JavaScript is disabled in your browser. Please enable JavaScript to view this website.
AB318130

Anti-IL-17RA antibody [EPR26126-57]

Be the first to review this product! Submit a review

|

(1 Publication)

Rabbit Recombinant Monoclonal IL-17RA Receptor antibody. Suitable for WB and reacts with Mouse, Rat samples. Cited in 1 publication.

View Alternative Names

CD217, Il17r, Interleukin-17 receptor A, IL-17 receptor A, IL-17RA

1 Images
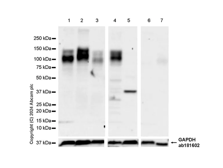
Western blot - Anti-IL-17RA antibody [EPR26126-57] (AB318130)
  • WB

Supplier Data

Western blot - Anti-IL-17RA antibody [EPR26126-57] (AB318130)

Low expression : NIH/3T3 (PMID : 8777726), heart (PMID : 8777726), colon (PMID : 19144317), testis(PMID : 8777726).

The identity of the lower MW band at approximately 37 kDa (in lane 5) is unknown.

In Western blot, Anti-GAPDH antibody [EPR16891] - Loading Control (ab181602) staining at 1/200000 dilution.

All lanes:

Western blot - Anti-IL-17RA antibody [EPR26126-57] (ab318130) at 1/1000 dilution

Lane 1:

EL4.IL-2 (mouse lymphoma T lymphocyte) whole cell lysate at 20 µg

Lane 2:

EL4 (mouse lymphoma T lymphocyte) whole cell lysate at 20 µg

Lane 3:

NIH/3T3 (mouse embryonic fibroblast) whole cell lysate at 20 µg

Lane 4:

Mouse thymus tissue lysate at 20 µg

Lane 5:

Mouse heart tissue lysate at 20 µg

Lane 6:

Mouse colon tissue lysate at 20 µg

Lane 7:

Mouse testis tissue lysate at 20 µg

Secondary

All lanes:

Goat Anti-Rabbit IgG (HRP) with minimal cross-reactivity with human IgG at 1/2000 dilution

Observed band size: 80-140 kDa,36 kDa

false

Exposure time: 59s

  • Carrier free

    Anti-IL-17RA antibody [EPR26126-57] - BSA and Azide free

Key facts

Host species

Rabbit

Clonality

Monoclonal

Clone number

EPR26126-57

Isotype

IgG

Carrier free

No

Reacts with

Mouse, Rat

Applications

WB

applications

Immunogen

The exact immunogen used to generate this antibody is proprietary information.

Reactivity data

{ "title": "Reactivity Data", "filters": { "stats": ["", "Species", "Dilution Info", "Notes"], "tabs": { "all-applications": {"fullname" : "All Applications", "shortname": "All Applications"}, "WB" : {"fullname" : "Western blot", "shortname":"WB"}, "IHCP" : {"fullname" : "Immunohistochemistry (Formalin/PFA-fixed paraffin-embedded sections)", "shortname":"IHC-P"}, "FlowCytIntra" : {"fullname" : "Flow Cytometry (Intracellular)", "shortname":"Flow Cyt (Intra)"}, "IP" : {"fullname" : "Immunoprecipitation", "shortname":"IP"}, "ICCIF" : {"fullname" : "Immunocytochemistry/ Immunofluorescence", "shortname":"ICC/IF"} }, "product-promise": { "all": "all", "testedAndGuaranteed": "tested", "guaranteed": "expected", "predicted": "predicted", "notRecommended": "not-recommended" } }, "values": { "Human": { "WB-species-checked": "notRecommended", "WB-species-dilution-info": "", "WB-species-notes": "", "IHCP-species-checked": "notRecommended", "IHCP-species-dilution-info": "", "IHCP-species-notes": "<p></p>", "FlowCytIntra-species-checked": "notRecommended", "FlowCytIntra-species-dilution-info": "", "FlowCytIntra-species-notes": "", "IP-species-checked": "notRecommended", "IP-species-dilution-info": "", "IP-species-notes": "", "ICCIF-species-checked": "notRecommended", "ICCIF-species-dilution-info": "", "ICCIF-species-notes": "" }, "Mouse": { "WB-species-checked": "testedAndGuaranteed", "WB-species-dilution-info": "1/1000", "WB-species-notes": "<p></p>", "IHCP-species-checked": "notRecommended", "IHCP-species-dilution-info": "", "IHCP-species-notes": "<p></p>", "FlowCytIntra-species-checked": "notRecommended", "FlowCytIntra-species-dilution-info": "", "FlowCytIntra-species-notes": "<p></p>", "IP-species-checked": "notRecommended", "IP-species-dilution-info": "", "IP-species-notes": "<p></p>", "ICCIF-species-checked": "notRecommended", "ICCIF-species-dilution-info": "", "ICCIF-species-notes": "<p></p>" }, "Rat": { "WB-species-checked": "testedAndGuaranteed", "WB-species-dilution-info": "1/1000", "WB-species-notes": "<p></p>", "IHCP-species-checked": "notRecommended", "IHCP-species-dilution-info": "", "IHCP-species-notes": "<p></p>", "FlowCytIntra-species-checked": "notRecommended", "FlowCytIntra-species-dilution-info": "", "FlowCytIntra-species-notes": "", "IP-species-checked": "notRecommended", "IP-species-dilution-info": "", "IP-species-notes": "", "ICCIF-species-checked": "notRecommended", "ICCIF-species-dilution-info": "", "ICCIF-species-notes": "" } } }

Product details

Patented technology
Our RabMAb® technology is a patented hybridoma-based technology for making rabbit monoclonal antibodies. For details on our patents, please refer to RabMAb® patents.

What are the advantages of a recombinant monoclonal antibody?
This product is a recombinant monoclonal antibody, which offers several advantages including:

  • - High batch-to-batch consistency and reproducibility
  • - Improved sensitivity and specificity
  • - Long-term security of supply
  • - Animal-free batch production

For more information, read more on recombinant antibodies.

Properties and storage information

Form
Liquid
Purification technique
Affinity purification Protein A
Storage buffer
pH: 7.2 - 7.4 Preservative: 0.01% Sodium azide Constituents: PBS, 40% Glycerol (glycerin, glycerine), 0.05% BSA
Shipped at conditions
Blue Ice
Appropriate short-term storage duration
1-2 weeks
Appropriate short-term storage conditions
+4°C
Appropriate long-term storage conditions
-20°C
Aliquoting information
Upon delivery aliquot
Storage information
Avoid freeze / thaw cycle

Product protocols

For this product, it's our understanding that no specific protocols are required. You can visit:

Target data

Receptor for IL17A and IL17F, major effector cytokines of innate and adaptive immune system involved in antimicrobial host defense and maintenance of tissue integrity. Receptor for IL17A (PubMed : 17911633, PubMed : 20554964, PubMed : 27923703, PubMed : 8777726). Receptor for IL17F (PubMed : 17911633, PubMed : 20554964). Binds to IL17A with higher affinity than to IL17F (PubMed : 17911633). Binds IL17A and IL17F homodimers as part of a heterodimeric complex with IL17RC (By similarity). Also binds heterodimers formed by IL17A and IL17F as part of a heterodimeric complex with IL17RC (By similarity). Cytokine binding triggers homotypic interaction of IL17RA and IL17RC chains with TRAF3IP2 adapter, leading to TRAF6-mediated activation of NF-kappa-B and MAPkinase pathways, ultimately resulting in transcriptional activation of cytokines, chemokines, antimicrobial peptides and matrix metalloproteinases, with potential strong immune inflammation (By similarity). Involved in antimicrobial host defense primarily promoting neutrophil activation and recruitment at infection sites to destroy extracellular bacteria and fungi (PubMed : 20364087, PubMed : 21993848). In secondary lymphoid organs, contributes to germinal center formation by regulating the chemotactic response of B cells to CXCL12 and CXCL13, enhancing retention of B cells within the germinal centers, B cell somatic hypermutation rate and selection toward plasma cells (PubMed : 18157131). Plays a role in the maintenance of the integrity of epithelial barriers during homeostasis and pathogen infection. Stimulates the production of antimicrobial beta-defensins DEFB1, DEFB103A, and DEFB104A by mucosal epithelial cells, limiting the entry of microbes through the epithelial barriers (PubMed : 19144317). Involved in antiviral host defense through various mechanisms. Enhances immunity against West Nile virus by promoting T cell cytotoxicity (PubMed : 27795421). Contributes to influenza A virus (H1N1) clearance by driving the differentiation of B-1a B cells, providing for production of virus-specific IgM antibodies at first line of host defense (PubMed : 26735852). Receptor for IL17C as part of a heterodimeric complex with IL17RE (PubMed : 21982598, PubMed : 21993848, PubMed : 21993849).. (Microbial infection) Receptor for SARS coronavirus-2/SARS-CoV-2 virus protein ORF8, leading to IL17 pathway activation and an increased secretion of pro-inflammatory factors through activating NF-kappa-B signaling pathway.
See full target information Il17ra

Publications (1)

Recent publications for all applications. Explore the full list and refine your search

Drug design, development and therapy 19:8843-8864 PubMed41049040

2025

Emodin Alleviates Monocrotaline-Induced Pulmonary Arterial Hypertension by Directly Targeting TAK1.

Applications

Unspecified application

Species

Unspecified reactive species

Yaolei Zhang,Mingmei Zhang,Ting Li,Yunchuan Liu,Zihan Li,Longfu Zhou,Yonghe Hu
View all publications

Product promise

We are committed to supporting your work with high-quality reagents, and we're here for you every step of the way. In the unlikely event that one of our products does not perform as expected, you're protected by our Product Promise.
For full details, please see our Terms & Conditions

Please note: All products are 'FOR RESEARCH USE ONLY. NOT FOR USE IN DIAGNOSTIC OR THERAPEUTIC PROCEDURES'.

For licensing inquiries, please contact partnerships@abcam.com