JavaScript is disabled in your browser. Please enable JavaScript to view this website.
AB273631

Anti-IL-15 antibody [EPR22635-214] - BSA and Azide free

Be the first to review this product! Submit a review

|

(1 Publication)

Rabbit Recombinant Monoclonal IL-15 antibody. Carrier free. Suitable for IP, WB, Flow Cyt (Intra) and reacts with Mouse samples. Cited in 1 publication.

View Alternative Names

Interleukin-15, IL-15, IL15

5 Images
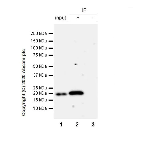
Immunoprecipitation - Anti-IL-15 antibody [EPR22635-214] - BSA and Azide free (AB273631)
  • IP

Unknown

Immunoprecipitation - Anti-IL-15 antibody [EPR22635-214] - BSA and Azide free (AB273631)

IL-15 was immunoprecipitated from 0.35 mg Human spleen tissue lysate with ab273625 at 1/30 dilution (2ug in 0.35mg lysates). Western blot was performed on the immunoprecipitate using ab273625 at 1/1000 dilution. VeriBlot for IP Detection Reagent (HRP)(ab131366) was used at 1/5000 dilution.

Lane 1 : Human spleen tissue lysate 10 ug

Lane 2 : ab273625 IP in Human spleen tissue lysate

Lane 3 : Rabbit monoclonal IgG (ab172730) instead of ab273625 in Human spleen tissue lysate

Blocking and dilution buffer and concentration : 5% NFDM/TBST.

Exposure time : 3 minutes.

This data was developed using the same antibody clone in a different buffer formulation containing PBS, BSA, glycerol, and sodium azide (ab273625).

All lanes:

Immunoprecipitation - Anti-IL-15 antibody [EPR22635-214] (<a href='/en-us/products/primary-antibodies/il-15-antibody-epr22635-214-ab273625'>ab273625</a>)

Predicted band size: 18 kDa

Observed band size: 20 kDa

false

Flow Cytometry (Intracellular) - Anti-IL-15 antibody [EPR22635-214] - BSA and Azide free (AB273631)
  • Flow Cyt (Intra)

Unknown

Flow Cytometry (Intracellular) - Anti-IL-15 antibody [EPR22635-214] - BSA and Azide free (AB273631)

Intracellular flow cytometric analysis of 4% paraformaldehyde fixed, 90% methanol permeabilized Mouse PBMC cells labelling IL-15 with ab273625 at 1/500 dilution (0.1ug) (Red) compared with a Rabbit monoclonal IgG (ab172730) (Black) isotype control and an unlabelled control (cells without incubation with primary antibody and secondary antibody) (Blue).

A Goat anti rabbit IgG (Alexa Fluor®488, ab150077) at 1/2000 dilution was used as the secondary antibody.

This data was developed using the same antibody clone in a different buffer formulation containing PBS, BSA, glycerol, and sodium azide (ab273625).

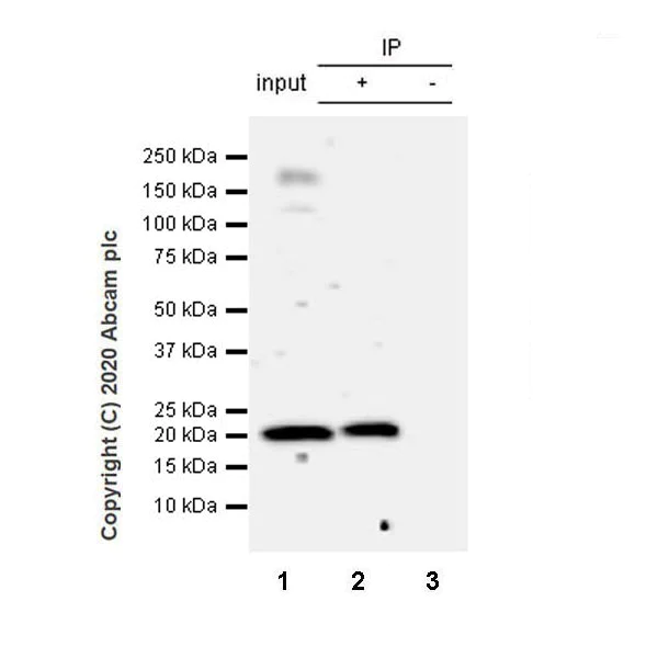
Immunoprecipitation - Anti-IL-15 antibody [EPR22635-214] - BSA and Azide free (AB273631)
  • IP

Unknown

Immunoprecipitation - Anti-IL-15 antibody [EPR22635-214] - BSA and Azide free (AB273631)

IL-15 was immunoprecipitated from 0.35 mg Mouse spleen tissue lysate with ab273625 at 1/30 dilution (2ug in 0.35mg lysates). Western blot was performed on the immunoprecipitate using ab273625 at 1/1000 dilution. VeriBlot for IP Detection Reagent (HRP)(ab131366) was used at 1/5000 dilution.

Lane 1 : Mouse spleen tissue lysate 10 ug

Lane 2 : ab273625 IP in Mouse spleen tissue lysate

Lane 3 : Rabbit monoclonal IgG (ab172730) instead of ab273625 in Mouse spleen tissue lysate

Blocking and dilution buffer and concentration : 5% NFDM/TBST.

Exposure time : 3 minutes.

This data was developed using the same antibody clone in a different buffer formulation containing PBS, BSA, glycerol, and sodium azide (ab273625).

All lanes:

Immunoprecipitation - Anti-IL-15 antibody [EPR22635-214] (<a href='/en-us/products/primary-antibodies/il-15-antibody-epr22635-214-ab273625'>ab273625</a>)

Predicted band size: 18 kDa

Observed band size: 20 kDa

false

Western blot - Anti-IL-15 antibody [EPR22635-214] - BSA and Azide free (AB273631)
  • WB

Lab

Western blot - Anti-IL-15 antibody [EPR22635-214] - BSA and Azide free (AB273631)

This data was developed using ab273625, the same antibody clone in a different buffer formulation.

Blocking and diluting buffer and concentration : 5% NFDM/TBST.

All lanes:

Western blot - Anti-IL-15 antibody [EPR22635-214] (<a href='/en-us/products/primary-antibodies/il-15-antibody-epr22635-214-ab273625'>ab273625</a>) at 1/1000 dilution

Lane 1:

J774A.1 (mouse reticulum cell sarcoma monocyte macrophage), whole cell lysate at 20 µg

Lane 2:

RAW264.7 (mouse Abelson murine leukemia virus-induced tumor macrophage), whole cell lysate at 20 µg

Lane 3:

A20 (mouse reticulum sarcoma B lymphocyte), whole cell lysate at 20 µg

Secondary

All lanes:

Goat Anti-Rabbit IgG, (H+L), Peroxidase conjugated (<a href='/en-us/products/secondary-antibodies/goat-rabbit-igg-h-l-hrp-ab97051'>ab97051</a>) at 1/100000 dilution

Predicted band size: 18 kDa

Observed band size: 20 kDa

false

Exposure time: 37s

Western blot - Anti-IL-15 antibody [EPR22635-214] - BSA and Azide free (AB273631)
  • WB

Lab

Western blot - Anti-IL-15 antibody [EPR22635-214] - BSA and Azide free (AB273631)

This data was developed using ab273625, the same antibody clone in a different buffer formulation.

Blocking and diluting buffer and concentration : 5% NFDM/TBST.

Low expression tissue : Heart (Database : HPA).

All lanes:

Western blot - Anti-IL-15 antibody [EPR22635-214] (<a href='/en-us/products/primary-antibodies/il-15-antibody-epr22635-214-ab273625'>ab273625</a>) at 1/1000 dilution

Lane 1:

Mouse lymph node tissue lysate at 20 µg

Lane 2:

Mouse heart tissue lysate at 20 µg

Secondary

All lanes:

Western blot - Goat Anti-Rabbit IgG H&L (HRP) (<a href='/en-us/products/secondary-antibodies/goat-rabbit-igg-h-l-hrp-ab97051'>ab97051</a>) at 1/100000 dilution

Predicted band size: 18 kDa

Observed band size: 20 kDa

false

Exposure time: 26s

Key facts

Host species

Rabbit

Clonality

Monoclonal

Clone number

EPR22635-214

Isotype

IgG

Carrier free

Yes

Reacts with

Mouse

Applications

IP, WB, Flow Cyt (Intra)

applications

Immunogen

The exact immunogen used to generate this antibody is proprietary information.

Reactivity data

{ "title": "Reactivity Data", "filters": { "stats": ["", "Species", "Dilution Info", "Notes"], "tabs": { "all-applications": {"fullname" : "All Applications", "shortname": "All Applications"}, "IP" : {"fullname" : "Immunoprecipitation", "shortname":"IP"}, "WB" : {"fullname" : "Western blot", "shortname":"WB"}, "IHCP" : {"fullname" : "Immunohistochemistry (Formalin/PFA-fixed paraffin-embedded sections)", "shortname":"IHC-P"}, "ICCIF" : {"fullname" : "Immunocytochemistry/ Immunofluorescence", "shortname":"ICC/IF"}, "IHCFr" : {"fullname" : "Immunohistochemistry (Frozen sections)", "shortname":"IHC-Fr"}, "FlowCytIntra" : {"fullname" : "Flow Cytometry (Intracellular)", "shortname":"Flow Cyt (Intra)"} }, "product-promise": { "all": "all", "testedAndGuaranteed": "tested", "guaranteed": "expected", "predicted": "predicted", "notRecommended": "not-recommended" } }, "values": { "Human": { "IP-species-checked": "notRecommended", "IP-species-dilution-info": "", "IP-species-notes": "<p></p>", "WB-species-checked": "notRecommended", "WB-species-dilution-info": "", "WB-species-notes": "<p></p>", "IHCP-species-checked": "notRecommended", "IHCP-species-dilution-info": "", "IHCP-species-notes": "<p></p>", "ICCIF-species-checked": "notRecommended", "ICCIF-species-dilution-info": "", "ICCIF-species-notes": "<p></p>", "IHCFr-species-checked": "notRecommended", "IHCFr-species-dilution-info": "", "IHCFr-species-notes": "<p></p>", "FlowCytIntra-species-checked": "notRecommended", "FlowCytIntra-species-dilution-info": "", "FlowCytIntra-species-notes": "<p></p>" }, "Mouse": { "IP-species-checked": "testedAndGuaranteed", "IP-species-dilution-info": "", "IP-species-notes": "<p></p>", "WB-species-checked": "testedAndGuaranteed", "WB-species-dilution-info": "", "WB-species-notes": "<p></p>", "IHCP-species-checked": "notRecommended", "IHCP-species-dilution-info": "", "IHCP-species-notes": "<p></p>", "ICCIF-species-checked": "notRecommended", "ICCIF-species-dilution-info": "", "ICCIF-species-notes": "<p></p>", "IHCFr-species-checked": "notRecommended", "IHCFr-species-dilution-info": "", "IHCFr-species-notes": "<p></p>", "FlowCytIntra-species-checked": "testedAndGuaranteed", "FlowCytIntra-species-dilution-info": "", "FlowCytIntra-species-notes": "<p></p>" }, "Rat": { "IP-species-checked": "notRecommended", "IP-species-dilution-info": "", "IP-species-notes": "", "WB-species-checked": "notRecommended", "WB-species-dilution-info": "", "WB-species-notes": "<p></p>", "IHCP-species-checked": "notRecommended", "IHCP-species-dilution-info": "", "IHCP-species-notes": "<p></p>", "ICCIF-species-checked": "notRecommended", "ICCIF-species-dilution-info": "", "ICCIF-species-notes": "", "IHCFr-species-checked": "notRecommended", "IHCFr-species-dilution-info": "", "IHCFr-species-notes": "<p></p>", "FlowCytIntra-species-checked": "notRecommended", "FlowCytIntra-species-dilution-info": "", "FlowCytIntra-species-notes": "" } } }

Product details

ab273631 is the carrier-free version of ab273625.

Patented technology
Our RabMAb® technology is a patented hybridoma-based technology for making rabbit monoclonal antibodies. For details on our patents, please refer to RabMAb® patents.

What are the advantages of a recombinant monoclonal antibody?
This product is a recombinant monoclonal antibody, which offers several advantages including:

  • - High batch-to-batch consistency and reproducibility
  • - Improved sensitivity and specificity
  • - Long-term security of supply
  • - Animal-free batch production

For more information, read more on recombinant antibodies.

Conjugation ready
Our carrier-free antibodies are typically supplied in a PBS-only formulation, purified and free of BSA, sodium azide and glycerol. This conjugation-ready format is designed for use with fluorochromes, metal isotopes, oligonucleotides, and enzymes, which makes them ideal for antibody labelling, functional and cell-based assays, flow-based assays (e.g. mass cytometry) and Multiplex Imaging applications.

Use our conjugation kits for antibody conjugates that are ready-to-use in as little as 20 minutes with 1 minute hands-on-time and 100% antibody recovery: available for fluorescent dyes, HRP, biotin and gold.

Compatibility
This product is compatible with the Maxpar® Antibody Labeling Kit from Fluidigm, without the need for antibody preparation. Maxpar® is a trademark of Fluidigm Canada Inc.

Properties and storage information

Form
Liquid
Purification technique
Affinity purification Protein A
Storage buffer
pH: 7.2 - 7.4 Constituents: PBS
Shipped at conditions
Blue Ice
Appropriate short-term storage conditions
+4°C
Appropriate long-term storage conditions
+4°C
Storage information
Do Not Freeze

Product protocols

For this product, it's our understanding that no specific protocols are required. You can visit:

Target data

Cytokine that plays a major role in the development of inflammatory and protective immune responses to microbial invaders and parasites by modulating immune cells of both the innate and adaptive immune systems (PubMed : 15123770). Stimulates the proliferation of natural killer cells, T-cells and B-cells and promotes the secretion of several cytokines (PubMed : 8178155, PubMed : 9326248). In monocytes, induces the production of IL8 and monocyte chemotactic protein 1/CCL2, two chemokines that attract neutrophils and monocytes respectively to sites of infection (PubMed : 9326248). Unlike most cytokines, which are secreted in soluble form, IL15 is expressed in association with its high affinity IL15RA on the surface of IL15-producing cells and delivers signals to target cells that express IL2RB and IL2RG receptor subunits (PubMed : 10233906, PubMed : 23104097, PubMed : 8026467). Binding to its receptor triggers the phosphorylation of JAK1 and JAK3 and the recruitment and subsequent phosphorylation of signal transducer and activator of transcription-3/STAT3 and STAT5 (PubMed : 7568001). In mast cells, induces the rapid tyrosine phosphorylation of STAT6 and thereby controls mast cell survival and release of cytokines such as IL4 (By similarity).
See full target information IL15

Publications (1)

Recent publications for all applications. Explore the full list and refine your search

Cancer cell 40:720-737.e5 PubMed35660135

2022

Exercise-induced engagement of the IL-15/IL-15Rα axis promotes anti-tumor immunity in pancreatic cancer.

Applications

Unspecified application

Species

Unspecified reactive species

Emma Kurz,Carolina Alcantara Hirsch,Tanner Dalton,Sorin Alberto Shadaloey,Alireza Khodadadi-Jamayran,George Miller,Sumedha Pareek,Hajar Rajaei,Chirayu Mohindroo,Seyda Baydogan,An Ngo-Huang,Nathan Parker,Matthew H G Katz,Maria Petzel,Emily Vucic,Florencia McAllister,Keri Schadler,Rafael Winograd,Dafna Bar-Sagi
View all publications

Product promise

We are committed to supporting your work with high-quality reagents, and we're here for you every step of the way. In the unlikely event that one of our products does not perform as expected, you're protected by our Product Promise.
For full details, please see our Terms & Conditions

Please note: All products are 'FOR RESEARCH USE ONLY. NOT FOR USE IN DIAGNOSTIC OR THERAPEUTIC PROCEDURES'.

For licensing inquiries, please contact partnerships@abcam.com