JavaScript is disabled in your browser. Please enable JavaScript to view this website.
AB273022

Anti-IL-15RA antibody [EPR24784-142]

  • BOND RX™ Validated
  • 20ul selling size
  • RabMAb
  • Recombinant
  • What is this?

Be the first to review this product! Submit a review

|

(0 Publication)

Rabbit Recombinant Monoclonal IL-15RA antibody. Suitable for Flow Cyt, Dot, IHC-P and reacts with Human samples.

View Alternative Names

CD215, Interleukin-15 receptor subunit alpha, IL-15 receptor subunit alpha, IL-15R-alpha, IL-15RA, IL15RA

5 Images
Flow Cytometry - Anti-IL-15RA antibody [EPR24784-142] (AB273022)
  • Flow Cyt

Supplier Data

Flow Cytometry - Anti-IL-15RA antibody [EPR24784-142] (AB273022)

Flow cytometric analysis of Daudi (Human Burkitt's lymphoma lymphoblast, Left)/ A-172(Human brain glioblastoma, Right) cells labelling IL-15RA with ab273022 at 1/500 dilution (0.1ug) compared with a Rabbit monoclonal IgG (ab172730) (Black) isotype control and an unlabelled control (cells without incubation with primary antibody and secondary antibody) (Blue). Goat anti rabbit IgG (Alexa Fluor® 647, ab150079) at 1/2000 dilution was used as the secondary antibody. Negative control : Daudi (PMID : 8530383). Gated on viable cells.

Immunohistochemistry (Formalin/PFA-fixed paraffin-embedded sections) - Anti-IL-15RA antibody [EPR24784-142] (AB273022)
  • IHC-P

Supplier Data

Immunohistochemistry (Formalin/PFA-fixed paraffin-embedded sections) - Anti-IL-15RA antibody [EPR24784-142] (AB273022)

Immunohistochemical analysis of paraffin-embedded Human colon tissue labelling IL-15RA with ab273022 at 1/100 (4.65 ug/ml) dilution followed by a ready to use LeicaDS9800 (Bond™ Polymer Refine Detection). Positive staining on lymphocytes in human colon (PMID : 23039249).The section was incubated with ab273022 for 30 minutes at room temperature. The immunostaining was performed on a Leica Biosystems BOND® RX instrument. Counterstained with Hematoxylin.

Secondary antibody only control : Secondary antibody is a ready to use LeicaDS9800 (Bond™ Polymer Refine Detection).

Heat mediated antigen retrieval with Tris-EDTA buffer (pH 9.0, epitope retrieval solution2) for 20 minutes.

Immunohistochemistry (Formalin/PFA-fixed paraffin-embedded sections) - Anti-IL-15RA antibody [EPR24784-142] (AB273022)
  • IHC-P

Supplier Data

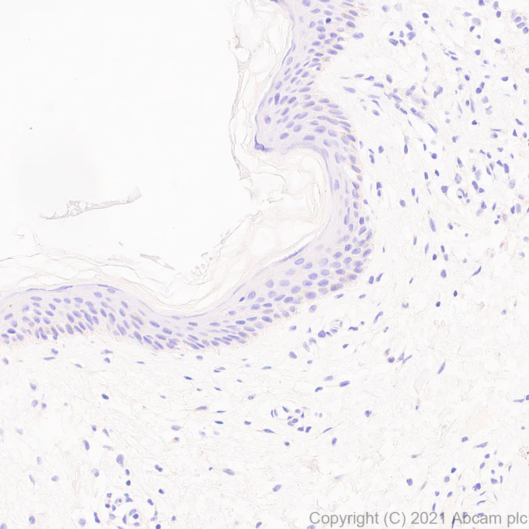
Immunohistochemistry (Formalin/PFA-fixed paraffin-embedded sections) - Anti-IL-15RA antibody [EPR24784-142] (AB273022)

Immunohistochemical analysis of paraffin-embedded Human skin tissue labelling IL-15RA with ab273022 at 1/100 (4.65 ug/ml) dilution followed by a ready to use LeicaDS9800 (Bond™ Polymer Refine Detection). Negative control : No staining on human skin (PMID : 30021889). The section was incubated with ab273022 for 30 minutes at room temperature. The immunostaining was performed on a Leica Biosystems BOND® RX instrument. Counterstained with Hematoxylin.

Secondary antibody only control : Secondary antibody is a ready to use LeicaDS9800 (Bond™ Polymer Refine Detection).

Heat mediated antigen retrieval with Tris-EDTA buffer (pH 9.0, epitope retrieval solution2) for 20 minutes.

Immunohistochemistry (Formalin/PFA-fixed paraffin-embedded sections) - Anti-IL-15RA antibody [EPR24784-142] (AB273022)
  • IHC-P

Supplier Data

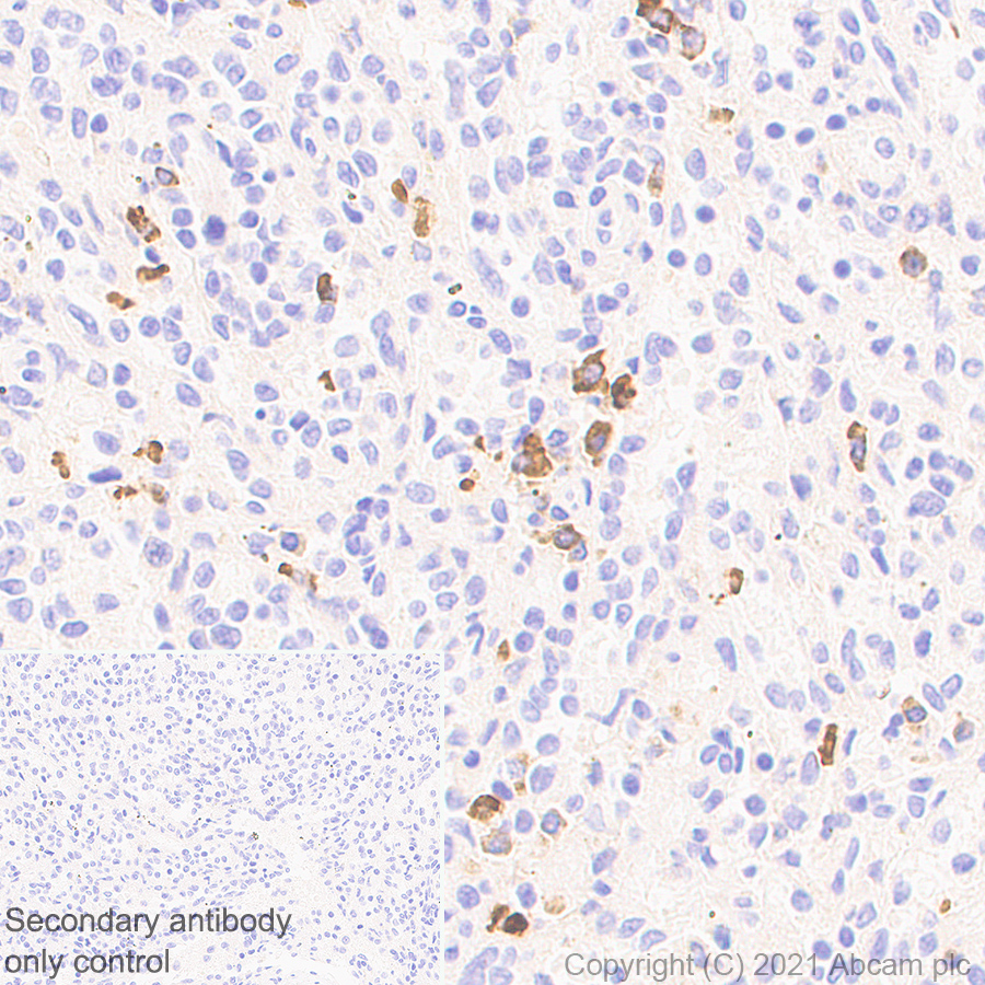
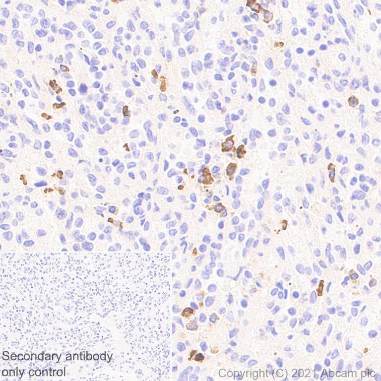
Immunohistochemistry (Formalin/PFA-fixed paraffin-embedded sections) - Anti-IL-15RA antibody [EPR24784-142] (AB273022)

Immunohistochemical analysis of paraffin-embedded Human spleen tissue labelling IL-15RA with ab273022 at 1/100 (4.65 ug/ml) dilution followed by a ready to use LeicaDS9800 (Bond™ Polymer Refine Detection). Positive staining on human spleen.The section was incubated with ab273022 for 30 minutes at room temperature.The immunostaining was performed on a Leica Biosystems BOND® RX instrument. Counterstained with Hematoxylin.

Secondary antibody only control : Secondary antibody is a ready to use LeicaDS9800 (Bond™ Polymer Refine Detection).

Heat mediated antigen retrieval with Tris-EDTA buffer (pH 9.0, epitope retrieval solution2) for 20 minutes.

Dot Blot - Anti-IL-15RA antibody [EPR24784-142] (AB273022)
  • Dot

Supplier Data

Dot Blot - Anti-IL-15RA antibody [EPR24784-142] (AB273022)

Dot blot analysis of IL-15RA using ab273022 at 1/1000 dilution (0.465 ug/ml) followed by a Goat Anti-Rabbit IgG, (H+L), Peroxidase conjugated (ab97051) at 1/100000 dilution.

Exposure time : 3 minutes

Blocking and diluting buffer and concentration : 5% NFDM/TBST

  • 578 PE

    PE Anti-IL-15RA antibody [EPR24784-142]

  • 665 Alexa Fluor® 647

    Alexa Fluor® 647 Anti-IL-15RA antibody [EPR24784-142]

  • Carrier free

    Anti-IL-15RA antibody [EPR24784-142] - BSA and Azide free

Key facts

Host species

Rabbit

Clonality

Monoclonal

Clone number

EPR24784-142

Isotype

IgG

Carrier free

No

Reacts with

Human

Applications

Dot, Flow Cyt, IHC-P

applications

Immunogen

The exact immunogen used to generate this antibody is proprietary information.

Reactivity data

{ "title": "Reactivity Data", "filters": { "stats": ["", "Species", "Dilution Info", "Notes"], "tabs": { "all-applications": {"fullname" : "All Applications", "shortname": "All Applications"}, "ICCIF" : {"fullname" : "Immunocytochemistry/ Immunofluorescence", "shortname":"ICC/IF"}, "IP" : {"fullname" : "Immunoprecipitation", "shortname":"IP"}, "FlowCyt" : {"fullname" : "Flow Cytometry", "shortname":"Flow Cyt"}, "Dot" : {"fullname" : "Dot Blot", "shortname":"Dot"}, "WB" : {"fullname" : "Western blot", "shortname":"WB"}, "IHCP" : {"fullname" : "Immunohistochemistry (Formalin/PFA-fixed paraffin-embedded sections)", "shortname":"IHC-P"} }, "product-promise": { "all": "all", "testedAndGuaranteed": "tested", "guaranteed": "expected", "predicted": "predicted", "notRecommended": "not-recommended" } }, "values": { "Human": { "ICCIF-species-checked": "notRecommended", "ICCIF-species-dilution-info": "", "ICCIF-species-notes": "<p></p>", "IP-species-checked": "notRecommended", "IP-species-dilution-info": "", "IP-species-notes": "<p></p>", "FlowCyt-species-checked": "testedAndGuaranteed", "FlowCyt-species-dilution-info": "1/500", "FlowCyt-species-notes": "<p></p>", "Dot-species-checked": "testedAndGuaranteed", "Dot-species-dilution-info": "1/1000", "Dot-species-notes": "<p></p>", "WB-species-checked": "notRecommended", "WB-species-dilution-info": "", "WB-species-notes": "<p></p>", "IHCP-species-checked": "testedAndGuaranteed", "IHCP-species-dilution-info": "1/100", "IHCP-species-notes": "<p></p>" }, "Mouse": { "ICCIF-species-checked": "notRecommended", "ICCIF-species-dilution-info": "", "ICCIF-species-notes": "", "IP-species-checked": "notRecommended", "IP-species-dilution-info": "", "IP-species-notes": "<p></p>", "FlowCyt-species-checked": "notRecommended", "FlowCyt-species-dilution-info": "1/500", "FlowCyt-species-notes": "<p></p>", "Dot-species-checked": "notRecommended", "Dot-species-dilution-info": "", "Dot-species-notes": "", "WB-species-checked": "notRecommended", "WB-species-dilution-info": "", "WB-species-notes": "<p></p>", "IHCP-species-checked": "notRecommended", "IHCP-species-dilution-info": "1/100", "IHCP-species-notes": "<p></p>" }, "Rat": { "ICCIF-species-checked": "notRecommended", "ICCIF-species-dilution-info": "", "ICCIF-species-notes": "", "IP-species-checked": "notRecommended", "IP-species-dilution-info": "", "IP-species-notes": "", "FlowCyt-species-checked": "notRecommended", "FlowCyt-species-dilution-info": "", "FlowCyt-species-notes": "", "Dot-species-checked": "notRecommended", "Dot-species-dilution-info": "", "Dot-species-notes": "", "WB-species-checked": "notRecommended", "WB-species-dilution-info": "", "WB-species-notes": "<p></p>", "IHCP-species-checked": "notRecommended", "IHCP-species-dilution-info": "1/100", "IHCP-species-notes": "<p></p>" } } }

Product details

Patented technology
Our RabMAb® technology is a patented hybridoma-based technology for making rabbit monoclonal antibodies. For details on our patents, please refer to RabMAb® patents.

What are the advantages of a recombinant monoclonal antibody?
This product is a recombinant monoclonal antibody, which offers several advantages including:

  • - High batch-to-batch consistency and reproducibility
  • - Improved sensitivity and specificity
  • - Long-term security of supply
  • - Animal-free batch production

For more information, read more on recombinant antibodies.

Properties and storage information

Form
Liquid
Purification technique
Affinity purification Protein A
Storage buffer
Preservative: 0.01% Sodium azide Constituents: PBS, 40% Glycerol (glycerin, glycerine), 0.05% BSA
Shipped at conditions
Blue Ice
Appropriate short-term storage duration
1-2 weeks
Appropriate short-term storage conditions
+4°C
Appropriate long-term storage conditions
-20°C
Aliquoting information
Upon delivery aliquot
Storage information
Avoid freeze / thaw cycle

Product protocols

For this product, it's our understanding that no specific protocols are required. You can visit:

Target data

High-affinity receptor for interleukin-15 (PubMed : 8530383). Can signal both in cis and trans where IL15R from one subset of cells presents IL15 to neighboring IL2RG-expressing cells (By similarity). In neutrophils, binds and activates kinase SYK in response to IL15 stimulation (PubMed : 15123770). In neutrophils, required for IL15-induced phagocytosis in a SYK-dependent manner (PubMed : 15123770). Expression of different isoforms may alter or interfere with signal transduction (PubMed : 10480910).. Isoform 5. Does not bind IL15.. Isoform 6. Does not bind IL15.. Isoform 7. Does not bind IL15.. Isoform 8. Does not bind IL15.
See full target information IL15RA

Product promise

We are committed to supporting your work with high-quality reagents, and we're here for you every step of the way. In the unlikely event that one of our products does not perform as expected, you're protected by our Product Promise.
For full details, please see our Terms & Conditions

Please note: All products are 'FOR RESEARCH USE ONLY. NOT FOR USE IN DIAGNOSTIC OR THERAPEUTIC PROCEDURES'.

For licensing inquiries, please contact partnerships@abcam.com