JavaScript is disabled in your browser. Please enable JavaScript to view this website.
AB217359

Anti-IL-17A antibody

Be the first to review this product! Submit a review

|

(3 Publications)

Rabbit Polyclonal IL-17A antibody. Suitable for WB, IHC-P and reacts with Human samples. Cited in 3 publications. Immunogen corresponding to Synthetic Peptide within Human IL17A aa 1-100 conjugated to Keyhole Limpet Haemocyanin.

View Alternative Names

CTLA8, IL17, IL17A, Interleukin-17A, IL-17, IL-17A, Cytotoxic T-lymphocyte-associated antigen 8, CTLA-8

3 Images
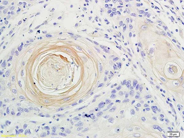
Immunohistochemistry (Formalin/PFA-fixed paraffin-embedded sections) - Anti-IL-17A antibody (AB217359)
  • IHC-P

Supplier Data

Immunohistochemistry (Formalin/PFA-fixed paraffin-embedded sections) - Anti-IL-17A antibody (AB217359)

Immunohistochemical analysis of formalin-fixed, paraffin-embedded Human oral squamous cell carcinoma tissue labeling IL-17A with ab217359 at 1/200 dilution, followed by conjugation to the secondary antibody and DAB staining.

Western blot - Anti-IL-17A antibody (AB217359)
  • WB

Lab

Western blot - Anti-IL-17A antibody (AB217359)

All lanes:

Western blot - Anti-IL-17A antibody (ab217359) at 1/1000 dilution

All lanes:

Raji cell lysates

Secondary

All lanes:

Conjugated secondary antibody at 1/10000 dilution

Predicted band size: 18 kDa

false

Western blot - Anti-IL-17A antibody (AB217359)
  • WB

Lab

Western blot - Anti-IL-17A antibody (AB217359)

All lanes:

Western blot - Anti-IL-17A antibody (ab217359) at 1/1000 dilution

Lane 1:

MOLT-4 cell lysate

Lane 2:

U937 cell lysate

Secondary

All lanes:

Conjugated secondary antibody at 1/10000 dilution

Predicted band size: 18 kDa

false

Key facts

Host species

Rabbit

Clonality

Polyclonal

Isotype

IgG

Carrier free

No

Reacts with

Human

Applications

WB, IHC-P

applications

Immunogen

Synthetic Peptide within Human IL17A aa 1-100 conjugated to Keyhole Limpet Haemocyanin. The exact immunogen used to generate this antibody is proprietary information.

Q16552

Reactivity data

{ "title": "Reactivity Data", "filters": { "stats": ["", "Species", "Dilution Info", "Notes"], "tabs": { "all-applications": {"fullname" : "All Applications", "shortname": "All Applications"}, "ICC" : {"fullname" : "Immunocytochemistry", "shortname":"ICC"}, "WB" : {"fullname" : "Western blot", "shortname":"WB"}, "IHCP" : {"fullname" : "Immunohistochemistry (Formalin/PFA-fixed paraffin-embedded sections)", "shortname":"IHC-P"} }, "product-promise": { "all": "all", "testedAndGuaranteed": "tested", "guaranteed": "expected", "predicted": "predicted", "notRecommended": "not-recommended" } }, "values": { "Human": { "ICC-species-checked": "notRecommended", "ICC-species-dilution-info": "", "ICC-species-notes": "<p></p>", "WB-species-checked": "testedAndGuaranteed", "WB-species-dilution-info": "1/1000", "WB-species-notes": "<p></p>", "IHCP-species-checked": "testedAndGuaranteed", "IHCP-species-dilution-info": "1/100 - 1/500", "IHCP-species-notes": "<p></p>" } } }

Properties and storage information

Form
Liquid
Purification technique
Affinity purification Protein A
Storage buffer
pH: 7.2 - 7.6 Preservative: 0.09% Sodium azide Constituents: 50% Glycerol (glycerin, glycerine), 1% BSA
Shipped at conditions
Blue Ice
Appropriate short-term storage duration
1-2 weeks
Appropriate short-term storage conditions
+4°C
Appropriate long-term storage conditions
-20°C
Aliquoting information
Upon delivery aliquot
Storage information
Avoid freeze / thaw cycle

Product protocols

For this product, it's our understanding that no specific protocols are required. You can visit:

Target data

Effector cytokine of innate and adaptive immune system involved in antimicrobial host defense and maintenance of tissue integrity (PubMed : 24120361). Signals via IL17RA-IL17RC heterodimeric receptor complex, triggering homotypic interaction of IL17RA and IL17RC chains with TRAF3IP2 adapter. This leads to downstream TRAF6-mediated activation of NF-kappa-B and MAPkinase pathways ultimately resulting in transcriptional activation of cytokines, chemokines, antimicrobial peptides and matrix metalloproteinases, with potential strong immune inflammation (PubMed : 17911633, PubMed : 18684971, PubMed : 19825828, PubMed : 21350122, PubMed : 24120361, PubMed : 8676080). Plays an important role in connecting T cell-mediated adaptive immunity and acute inflammatory response to destroy extracellular bacteria and fungi. As a signature effector cytokine of T-helper 17 cells (Th17), primarily induces neutrophil activation and recruitment at infection and inflammatory sites (By similarity). In airway epithelium, mediates neutrophil chemotaxis via induction of CXCL1 and CXCL5 chemokines (By similarity). In secondary lymphoid organs, contributes to germinal center formation by regulating the chemotactic response of B cells to CXCL12 and CXCL13, enhancing retention of B cells within the germinal centers, B cell somatic hypermutation rate and selection toward plasma cells (By similarity). Effector cytokine of a subset of gamma-delta T cells that functions as part of an inflammatory circuit downstream IL1B, TLR2 and IL23A-IL12B to promote neutrophil recruitment for efficient bacterial clearance (By similarity). Effector cytokine of innate immune cells including invariant natural killer cell (iNKT) and group 3 innate lymphoid cells that mediate initial neutrophilic inflammation (By similarity). Involved in the maintenance of the integrity of epithelial barriers during homeostasis and pathogen infection (PubMed : 21350122). Upon acute injury, has a direct role in epithelial barrier formation by regulating OCLN localization and tight junction biogenesis (By similarity). As part of the mucosal immune response induced by commensal bacteria, enhances host's ability to resist pathogenic bacterial and fungal infections by promoting neutrophil recruitment and antimicrobial peptides release (By similarity). In synergy with IL17F, mediates the production of antimicrobial beta-defensins DEFB1, DEFB103A, and DEFB104A by mucosal epithelial cells, limiting the entry of microbes through the epithelial barriers (By similarity). Involved in antiviral host defense through various mechanisms (By similarity). Enhances immunity against West Nile virus by promoting T cell cytotoxicity (By similarity). May play a beneficial role in influenza A virus (H5N1) infection by enhancing B cell recruitment and immune response in the lung (By similarity). Contributes to influenza A virus (H1N1) clearance by driving the differentiation of B-1a B cells, providing for production of virus-specific IgM antibodies at first line of host defense (By similarity).
See full target information IL17A

Publications (3)

Recent publications for all applications. Explore the full list and refine your search

International journal of molecular sciences 21: PubMed32106600

2020

Transglutaminase 3 Reduces the Severity of Psoriasis in Imiquimod-Treated Mouse Skin.

Applications

Unspecified application

Species

Unspecified reactive species

Maria Cristina Piro,Alessandra Ventura,Artem Smirnov,Andrea Saggini,Anna Maria Lena,Alessandro Mauriello,Luca Bianchi,Gerry Melino,Eleonora Candi

Oncology letters 19:442-448 PubMed31897157

2020

Influence of demethylation on regulatory T and Th17 cells in myelodysplastic syndrome.

Applications

Unspecified application

Species

Unspecified reactive species

Xinyan Jia,Wenzhong Yang,Xiaohui Zhou,Lu Han,Jumei Shi

Experimental and therapeutic medicine 16:12-20 PubMed29977354

2018

IL-17A and GDF15 are able to induce epithelial-mesenchymal transition of lung epithelial cells in response to cigarette smoke.

Applications

Unspecified application

Species

Unspecified reactive species

Gang Jiang,Chen-Tao Liu,Wei-Dong Zhang
View all publications

Product promise

We are committed to supporting your work with high-quality reagents, and we're here for you every step of the way. In the unlikely event that one of our products does not perform as expected, you're protected by our Product Promise.
For full details, please see our Terms & Conditions

Please note: All products are 'FOR RESEARCH USE ONLY. NOT FOR USE IN DIAGNOSTIC OR THERAPEUTIC PROCEDURES'.

For licensing inquiries, please contact partnerships@abcam.com