JavaScript is disabled in your browser. Please enable JavaScript to view this website.
AB153896

Anti-IL-17C antibody

Be the first to review this product! Submit a review

|

(4 Publications)

Rabbit Polyclonal IL-17C antibody. Suitable for IHC-P, WB and reacts with Human samples. Cited in 4 publications. Immunogen corresponding to Recombinant Fragment Protein within Human IL17C aa 1 to C-terminus.

View Alternative Names

UNQ561/PRO1122, IL17C, Interleukin-17C, IL-17C, Cytokine CX2

2 Images
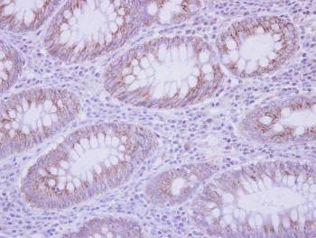
Immunohistochemistry (Formalin/PFA-fixed paraffin-embedded sections) - Anti-IL-17C antibody (AB153896)
  • IHC-P

Unknown

Immunohistochemistry (Formalin/PFA-fixed paraffin-embedded sections) - Anti-IL-17C antibody (AB153896)

Immunohistochemical analysis of paraffin-embedded Human colon tissue labeling IL17C with ab153896 at 1/250 dilution.

Western blot - Anti-IL-17C antibody (AB153896)
  • WB

Unknown

Western blot - Anti-IL-17C antibody (AB153896)

12% SDS PAGE

All lanes:

Western blot - Anti-IL-17C antibody (ab153896) at 1/1000 dilution

All lanes:

A549 whole cell lysate at 30 µg

Predicted band size: 22 kDa

false

Key facts

Host species

Rabbit

Clonality

Polyclonal

Isotype

IgG

Carrier free

No

Reacts with

Human

Applications

IHC-P, WB

applications

Immunogen

Recombinant Fragment Protein within Human IL17C aa 1 to C-terminus. The exact immunogen used to generate this antibody is proprietary information.

Q9P0M4

Reactivity data

{ "title": "Reactivity Data", "filters": { "stats": ["", "Species", "Dilution Info", "Notes"], "tabs": { "all-applications": {"fullname" : "All Applications", "shortname": "All Applications"}, "IHCP" : {"fullname" : "Immunohistochemistry (Formalin/PFA-fixed paraffin-embedded sections)", "shortname":"IHC-P"}, "WB" : {"fullname" : "Western blot", "shortname":"WB"} }, "product-promise": { "all": "all", "testedAndGuaranteed": "tested", "guaranteed": "expected", "predicted": "predicted", "notRecommended": "not-recommended" } }, "values": { "Human": { "IHCP-species-checked": "testedAndGuaranteed", "IHCP-species-dilution-info": "1/100 - 1/1000", "IHCP-species-notes": "<p></p> Perform heat-mediated antigen retrieval with citrate buffer pH 6 before commencing with IHC staining protocol.", "WB-species-checked": "testedAndGuaranteed", "WB-species-dilution-info": "1/500 - 1/3000", "WB-species-notes": "<p></p>" } } }

Properties and storage information

Form
Liquid
Purification technique
Affinity purification Immunogen
Storage buffer
pH: 7 Preservative: 0.01% Thimerosal (merthiolate) Constituents: 20% Glycerol (glycerin, glycerine), 1.21% Tris, 0.75% Glycine
Shipped at conditions
Blue Ice
Appropriate short-term storage conditions
+4°C
Appropriate long-term storage conditions
-20°C
Aliquoting information
Upon delivery aliquot
Storage information
Avoid freeze / thaw cycle

Product protocols

For this product, it's our understanding that no specific protocols are required. You can visit:

Target data

Cytokine that plays a crucial role in innate immunity of the epithelium, including to intestinal bacterial pathogens, in an autocrine manner. Stimulates the production of antibacterial peptides and pro-inflammatory molecules for host defense by signaling through the NF-kappa-B and MAPK pathways. Acts synergically with IL22 in inducing the expression of antibacterial peptides, including S100A8, S100A9, REG3A and REG3G. Synergy is also observed with TNF and IL1B in inducing DEFB2 from keratinocytes. Depending on the type of insult, may have both protective and pathogenic properties, either by maintaining epithelial homeostasis after an inflammatory challenge or by promoting inflammatory phenotype. Enhanced IL17C/IL17RE signaling may also lead to greater susceptibility to autoimmune diseases.
See full target information IL17C

Publications (4)

Recent publications for all applications. Explore the full list and refine your search

Journal of virology 96:e0134221 PubMed34669519

2021

Transcriptomic Landscape of Gene Expression Profiles and Pathways in Juvenile-Onset Recurrent Respiratory Papillomatosis Tumor Tissues and Human Papillomavirus 6 and 11 E6- and E7-Overexpressing Head and Neck Squamous Cell Carcinoma Cell Lines.

Applications

Unspecified application

Species

Unspecified reactive species

Xunyao Wu,Yang Xiao,Sihan Zhou,Yuge Wang,Jun Wang

Veterinary research 50:48 PubMed31221216

2019

Toll-like receptor 5-mediated IL-17C expression in intestinal epithelial cells enhances epithelial host defense against F4 ETEC infection.

Applications

Unspecified application

Species

Unspecified reactive species

Yu Luo,Jia Xu,Chaoying Zhang,Chunyan Jiang,Yanfeng Ma,Haijian He,Yuan Wu,Bert Devriendt,Eric Cox,Hongbin Zhang

Cytokine 65:236-44 PubMed24238999

2013

Interleukin 17A evoked mucosal damage is attenuated by cannabidiol and anandamide in a human colonic explant model.

Applications

IHC-P

Species

Human

B S Harvey,T C Sia,D A Wattchow,S D Smid

Internal and emergency medicine 8:317-25 PubMed21553237

2011

Mucosal changes induced by ischemia-reperfusion injury in a jejunal loop transplanted in oropharynx.

Applications

Unspecified application

Species

Unspecified reactive species

Antonio Di Sabatino,Laura Brunetti,Paolo Biancheri,Rachele Ciccocioppo,Marco Guerci,Claudia Casella,Francesca Vidali,Thomas T MacDonald,Marco Benazzo,Gino R Corazza
View all publications

Product promise

We are committed to supporting your work with high-quality reagents, and we're here for you every step of the way. In the unlikely event that one of our products does not perform as expected, you're protected by our Product Promise.
For full details, please see our Terms & Conditions

Please note: All products are 'FOR RESEARCH USE ONLY. NOT FOR USE IN DIAGNOSTIC OR THERAPEUTIC PROCEDURES'.

For licensing inquiries, please contact partnerships@abcam.com