JavaScript is disabled in your browser. Please enable JavaScript to view this website.
AB126399

Anti-IL-17REL antibody

Be the first to review this product! Submit a review

|

(1 Publication)

Rabbit Polyclonal IL-17REL antibody. Suitable for IHC-P, ICC/IF and reacts with Human samples. Cited in 1 publication. Immunogen corresponding to Recombinant Fragment Protein within Human Putative interleukin-17 receptor E-like aa 150-250.

View Alternative Names

Interleukin-17 receptor E-like protein, IL-17 receptor E-like, IL-17RE-like, IL17REL

2 Images
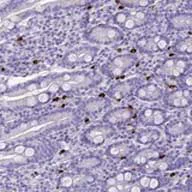
Immunohistochemistry (Formalin/PFA-fixed paraffin-embedded sections) - Anti-IL-17REL antibody (AB126399)
  • IHC-P

Unknown

Immunohistochemistry (Formalin/PFA-fixed paraffin-embedded sections) - Anti-IL-17REL antibody (AB126399)

ab126399, at a dilution of 1/50, staining IL17REL in paraffin-embedded Human duodenum tissue by Immunohistochemistry.

Immunocytochemistry/ Immunofluorescence - Anti-IL-17REL antibody (AB126399)
  • ICC/IF

Unknown

Immunocytochemistry/ Immunofluorescence - Anti-IL-17REL antibody (AB126399)

Immunofluorescent staining of Human cell line U-2 OS shows positivity in nucleoli and cytoplasm. Recommended concentration of ab126399 1-4 µg/ml. Cells treated with PFA/Triton X-100.

Key facts

Host species

Rabbit

Clonality

Polyclonal

Isotype

IgG

Carrier free

No

Reacts with

Human

Applications

IHC-P, ICC/IF

applications

Immunogen

Recombinant Fragment Protein within Human Putative interleukin-17 receptor E-like aa 150-250. The exact immunogen used to generate this antibody is proprietary information.

Q6ZVW7

Reactivity data

{ "title": "Reactivity Data", "filters": { "stats": ["", "Species", "Dilution Info", "Notes"], "tabs": { "all-applications": {"fullname" : "All Applications", "shortname": "All Applications"}, "IHCP" : {"fullname" : "Immunohistochemistry (Formalin/PFA-fixed paraffin-embedded sections)", "shortname":"IHC-P"}, "ICCIF" : {"fullname" : "Immunocytochemistry/ Immunofluorescence", "shortname":"ICC/IF"} }, "product-promise": { "all": "all", "testedAndGuaranteed": "tested", "guaranteed": "expected", "predicted": "predicted", "notRecommended": "not-recommended" } }, "values": { "Human": { "IHCP-species-checked": "testedAndGuaranteed", "IHCP-species-dilution-info": "1/50 - 1/200", "IHCP-species-notes": "<p></p> Perform heat-mediated antigen retrieval with citrate buffer pH 6 before commencing with IHC staining protocol.", "ICCIF-species-checked": "testedAndGuaranteed", "ICCIF-species-dilution-info": "1-4 µg/mL", "ICCIF-species-notes": "<p>Recommend PFA Fixation and Triton X-100 treatment</p>" } } }

Properties and storage information

Form
Liquid
Purification technique
Affinity purification Immunogen
Storage buffer
pH: 7.2 Preservative: 0.02% Sodium azide Constituents: PBS, 40% Glycerol (glycerin, glycerine)
Shipped at conditions
Blue Ice
Appropriate short-term storage conditions
+4°C
Appropriate long-term storage conditions
-20°C
Aliquoting information
Upon delivery aliquot
Storage information
Avoid freeze / thaw cycle

Product protocols

For this product, it's our understanding that no specific protocols are required. You can visit:

Publications (1)

Recent publications for all applications. Explore the full list and refine your search

Molecular and cellular biology 44:178-193 PubMed38767243

2024

TCF12 Transcriptionally Activates SPHK1 to Induce Osteosarcoma Angiogenesis by Promoting the S1P/S1PR4/STAT3 Axis.

Applications

Unspecified application

Species

Unspecified reactive species

Wo Li,Jitong Liu,Ting Cai,Xia Hu
View all publications

Product promise

We are committed to supporting your work with high-quality reagents, and we're here for you every step of the way. In the unlikely event that one of our products does not perform as expected, you're protected by our Product Promise.
For full details, please see our Terms & Conditions

Please note: All products are 'FOR RESEARCH USE ONLY. NOT FOR USE IN DIAGNOSTIC OR THERAPEUTIC PROCEDURES'.

For licensing inquiries, please contact partnerships@abcam.com