JavaScript is disabled in your browser. Please enable JavaScript to view this website.
AB218249

Anti-IL-17RA antibody

Be the first to review this product! Submit a review

|

(4 Publications)

Rabbit Polyclonal IL-17RA Receptor antibody. Suitable for IHC-P and reacts with Mouse samples. Cited in 4 publications. Immunogen corresponding to Synthetic Peptide within Human IL17RA aa 200-300 conjugated to Keyhole Limpet Haemocyanin.

View Alternative Names

CD217, IL17R, IL17RA, Interleukin-17 receptor A, IL-17 receptor A, IL-17RA, CDw217

1 Images
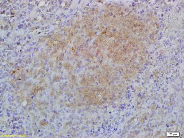
Immunohistochemistry (Formalin/PFA-fixed paraffin-embedded sections) - Anti-IL-17RA antibody (AB218249)
  • IHC-P

Supplier Data

Immunohistochemistry (Formalin/PFA-fixed paraffin-embedded sections) - Anti-IL-17RA antibody (AB218249)

Immunohistochemical analysis of formalin-fixed, paraffin-embedded mouse lymphoma tissue labeling IL-17RA with ab218249 at 1/200 dilution, followed by conjugation to the secondary antibody and DAB staining.

Key facts

Host species

Rabbit

Clonality

Polyclonal

Isotype

IgG

Carrier free

No

Reacts with

Mouse

Applications

IHC-P

applications

Immunogen

Synthetic Peptide within Human IL17RA aa 200-300 conjugated to Keyhole Limpet Haemocyanin. The exact immunogen used to generate this antibody is proprietary information.

Q96F46

Reactivity data

{ "title": "Reactivity Data", "filters": { "stats": ["", "Species", "Dilution Info", "Notes"], "tabs": { "all-applications": {"fullname" : "All Applications", "shortname": "All Applications"}, "IHCP" : {"fullname" : "Immunohistochemistry (Formalin/PFA-fixed paraffin-embedded sections)", "shortname":"IHC-P"} }, "product-promise": { "all": "all", "testedAndGuaranteed": "tested", "guaranteed": "expected", "predicted": "predicted", "notRecommended": "not-recommended" } }, "values": { "Human": { "IHCP-species-checked": "predicted", "IHCP-species-dilution-info": "", "IHCP-species-notes": "" }, "Mouse": { "IHCP-species-checked": "testedAndGuaranteed", "IHCP-species-dilution-info": "1/100 - 1/500", "IHCP-species-notes": "<p></p>" }, "Rat": { "IHCP-species-checked": "predicted", "IHCP-species-dilution-info": "", "IHCP-species-notes": "" } } }

Properties and storage information

Form
Liquid
Purification technique
Affinity purification Protein A
Storage buffer
pH: 7.4 Preservative: 0.02% Proclin 300 Constituents: 50% Glycerol (glycerin, glycerine), 48.98% TBS, 1X, 1% BSA
Shipped at conditions
Blue Ice
Appropriate short-term storage duration
1-2 weeks
Appropriate short-term storage conditions
+4°C
Appropriate long-term storage conditions
-20°C
Aliquoting information
Upon delivery aliquot
Storage information
Avoid freeze / thaw cycle

Product protocols

For this product, it's our understanding that no specific protocols are required. You can visit:

Target data

Receptor for IL17A and IL17F, major effector cytokines of innate and adaptive immune system involved in antimicrobial host defense and maintenance of tissue integrity. Receptor for IL17A (PubMed : 17911633, PubMed : 9367539). Receptor for IL17F (PubMed : 17911633, PubMed : 19838198). Binds to IL17A with higher affinity than to IL17F (PubMed : 17911633). Binds IL17A and IL17F homodimers as part of a heterodimeric complex with IL17RC (PubMed : 16785495). Also binds heterodimers formed by IL17A and IL17F as part of a heterodimeric complex with IL17RC (PubMed : 18684971). Cytokine binding triggers homotypic interaction of IL17RA and IL17RC chains with TRAF3IP2 adapter, leading to TRAF6-mediated activation of NF-kappa-B and MAPkinase pathways, ultimately resulting in transcriptional activation of cytokines, chemokines, antimicrobial peptides and matrix metalloproteinases, with potential strong immune inflammation (PubMed : 16785495, PubMed : 17911633, PubMed : 18684971, PubMed : 21350122, PubMed : 24120361). Involved in antimicrobial host defense primarily promoting neutrophil activation and recruitment at infection sites to destroy extracellular bacteria and fungi (By similarity). In secondary lymphoid organs, contributes to germinal center formation by regulating the chemotactic response of B cells to CXCL12 and CXCL13, enhancing retention of B cells within the germinal centers, B cell somatic hypermutation rate and selection toward plasma cells (By similarity). Plays a role in the maintenance of the integrity of epithelial barriers during homeostasis and pathogen infection. Stimulates the production of antimicrobial beta-defensins DEFB1, DEFB103A, and DEFB104A by mucosal epithelial cells, limiting the entry of microbes through the epithelial barriers (By similarity). Involved in antiviral host defense through various mechanisms. Enhances immunity against West Nile virus by promoting T cell cytotoxicity. Contributes to Influenza virus clearance by driving the differentiation of B-1a B cells, providing for production of virus-specific IgM antibodies at first line of host defense (By similarity). Receptor for IL17C as part of a heterodimeric complex with IL17RE (PubMed : 21993848).. (Microbial infection) Receptor for SARS coronavirus-2/SARS-CoV-2 virus protein ORF8, leading to IL17 pathway activation and an increased secretion of pro-inflammatory factors through activating NF-kappa-B signaling pathway.
See full target information IL17RA

Publications (4)

Recent publications for all applications. Explore the full list and refine your search

International journal of medical sciences 22:630-640 PubMed39898241

2025

NACC1 accelerates the progression of AML by regulating the ADAM9/PI3K/AKT axis.

Applications

Unspecified application

Species

Unspecified reactive species

Ying Zhang,Liang Zhong,Peng Wan,Yi Zhao,Meng Wang,Hongyan Zhang,Yang Liao,Ying Deng,Beizhong Liu

Journal of clinical immunology 44:77 PubMed38451335

2024

Involvement of IL-17 A/IL-17 Receptor A with Neutrophil Recruitment and the Severity of Coronary Arteritis in Kawasaki Disease.

Applications

Unspecified application

Species

Unspecified reactive species

I-Chun Lin,Jau-Ling Suen,Shau-Ku Huang,Ming-Hui Chou,Hsuan-Chang Kuo,Mao-Hung Lo,Kuang-Che Kuo,Lin Wang

Laboratory investigation; a journal of technical methods and pathology 101:1418-1426 PubMed36775468

2023

Th17/IL-17 induces endothelial cell senescence via activation of NF-κB/p53/Rb signaling pathway.

Applications

Unspecified application

Species

Unspecified reactive species

Liang Zhang,Manli Liu,Wenhua Liu,Chaojie Hu,Hongqi Li,Jie Deng,Qi Cao,Yiping Wang,Wei Hu,Qing Li

Mediators of inflammation 2021:9915877 PubMed34305456

2021

Extracorporeal Shockwave Therapy Modulates the Expressions of Proinflammatory Cytokines IL33 and IL17A, and Their Receptors ST2 and IL17RA, within the Articular Cartilage in Early Avascular Necrosis of the Femoral Head in a Rat Model.

Applications

Unspecified application

Species

Unspecified reactive species

Jai-Hong Cheng,Shun-Wun Jhan,Chieh-Cheng Hsu,Hung-Wen Chiu,Shan-Ling Hsu
View all publications

Product promise

We are committed to supporting your work with high-quality reagents, and we're here for you every step of the way. In the unlikely event that one of our products does not perform as expected, you're protected by our Product Promise.
For full details, please see our Terms & Conditions

Please note: All products are 'FOR RESEARCH USE ONLY. NOT FOR USE IN DIAGNOSTIC OR THERAPEUTIC PROCEDURES'.

For licensing inquiries, please contact partnerships@abcam.com