immunocytochemistry/ Immunofluorescence - Anti-IL-13 receptor alpha 2 antibody [EPR22978-163] - BSA and Azide free (AB263874)

Immunofluorescent analysis of 4% Paraformaldehyde-fixed, 0.1% Triton X-100 permeabilized A375 (human malignant melanoma epithelial cell) cells labeling IL-13 receptor alpha 2 with ab260044 at 1/100 dilution, followed by ab150077 AlexaFluor®488 Goat anti-Rabbit secondary antibody at 1/1000 dilution (Green). Confocal image showing membranous and cytoplasmic staining in A375 cell line.

Negative control : Daudi (PMID : 26059190.

ab195889 Anti-alpha Tubulin antibody [DM1A] - Microtubule Marker (Alexa Fluor® 594) was used to counterstain tubulin at 1/200 dilution (Red). The nuclear counterstain was DAPI (Blue).

Secondary antibody only control : Secondary antibody is ab150077 AlexaFluor®488 Goat anti-Rabbit secondary at 1/1000 dilution.

This data was developed using the same antibody clone in a different buffer formulation containing PBS, BSA, glycerol, and sodium azide (ab260044).

Immunocytochemistry/ Immunofluorescence - Anti-IL-13 receptor alpha 2 antibody [EPR22978-163] - BSA and Azide free (AB263874)
  • ICC/IF

Lab

Immunocytochemistry/ Immunofluorescence - Anti-IL-13 receptor alpha 2 antibody [EPR22978-163] - BSA and Azide free (AB263874)

This data was developed using the same antibody clone in a different buffer formulation (ab260044). ab260044 staining IL-13 receptor alpha 2 in wild-type A375 cells (top panel) and IL13RA2 knockout A375 cells (bottom panel) (ab273381). The cells were fixed with 100% methanol (5 min) then permeabilized with 0.1% Triton X-100 for 5 minutes and then blocked with 1% BSA/10% normal goat serum/0.3M glycine in 0.1% PBS-Tween for 1h. The cells were then incubated with ab260044 at 1/500 dilution and ab7291 (Mouse monoclonal to alpha Tubulin) at 1/1000 dilution overnight at 4°C followed by a further incubation at room temperature for 1h with a goat secondary antibody to rabbit IgG (Alexa Fluor® 488) (ab150081) at 2 μg/ml (shown in green) and a goat secondary antibody to mouse IgG (Alexa Fluor® 594) (ab150120) at 2 μg/ml (shown in red). Nuclear DNA was labelled in blue with DAPI.
Image was taken with a confocal microscope (Leica-Microsystems TCS SP8).

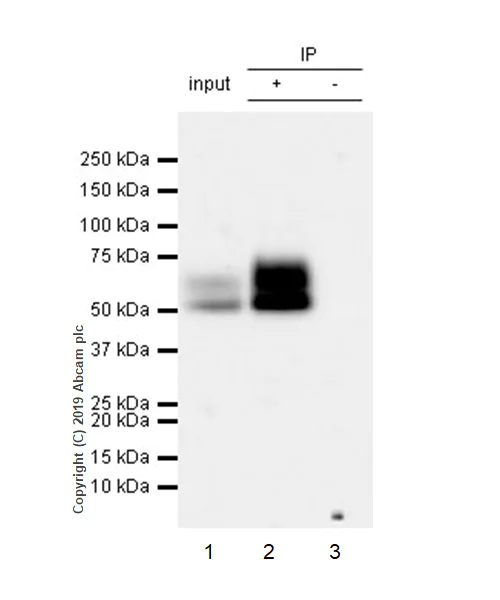
Immunoprecipitation - Anti-IL-13 receptor alpha 2 antibody [EPR22978-163] - BSA and Azide free (AB263874)
  • IP

Unknown

Immunoprecipitation - Anti-IL-13 receptor alpha 2 antibody [EPR22978-163] - BSA and Azide free (AB263874)

IL-13 receptor alpha 2 was immunoprecipitated from 0.35 mg A375 (Human malignant melanoma epithelial cell) whole cell lysate 10μg with ab260044 at 1/30 dilution (2μg in 0.35mg lysates). Western blot was performed on the immunoprecipitate using ab260044 at 1/1000 dilution. VeriBlot for IP Detection Reagent (HRP) (ab131366) was used at 1/5000 dilution.

Lane 1 : A375 (Human malignant melanoma epithelial cell) whole cell lysate 10μg

Lane 2 : ab260044 IP in A375 whole cell lysate

Lane 3 : Rabbit monoclonal IgG (ab172730) instead of ab260044 in A375 whole cell lysate

Blocking and dilution buffer and concentration : 5% NFDM/TBST.

Exposure time : 30 seconds.

This data was developed using the same antibody clone in a different buffer formulation containing PBS, BSA, glycerol, and sodium azide (ab260044).

All lanes:

Immunoprecipitation - Anti-IL-13 receptor alpha 2 antibody [EPR22978-163] (<a href='/en-us/products/primary-antibodies/il-13-receptor-alpha-2-antibody-epr22978-163-ab260044'>ab260044</a>)

Predicted band size: 44 kDa

false

Western blot - Anti-IL-13 receptor alpha 2 antibody [EPR22978-163] - BSA and Azide free (AB263874)
  • WB

Lab

Western blot - Anti-IL-13 receptor alpha 2 antibody [EPR22978-163] - BSA and Azide free (AB263874)

This data was developed using the same antibody clone in a different buffer formulation (ab260044).

Lanes 1 - 4 : Merged signal (red and green). Green - ab260044 observed at 49 kDa. Red - loading control ab7291 (Mouse anti-Alpha Tubulin [DM1A]) observed at 55kDa.

ab260044 was shown to react with IL-13 receptor alpha 2 in wild-type A375 cells in western blot with loss of signal observed in IL13RA2 knockout cell line ab273371 (knockout cell lysate ab275532). Wild-type and IL13RA2 knockout A375 cell lysates were subjected to SDS-PAGE. Membranes were blocked in fluorescent western blot (TBS-based) blocking solution before incubation with ab260044 and ab7291 (Mouse anti-Alpha Tubulin [DM1A]) overnight at 4°C at a 1 in 1000 dilution and a 1 in 20000 dilution respectively. Blots were incubated with Goat anti-Rabbit IgG H&L (IRDye® 800CW) preabsorbed (ab216773) and Goat anti-Mouse IgG H&L (IRDye® 680RD) preabsorbed (ab216776) secondary antibodies at 1 in 20000 dilution for 1 hour at room temperature before imaging.

All lanes:

Western blot - Anti-IL-13 receptor alpha 2 antibody [EPR22978-163] (<a href='/en-us/products/primary-antibodies/il-13-receptor-alpha-2-antibody-epr22978-163-ab260044'>ab260044</a>) at 1/1000 dilution

Lane 1:

Wild-type A375 cell lysate at 30 µg

Lane 2:

IL13RA2 knockout A375 cell lysate at 30 µg

Lane 2:

Western blot - Human IL13RA2 knockout A375 cell line (<a href='/en-us/products/cell-lines/human-il13ra2-knockout-a375-cell-line-ab273381'>ab273381</a>)

Lane 3:

U-87-MG cell lysate at 30 µg

Lane 4:

Daudi cell lysate at 30 µg

Predicted band size: 44 kDa

Observed band size: 49 kDa

false

Indirect ELISA - Anti-IL-13 receptor alpha 2 antibody [EPR22978-163] - BSA and Azide free (AB263874)
  • I-ELISA

Unknown

Indirect ELISA - Anti-IL-13 receptor alpha 2 antibody [EPR22978-163] - BSA and Azide free (AB263874)

This data was developed using ab260044, the same antibody clone in a different buffer formulation.ELISA analysis of IL13RA2 recombinant protein at 1000 ng/mL with ab260044. An Alkaline Phosphatase-conjugated AffiniPure Goat Anti-Rabbit IgG (H+L) at 1/2500 dilution was used as the secondary antibody.

  • Unconjugated

    Anti-IL-13 receptor alpha 2 antibody [EPR22978-163]

Key facts

Host species

Rabbit

Clonality

Monoclonal

Clone number

EPR22978-163

Isotype

IgG

Carrier free

Yes

Reacts with

Human

Applications

ICC/IF, I-ELISA, IP, WB

applications

Immunogen

The exact immunogen used to generate this antibody is proprietary information.

Reactivity data

{ "title": "Reactivity Data", "filters": { "stats": ["", "Species", "Dilution Info", "Notes"], "tabs": { "all-applications": {"fullname" : "All Applications", "shortname": "All Applications"}, "IHCP" : {"fullname" : "Immunohistochemistry (Formalin/PFA-fixed paraffin-embedded sections)", "shortname":"IHC-P"}, "FlowCyt" : {"fullname" : "Flow Cytometry", "shortname":"Flow Cyt"}, "IP" : {"fullname" : "Immunoprecipitation", "shortname":"IP"}, "IELISA" : {"fullname" : "Indirect ELISA", "shortname":"I-ELISA"}, "WB" : {"fullname" : "Western blot", "shortname":"WB"}, "ICCIF" : {"fullname" : "Immunocytochemistry/ Immunofluorescence", "shortname":"ICC/IF"} }, "product-promise": { "all": "all", "testedAndGuaranteed": "tested", "guaranteed": "expected", "predicted": "predicted", "notRecommended": "not-recommended" } }, "values": { "Human": { "IHCP-species-checked": "notRecommended", "IHCP-species-dilution-info": "", "IHCP-species-notes": "<p></p>", "FlowCyt-species-checked": "notRecommended", "FlowCyt-species-dilution-info": "", "FlowCyt-species-notes": "<p></p>", "IP-species-checked": "testedAndGuaranteed", "IP-species-dilution-info": "", "IP-species-notes": "<p></p>", "IELISA-species-checked": "guaranteed", "IELISA-species-dilution-info": "", "IELISA-species-notes": "", "WB-species-checked": "testedAndGuaranteed", "WB-species-dilution-info": "", "WB-species-notes": "<p></p>", "ICCIF-species-checked": "testedAndGuaranteed", "ICCIF-species-dilution-info": "", "ICCIF-species-notes": "<p></p>" }, "Mouse": { "IHCP-species-checked": "notRecommended", "IHCP-species-dilution-info": "", "IHCP-species-notes": "<p></p>", "FlowCyt-species-checked": "notRecommended", "FlowCyt-species-dilution-info": "", "FlowCyt-species-notes": "", "IP-species-checked": "notRecommended", "IP-species-dilution-info": "", "IP-species-notes": "", "IELISA-species-checked": "notRecommended", "IELISA-species-dilution-info": "", "IELISA-species-notes": "", "WB-species-checked": "notRecommended", "WB-species-dilution-info": "", "WB-species-notes": "", "ICCIF-species-checked": "notRecommended", "ICCIF-species-dilution-info": "", "ICCIF-species-notes": "" }, "Rat": { "IHCP-species-checked": "notRecommended", "IHCP-species-dilution-info": "", "IHCP-species-notes": "<p></p>", "FlowCyt-species-checked": "notRecommended", "FlowCyt-species-dilution-info": "", "FlowCyt-species-notes": "", "IP-species-checked": "notRecommended", "IP-species-dilution-info": "", "IP-species-notes": "", "IELISA-species-checked": "notRecommended", "IELISA-species-dilution-info": "", "IELISA-species-notes": "", "WB-species-checked": "notRecommended", "WB-species-dilution-info": "", "WB-species-notes": "", "ICCIF-species-checked": "notRecommended", "ICCIF-species-dilution-info": "", "ICCIF-species-notes": "" }, "Recombinant full length protein": { "IHCP-species-checked": "notRecommended", "IHCP-species-dilution-info": "", "IHCP-species-notes": "", "FlowCyt-species-checked": "notRecommended", "FlowCyt-species-dilution-info": "", "FlowCyt-species-notes": "", "IP-species-checked": "notRecommended", "IP-species-dilution-info": "", "IP-species-notes": "", "IELISA-species-checked": "testedAndGuaranteed", "IELISA-species-dilution-info": "", "IELISA-species-notes": "<p></p>", "WB-species-checked": "notRecommended", "WB-species-dilution-info": "", "WB-species-notes": "", "ICCIF-species-checked": "notRecommended", "ICCIF-species-dilution-info": "", "ICCIF-species-notes": "" } } }

Product details

ab263874 is the carrier-free version of ab260044.

Patented technology
Our RabMAb® technology is a patented hybridoma-based technology for making rabbit monoclonal antibodies. For details on our patents, please refer to RabMAb® patents.

What are the advantages of a recombinant monoclonal antibody?
This product is a recombinant monoclonal antibody, which offers several advantages including:

  • - High batch-to-batch consistency and reproducibility
  • - Improved sensitivity and specificity
  • - Long-term security of supply
  • - Animal-free batch production

For more information, read more on recombinant antibodies.

Conjugation ready
Our carrier-free antibodies are typically supplied in a PBS-only formulation, purified and free of BSA, sodium azide and glycerol. This conjugation-ready format is designed for use with fluorochromes, metal isotopes, oligonucleotides, and enzymes, which makes them ideal for antibody labelling, functional and cell-based assays, flow-based assays (e.g. mass cytometry) and Multiplex Imaging applications.

Use our conjugation kits for antibody conjugates that are ready-to-use in as little as 20 minutes with 1 minute hands-on-time and 100% antibody recovery: available for fluorescent dyes, HRP, biotin and gold.

Compatibility
This product is compatible with the Maxpar® Antibody Labeling Kit from Fluidigm, without the need for antibody preparation. Maxpar® is a trademark of Fluidigm Canada Inc.

Properties and storage information

Form
Liquid
Purification technique
Affinity purification Protein A
Storage buffer
pH: 7.2 - 7.4 Constituents: PBS
Shipped at conditions
Blue Ice
Appropriate short-term storage conditions
+4°C
Appropriate long-term storage conditions
+4°C
Storage information
Do Not Freeze

Product protocols

For this product, it's our understanding that no specific protocols are required. You can visit:

Target data

Cell surface receptor that plays a role in the regulation of IL-13-mediated responses (PubMed : 11861389, PubMed : 17030238). Functions as a decoy receptor that inhibits IL-13- and IL-4-mediated signal transduction via the JAK-STAT pathway and thereby modulates immune responses and inflammation (PubMed : 11861389, PubMed : 17030238). Serves as a functional signaling receptor for IL-13 in an alternative pathway involving AP-1 ultimately leading to the production of TGFB1 (PubMed : 16327802).
See full target information IL13RA2

Product promise

We are committed to supporting your work with high-quality reagents, and we're here for you every step of the way. In the unlikely event that one of our products does not perform as expected, you're protected by our Product Promise.
For full details, please see our Terms & Conditions

Please note: All products are 'FOR RESEARCH USE ONLY. NOT FOR USE IN DIAGNOSTIC OR THERAPEUTIC PROCEDURES'.

For licensing inquiries, please contact partnerships@abcam.com