JavaScript is disabled in your browser. Please enable JavaScript to view this website.
AB207181

Anti-IL-16 antibody [EPR19988]

Be the first to review this product! Submit a review

|

(5 Publications)

Rabbit Recombinant Monoclonal IL-16 antibody. Suitable for IP, WB, ICC/IF, Flow Cyt (Intra), IHC-P and reacts with Human samples. Cited in 5 publications.

View Alternative Names

Pro-interleukin-16, IL16

7 Images
Flow Cytometry (Intracellular) - Anti-IL-16 antibody [EPR19988] (AB207181)
  • Flow Cyt (Intra)

Supplier Data

Flow Cytometry (Intracellular) - Anti-IL-16 antibody [EPR19988] (AB207181)

Intracellular flow cytometric analysis of 4% paraformaldehyde-fixed H9 (Human cutaneous T lymphocyte lymphoma cell line) cells labeling IL-16with ab207181 at 1/600 dilution (red) compared with a rabbit monoclonal IgG isotype control (ab172730; black) and an unlabeled control (cells without incubation with primary antibody and secondary antibody; blue). Goat anti rabbit IgG (Alexa Fluorr® 488) at 1/2000 dilution was used as the secondary antibody.

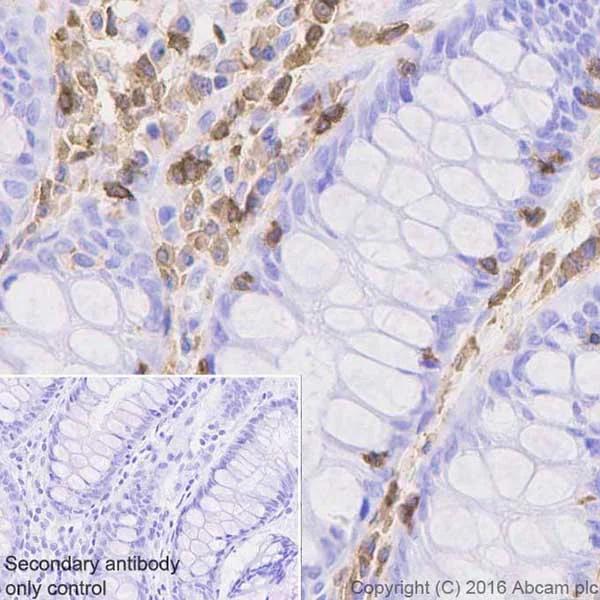
Immunohistochemistry (Formalin/PFA-fixed paraffin-embedded sections) - Anti-IL-16 antibody [EPR19988] (AB207181)
  • IHC-P

Supplier Data

Immunohistochemistry (Formalin/PFA-fixed paraffin-embedded sections) - Anti-IL-16 antibody [EPR19988] (AB207181)

Immunohistochemical analysis of paraffin-embedded human colon tissue labeling IL-16 with ab207181 at 1/2000 dilution followed by Goat Anti-Rabbit IgG H&L (HRP) (ab97051) at 1/500 dilution. Cytoplasmic staining on stromal cells of human colon is observed [PMID : 11709514]. Counter stained with Hematoxylin.

Secondary antibody only control : Used PBS instead of primary antibody secondary antibody is Goat Anti-Rabbit IgG H&L (HRP) (ab97051) at 1/500 dilution.

Perform heat mediated antigen retrieval with Tris/EDTA buffer pH 9.0 before commencing with IHC staining protocol.

Immunocytochemistry/ Immunofluorescence - Anti-IL-16 antibody [EPR19988] (AB207181)
  • ICC/IF

Supplier Data

Immunocytochemistry/ Immunofluorescence - Anti-IL-16 antibody [EPR19988] (AB207181)

Immunofluorescent analysis of 4% paraformaldehyde-fixed 0.1% Triton X-100 permeabilized H9 (Human cutaneous T lymphocyte lymphoma cell line) cells labeling IL-16 with ab207181 at 1/100 dilution followed by Goat anti-rabbit IgG (Alexa Fluor® 488) (ab150077) secondary antibody at 1/1000 dilution (green). Confocal image showing cytoplasmic staining on H9 cell line.

The nuclear counter stain is DAPI (blue). Tubulin is detected with ab195889 (Anti-alpha Tubulin antibody [DM1A] - Microtubule Marker (Alexa Fluor® 594)) at 1/200 dilution (red).

Secondary antibody only control : Used PBS instead of primary antibody secondary antibody is Goat anti-rabbit IgG (Alexa Fluor® 488) (ab150077) at 1/1000 dilution.

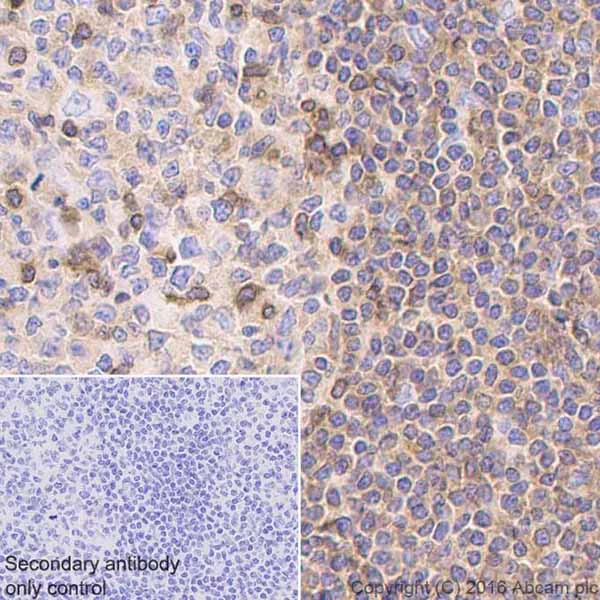
Immunohistochemistry (Formalin/PFA-fixed paraffin-embedded sections) - Anti-IL-16 antibody [EPR19988] (AB207181)
  • IHC-P

Supplier Data

Immunohistochemistry (Formalin/PFA-fixed paraffin-embedded sections) - Anti-IL-16 antibody [EPR19988] (AB207181)

Immunohistochemical analysis of paraffin-embedded human tonsil tissue labeling IL-16 with ab207181 at 1/2000 dilution followed by Goat Anti-Rabbit IgG H&L (HRP) (ab97051) at 1/500 dilution. Cytoplasmic staining on human tonsil is observed [PMID : 10946273]. Counter stained with Hematoxylin.

Secondary antibody only control : Used PBS instead of primary antibody secondary antibody is Goat Anti-Rabbit IgG H&L (HRP) (ab97051) at 1/500 dilution.

Perform heat mediated antigen retrieval with Tris/EDTA buffer pH 9.0 before commencing with IHC staining protocol.

Western blot - Anti-IL-16 antibody [EPR19988] (AB207181)
  • WB

Supplier Data

Western blot - Anti-IL-16 antibody [EPR19988] (AB207181)

Blocking/Dilution buffer : 5% NFDM/TBST.

Exposure times : Lane 1 : 5 seconds, Lane 2 : 15 seconds, Lane 3 : 3 minutes.

The band at 80 kDa is pro-IL-16 and the bands at 40-75 kDa are cleaved fragments. This is consistent with what has been described in the literature (PMID : 15187155, PMID : 9144227, PMID : 9743378, PMID : 14734747).

All lanes:

Western blot - Anti-IL-16 antibody [EPR19988] (ab207181) at 1/1000 dilution

Lane 1:

Human thymus tissue lysate at 10 µg

Lane 2:

Human spleen tissue lysate at 10 µg

Lane 3:

Human tonsil tissue lysate at 20 µg

Secondary

Lanes 1 - 2:

Western blot - VeriBlot for IP Detection Reagent (HRP) (<a href='/en-us/products/reagents/veriblot-for-ip-detection-reagent-hrp-ab131366'>ab131366</a>) at 1/4000 dilution

Lane 3:

Western blot - Goat Anti-Rabbit IgG H&L (HRP) (<a href='/en-us/products/secondary-antibodies/goat-rabbit-igg-h-l-hrp-ab97051'>ab97051</a>) at 1/100000 dilution

Predicted band size: 142 kDa

Observed band size: 75-40 kDa,80 kDa

false

Immunoprecipitation - Anti-IL-16 antibody [EPR19988] (AB207181)
  • IP

Supplier Data

Immunoprecipitation - Anti-IL-16 antibody [EPR19988] (AB207181)

IL-16 was immunoprecipitated from 0.35 mg of H9 (Human cutaneous T lymphocyte lymphoma cell line) whole cell lysate with ab207181 at 1/30 dilution. Western blot was performed from the immunoprecipitate using ab207181 at 1/1000 dilution. VeriBlot for IP Detection Reagent (HRP) (ab131366), was used for detection at 1/10000 dilution.

Lane 1 : H9 whole cell lysate, 10 μg (Input).

Lane 2 : ab207181 IP in H9 whole cell lysate.

Lane 3 : Rabbit monoclonal IgG (ab172730) instead of ab207181 in H9 whole cell lysate.

Blocking and dilution buffer and concentration : 5% NFDM/TBST.

Exposure time : 10 seconds.

Note : The band at around 50kDa is a cleaved form of IL-16.

All lanes:

Immunoprecipitation - Anti-IL-16 antibody [EPR19988] (ab207181)

Predicted band size: 142 kDa

Observed band size: 37-80 kDa

false

Western blot - Anti-IL-16 antibody [EPR19988] (AB207181)
  • WB

Supplier Data

Western blot - Anti-IL-16 antibody [EPR19988] (AB207181)

Blocking/Dilution buffer : 5% NFDM/TBST.

The band at 80 kDa is pro-IL-16 and the bands at 40-75 kDa are cleaved fragments. This is consistent with what has been described in the literature (PMID : 15187155, PMID : 9144227, PMID : 9743378, PMID : 14734747).

All lanes:

Western blot - Anti-IL-16 antibody [EPR19988] (ab207181) at 1/1000 dilution

Lane 1:

H9 (Human cutaneous T lymphocyte lymphoma cell line) whole cell lysate at 10 µg

Lane 2:

Jurkat (Human T cell leukemia cell line from peripheral blood) whole cell lysate at 10 µg

Secondary

All lanes:

Western blot - Goat Anti-Rabbit IgG H&L (HRP) (<a href='/en-us/products/secondary-antibodies/goat-rabbit-igg-h-l-hrp-ab97051'>ab97051</a>) at 1/100000 dilution

Predicted band size: 142 kDa

Observed band size: 75-40 kDa,80 kDa

false

Exposure time: 3min

Key facts

Host species

Rabbit

Clonality

Monoclonal

Clone number

EPR19988

Isotype

IgG

Carrier free

No

Reacts with

Human

Applications

IP, IHC-P, Flow Cyt (Intra), WB, ICC/IF

applications

Immunogen

The exact immunogen used to generate this antibody is proprietary information.

Reactivity data

{ "title": "Reactivity Data", "filters": { "stats": ["", "Species", "Dilution Info", "Notes"], "tabs": { "all-applications": {"fullname" : "All Applications", "shortname": "All Applications"}, "IP" : {"fullname" : "Immunoprecipitation", "shortname":"IP"}, "WB" : {"fullname" : "Western blot", "shortname":"WB"}, "ICCIF" : {"fullname" : "Immunocytochemistry/ Immunofluorescence", "shortname":"ICC/IF"}, "FlowCytIntra" : {"fullname" : "Flow Cytometry (Intracellular)", "shortname":"Flow Cyt (Intra)"}, "IHCP" : {"fullname" : "Immunohistochemistry (Formalin/PFA-fixed paraffin-embedded sections)", "shortname":"IHC-P"} }, "product-promise": { "all": "all", "testedAndGuaranteed": "tested", "guaranteed": "expected", "predicted": "predicted", "notRecommended": "not-recommended" } }, "values": { "Human": { "IP-species-checked": "testedAndGuaranteed", "IP-species-dilution-info": "1/30", "IP-species-notes": "<p></p>", "WB-species-checked": "testedAndGuaranteed", "WB-species-dilution-info": "1/1000", "WB-species-notes": "<p><strong>Observed Mass of target (kDa)</strong>: <strong>80, 75-40</strong></p>", "ICCIF-species-checked": "testedAndGuaranteed", "ICCIF-species-dilution-info": "1/100", "ICCIF-species-notes": "<p></p>", "FlowCytIntra-species-checked": "testedAndGuaranteed", "FlowCytIntra-species-dilution-info": "1/600", "FlowCytIntra-species-notes": "<p></p>", "IHCP-species-checked": "testedAndGuaranteed", "IHCP-species-dilution-info": "1/2000", "IHCP-species-notes": "<p></p>" } } }

Product details

Patented technology
Our RabMAb® technology is a patented hybridoma-based technology for making rabbit monoclonal antibodies. For details on our patents, please refer to RabMAb® patents.

What are the advantages of a recombinant monoclonal antibody?
This product is a recombinant monoclonal antibody, which offers several advantages including:

  • - High batch-to-batch consistency and reproducibility
  • - Improved sensitivity and specificity
  • - Long-term security of supply
  • - Animal-free batch production

For more information, read more on recombinant antibodies.

Properties and storage information

Form
Liquid
Purification technique
Affinity purification Protein A
Storage buffer
pH: 7.2 - 7.4 Preservative: 0.01% Sodium azide Constituents: PBS, 40% Glycerol (glycerin, glycerine), 0.05% BSA
Shipped at conditions
Blue Ice
Appropriate short-term storage duration
1-2 weeks
Appropriate short-term storage conditions
+4°C
Appropriate long-term storage conditions
-20°C
Aliquoting information
Upon delivery aliquot
Storage information
Avoid freeze / thaw cycle

Product protocols

For this product, it's our understanding that no specific protocols are required. You can visit:

Target data

Interleukin-16 stimulates a migratory response in CD4+ lymphocytes, monocytes, and eosinophils. Primes CD4+ T-cells for IL-2 and IL-15 responsiveness. Also induces T-lymphocyte expression of interleukin 2 receptor. Ligand for CD4.. Isoform 1. May act as a scaffolding protein that anchors ion channels in the membrane.. Isoform 3 is involved in cell cycle progression in T-cells. Appears to be involved in transcriptional regulation of SKP2 and is probably part of a transcriptional repression complex on the core promoter of the SKP2 gene. May act as a scaffold for GABPB1 (the DNA-binding subunit the GABP transcription factor complex) and HDAC3 thus maintaining transcriptional repression and blocking cell cycle progression in resting T-cells.
See full target information IL16

Publications (5)

Recent publications for all applications. Explore the full list and refine your search

Cell reports. Medicine 5:101476 PubMed38508138

2024

Pyroptotic T cell-derived active IL-16 has a driving function in ovarian endometriosis development.

Applications

Unspecified application

Species

Unspecified reactive species

Jinghe Zhang,Weidong Zhao,Yonggang Zhou,Shengdi Xi,Xiuxiu Xu,Xianghui Du,Xiaohu Zheng,Weiping Hu,Rui Sun,Zhigang Tian,Binqing Fu,Haiming Wei

Arthritis research & therapy 24:49 PubMed35172901

2022

A comprehensive profile of chemokines in the peripheral blood and vascular tissue of patients with Takayasu arteritis.

Applications

Unspecified application

Species

Unspecified reactive species

Xiufang Kong,Sifan Wu,Xiaojuan Dai,Wensu Yu,Jinghua Wang,Ying Sun,Zongfei Ji,Lingying Ma,Xiaomin Dai,Huiyong Chen,Lili Ma,Lindi Jiang

Molecular medicine reports 23: PubMed33649782

2021

Rs41291957 polymorphism in the promoter region of microRNA‑143 serves as a prognostic biomarker for patients with intracranial hemorrhage.

Applications

Unspecified application

Species

Unspecified reactive species

Xiaobo Yang,Zongduo Guo,Fang Cao,Zhipeng Teng,Zhijian Huang,Xiaochuan Sun

Molecular immunology 107:1-9 PubMed30634164

2019

IL-16 regulates macrophage polarization as a target gene of mir-145-3p.

Applications

Unspecified application

Species

Unspecified reactive species

Ying Huang,Kai Li Du,Pei Yu Guo,Run Min Zhao,Bing Wang,Xue Lin Zhao,Chun Qiang Zhang

Biomedicine & pharmacotherapy = Biomedecine & phar 105:848-855 PubMed30021377

2018

Heterogeneous nuclear ribonucleoprotein M promotes the progression of breast cancer by regulating the axin/β-catenin signaling pathway.

Applications

Unspecified application

Species

Unspecified reactive species

Wen-Hua Yang,Ming-Jian Ding,Guo-Zhong Cui,Meng Yang,Dian-Lu Dai
View all publications

Product promise

We are committed to supporting your work with high-quality reagents, and we're here for you every step of the way. In the unlikely event that one of our products does not perform as expected, you're protected by our Product Promise.
For full details, please see our Terms & Conditions

Please note: All products are 'FOR RESEARCH USE ONLY. NOT FOR USE IN DIAGNOSTIC OR THERAPEUTIC PROCEDURES'.

For licensing inquiries, please contact partnerships@abcam.com