JavaScript is disabled in your browser. Please enable JavaScript to view this website.
AB91649

Anti-IL-17A antibody

Be the first to review this product! Submit a review

|

(15 Publications)

Rabbit Polyclonal IL-17A antibody. Suitable for IHC-P and reacts with Mouse samples. Cited in 15 publications.

View Alternative Names

Ctla8, Il17, Il17a, Interleukin-17A, IL-17, IL-17A, Cytotoxic T-lymphocyte-associated antigen 8, CTLA-8

1 Images
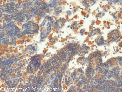
Immunohistochemistry (Formalin/PFA-fixed paraffin-embedded sections) - Anti-IL-17A antibody (AB91649)
  • IHC-P

Unknown

Immunohistochemistry (Formalin/PFA-fixed paraffin-embedded sections) - Anti-IL-17A antibody (AB91649)

IHC image of IL-17A staining in mouse lymph node formalin fixed paraffin embedded tissue section, performed on a Leica BondTM system using the standard protocol F. The section was pre-treated using heat mediated antigen retrieval with sodium citrate buffer (pH6, epitope retrieval solution 1) for 20 mins. The section was then incubated with ab91649, 5μg/ml, for 15 mins at room temperature and detected using an HRP conjugated compact polymer system. DAB was used as the chromogen. The section was then counterstained with haematoxylin and mounted with DPX.

Key facts

Host species

Rabbit

Clonality

Polyclonal

Isotype

IgG

Carrier free

No

Reacts with

Mouse

Applications

IHC-P

applications

Immunogen

The exact immunogen used to generate this antibody is proprietary information.

Reactivity data

{ "title": "Reactivity Data", "filters": { "stats": ["", "Species", "Dilution Info", "Notes"], "tabs": { "all-applications": {"fullname" : "All Applications", "shortname": "All Applications"}, "IHCP" : {"fullname" : "Immunohistochemistry (Formalin/PFA-fixed paraffin-embedded sections)", "shortname":"IHC-P"} }, "product-promise": { "all": "all", "testedAndGuaranteed": "tested", "guaranteed": "expected", "predicted": "predicted", "notRecommended": "not-recommended" } }, "values": { "Mouse": { "IHCP-species-checked": "testedAndGuaranteed", "IHCP-species-dilution-info": "5 µg/mL", "IHCP-species-notes": "<p></p>" }, "Rat": { "IHCP-species-checked": "predicted", "IHCP-species-dilution-info": "", "IHCP-species-notes": "" } } }

Properties and storage information

Form
Liquid
Purification technique
Affinity purification Immunogen
Storage buffer
pH: 7.4 Preservative: 0.02% Sodium azide Constituents: PBS, 1% BSA
Shipped at conditions
Blue Ice
Appropriate short-term storage duration
1-2 weeks
Appropriate short-term storage conditions
+4°C
Appropriate long-term storage conditions
-20°C
Aliquoting information
Upon delivery aliquot
Storage information
Avoid freeze / thaw cycle

Product protocols

For this product, it's our understanding that no specific protocols are required. You can visit:

Target data

Effector cytokine of innate and adaptive immune system involved in antimicrobial host defense and maintenance of tissue integrity (PubMed : 18025225, PubMed : 19144317, PubMed : 26431948). Signals via IL17RA-IL17RC heterodimeric receptor complex, triggering homotypic interaction of IL17RA and IL17RC chains with TRAF3IP2 adapter. This leads to downstream TRAF6-mediated activation of NF-kappa-B and MAPkinase pathways ultimately resulting in transcriptional activation of cytokines, chemokines, antimicrobial peptides and matrix metalloproteinases, with potential strong immune inflammation (PubMed : 16200068, PubMed : 17911633, PubMed : 19144317, PubMed : 26431948). Plays an important role in connecting T cell-mediated adaptive immunity and acute inflammatory response to destroy extracellular bacteria and fungi. As a signature effector cytokine of T-helper 17 cells (Th17), primarily induces neutrophil activation and recruitment at infection and inflammatory sites (PubMed : 18025225). In airway epithelium, mediates neutrophil chemotaxis via induction of CXCL1 and CXCL5 chemokines (PubMed : 18025225, PubMed : 27923703). In secondary lymphoid organs, contributes to germinal center formation by regulating the chemotactic response of B cells to CXCL12 and CXCL13, enhancing retention of B cells within the germinal centers, B cell somatic hypermutation rate and selection toward plasma cells (PubMed : 18157131). Effector cytokine of a subset of gamma-delta T cells that functions as part of an inflammatory circuit downstream IL1B, TLR2 and IL23A-IL12B to promote neutrophil recruitment for efficient bacterial clearance (PubMed : 17372004, PubMed : 20364087, PubMed : 28709803). Effector cytokine of innate immune cells including invariant natural killer cell (iNKT) and group 3 innate lymphoid cells that mediate initial neutrophilic inflammation (PubMed : 17470641, PubMed : 23255360). Involved in the maintenance of the integrity of epithelial barriers during homeostasis and pathogen infection. Upon acute injury, has a direct role in epithelial barrier formation by regulating OCLN localization and tight junction biogenesis (PubMed : 26431948). As part of the mucosal immune response induced by commensal bacteria, enhances host's ability to resist pathogenic bacterial and fungal infections by promoting neutrophil recruitment and antimicrobial peptides release (PubMed : 28709803). In synergy with IL17F, mediates the production of antimicrobial beta-defensins DEFB1, DEFB103A, and DEFB104A by mucosal epithelial cells, limiting the entry of microbes through the epithelial barriers (PubMed : 19144317). Involved in antiviral host defense through various mechanisms (PubMed : 21946434, PubMed : 26735852, PubMed : 27795421). Enhances immunity against West Nile virus by promoting T cell cytotoxicity (PubMed : 27795421). May play a beneficial role in influenza A virus (H5N1) infection by enhancing B cell recruitment and immune response in the lung (PubMed : 21946434). Contributes to influenza A virus (H1N1) clearance by driving the differentiation of B-1a B cells, providing for production of virus-specific IgM antibodies at first line of host defense (PubMed : 26735852).
See full target information Il17a

Publications (15)

Recent publications for all applications. Explore the full list and refine your search

Experimental hematology & oncology 13:33 PubMed38515216

2024

Heat-killed Prevotella intermedia promotes the progression of oral squamous cell carcinoma by inhibiting the expression of tumor suppressors and affecting the tumor microenvironment.

Applications

Unspecified application

Species

Unspecified reactive species

Yifan Zhou,Yao Qin,Jingjing Ma,Zhiyuan Li,Weiwei Heng,Lei Zhang,Hong Liu,Ruowei Li,Miaomiao Zhang,Qiao Peng,Pei Ye,Ning Duan,Ting Liu,Wenmei Wang,Xiang Wang

Frontiers in immunology 14:1096565 PubMed37143677

2023

Identification of gut dysbiosis in axial spondyloarthritis patients and improvement of experimental ankylosing spondyloarthritis by microbiome-derived butyrate with immune-modulating function.

Applications

Unspecified application

Species

Unspecified reactive species

Hong Ki Min,Hyun Sik Na,JooYeon Jhun,Seon-Yeong Lee,Sun Shim Choi,Go Eun Park,Jeong Su Lee,In Gyu Um,Seung Yoon Lee,Hochan Seo,Tae-Seop Shin,Yoon-Keun Kim,Jennifer Jooha Lee,Seung-Ki Kwok,Mi-La Cho,Sung-Hwan Park

Laboratory investigation; a journal of technical methods and pathology 101:1418-1426 PubMed36775468

2023

Th17/IL-17 induces endothelial cell senescence via activation of NF-κB/p53/Rb signaling pathway.

Applications

Unspecified application

Species

Unspecified reactive species

Liang Zhang,Manli Liu,Wenhua Liu,Chaojie Hu,Hongqi Li,Jie Deng,Qi Cao,Yiping Wang,Wei Hu,Qing Li

Journal of immunology (Baltimore, Md. : 1950) 209:696-709 PubMed35817515

2022

Inhibition of IL-17A Protects against Thyroid Immune-Related Adverse Events while Preserving Checkpoint Inhibitor Antitumor Efficacy.

Applications

Unspecified application

Species

Unspecified reactive species

Melissa G Lechner,Mandy I Cheng,Anushi Y Patel,Aline T Hoang,Natalie Yakobian,Michael Astourian,Marissa S Pioso,Eduardo D Rodriguez,Ethan C McCarthy,Willy Hugo,Trevor E Angell,Alexandra Drakaki,Antoni Ribas,Maureen A Su

Scientific reports 11:13109 PubMed34162906

2021

Long-chain saturated fatty acids in breast milk are associated with the pathogenesis of atopic dermatitis via induction of inflammatory ILC3s.

Applications

Unspecified application

Species

Unspecified reactive species

Weng Sheng Kong,Naohiro Tsuyama,Hiroko Inoue,Yun Guo,Sho Mokuda,Asako Nobukiyo,Nobuhiro Nakatani,Fumiya Yamaide,Taiji Nakano,Yoichi Kohno,Kazutaka Ikeda,Yumiko Nakanishi,Hiroshi Ohno,Makoto Arita,Naoki Shimojo,Masamoto Kanno

International immunopharmacology 96:107678 PubMed34162129

2021

Vγ4 T cell-derived IL-17A is essential for amplification of inflammatory cascades in ischemic brain tissue after stroke.

Applications

Unspecified application

Species

Unspecified reactive species

Long Lu,Yangping Wang,Lina Zhou,Yashu Li,Xiaorong Zhang,Xiaohong Hu,Shugui Shi,Weifeng He

Mediators of inflammation 2021:5551578 PubMed34093086

2021

The Severity of CVB3-Induced Myocarditis Can Be Improved by Blocking the Orchestration of NLRP3 and Th17 in Balb/c Mice.

Applications

Unspecified application

Species

Unspecified reactive species

Jifei Chen,Fan Yang,Song Shi,Xuexiang Liu,Fengxian Qin,Xiaomou Wei,Yujie Huang,Wenwu Liang,Lin Miao

Frontiers in immunology 12:593595 PubMed33995342

2021

Clinical and Immunological Factors That Distinguish COVID-19 From Pandemic Influenza A(H1N1).

Applications

Unspecified application

Species

Unspecified reactive species

José Alberto Choreño-Parra,Luis Armando Jiménez-Álvarez,Alfredo Cruz-Lagunas,Tatiana Sofía Rodríguez-Reyna,Gustavo Ramírez-Martínez,Montserrat Sandoval-Vega,Diana Lizzeth Hernández-García,Eduardo M Choreño-Parra,Yalbi I Balderas-Martínez,Mariana Esther Martinez-Sánchez,Eduardo Márquez-García,Edda Sciutto,José Moreno-Rodríguez,José Omar Barreto-Rodríguez,Hazel Vázquez-Rojas,Gustavo Iván Centeno-Sáenz,Néstor Alvarado-Peña,Citlaltepetl Salinas-Lara,Carlos Sánchez-Garibay,David Galeana-Cadena,Gabriela Hernández,Criselda Mendoza-Milla,Andrea Domínguez,Julio Granados,Lula Mena-Hernández,Luis Ángel Pérez-Buenfil,Guillermo Domínguez-Cheritt,Carlos Cabello-Gutiérrez,Cesar Luna-Rivero,Jorge Salas-Hernández,Patricio Santillán-Doherty,Justino Regalado,Angélica Hernández-Martínez,Lorena Orozco,Federico Ávila-Moreno,Ethel A García-Latorre,Carmen M Hernández-Cárdenas,Shabaana A Khader,Albert Zlotnik,Joaquín Zúñiga

Frontiers in immunology 12:656350 PubMed33868301

2021

Lung Neutrophilic Recruitment and IL-8/IL-17A Tissue Expression in COVID-19.

Applications

Unspecified application

Species

Unspecified reactive species

Marina Luise Viola Azevedo,Aline Cristina Zanchettin,Caroline Busatta Vaz de Paula,Jarbas da Silva Motta Júnior,Mineia Alessandra Scaranello Malaquias,Sonia Mara Raboni,Plínio Cezar Neto,Rafaela Chiuco Zeni,Amanda Prokopenko,Nícolas Henrique Borges,Thiago Mateus Godoy,Ana Paula Kubaski Benevides,Daiane Gavlik de Souza,Cristina Pellegrino Baena,Cleber Machado-Souza,Lucia de Noronha

British journal of pharmacology 177:3535-3551 PubMed32335893

2020

B and B kinin receptor blockade improves psoriasis-like disease.

Applications

Unspecified application

Species

Unspecified reactive species

Bruna da Silva Soley,Leonardo Martins Silva,Daniel Augusto Gasparin Bueno Mendes,André Báfica,João Bosco Pesquero,Michael Bader,Deborah A Witherden,Wendy L Havran,João B Calixto,Michel Fleith Otuki,Daniela Almeida Cabrini
View all publications

Product promise

We are committed to supporting your work with high-quality reagents, and we're here for you every step of the way. In the unlikely event that one of our products does not perform as expected, you're protected by our Product Promise.
For full details, please see our Terms & Conditions

Please note: All products are 'FOR RESEARCH USE ONLY. NOT FOR USE IN DIAGNOSTIC OR THERAPEUTIC PROCEDURES'.

For licensing inquiries, please contact partnerships@abcam.com