JavaScript is disabled in your browser. Please enable JavaScript to view this website.
AB251467

Anti-IL-16 antibody [EPR19988] - BSA and Azide free

Be the first to review this product! Submit a review

|

(0 Publication)

Rabbit Recombinant Monoclonal IL-16 antibody. Carrier free. Suitable for ICC/IF, IP, WB, Flow Cyt (Intra), IHC-P and reacts with Human samples.

View Alternative Names

Pro-interleukin-16, IL16

7 Images
Western blot - Anti-IL-16 antibody [EPR19988] - BSA and Azide free (AB251467)
  • WB

Supplier Data

Western blot - Anti-IL-16 antibody [EPR19988] - BSA and Azide free (AB251467)

This data was developed using ab207181, the same antibody clone in a different buffer formulation.

Blocking and dilution buffer : 5% NFDM/TBST.

Exposure times : Lane 1 : 5 seconds, Lane 2 : 15 seconds, Lane 3 : 3 minutes.

The band at 80 kDa is pro-IL-16 and the bands at 40-75 kDa are cleaved fragments. This is consistent with what has been described in the literature (PMID : 15187155; 9144227; 9743378; 14734747).

All lanes:

Western blot - Anti-IL-16 antibody [EPR19988] (<a href='/en-us/products/primary-antibodies/il-16-antibody-epr19988-ab207181'>ab207181</a>) at 1/1000 dilution

Lane 1:

Human thymus tissue lysate at 10 µg

Lane 2:

Human spleen tissue lysate at 10 µg

Lane 3:

Human tonsil tissue lysate at 20 µg

Secondary

Lanes 1 - 2:

Western blot - VeriBlot for IP Detection Reagent (HRP) (<a href='/en-us/products/reagents/veriblot-for-ip-detection-reagent-hrp-ab131366'>ab131366</a>) at 1/4000 dilution

Lane 3:

Western blot - Goat Anti-Rabbit IgG H&L (HRP) (<a href='/en-us/products/secondary-antibodies/goat-rabbit-igg-h-l-hrp-ab97051'>ab97051</a>) at 1/100000 dilution

Predicted band size: 142 kDa

Observed band size: 75-40 kDa,80 kDa

false

Western blot - Anti-IL-16 antibody [EPR19988] - BSA and Azide free (AB251467)
  • WB

Supplier Data

Western blot - Anti-IL-16 antibody [EPR19988] - BSA and Azide free (AB251467)

This data was developed using ab207181, the same antibody clone in a different buffer formulation.

Blocking and dilution buffer : 5% NFDM/TBST.

The band at 80 kDa is pro-IL-16 and the bands at 40-75 kDa are cleaved fragments. This is consistent with what has been described in the literature (PMID : 15187155, 9144227, 9743378, 14734747).

All lanes:

Western blot - Anti-IL-16 antibody [EPR19988] (<a href='/en-us/products/primary-antibodies/il-16-antibody-epr19988-ab207181'>ab207181</a>) at 1/1000 dilution

Lane 1:

H9 (Human cutaneous T lymphocyte lymphoma cell line) whole cell lysate at 10 µg

Lane 2:

Jurkat (Human T cell leukemia cell line from peripheral blood) whole cell lysate at 10 µg

Secondary

All lanes:

Western blot - Goat Anti-Rabbit IgG H&L (HRP) (<a href='/en-us/products/secondary-antibodies/goat-rabbit-igg-h-l-hrp-ab97051'>ab97051</a>) at 1/100000 dilution

Predicted band size: 142 kDa

Observed band size: 75-40 kDa,80 kDa

false

Exposure time: 3min

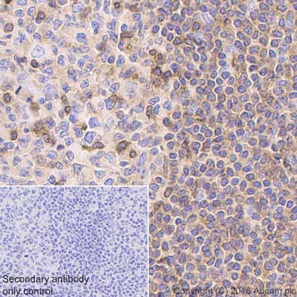
Immunohistochemistry (Formalin/PFA-fixed paraffin-embedded sections) - Anti-IL-16 antibody [EPR19988] - BSA and Azide free (AB251467)
  • IHC-P

Supplier Data

Immunohistochemistry (Formalin/PFA-fixed paraffin-embedded sections) - Anti-IL-16 antibody [EPR19988] - BSA and Azide free (AB251467)

This data was developed using ab207181, the same antibody clone in a different buffer formulation.

Immunohistochemical analysis of paraffin-embedded human tonsil tissue labeling IL-16 with ab207181 at 1/2000 dilution, followed by Goat Anti-Rabbit IgG H&L (HRP) (ab97051) at 1/500 dilution. Cytoplasmic staining on human tonsil is observed [PMID : 10946273]. Counter stained with Hematoxylin.

Secondary antibody only control : Used PBS instead of primary antibody, secondary antibody is Goat Anti-Rabbit IgG H&L (HRP) (ab97051) at 1/500 dilution.

Perform heat mediated antigen retrieval with Tris/EDTA buffer pH 9.0 before commencing with IHC staining protocol.

Immunocytochemistry/ Immunofluorescence - Anti-IL-16 antibody [EPR19988] - BSA and Azide free (AB251467)
  • ICC/IF

Supplier Data

Immunocytochemistry/ Immunofluorescence - Anti-IL-16 antibody [EPR19988] - BSA and Azide free (AB251467)

This data was developed using ab207181, the same antibody clone in a different buffer formulation.

Immunofluorescent analysis of 4% paraformaldehyde-fixed, 0.1% Triton X-100 permeabilized H9 (Human cutaneous T lymphocyte lymphoma cell line) cells labeling IL-16 with ab207181 at 1/100 dilution, followed by Goat anti-rabbit IgG (Alexa Fluor® 488) (ab150077) secondary antibody at 1/1000 dilution (green). Confocal image showing cytoplasmic staining on H9 cell line.

The nuclear counter stain is DAPI (blue). Tubulin is detected with ab195889 (Anti-alpha Tubulin antibody [DM1A] - Microtubule Marker (Alexa Fluor® 594)) at 1/200 dilution (red).

Secondary antibody only control : Used PBS instead of primary antibody, secondary antibody is Goat anti-rabbit IgG (Alexa Fluor® 488) (ab150077) at 1/1000 dilution.

Immunoprecipitation - Anti-IL-16 antibody [EPR19988] - BSA and Azide free (AB251467)
  • IP

Supplier Data

Immunoprecipitation - Anti-IL-16 antibody [EPR19988] - BSA and Azide free (AB251467)

This data was developed using ab207181, the same antibody clone in a different buffer formulation.

IL-16 was immunoprecipitated from 0.35 mg of H9 (Human cutaneous T lymphocyte lymphoma cell line) whole cell lysate with ab207181 at 1/30 dilution. Western blot was performed from the immunoprecipitate using ab207181 at 1/1000 dilution. VeriBlot for IP Detection Reagent (HRP) (ab131366), was used for detection at 1/10000 dilution.

Lane 1 : H9 whole cell lysate, 10 μg (Input).

Lane 2 : ab207181 IP in H9 whole cell lysate.

Lane 3 : Rabbit monoclonal IgG (ab172730) instead of ab207181 in H9 whole cell lysate.

Blocking and dilution buffer : 5% NFDM/TBST.

Exposure time : 10 seconds.

Note : The band at around 50kDa is a cleaved form of IL-16.

All lanes:

Immunoprecipitation - Anti-IL-16 antibody [EPR19988] (<a href='/en-us/products/primary-antibodies/il-16-antibody-epr19988-ab207181'>ab207181</a>)

Predicted band size: 142 kDa

Observed band size: 37-80 kDa

false

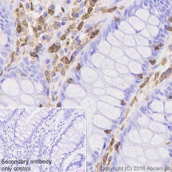
Immunohistochemistry (Formalin/PFA-fixed paraffin-embedded sections) - Anti-IL-16 antibody [EPR19988] - BSA and Azide free (AB251467)
  • IHC-P

Supplier Data

Immunohistochemistry (Formalin/PFA-fixed paraffin-embedded sections) - Anti-IL-16 antibody [EPR19988] - BSA and Azide free (AB251467)

This data was developed using ab207181, the same antibody clone in a different buffer formulation.

Immunohistochemical analysis of paraffin-embedded human colon tissue labeling IL-16 with ab207181 at 1/2000 dilution, followed by Goat Anti-Rabbit IgG H&L (HRP) (ab97051) at 1/500 dilution. Cytoplasmic staining on stromal cells of human colon is observed [PMID : 11709514]. Counter stained with Hematoxylin.

Secondary antibody only control : Used PBS instead of primary antibody, secondary antibody is Goat Anti-Rabbit IgG H&L (HRP) (ab97051) at 1/500 dilution.

Perform heat mediated antigen retrieval with Tris/EDTA buffer pH 9.0 before commencing with IHC staining protocol.

Flow Cytometry (Intracellular) - Anti-IL-16 antibody [EPR19988] - BSA and Azide free (AB251467)
  • Flow Cyt (Intra)

Supplier Data

Flow Cytometry (Intracellular) - Anti-IL-16 antibody [EPR19988] - BSA and Azide free (AB251467)

This data was developed using ab207181, the same antibody clone in a different buffer formulation.

Intracellular flow cytometric analysis of 4% paraformaldehyde-fixed H9 (Human cutaneous T lymphocyte lymphoma cell line) cells labeling IL-16 with ab207181 at 1/600 dilution (red) compared with a rabbit monoclonal IgG isotype control (ab172730; black) and an unlabeled control (cells without incubation with primary antibody and secondary antibody; blue). Goat anti rabbit IgG (Alexa Fluor® 488) at 1/2000 dilution was used as the secondary antibody.

Key facts

Host species

Rabbit

Clonality

Monoclonal

Clone number

EPR19988

Isotype

IgG

Carrier free

Yes

Reacts with

Human

Applications

ICC/IF, Flow Cyt (Intra), IP, WB, IHC-P

applications

Immunogen

The exact immunogen used to generate this antibody is proprietary information.

Reactivity data

{ "title": "Reactivity Data", "filters": { "stats": ["", "Species", "Dilution Info", "Notes"], "tabs": { "all-applications": {"fullname" : "All Applications", "shortname": "All Applications"}, "ICCIF" : {"fullname" : "Immunocytochemistry/ Immunofluorescence", "shortname":"ICC/IF"}, "IP" : {"fullname" : "Immunoprecipitation", "shortname":"IP"}, "WB" : {"fullname" : "Western blot", "shortname":"WB"}, "FlowCytIntra" : {"fullname" : "Flow Cytometry (Intracellular)", "shortname":"Flow Cyt (Intra)"}, "IHCP" : {"fullname" : "Immunohistochemistry (Formalin/PFA-fixed paraffin-embedded sections)", "shortname":"IHC-P"} }, "product-promise": { "all": "all", "testedAndGuaranteed": "tested", "guaranteed": "expected", "predicted": "predicted", "notRecommended": "not-recommended" } }, "values": { "Human": { "ICCIF-species-checked": "testedAndGuaranteed", "ICCIF-species-dilution-info": "", "ICCIF-species-notes": "<p></p>", "IP-species-checked": "testedAndGuaranteed", "IP-species-dilution-info": "", "IP-species-notes": "<p></p>", "WB-species-checked": "testedAndGuaranteed", "WB-species-dilution-info": "", "WB-species-notes": "<p>Observed Mass of target (kDa): 80, 75-40.</p>", "FlowCytIntra-species-checked": "testedAndGuaranteed", "FlowCytIntra-species-dilution-info": "", "FlowCytIntra-species-notes": "<p></p>", "IHCP-species-checked": "testedAndGuaranteed", "IHCP-species-dilution-info": "", "IHCP-species-notes": "<p></p>" } } }

You may be interested in:

AB324411

Human IL-16 ELISA Kit

0

0 Reviews

View product

We recommend this product because it’s often used in the same experiment or related research.

We advise that you always check the datasheet to ensure it fits your experiments, or contact ourtechnical teamfor help.

Product details

ab251467 is the carrier-free version of ab207181.

Patented technology
Our RabMAb® technology is a patented hybridoma-based technology for making rabbit monoclonal antibodies. For details on our patents, please refer to RabMAb® patents.

What are the advantages of a recombinant monoclonal antibody?
This product is a recombinant monoclonal antibody, which offers several advantages including:

  • - High batch-to-batch consistency and reproducibility
  • - Improved sensitivity and specificity
  • - Long-term security of supply
  • - Animal-free batch production

For more information, read more on recombinant antibodies.

Conjugation ready
Our carrier-free antibodies are typically supplied in a PBS-only formulation, purified and free of BSA, sodium azide and glycerol. This conjugation-ready format is designed for use with fluorochromes, metal isotopes, oligonucleotides, and enzymes, which makes them ideal for antibody labelling, functional and cell-based assays, flow-based assays (e.g. mass cytometry) and Multiplex Imaging applications.

Use our conjugation kits for antibody conjugates that are ready-to-use in as little as 20 minutes with 1 minute hands-on-time and 100% antibody recovery: available for fluorescent dyes, HRP, biotin and gold.

Compatibility
This product is compatible with the Maxpar® Antibody Labeling Kit from Fluidigm, without the need for antibody preparation. Maxpar® is a trademark of Fluidigm Canada Inc.

Properties and storage information

Form
Liquid
Purification technique
Affinity purification Protein A
Storage buffer
pH: 7.2 - 7.4 Constituents: PBS
Shipped at conditions
Blue Ice
Appropriate short-term storage conditions
+4°C
Appropriate long-term storage conditions
+4°C
Storage information
Do Not Freeze

Product protocols

For this product, it's our understanding that no specific protocols are required. You can visit:

Target data

Interleukin-16 stimulates a migratory response in CD4+ lymphocytes, monocytes, and eosinophils. Primes CD4+ T-cells for IL-2 and IL-15 responsiveness. Also induces T-lymphocyte expression of interleukin 2 receptor. Ligand for CD4.. Isoform 1. May act as a scaffolding protein that anchors ion channels in the membrane.. Isoform 3 is involved in cell cycle progression in T-cells. Appears to be involved in transcriptional regulation of SKP2 and is probably part of a transcriptional repression complex on the core promoter of the SKP2 gene. May act as a scaffold for GABPB1 (the DNA-binding subunit the GABP transcription factor complex) and HDAC3 thus maintaining transcriptional repression and blocking cell cycle progression in resting T-cells.
See full target information IL16

Product promise

We are committed to supporting your work with high-quality reagents, and we're here for you every step of the way. In the unlikely event that one of our products does not perform as expected, you're protected by our Product Promise.
For full details, please see our Terms & Conditions

Associated Products

Select an associated product type
Alternative Product
Proteins & Peptides

AB256039

Recombinant human IL-16 protein (Active)

proteins-peptides

recombinant-human-il-16-protein-active-ab256039

0

(0 reviews)

Alternative Product
Proteins & Peptides

AB256040

Recombinant mouse IL-16 protein (Active)

proteins-peptides

recombinant-mouse-il-16-protein-active-ab256040

0

(0 reviews)

Please note: All products are 'FOR RESEARCH USE ONLY. NOT FOR USE IN DIAGNOSTIC OR THERAPEUTIC PROCEDURES'.

For licensing inquiries, please contact partnerships@abcam.com